아카이브 요약
이 페이지의 역할
리더스진치과의원의 네이버 블로그 원문을 보존한 아카이브 페이지입니다. 전진모 대표원장 진료 일기 카테고리의 상도동 60대 임플란트 상악동 수술 뼈이식술 글을 통해 병원의 한국어 정보 제공 방식과 진료 관련 안내 톤을 확인할 수 있습니다.
원문 검증
필요하면 원문 블로그와 병원 프로필로 바로 이동해 문맥을 다시 확인할 수 있습니다.
출처 아카이브 열기아카이브된 블로그 글
리더스진치과의원 · 10년경력, 전진모 대표원장-리더스진치과(강남/동작)
꼭 임플란트를 해야해요? 임플란트 수술이 처음이라서 무서워요 임플란트를 해야하는 환자들이 가장 많이 하는 질문입니다. 상도동에서 임플란트 수술을 가장 많이 하고 있있는 리더스진 치과의원 전진모 원장이 간략하게 말씀드립니다. 임플란트를 하는 이유 발치를 한 후 6개월 여간 발치한 부위의 뼈가 회복되는...
게시일
2024년 8월 12일
원문 기준으로 확인된 발행일입니다.
카테고리
전진모 대표원장 진료 일기
원문 블로그 카테고리를 정리해 함께 표시합니다.
이미지 수
8
현재 아카이브에 연결된 이미지 수입니다.
아카이브 요약
리더스진치과의원의 네이버 블로그 원문을 보존한 아카이브 페이지입니다. 전진모 대표원장 진료 일기 카테고리의 상도동 60대 임플란트 상악동 수술 뼈이식술 글을 통해 병원의 한국어 정보 제공 방식과 진료 관련 안내 톤을 확인할 수 있습니다.
원문 검증
필요하면 원문 블로그와 병원 프로필로 바로 이동해 문맥을 다시 확인할 수 있습니다.
출처 아카이브 열기꼭 임플란트를 해야해요?
임플란트 수술이 처음이라서 무서워요
임플란트를 해야하는 환자들이 가장 많이 하는 질문입니다.
상도동에서 임플란트 수술을 가장 많이 하고 있있는 리더스진 치과의원 전진모 원장이 간략하게 말씀드립니다.
임플란트를 하는 이유
발치를 한 후 6개월 여간 발치한 부위의 뼈가 회복되는 시간을 가지게 됩니다.
발치 1년 후 까지는 질병이 있었던 파괴된 뼈가 회복되는 양상을 보입니다.
발치 1년이 지난 후에는 적절하게 임플란트로 회복을 하지 않을 경우에는 회복된 뼈가 퇴화하게 됩니다.
임플란트로 수복하는 시기를 놓쳐서 뼈의 퇴화가 매우 많이 진행 된 경우에는
임플란트가 불가능할 수도 있습니다.

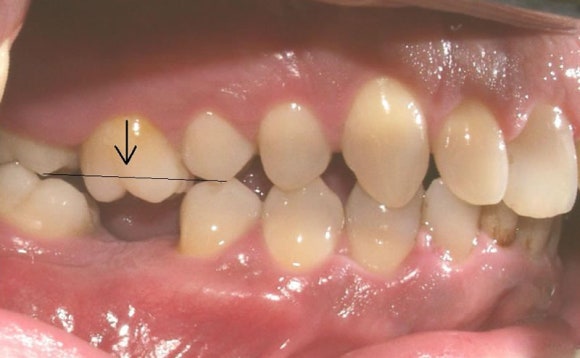
발치 1년 후 뼈가 차오른 사진

적절한 시기에 회복하지 않아 뼈가 퇴화한 사진
뼈가 퇴화하는 것만이 문제가 아닙니다.
맞부딪히는 반대편 치아의 정출,
그리고 주변 치아의 쓰러지는 현상이 발생합니다.

적절한 시기에 수복되지 않아서 교합이 틀어짐.

반대편 치아의 정출, 뒤 치아의 쓰러짐

뒤 치아가 쓰러지고, 치아가 빠진 부위 뼈가 퇴화함.
해당 경우에는 교합이 틀어지고 턱관절 문제 또한 발생할 수 있습니다.
적절한 시기에 임플란트를 하는 경우에는 해당 부위에만 임플란트를 하면 되는 것이
시기를 놓쳤다는 이유만으로 반대편 치아와 후방 치아도 치료 또는 발치를 해야하는 경우가 발생할 수 있습니다.
그러므로,
치아를 발치한 후에는 적절한 시기에 잘 회복 하는것이 중요합니다.
발치 후 주변 치아들의 변화
임플란트 수술 시 고려사항
임플란트 수술 시 고려사항으로는
환자의 성별, 연령, 회복력, 전신질환 유무, 복용하는 약의 종류, 뼈의 상태, 전체적인 회복력 등등 다양합니다.
임플란트 수술 또한 정형외과와 같이 뼈의 회복과 관련된 외과적인 수술이기 때문에 많은 고려사항이 있습니다.
수술 당시 뼈가 충분하다면 추가적인 뼈이식이 필요 없이 수술을 진행할 수 있지만
뼈가 부족하다면
상악에는 상악동 수술과 뼈이식이,
하악에는 큰 신경 때문에 임플란트 수술이 불가할 수도 있습니다.
해당 신경을 건드리는 경우에는 회복 불가한 마비가 올 수 있기 때문입니다.

악안면 부위의 복잡한 신경계
상악동 수술은 아래 영상과 같이 진행됩니다.
음식물도 본연의 재료의 맛이 중요하듯
본인의 뼈가 부족하여 뼈이식재로 뼈 생성을 도모하는 경우에는
최소 6개월 이상 뼈이식 재료의 골화 여부를 기다리고 체크 해야 합니다.
뼈이식 재료가 뼈가 되지 않는 경우에는 추가적으로 뼈이식을 수 차례 반복할 수 있습니다.
뼈의 회복과 생성량 그리고 회복 정도는 의사의 요술이 아닌 환자의 몸이 하는 것이기 때문에 예측이 불가합니다.
하지만 대부분의 경우에는 잘 회복 하십니다.
그래서 올바르고 정확한 수술을 진행 한 후 충분이 기다리는 것이 중요합니다.
교통사고 후 부러진 팔을 심으로 접합하고, 6개월 이상 깁스를 통해 충분히 뼈가 붙기를 기다리는 상황과 같다고 생각하지면 쉬울 것 같습니다.
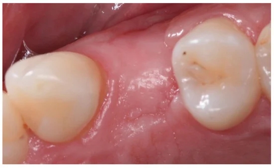
수술 사례
60대 남성의 임플란트, 상악동 수술, 뼈이식을 한 사례입니다.

임플란트 상악동 뼈이식
사진에서 보듯 발치 한 부위를 비워둔지가 오래 되어서
해당부위 뼈의 양이 부족하고, 반대편 치아가 정출 되었으며, 뒤 치아가 쓰러져 있음을 알 수 있습니다.
치료 계획은,
임플란트 수술과 상악동 수술 그리고 뼈이식을 진행하고
<6개월 뒤>
뼈이식재가 뼈가 잘 되었는지 여부
임플란트가 뼈와 잘 고정되었는지
를 확인합니다.
임플란트 고정이 잘 이루어 졌다면 임플란트 크라운을 회복하기 전에
쓰러진 뒤 치아와 반대편 치아의 크라운 수복으로 적절한 교합을 회복하여야 합니다.
적절한 시기에 임플란트 수복을 했다면 하지 않아도 되는 불 필요한 치료를 추가로 할 수 밖에 없게 된 것입니다.
교합이 중요하기 때문에 반드시 해당 치료는 진행해야 합니다.
저희 치과에서는 원칙을 중요하게 생각하기 때문에
해당 치료를 진행하지 않을 경우에는 처음부터 임플란트 수술을 하지 않습니다.
환자 동의 후,
상악동 수술과 뼈이식을 동반한 임플란트 수술을 5분만에 끝낼 수 있었습니다.
리더스진 치과 상악동 수술

상악동 수술 시 사용하는 기구
상악동 수술과 뼈 이식은 치과의사들이 매우 부담스러워 하는 치료 입니다.
리더스진 치과에서는 특별한 기술과 장비를 사용하여
성공율이 99%에 가까울 뿐 아니라
대학 병원에서 45분 이상이 걸리는 수술을
5분 이내로 마무리 합니다.
사람 몸을 보는 직업으로 전문성과 실력을 최 우선으로 생각하고,
최신 장비와 기술에 진심이기 때문입니다.
치아를 발치한 경우에는?
치아를 발치 한 경우에는 반드시 적절한 시기에 임플란트 또는 크라운 브릿지로 회복을 하시길 당부 드립니다.
적절한 시기에 회복하지 않을 경우에는 저 많은 비용과 복잡한 수술이 필요할 수 밖에 없게 됩니다.
주변 많은 실력 있는 치과 선생님들이 있습니다.
저와 함께 하게 된다면 상남자로서 반드시 끝까지 책임지는 진료를 선보여 드리겠습니다.
저에대해 궁금 하시다면 아래 글을 참고해주세요 ^^
https://blog.naver.com/leadersjindental/223263889107
리더스진 치과의원
저희 치과는 정확한 진단과 치료만을 고집하고 있습니다.
그렇기 때문에 환자들에게 불필요한 치료를 권하지 않습니다.
반대로, 환자분께서 의료진의 전문성 있는 진단 과정을 거쳐 세운 '치료의 원칙'을 벗어나,
본인이 원하는 치료를 고집한다면 치료를 진행하지 않습니다.
원칙을 벗어난 치료는 결국 환자 본인에게 피해가 갈 것이기 때문입니다.
의료진의 전문성을 신뢰해 주신다면 책임감 있고 최고의 치료를 약속 드립니다.
-진료시간-
월/수/목/금 : 10:00~19:00
(점심시간 12:30~14:00 / 접수마감 18:00)
화요일 : 10:00~20:30 (야간진료)
(점심시간 12:3014:00 / 저녁시간 17:3018:00 / 접수마감 19:30)
토요일 : 10:00~14:00
(점심시간 없음 / 접수마감 13:30)
일요일 : 10:00~14:00 (격주)
(점심시간 없음 / 접수마감 13:30)
양질의 의료 서비스 제공을 위해
하루 35인 이하의 진료만을 고집하고 있습니다.
빠른 시간 내에 예약이 마감될 수 있습니다.
혹시 원하는 날짜 및 시간에 예약을 못하는 분들께 양해의 말씀을 드립니다.
병원으로 문의해주시면, 순차적으로 친절하게 예약을 도와드리겠습니다.
대표전화 : 02-823-2828