미니쉬치과병원ㅣMinish Dental Hospital ㅣミニッシュ歯科病院ㅣ美尼仕牙科医院ㅣ美尼仕牙科醫院
임플란트도 어려운 풍치 치아? [미니쉬브릿지]
상실된 치아를 수복하는 인공 대체물 치과 치료에서 '브릿지'란, 상실 치아의 양 옆에 있는 자연 치아를 고정원으로 삼아 인공 치아를 지지하도록 해 빈 치아의 형태와 기능을 대신하는 방법입니다. 크라운브릿지의 인접치아 손상 정도 빈 치아를 대체할 치료법을 찾아볼 때, 크라운브릿지를 고려해볼 수 있습니다....
상실된 치아를 수복하는 인공 대체물
치과 치료에서 '브릿지'란, 상실 치아의 양 옆에 있는 자연 치아를 고정원으로 삼아 인공 치아를 지지하도록 해 빈 치아의 형태와 기능을 대신하는 방법입니다.

크라운브릿지의 인접치아 손상 정도
빈 치아를 대체할 치료법을 찾아볼 때, 크라운브릿지를 고려해볼 수 있습니다.
하지만 간단한 치료 과정과 짧은 치료 기간이 장점이지만, 건강한 자연 치아의 손상이 동반되는 점을 인지하고 있어야 합니다.
그렇다면 자연 치아를 지키면서 치아 상실을 대체하는 방법에는 어떤 것이 있을까요?
임플란트?
미니쉬브릿지!

풍치로 인해 잇몸 뼈가 녹고 잇몸이 내려가 치아의 뿌리가 드러나는 경우, 치아는 충분한 지지를 받지 못하고 흔들리게 됩니다.
음식을 자르거나 씹는 기능을 해내지 못하고 이물질만 쌓이는 등 구강에 악영향을 미친다면 발치가 필요할 수 있습니다.
흔히 치아를 뽑고 나서 임플란트 수술하면 될 거라 생각하겠지만 잇몸 뼈가 소실된 경우 임플란트 수술이 어려울 수 있는데요.
임플란트 치료의 성공 여부를 가르는 것 중 하나가 건강한 잇몸뼈이기 때문입니다.
임플란트 수술 과정을 살펴보면 치아 뿌리 부분에 해당하는 임플란트 나사(스크류)가 잇몸 뼈에 식립됩니다.
이때 '적절한 건강도와 충분한 양'이라는 조건을 만족하는 잇몸 뼈에 식립되었을 때, 건강하게 오랜 기간 유지될 수 있습니다.

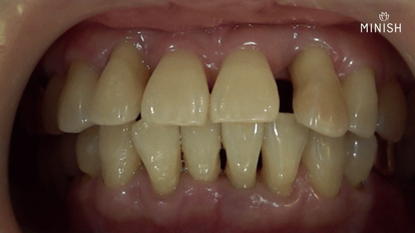
▲ 잇몸 뼈가 심하게 소실된 2개의 작은 앞니는 발치가 필요한 상황입니다.
하지만 잇몸 뼈가 정상 범위에 비해 매우 부족해 임플란트 수술을 시도하기 어렵죠. 인공뼈를 이식하는 등 어렵고 긴 수술 과정에 비해 성공 확률이 희박하기 때문입니다.
임플란트 수술이 불가한 치아상실에
<미니쉬브릿지>

남아있는 치아를 지지대로, 치아 상실을 대체하는 미니쉬브릿지. 건강한 양 옆 치아의 손상을 걱정하지 않아도 됩니다.
ㄴ 미니쉬브릿지가 건강을 지키는 방법
▶ 미니쉬브릿지, 언제 필요한가요?
① 치아가 상실되었지만 치조골의 소실로 임플란트 수술이 어려운 경우
② 남아 있는 자연 치아의 상태가 건강한 경우
③ 수술에 대한 공포감이 있는 경우
④ 지혈이 되지 않는 등의 문제로 수술할 수 없는 경우
⑤ 심미적 수복이 중요한 경우
잇몸 뼈가 부족해 임플란트가 불가능한 치아에 미니쉬브릿지를 적용, 자연 치아의 모양과 기능을 대신했습니다.

발치 후 미니쉬브릿지 적용한 모습
· 질환: 풍치
· 촬영일자: 구강 3.17ㅣ5.27
· 실치료기간: 12일
- 개인에 따라 치료 기간이 다를 수 있으며, 부작용이 발생할 수 있으니 의료진의 정확한 진료를 받고 치료를 진행하시기 바랍니다.
임플란트 없이도 튼튼한 작은 앞니를 만들어낸 것이죠. 치아를 코팅하는 과정에서 치아의 손상된 형태나 색상, 앞으로 뻗쳐있던 각도까지 개선했습니다. 각 치아의 크기를 재분배해 벌어졌던 공간도 닫을 수 있었습니다.
미니쉬브릿지로 기능과 심미를
모두 회복한 모습을 보세요!

구강의 건강을 회복하고 아름다운 치아를 넘어 안모의 균형과 건강미가 느껴집니다.
감추고 싶은 치아에서 벗어나 미니쉬브릿지로 자신있는 삶을 만나 보세요 😊



Explore More
Keep Browsing This Clinic's Korean Content Trail.
Return to the source archive for more posts, or move back to the clinic profile to compare the rest of the clinic's public channels.