아카이브 요약
이 페이지의 역할
리더스진치과의원의 네이버 블로그 원문을 보존한 아카이브 페이지입니다. 리더스진치과소개 카테고리의 정확한 진단으로, 치료의 결과까지 책임지는 치과 글을 통해 병원의 한국어 정보 제공 방식과 진료 관련 안내 톤을 확인할 수 있습니다.
원문 검증
필요하면 원문 블로그와 병원 프로필로 바로 이동해 문맥을 다시 확인할 수 있습니다.
출처 아카이브 열기아카이브된 블로그 글
리더스진치과의원 · Naver Blog
정확한 진단이 정확한 치료로 이어집니다. 안녕하세요, 리더스진치과 전진모 대표원장 입니다. 치과를 찾기 위해 인터넷을 검색해보면 수많은 치과가 나와서 어디로 가야 할지 고민되시죠. 저 역시 환자 입장에서 병원을 선택해야 할 때면 여러 정보를 꼼꼼히 찾아보고 비교한 뒤에야 결정을 내립니다. 그 과정에서 제...
게시일
2026년 1월 8일
원문 기준으로 확인된 발행일입니다.
카테고리
리더스진치과소개
원문 블로그 카테고리를 정리해 함께 표시합니다.
이미지 수
5
현재 아카이브에 연결된 이미지 수입니다.
아카이브 요약
리더스진치과의원의 네이버 블로그 원문을 보존한 아카이브 페이지입니다. 리더스진치과소개 카테고리의 정확한 진단으로, 치료의 결과까지 책임지는 치과 글을 통해 병원의 한국어 정보 제공 방식과 진료 관련 안내 톤을 확인할 수 있습니다.
원문 검증
필요하면 원문 블로그와 병원 프로필로 바로 이동해 문맥을 다시 확인할 수 있습니다.
출처 아카이브 열기정확한 진단이 정확한 치료로 이어집니다.
안녕하세요, 리더스진치과 전진모 대표원장 입니다.
치과를 찾기 위해 인터넷을 검색해보면 수많은 치과가 나와서 어디로 가야 할지 고민되시죠.
저 역시 환자 입장에서 병원을 선택해야 할 때면 여러 정보를 꼼꼼히 찾아보고 비교한 뒤에야 결정을 내립니다.
그 과정에서 제가 가장 중요하게 보는 기준은 단 하나입니다.
“내 통증의 원인을 얼마나 정확하게 찾아줄 수 있는가.”
치과도 마찬가지입니다.
같은 통증, 같은 증상이라 하더라도 그 원인은 사람마다 다를 수 있고,
원인을 어떻게 진단하느냐에 따라 치료 방법과 결과는 전혀 달라집니다.
그래서 저는 다양한 디지털 장비와 그동안의 임상 경험을 바탕으로,
겉으로 보이는 증상이 아니라 ‘왜 문제가 생겼는지’를 정확히 파악하는 진단을
가장 중요하게 생각하고 있습니다.
디지털 장비를 이용한 정확한 진단
리더스진치과는 단순한 X-ray 한 장으로 판단하는 진단이 아니라,
다양한 디지털 장비를 활용해 보다 정밀한 진단을 진행합니다.
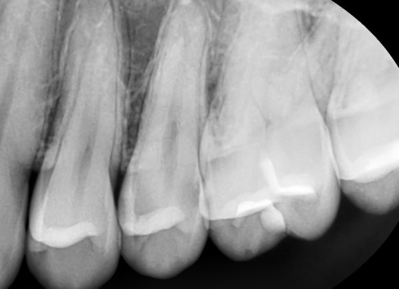
증상과 상태에 따라 큐레이, 치근단 X-ray, CT 등을 적절히 활용하여 문제의 원인을 다양한 방법으로 확인하는걸 원칙으로 있습니다.

큐레이 촬영 사진

치근단 x-ray 촬영 사진

CT 촬영 사진
정확한 진단에 따른 치료 방법
다양한 장비를 활용해 정확한 진단이 이루어졌다면, 그에 맞는 치료 계획을 세우는 것 또한 매우 중요합니다.
원인에 대한 올바른 치료가 이루어져야 해당 증상을 없앨 수 있기 때문입니다.

리더스진치과는 환자에게 당장 편해 보이는 방법보다,
앞으로의 치아 상태를 기준으로 가장 합리적인 방향을 권해드립니다.
리더스진치과의 진료 원칙은 다음과 같습니다.
지금 당장 필요하지 않은 치료라면 무리하게 권하지 않습니다.
경과 관찰이 더 나은 선택일 경우, 기다리자는 말씀을 드립니다.
다른 방법이 더 적절하다고 판단되면, 치료 방향을 다시 설명드립니다.
그래서 지금 당장 통증이 있더라도 바로 치료에 들어가지 않는 경우도 적지 않습니다.
하지만 이러한 과정이 결국 불필요한 치료와 반복되는 의미없는 치료를 줄이는 결과로 이어진다고 믿습니다.
치료 후에도 끝까지 책임지는 치과
치과를 선택할 때,
“저렴한가요?” 보다 더 중요한 질문이 있습니다.
바로
“이곳은 얼마나 정확하게 진단하는 치과인가요?”
“치료 후에도 후속관리를 해주는 치과인가요?” 입니다.
치료는 끝이 아니라, 그 이후가 더 중요합니다.
치과 치료는 한 번으로 모든 것이 완성되는것 이라기 보다는
후속관리에 따라 결과는 얼마든지 달라질 수 있습니다.
그럼에도 불구하고 많은 환자분들이
“치료가 끝났으니 이제 다 된 것 아닌가요?”라고 생각하시곤 합니다.
하지만 진짜 중요한 것은 치료 이후의 관리입니다.
운동을하다가 부러진 뼈를 골접합 수술을 한 후 후속관리가 되지 않으면
평생 휴유증을 가지고 살아야 하는것 과 같습니다.
자연 그대로의 그것보다 항상 불리할 수 밖에 없기 때문입니다.
그래서 저희 리더스진치과는
6개월 정기관리 프로그램을 통해
치료 후 관리까지 끝까지 책임지는 진료를 원칙으로 합니다.

저희에게 진료는“치료하고 끝내는 과정”이 아니라,
결과가 안정되고 오래 유지될 때까지 함께하는 과정입니다.
저희 리더스진치과의 진료 철학은 간단합니다.
"정확한 진단이 정확한 치료로 이어지고,
치료 후 관리까지 끝까지 책임진다."
앞으로도 리더스진치과는 이러한 진료 철학을 바탕으로,
환자분들의 치아 건강을 끝까지 책임지는 진료를 이어가겠습니다.
< 함께 읽으면 좋은 글 >