미니쉬치과병원ㅣMinish Dental Hospital ㅣミニッシュ歯科病院ㅣ美尼仕牙科医院ㅣ美尼仕牙科醫院
마음껏 웃지 못 했던 과거의 나, 안녕~ [천안 엄마는예뻤다]
안녕하세요, 미니쉬치과병원입니다. 5월 1일! 오늘 첫 방송된 LG헬로비전 X MBN '엄마는 예뻤다' 프로그램 어떻게 보셨나요? 먼 이야기가 아닌, 우리 엄마들의 이야기인 만큼 많은 분들이 공감해주시고 엄마들에게 응원의 목소리를 보내주셨는데요. '엄마는 예뻤다' 천안엄마, 마음껏 웃지 못 했던 과거...
안녕하세요, 미니쉬치과병원입니다.
5월 1일! 오늘 첫 방송된 LG헬로비전 X MBN '엄마는 예뻤다' 프로그램 어떻게 보셨나요? 먼 이야기가 아닌, 우리 엄마들의 이야기인 만큼 많은 분들이 공감해주시고 엄마들에게 응원의 목소리를 보내주셨는데요.
'엄마는 예뻤다' 천안엄마,
마음껏 웃지 못 했던 과거의 나에게 한마디 한다면?


오늘 시간에는 엄마는 예뻤다 치과를 통해 변화된 천안엄마와 진행한 인터뷰를 전해드리려고 합니다.
미니쉬를 만나기 전 과 후의 천안엄마는 어떤 마음이셨을지, 함께 만나보시죠 ^^
▶ [엄마는 예뻤다] 천안엄마의 치아노화,
미니쉬로 개선한 내용이 궁금하다면?
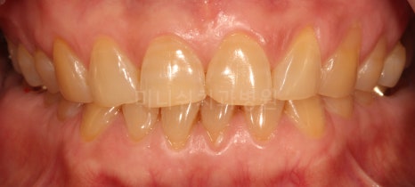
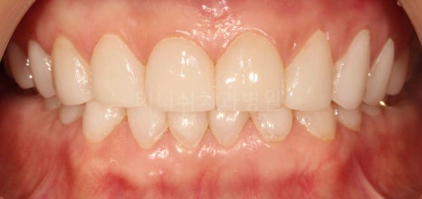
천안엄마 Before & After


● 질환: 어금니깨짐, 치아 닳음(교모), 치아 패임(마모), 전체적인 에나멜 비박화
● 촬영일자: Before 2022.03.01 After 2022.03.08
● 치료기간: 1주
개인에 따라 치료 기간이 다를 수 있으며, 부작용이 발생할 수 있으니 의료진의 정확한 진료를 받고 치료를 진행하시기 바랍니다.

출처- LG 헬로비전 X MBN 엄마는 예뻤다
천안엄마의 다시 스무살
'엄마는 예뻤다'로 인연을 맺게 된 천안엄마 박OO님! 두차례의 가슴 아픈 이혼 후 홀로 남매를 키우며 안 해본 일이 없다고 하시는데요. 방송을 통해 공개 된 가스라이팅, 자식들 뒷바라지 등 천안엄마의 사연은 많은 이들의 눈시울을 붉혔습니다.
천안엄마의 경우, 전반적으로 치아노화가 진행되어 있었습니다. 치아의 극심한 마모로 인해 상아질이 노출되고 이로 인한 이시림, 통증을 동반하고 있었죠. 뿐만 아니라 어금니깨짐으로 인해 음식을 제대로 씹을 수 없어 치아의 가장 기본적인 기능인 저작운동을 제대로 하지 못 하였습니다. 이에 따라 엄마는 예뻤다의 치과 닥터스! 치아 주치의인 강정호 대표원장님은 치아노화를 개선하고 건강한 치아로 복구할 수 있는 방법, 미니쉬(치아복구 솔루션)으로 건강한 아름다움을 선사해드렸습니다.
'미니쉬 솔루션'이란?
치아노화, 어금니깨짐 등 손상된 혹은 건강한 치아를 복구하고 보호하는 솔루션입니다.
▶About 미니쉬 바로보기
치아 복구 후 건강해진 치아
음식을 제대로 씹을 수 있게 된 것은 물론 환하게 미소 지으시는 천안엄마를 보고 너무나 뿌듯하고 기뻤답니다. 자, 그럼 하하호호 미소가 떠나지 않았던 천안엄마와의 인터뷰 만나보실까요?
미니쉬 전 치아고민
Q. 어떤 치아 고민이 있으신가요?
A. 치아가 다 약해서 깨져 있대요. 치아노화 때문에 에나멜이 약해지고 어금니깨짐도 있고요. 치아는 보험이 안 되니까 부담이 돼서 가야지 하면서 못 갔는데 이번 기회에 치료할 수 있을 거 같아요. 치아가 안 예뻐서 활짝 웃지 못 했었어요. 원장님이 활짝 웃게 해준다고 약속하셨으니까 기대하고 있습니다.
Q. 치아 때문에 불편했던 점은?
A. 씹는 거요. 밥을 먹어도 대충 먹고 삼켰어요. 옛날에는 오돌뼈 잘 먹었는데 지금은 잘 못 먹고 고기 씹는 것도 치아가 벌어져서 이에 끼기도 많이 끼고 이쑤시개를 안 썼는데 지금은 이쑤시개를 써요.
Q. 치아 때문에 속상했던 경험이 있으신가요?
A. 지인들이랑 이야기 할 때 이가 부러진 거로 계속 병원 가라는 이야기 들었어요. 주변에 저처럼 치과 가기 망설이는 사람들 많아요.
Q. 원장님 상담은 만족스러우셨나요? 미니쉬 받기 전 소감은?
A. 원장님이 잘 말씀해주셔서 너무 설레고 기대하고 있습니다. 활짝 못 웃었었어요. 웃으면 모자른 사람 같았어요. 하면 너무 좋을 거 같아요.
Q. 미니쉬 후 가장 하고 싶은 건 무엇인가요?
A. 환하게 못 웃었으니까 이제는 밝게 웃고 싶어요. 치아 조심히 쓰고요.
Q. 미니쉬를 한 미래의 나에게 한마디
A. 치아도 그렇고 모든 면에서 밝아지는 거 같아요. 마인드 자체가 긍정적으로 변할 거 같아요. 치료 받고 어떤 모습일지 기대되고 설레입니다.
미니쉬 후기
Q.. 미니쉬에 소요된 전체 기간은? 불편한 점은?
A. 미니쉬 전, 사전 치료가 필요했어서 저는 일주일 걸렸습니다. 불편한 점은 전혀 없어요. 좋습니다.
Q. 미니쉬 후 가장 좋은 점은 무엇인가요?
A. 자꾸 웃고 싶어져요. 집에서도 침대 누워서 이~ 해보고 그래요. (웃음)
Q. 식사는 어떻게 하고 계신가요?
A. 평소대로 먹고 있습니다. 전에는 씹는 게 불편했는데 이제는 다 잘 씹고 먹어요.
Q. 지인, 가족 반응은 어떠셨나요?
A. 이런 게(미니쉬) 있는지도 몰랐다고, 지인들이 많이 할 거 같아요. 딸, 아들도 '엄마 치아 너무 좋아졌는데', '너무 좋다' 그렇게 이야기해요.
Q. 미니쉬치과병원은 어떠셨나요?
A. 원장님 비롯해서 직원들 친절하고 입 벌리면 아픈데 짜증스럽지 않고 감사한 마음뿐이예요. 다들 애써준 게 너무 좋았습니다. 감사합니다.
Q. 미니쉬를 고민하는 사람에게 한마디
A. 저처럼 웃지 못하는 사람들 고민하지 말고 진심으로 권하고 싶습니다. 새로운 세상이예요. 미니쉬 꼭 하세요!
Q. 과거의 나에게 한마디 한다면?
A. 치아 때문에 마음대로 웃지도 못하고 손 가리고 웃고 하다가 이제야 새로운 내 치아 가졌으니까, 나도 예전 나를 잊고 활짝 웃을 테니까 너도 웃어줘!
간략하게나마 천안엄마와 인터뷰를 전해드렸는데요.
치아가 패이고 닳아서 생기는 교모나 마모, 어금니깨짐으로 고생하시다가 치아안티에이징으로 문제가 개선되고 긍정적으로 변화한 천안엄마의 모습을 보니 저희 기분이 덩달아 좋아지는 것 같습니다.

출처- LG 헬로비전 X MBN 엄마는 예뻤다
천안엄마의 변화한 모습을 보니 앞으로 더 건강하게, 아름답게, 메이크오버 될 다른 엄마들의 모습도 너무 기대되는 것 같은데요.
한분 한분 저희 부모님처럼 진심을 다해 건강한 아름다움을 찾아드렸으니 저희 엄마는 예뻤다 치과의 활약도 기대해주시고, 여러분도 함께 지켜보시면서 많은 응원 부탁드려요! :)
엄마는 예뻤다
연출 김종일, 이훈희, 정재환, 윤원섭, 임태환, 손동식, 조윤주, 정현지, 허지원, 김민성, 이성준 출연 황신혜, 이지혜, 장민호, 이경민 방송 2022, LG헬로비전

Explore More
Keep Browsing This Clinic's Korean Content Trail.
Return to the source archive for more posts, or move back to the clinic profile to compare the rest of the clinic's public channels.