미니쉬치과병원ㅣMinish Dental Hospital ㅣミニッシュ歯科病院ㅣ美尼仕牙科医院ㅣ美尼仕牙科醫院
힘들게 살아온 모녀의 치아가 이렇게 변했다! | 엄마는예뻤다
안녕하세요. 미니쉬치과병원입니다. 오늘은 <엄마는 예뻤다>에서는 남편을 먼저 보내고 아이들을 키우며 힘겹게 살아 온 안성엄마의 사연이 방송됐습니다. 저희 병원을 방문한 안성엄마는 기존 치과들의 치아를 깎는 치료에 대한 거부감으로 차일피일 미루다가, 결국 풍치증상으로 치아흔들림까지 겪게 되었습니다. 반면, 치...
안녕하세요.
미니쉬치과병원입니다.
오늘은 <엄마는 예뻤다>에서는 남편을 먼저 보내고 아이들을 키우며 힘겹게 살아 온 안성엄마의 사연이 방송됐습니다.
저희 병원을 방문한 안성엄마는 기존 치과들의 치아를 깎는 치료에 대한 거부감으로 차일피일 미루다가, 결국 풍치증상으로 치아흔들림까지 겪게 되었습니다. 반면, 치아를 삭제하지 않고 오히려 건강하게 채워주는 미니쉬를 만난 후, 정말 원하고 찾던 치료라며 매우 좋아했는데요.
과연 안성엄마와 안성딸은 치아 치료를 받기 전 어떤 심정이었을까요?
안성엄마
'내 치아에 보내는 편지'
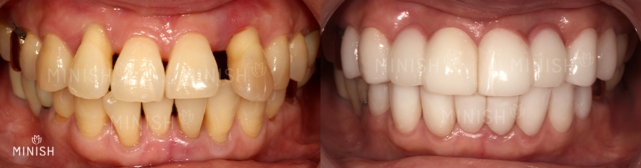
안성엄마, 미니쉬 만나기 전
Q. 어떤 치아 고민을 갖고 계신가요?
윗니 사이가 벌어져 있어서 사람과 대화할 때 자신감 없고, 환하게 못 웃었어요.
Q. 그동안 치아 치료를 왜 안 받았나요?
동네 치과를 갔는데 아랫니는 전체 발치, 윗니는 앞니 두 개를 갈아내고 보철물을 해야 한다고 했습니다. 전 제 앞니 두 개는 상태가 괜찮은데 이를 갈아내는 걸 받아드릴 수 없었어요. 그래서 조금만 버텨보자는 게 현재 상태까지 왔습니다.
Q. 치아로 인한 스트레스는?
화난 얼굴이라는 이야기를 많이 들었어요. 차갑다, 무뚝뚝하다. 이런 말이 너무 스트레스였어요.
Q. 미니쉬치과병원에 처음 왔을 때 소감은?
엄마는 예뻤다 섭외 당시 가장 와닿았던 게 치과 치료였습니다. 예전부터 외국에는 내 이를 살리면서 하는 치료가 있다고 하여 외국으로 치과 치료를 받으러 가고 싶다고 할 정도로 제 이를 살리고 싶었는데, 처음 이곳을 왔을 때 이를 살리는 치료가 가능하다고 해서 깜짝 놀랐고, 너무 행복했습니다.
Q. 미니쉬를 앞둔 소감은?
윗니와 아랫니가 반듯하고, 하얗게 되면 환하게 웃을 수 있는 엄마가 될 수 있다는 생각에 기대감이 커요.
Q. 미니쉬 후 하고 싶은 건?
먼저 셀카를 찍을 거 같아요. 웃고, 찡그려도 보고 이를 드러낼 정도로 환하게 웃어도 보고요. 그중 잘나온 사진은 가족 톡방에 올리고 자랑할거예요.
Q. 미래의 나에게 한마디
너에게 미안해, 마음이 어두워지니까 자꾸 우울한 상활들을 만들었잖아... 치료 받고 나면 당당함과 자신감 자존감 다 모든 게 업될 거 같고 앞으로 행복한 미래를 설계하고 싶어. 지금까지 고생 많았고 이제부터는 웃는 일만 있게 해줄게 사랑한다 고마워.
안성엄마, 미니쉬 만난 후

● 질환: 풍치
● 촬영일자: 구강 3.17ㅣ5.27
● 실치료기간: 12일
*개인에 따라 치료 기간이 다를 수 있으며, 부작용이 발생할 수 있으니 의료진의 정확한 진료를 받고 치료를 진행하시기 바랍니다.
Q. 미니쉬 한 소감은?
예전에는 음식을 다 잘라서 먹었는데 지금은 편하게 음식을 먹을 수 있어서 좋고, 환하게 웃을 수 있어서 좋아요. 이로인해 자존감이 많이 올라간 거를 느끼고 있습니다.
Q. 요즘 사진은 자주 찍나요?
너무 많이 찍어서요.가족 단톡방에 예쁜 거를 골라서 올리는데 처음에는 "엄마 예쁘다", "건강해 보인다"라고 했는데 계속 하니까 이제는 답장도 안해요(웃음)
Q. 미니쉬 후 가장 먼저 자랑한 사람은?
딸들한테요. 미니쉬 끝나자마자 바로 단톡에 보냈어요. 그다음 엄마한테 가서 보여드렸어요.
Q. 미니쉬 후 가장 먼저 먹은 음식?
깍두기요. 원래는 네등분해서 먹었는데 알타리를 앞니로 그냥 콱 물어 먹었어요. 갈비도 통째로 뜯어 먹을 수 있어요.
Q. 과거의 나를 보내며 한마디
예전에는 참 많이 힘들었어 지금은 바뀐 거 알고 있지?
매일 거울을 보는 너 자신을 보면서 너 자신이 행복해하는 거 그리고 마음껏 아무거나 먹을 수 있다는 거 이거에 참 감사함을 느끼는 거 알고 있을거야. 치아 치료 후 환하게 웃고 먹을 수 있는 치아 됐으니 앞으로 관리 잘해서 남은 날은 웃으며 행복하게 살고 싶어. 옛날에 힘든 치아를 가졌을 때 나는 빠빠이! 새로운 치아를 가진 나 파이팅!
안성딸
미니쉬 만나기 전후 인터뷰
소리가 중요한 판소리를 전공하는 안성딸. 치아틈이 있다면 노래할 때 불편함이 많은데요. 미니쉬를 앞두었을 때 어떤 심경이었을까요?
안성딸, 미니쉬 만나기 전


● 질환: 잇몸염증, 잇몸부종, 치아틈
● 촬영일자: 구강 4.1ㅣ5.13
● 실치료기간: 17일
*개인에 따라 치료 기간이 다를 수 있으며, 부작용이 발생할 수 있으니 의료진의 정확한 진료를 받고 치료를 진행하시기 바랍니다.
Q. 어떤 치아 고민을 갖고 계신가요?
잇몸에서 피가 나요. 입이 잘 안 벌어지고요.
Q. 노래할 때 불편한 점은?
입을 크게 벌려서 소리를 해야 하는데 입이 안 벌어지니까 목으로 소리를 내게 되더라고요. 그래서 목이 자주 아파요. 그리고 발음도 잘 안 되고요.
Q. 치아 치료를 받아야겠다고 결심했을 때는?
치아가 많이 틀어져 있다고 알았던 건 초등학교 5학년때예요. 교정을 하려 했는데 때가 아니라고 해서 나중에 하자고 하더라고요. 시간이 지나서 하려고 보니까 양악수술을 해야 한다고 했어요.
Q. 어떤 치아로 바뀌고 싶나요?
웃었을 때 썩소처럼 보이더라고요. 후면 카메라로 찍으면 좌우반전을 꼭 해야 할 정도로 치아가 달라서 웃었을 때 양쪽이 대칭되는 치아를 갖고 싶어요
Q. 미니쉬 후 가장 하고 싶은 건?
웃으면서 사진 찍고 싶어요. 그리고 한복 입고 프로필 사진 찍을 거예요.
안성딸, 미니쉬 만난 후


Q. 미니쉬 후 느낌은 어떤가요?
처음에는 씹고 이런 게 어색했는데 지금은 편하고, 치료한 거를 잊을 정도예요.
Q. 미니쉬 후 가장 좋은 점은?
치아 예쁘다는 이야기 많이 듣고, 몰랐는데 이때문에 피부색이 칙칙했더라고요. 사진 찍을 때 이가 밝으니까 좀 더 화사해보여요.
Q. 친구들 반응은?
제가 웃으면서 얘기하니까 동기들이 먼저 이에 뭐했냐고 물어봤어요. 되게 화사해 보인데요.
Q. 미니쉬치과병원 어땠나요?
첫 번째로 치위생사분들이 너무 좋았어요. 치과에 대한 두려움이 컸는데 손잡아주고, 다독여주니까 덜 무서웠어요. 그리고 전화로 물어보면 모두 상세하게 알려주셨어요. 너무 좋았습니다.
Q. 미니쉬를 고민하는 분들에게
치과를 무서워하는 분들에게 딱인 거 같아요. 친구 중에 앞니가 까만 친구가 있는데 그 친구에게 추천해주고 싶어요.
안성엄마& 안성딸
웃음만 남은 앞날!
연이은 불행으로 어두운 삶을 살아 온 안성엄마. 결국 치아로까지 이어져 풍치증상, 앞니흔들림으로 고생을 하셨습니다.


그러나 이제는 항상 밝은 웃음을 짓는 자신을 보며 밝은 삶을 살 거 같은데요. 또한, 안성딸도 치아틈을채우고 시원하게 소리를 내게 되었습니다. 모녀의 앞날에 꽃길만 펼쳐지길 바랍니다.
안성엄마뿐 아니라 많은 엄마들의 가슴아픈 사연과 자신감 있는 삶을 찾는 이야기
매주 일요일 5시 LG헬로비전 또는 MBN에서 확인하세요!
온에어 - MBN 최신뉴스 코이카, 베트남서 미국국제개발처와 기후변화 대응 협력 Play Video No compatible source was found for this media. 생생 정보마당 방송 중 편성표 전체보기 생생 정보마당 10:00 ~ 속풀이쇼 동치미 11:00 ~ 나는 자연인이다 12:30 ~

미니쉬치과병원 서울특별시 강남구 언주로 728



Explore More
Keep Browsing This Clinic's Korean Content Trail.
Return to the source archive for more posts, or move back to the clinic profile to compare the rest of the clinic's public channels.