미니쉬치과병원ㅣMinish Dental Hospital ㅣミニッシュ歯科病院ㅣ美尼仕牙科医院ㅣ美尼仕牙科醫院
꽃게엄마와 딸의 치아
동상이몽 同床異夢 같은 잠자리에서 서로 다른 꿈을 꾼다 한 모녀가 나란히 치과를 찾았습니다. 사람들 저마다 비슷한 치아 고민처럼 보여도 연령대별로 조금씩 다른 불편함을 가집니다. 똑같은 치아 문제를 가진 듯 하지만, 두 사람의 속 사정은 달랐죠. 편하게 식사하는 게 소원인 엄마와 치아 콤플렉스를 극복하고 당...
동상이몽
同床異夢
같은 잠자리에서 서로 다른 꿈을 꾼다
한 모녀가 나란히 치과를 찾았습니다.

사람들 저마다 비슷한 치아 고민처럼 보여도 연령대별로 조금씩 다른 불편함을 가집니다.
똑같은 치아 문제를 가진 듯 하지만, 두 사람의 속 사정은 달랐죠. 편하게 식사하는 게 소원인 엄마와 치아 콤플렉스를 극복하고 당당하게 사회에 나오고 싶은 딸!
LG헬로비전 '엄마는 예뻤다' 꽃게 모녀의 <치아 동상이몽>을 함께 보실까요
남들 시선이 신경 쓰여요
-엄마는 예뻤다 | 꽃게딸-
사회 생활로 다양한 사람들을 만나기 시작하면, 외모에 한층 신경쓰게 됩니다.
사소한 외적 결함은 자존감을 떨어뜨리고 소극적인 자세를 취하게 만들기도 하는데, 이러한 태도는 사람들 사이의 건강한 교류 또는 개인의 사회적 성장을 방해할 수 있습니다.


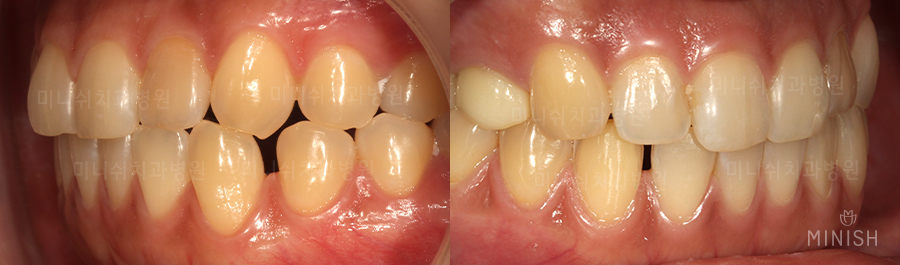
치아 사이가 벌어지면,
말하거나 웃을 때 빈 공간만큼 까맣게 보입니다.
벌어진 치아를 가리기 위해 부자연스러운 표정을 짓거나 입을 가리는 습관이 생기기도 하는데요.
이는 사회적 자신감 결여로 이어질 수 있어 주의가 필요합니다.
빈 공간으로 바람이 새, 발음 교정이 필요하기도 합니다. 벌어진 정도에 따라서는 음식물이 잘 끼는 반면 쉽게 빠지지 않아 치석, 충치, 풍치 등 다양한 구강 질환의 원인이 되는데요. 특히 구취는 사회 생활을 함에 있어 커다란 단점으로 작용합니다.
<엄마는 예뻤다> '꽃게딸'로 출연한 연극배우 문OO님은
말하고 노래하는 일이 많은 직업의 특성상, 벌어진 치아로 인해 생계활동에 어려움을 겪었습니다.

- 심미적 문제
말하고 노래할 때 화면에 치아 벌어짐이 그대로 비춰졌고, 콤플렉스를 드러내지 않기 위해 입을 최대한 작게 벌리고 노래하는 등 일에 온전히 집중하기 어려웠습니다. 오디션에 번번히 탈락하는 이유가 본인의 부족한 외모 탓이라고 느껴 자책감과 우울감을 느끼기도 했습니다.
- 반대 교합
윗 치아들이 아래 치열을 덮는 것이 정상적인 교합인데, 왼쪽 치아에서는 이러한 교합이 반대로 나타나는 '편측성 반대교합'이 보입니다. 반대교합을 방치하면 식사, 발음 등 기능 문제나 얼굴형의 변화같은 외모 콤플렉스까지 야기할 수 있어 빠른 개선이 필요합니다.
- 새는 발음
정상적이지 않은 교합으로 인해 좌우 치아 사이 뿐 아니라 상하 치아 벌어짐이 동반되었습니다. 복합적인 치아의 벌어짐으로 공간이 커져 더 부정확한 발음 교정이 필요했습니다.
벌어진 치아와 교합 문제를 교정으로 해결하려 했다면, 적어도 1~2년의 치료 기간을 예상해야 했을텐데요.
연극배우라는 직업 특성상, 교정기를 착용한 모습과 어눌한 발음으로 수년간 지내는 것은 쉽지 않아 보입니다.
꽃게딸은 벌어진 치아를 미니쉬로 해결했습니다.
>> Q. 미니쉬가 뭔가요?

좌우 / 위아래의 벌어진 공간이 단 이틀만에 닫혔습니다.
교정 없이 양 옆 치아 사이의 공간을 폐쇄하고 조화로운 교합을 만들었죠. 심미적 문제 뿐만 아니라 씹고, 말하는 기능 모두를 회복했습니다.
치아 벌어짐, 발음 교정을 목표로 부분적인 치료를 진행했을 뿐, 앞니에는 어떤 치료도 하지 않았는데요.
건강한 치아를 갖게 되자, 웃는 모습이 한층 아름다워지고 전체적인 안모의 대칭 또한 되찾았네요!
꽃게엄마도 아름다움을 위해 치과를 찾아왔을까요?
엄마의 사정은 그 보다 조금 더 심각했습니다.
밥 먹기가 어려워요
-엄마는 예뻤다 | 꽃게엄마-

중년이라는 시기에 접어들면, 치아도 노화하며 임플란트에 대한 관심이 높아집니다.
치아가 없다면 삶의 질이 현저히 떨어지기 때문이죠. 보통 30대가 넘어가면 충치 발생율은 현저히 떨어지고 풍치 발생 위험이 높아지는데요.
흔한 질병인 풍치를 방치하면 임플란트가 불가능한 상태까지 악화된다는 사실, 알고 계셨나요?
풍치로 인해 염증이 발생하고 잇몸뼈가 녹기 때문에 치아를 잃음과 동시에 임플란트 수술 또한 어려워집니다.
인공 치근을 심을 뼈가 충분하지 않기 때문이죠. 인공뼈를 이식하는 골이식술을 병행해 임플란트 수술에 도전할 수 있지만, 많은 노력과 비용을 들이는 것에 비해 결과가 불투명해 '치료 실패'라는 위험을 감수해야 합니다.
어려운 수술을 피하는 최선의 방법은
자연 치아를 보존하는 것


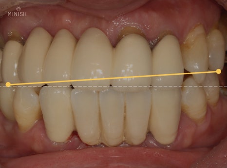
꽃게엄마는 치아의 대부분을 상실한 상태로, 앞니 전체를 크라운브릿지가 뒤덮고 형태적, 기능적 역할을 대신하고 있었습니다.
보철물의 좌우 대칭이 맞지 않아 안모의 대칭까지 깨져보였죠. 오래된 보철물은 제대로 관리가 되지 않으면서 잇몸퇴축, 변색 등 건강을 해치고 있었는데, 남아 있는 자연 치아에도 풍치로 인한 움직임이 관찰되었습니다.
잔존 치아마저 발치하게 된다면, 더이상 브릿지를 유지할 수 없어 임플란트 또는 틀니의 착용이 불가피해집니다.
임플란트는 이미 많이 진행된 풍치로 인해 수술이 실패할 확률이 높고, 틀니는 잇몸의 지지만을 받기 때문에 저작력이 약해 음식을 잘게 자르기 어렵습니다. 걱정없이 씹고, 잘 먹는 생활을 유지하고 싶다면 자연 치아를 지켜야 하는 것이죠.
풍치를 예방하고 진행을 막으려면?
무엇보다 잇몸 치료가 선행되어야 합니다!

꽃게엄마는 오래된 보철물을 제거하고 스케일링, 치근활택술과 같은 잇몸치료를 통해 잇몸 건강을 되찾았습니다.
하지만 치료 이후에도 한 번 진행된 잇몸퇴축은 회복되지 않죠. 치아 사이를 채워주던 잇몸이 내려가, 블랙트라이앵글이 생겼고 치아가 길어보입니다.
핑크미니쉬로 잇몸퇴축 전의 형태를 재현하고 얼굴과 조화를 이루는 치아의 길이를 만들어주었습니다.
안모의 대칭까지 깨뜨렸던 삐뚤어진 크라운브릿지를 핑크미니쉬브릿지로 대체해 사라졌던 잇몸과 구강, 안모의 대칭을 되찾았습니다. 심미적으로 안정된 모습을 확인할 수 있죠.
보철치료 이후, 자연치아와 보철물의 결합이 정밀하지 않다면, 틈이 생기고 여러 이물질과 세균이 침입합니다.
보철물의 수명 단축은 물론 잇몸퇴축, 치아와 잇몸에 질환을 발생시킵니다. 그래서 중요한 것이 정밀하고 틈 없는 결합이며, 보철물의 수명으로 정밀성을 증명할 수 있습니다.
눈으로 확인되는 '정밀성'

들뜬 부위없이 맞춤 결합해 건강하고 자연스러워 보입니다.
● 질환: 풍치로 인한 잇몸퇴축, 치축 틀어짐
● 촬영일자:Before 2022.03.02 After 2022.04.15
● 실치료기간: 11일
- 개인에 따라 치료 기간이 다를 수 있으며, 부작용이 발생할 수 있으니 의료진의 정확한 진료를 받고 치료를 진행하시기 바랍니다.
치료 후에도 건강을 유지하기 위해서는 집에서의 관리가 매우 중요합니다.
나의 구강 상태에 맞는 칫솔과 치약을 사용해야 하는데요. 집에서의 올바른 칫솔질만으로도 질병발생 위험을 현저히 낮출 수 있다고 하니, 힘든 치료 과정을 반복하지 않기 위해서 가정에서의 구강 관리에 더욱 힘쓰는 것이 좋겠죠?😊
✔ 나에게 맞는 칫솔, 치약 선택하기
✔ 풍치를 예방하는 칫솔질법
글, 디자인 | 미니쉬 콘텐츠전략기획부
자료제공 | 미니쉬치과병원


미니쉬치과병원 서울특별시 강남구 언주로 728


Explore More
Keep Browsing This Clinic's Korean Content Trail.
Return to the source archive for more posts, or move back to the clinic profile to compare the rest of the clinic's public channels.