미니쉬치과병원ㅣMinish Dental Hospital ㅣミニッシュ歯科病院ㅣ美尼仕牙科医院ㅣ美尼仕牙科醫院
[엄마는 예뻤다] 가평아들 "미니쉬 10점 만점에 10점인 거 같아요."
안녕하세요. 미니쉬치과병원입니다. 강정호 원장님이 치과 주치의로 출연하고 있는 LG헬로비전 <엄마는 예뻤다> 어느덧 3화까지 방송이 되었는데요! 지난 일요일에 공개 된 '가평엄마' 편에서는 생사의 고비를 넘기고 한국에 정착한 새터민 엄마와 유난히 일찍 철든 가평아들의 이야기가 많은 이들의 마음을 울렸습니다. 고생하...
안녕하세요. 미니쉬치과병원입니다.
강정호 원장님이 치과 주치의로 출연하고 있는 LG헬로비전 <엄마는 예뻤다>
어느덧 3화까지 방송이 되었는데요!
지난 일요일에 공개 된 '가평엄마' 편에서는 생사의 고비를 넘기고 한국에 정착한 새터민 엄마와 유난히 일찍 철든 가평아들의 이야기가 많은 이들의 마음을 울렸습니다.


고생하는 엄마를 돕기 위해 출근한 아들 (출처 - LG헬로비전 X MBN 엄마는 예뻤다)
가평아들은 태어날 때부터 심장병과 치아가 없는 선천적 결손치를 가지고 있었는데요.

치아 콤플렉스(선척적 결손치)로 입을 가리는 가평아들 (출처 - LG헬로비전 X MBN 엄마는 예뻤다)

출처 - LG헬로비전 X MBN 엄마는 예뻤다
두개여야 할 앞니가 하나밖에 없었기 때문에 미관상 보기 안 좋고 자신감이 떨어지고 치아의 정상적인 기능이 제대로 이루어지지 않고 있었습니다.
엄마는 예뻤다 치과 주치의인 강정호 원장의 마음까지 뭉클하게 만든 가평아들. 강정호 원장이 그런 가평아들의 치과 주치의로 나섰습니다.

가평아들과 치과 주치의 강정호 원장 (출처 - LG헬로비전 X MBN 엄마는 예뻤다)
"미니쉬하고 친구들한테
가장 먼저 자랑했어요."
- 가평아들 인터뷰 中
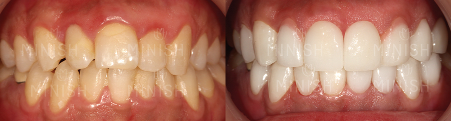
가평아들 Before & After

● 질환: 선천적 결손치(#21번, #34번), 치아비대칭, 교합 틀어짐
● 촬영일자: Before 2022.03.16 After 2022.04.08
● 실치료기간: 5일
개인에 따라 치료 기간이 다를 수 있으며, 부작용이 발생할 수 있으니 의료진의 정확한 진료를 받고 치료를 진행하시기 바랍니다.
미니쉬로 다시금 건강하게 결손된 앞니 한 개를 복원하고 심미적, 기능적으로 개선하여 환한 미소를 되찾은 가평아들!
미니쉬를 만나기 전과 후의 가평아들은 어떤 마음이었을지, Q&A로 만나볼까요? :)
▶ 가평아들 사연이 궁금하다면?
가평아들, 미소를 되찾다!
<엄마는 예뻤다> 가평아들 치과 주치의로 인연을 맺은 이OO님!
선천적 결손치로 인해 어릴 적부터 친구들의 놀림 속에서 마음의 상처를 받고 혼자 견뎠습니다. 어린 아이가 혼자 견뎌야 했을 아픔이 너무 컸을 것 같은데요.
하지만 미니쉬를 만난 이후 가평아들의 인생은 완전히 바뀌었습니다. 선천적 결손치로 인해 짝꿍이 없었던 앞니를 두 번째 앞니인 측절치를 미니쉬 솔루션을 이용해 정상적인 형태로 복원해주었죠. 뿐만 아니라 #34번 치아 미싱으로 삐뚤빼뚤했던 치아 배열과 색감, 질감까지 건강하고 아름답게 개선이 되었으며, 핑크미니쉬로 자연스러운 치아 형태 개선 및 잇몸 라인 대칭이 완성되었습니다.
미니쉬(MINISH)는 치아를 틈새없이 코팅해주어 치아를 복원 및 재건하고, 안전하게 보호하는 치료입니다.
▶치아 복원 기술, 미니쉬 더 알아보기
"활짝 웃어 본 적이 없어서.."
아직은 웃는 것이 어색한 이OO님이지만 조금씩 미소짓는 가평아들을 보니 너무나 뿌듯하고 마음이 따뜻해졌습니다. 자, 그럼 가평아들과 진행한 인터뷰 함께 만나보시죠^^!
미니쉬 전 & 미니쉬 후
셀프 인터뷰


[전] 가평아들 미니쉬 [후]
Q. 어떤 치아 고민이 있으신가요?
A. 앞니가 두 개 나야 하는데 한 개 밖에 안 나서.. 한 개 난 것도 엄청 크게 나서 고민이었어요.
Q. 언제부터 치료를 받고 싶었나요?
A. 어릴 때부터 다니던 치과 있어서 교정하려고 했는데 이거는 대학병원 가야 한다고 해서 못 하고 여기로(미니쉬치과병원) 왔어요. 여기서도 안 된다고 하면 대학병원을 가려고 했고요.
Q. (치료가) 된다고 했을 때 기분이 어땠나요?
A. 너무 좋았어요. 저는 교정을 생각하고 왔는데 교정은 오래 걸리잖아요. 원장님이 며칠이면 된다고 해서 좋았어요.
Q. 치아 때문에 스트레스 받은 경험이 있나요?
A. 초등학생 때 친구들이 많이 놀렸어요. (치아가)토끼 같다는 말을 가장 많이 들은 것 같아요. 원래 상처를 받는 타입이 아니라서 놀리면 나도 똑같이 놀려서 큰 스트레스는 안 받았어요. 근데 사실 보기에는 그렇지만 집가서 거울보면 내가 봐도 크구나 생각하곤 했어요.
Q. <엄마는 예뻤다>를 신청한 이유는 뭔가요?
A. 엄마가 어릴 때는 진짜 예뻤거든요. 전보다 머리도 훨씬 길고, 근데 어느 순간 일밖에 안하고 피부도 안 좋아지고 갱년기라고 하셔서 치료 받으시라고 신청하게 됐습니다.
Q. 원장님과 상담은 어땠나요?
A. 친절하게 상담해주셨어요. 상담하면서 놀랐던 부분이 치아 콤플렉스를 갖고 있는 사람들은 사진 찍을 때나 웃을 때 보면 활짝 안 웃는다고 하셨거든요. 저는 의식한 적 없는데 '그런가..' 싶어서 찍은 사진을 봤더니 정말 활짝 웃는 사진이 한 장도 없더라고요. 정말 대단하다고 느꼈습니다.
Q. 미니쉬하는 심정은? 미니쉬 후 가족들 반응은 어떨 거 같나요?
A. 많이 설레입니다. 엄마가 계속 그랬거든요 '난 이거 평생 해주고 싶었다고,' '이것만 해결되면 정말 좋을 거 같다'고 하셨는데.. 동생들도 엄청 부러워할 거 같아요.
Q. 미니쉬 후 무엇을 제일 먼저 하고 싶나요?
A. 자랑하고 싶어요. 토끼 이빨 사라졌으니까 치아 보여주면서 애들 놀라는 반응 보고 싶어요.

출처 - LG헬로비전 X MBN 엄마는 예뻤다
Q. 미니쉬 치료 기간은 얼마나 걸렸나요?
A. 전체 5일 걸렸습니다.
Q. 불편한 점은 없으셨나요? 어떤 음식을 드셔보셨나요?
A. 없었어요, 식사할 때도 편했어요. 딱딱한 음식은 바로 안 먹고 그냥 평상시에 먹던 음식으로 다 먹었습니다.
Q. 미니쉬가 내 치아처럼 느껴지나요?
A. 한지 별로 안돼서 앞니쪽은 내 치아 아닌 느낌이 있는데 시간 지날수록 크게 신경 안 쓰이는 거 같아요.
Q. 미니쉬 후 가장 먼저 한 일은 무엇인가요?
A. 친구들한테 가장 먼저 자랑했어요! '이 볼래' 하고 보여주고.. 친구들이 교정보다 훨씬 나은 거 같다고 '나도 할 걸' 하는 반응이었어요.
Q. <엄마는 예뻤다>에 출연하신 어머니 반응은 어떠셨나요?
A. 평생 한이 풀렸다 항상 이게 걱정이었는데 드디어 해결됐다고 여한이 없다고 하셨어요. 동생들도 부럽다고 했어요 동생도 치아가 좋지 않아서요. 완전 새 이빨 같다고 했어요.
Q. 표정이 밝아진 게 느껴지시나요? 웃는 건 어떠세요?
A. 제가 느끼기엔 많이 밝아졌어요! 스스로도 24년을 활짝 웃고 안 찍어서 적응은 안 되는데 활짝 웃지 않다보니까 입꼬리가 떨리더라고요. 자연스럽게 웃는 법을 최대한 연습하고 있어요.
Q. (미니쉬 후)셀카 찍은 게 있으신가요?
A. 셀카를 잘 안 찍어서.. 근데 친구들이랑 사진 찍을 때는 대놓고 치아를 보이게 찍고 있어요. 안 만난 친구들도 SNS 스토리 보고 '어?'하고 치아 바뀐 걸 알아 차리라고 일부러 티나게 하고 있어요.
Q. 미니쉬 추천하시나요?
A. 10점 만점에 10점인 거 같아요. 상담, 진료, 서비스 모든 게 다 좋았어요. 그냥 무조건 하는 걸 추천드립니다. 후회 안해요. 시간도 짧고 교정보다 훨씬 좋은 거 같아요.
Q. 과거의 나를 보내며, 한 마디 해주세요!
A. '잘가!' 딱 두글자면 될거 같아요 ^^
짧게나마 가평아들과의 인터뷰를 전해드렸는데요.
마지막 질문 중, 과거의 나를 보내며 '잘가' 딱 두글자면 된다는 말이 가평아들의 마음이 고스란히 전달되는 거 같습니다. 어머니의 한이자 가평아들의 콤플렉스였던 치아. 미니쉬로 건강한 아름다움을 선사해드릴 수 있어 너무 기쁩니다.

엄마와 아들의 사연을 듣고 고민하는 강정호 원장 (출처-LG헬로비전 X MBN 엄마는 예뻤다)
엄마는 예뻤다 치과 주치의
강정호 원장의 솔루션은 계속 됩니다.
다음 엄마는 어떻게 변화할지 벌써 기대가 되는데요! MBN 채널에서 방영되는 <엄마는 예뻤다> 매주 일요일 오후 5시에 만나요!
오늘도 미니쉬 스마일~😁
엄마는 예뻤다
연출 김종일, 이훈희, 정재환, 윤원섭, 임태환, 손동식, 조윤주, 정현지, 허지원, 김민성, 이성준 출연 황신혜, 이지혜, 장민호, 이경민 방송 2022, LG헬로비전


미니쉬치과병원 서울특별시 강남구 언주로 728


Explore More
Keep Browsing This Clinic's Korean Content Trail.
Return to the source archive for more posts, or move back to the clinic profile to compare the rest of the clinic's public channels.