미니쉬치과병원ㅣMinish Dental Hospital ㅣミニッシュ歯科病院ㅣ美尼仕牙科医院ㅣ美尼仕牙科醫院
안성엄마와 딸을 괴롭힌 잇몸병 [엄마는예뻤다]
대부분의 극에는 주인공이자 이야기를 이끌어가는 주연과 그의 주변 인물인 조연이 있습니다. 보통 스포트라이트는 주연에게 향하지만, 극의 재미를 더하는 '특급 조연'들이 있어 더 풍부한 이야기를 만들 수 있습니다. 개성 강한 조연의 등장으로 주연 배우들의 존재감이 묻히는 경우도 종종 있죠. 우리가 맛있는 음식을 먹...
대부분의 극에는 주인공이자 이야기를 이끌어가는 주연과 그의 주변 인물인 조연이 있습니다.
보통 스포트라이트는 주연에게 향하지만, 극의 재미를 더하는 '특급 조연'들이 있어 더 풍부한 이야기를 만들 수 있습니다. 개성 강한 조연의 등장으로 주연 배우들의 존재감이 묻히는 경우도 종종 있죠.
우리가 맛있는 음식을 먹을 수 있게 하는 주연은 누구일까요?
치아? 혀?
누구도 잇몸을 주연으로 생각하진 않을 겁니다.
하지만 치아가 튼튼하게 유지될 수 있는 데에는 잇몸의 역할이 큽니다.
치아가 뿌리를 내리고 있는 잇몸뼈를 보호하고 뿌리가 밖으로 드러나지 않게 감싸주는데요. 이는 치아 시림 증상을 막아줍니다.
잇몸 건강을 잃고 웃음도 잃어버린 모녀, 안성엄마와 안성딸의 이야기를 들어보세요.
안성엄마는 예뻤다 치과 방문기
예전에는 잘 웃고 너무 밝았어요
-안성딸-

사진제공 : LG헬로비전 <엄마는 예뻤다> 7회 예고편 중
안성엄마는 사랑하는 남편을 교통사고로 잃고 1년여를 방황했습니다.
힘들어하는 그녀를 일으킨 것은 친정 어머니와 오빠의 아낌없는 지원이었는데요. 도움에 보답하고자 열심히 살던 중 친정 식구들이 연이어 뇌졸중으로 쓰러지며 2년간의 병간호가 시작됩니다.
말그대로 악재들이 연이어 겹치며 안성엄마의 얼굴은 점점 빛을 잃어갔습니다.

엄마는예뻤다 치과 방문
안 좋은 일들은 그녀의 입 안에서도 이어졌습니다.
스트레스, 면역 저하, 우울감으로 인한 관리 소홀 등의 문제가 복합적으로 발생한 탓일까요? 안성엄마의 치아는 심각한 풍치증상을 보이며 흔들렸습니다.
어금니가 제기능을 하지 못하자 급하게 임플란트로 씹는 기능을 복원했습니다.
임플란트 수술 후 어금니 부위의 교합이 낮아졌는데, 이는 위아래 앞니가 강하게 부딪히며 치아를 앞으로 돌출시키는 결과를 가져왔습니다.

돌출된 치아는 구강, 하관의 돌출로 이어지며 아름다움을 저하시킵니다.
때문에 '입이 툭 튀어나온' 모습을 가진 많은 이들이 외모적 콤플렉스와 스트레스를 호소하는 경우가 많죠.
안성엄마의 치아는 어금니 임플란트 이후에도 전체적인 흔들림을 보였는데요.
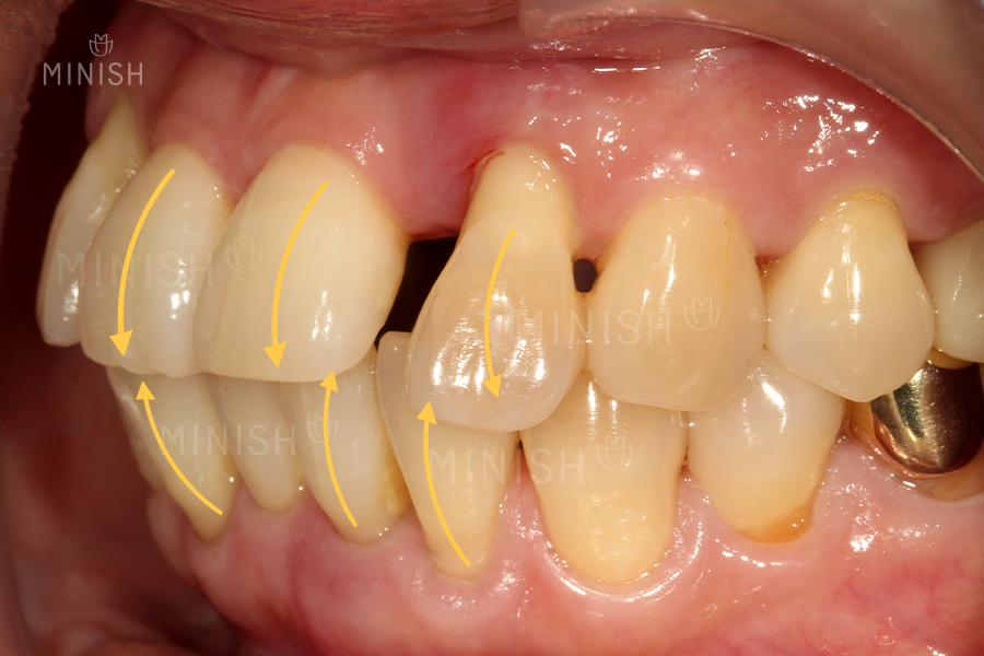
가장 심각한 것은 위 4개의 앞니였습니다.

풍치증상인 잇몸 뼈가 녹고 잇몸이 내려 앉으며 치아의 뿌리가 훤하게 보이는 상태였죠.
전체 치아에서 풍치증상이 보였지만, 자연치아를 최대한 살리기 위해 전문가 잇몸치료가 선행되었습니다.


풍치로 인한 잇몸부음, 잇몸소실 관찰
● 질환: 풍치
● 촬영일자: 구강 3.17ㅣ5.27
● 실치료기간: 12일
*개인에 따라 치료 기간이 다를 수 있으며, 부작용이 발생할 수 있으니 의료진의 정확한 진료를 받고 치료를 진행하시기 바랍니다.
충분한 지지를 받지 못하는 앞니 양 옆의 작은 앞니들은 제기능을 하지 못하고 오히려 구강에 악영향을 미칠 가능성이 있어 발치가 필요했습니다.
"치아상실 후에 임플란트하면 되겠네"라고 생각하실 수 있지만, 안성엄마는 임플란트 수술이 어려운 상황이었습니다.
하지만 임플란트가 불가능한 치아에 가능한 미니쉬브릿지로 치아상실 부위의 기능을 대체했죠.
ㄴ 임플란트 수술이 불가한 치아상실에 <미니쉬브릿지> 자세히 알아보기


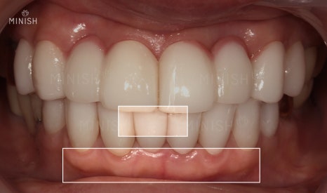
이동하며 틀어진 치아 배열


미니쉬로 코팅해 균형과 안정을 찾은 모습
틀어진치아도 가지런하게 개선했습니다.
틀어진치아는 틈새로 이물질이 쌓이기 쉽지만 서로 맞물려있는 탓에 칫솔이 잘 닿지 않아 관리하기 어렵습니다. 불규칙한 치열을 고르게 만들어 구강관리 환경을 개선했습니다. 잇몸 건강과 아름다움, 두 마리 토끼를 모두 잡았죠.
풍치증상에 의해 잇몸이 내려가 치아가 길어보이는 문제가 있었는데요. 잇몸의 형태를 재현하는 핑크미니쉬로 건강한 잇몸, 적당한 길이의 치아를 만들어주어 아름답고 안정된 구강 환경이 조성되었습니다.
우울해보인다고 해서 속상해요
·
·
이제 웃을 일만 있을 거예요

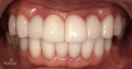
안성 엄마는 예뻤다 치과 치료를 통한 변화
주변의 외모 지적에 움츠리던 안성엄마의 모습은 더이상 찾아볼 수 없습니다.
하.지.만
밝은 웃음을 되찾아가고 있는 엄마에게 남은 단 하나의 걱정거리, 안성딸입니다.
대학에서 판소리를 전공하는 안성딸이 턱관절 장애를 가지고 있기 때문이죠.
입을 크게 벌려서 소리해야 하는데
잘 벌어지지 않아요

안성딸은 입이 벌어지지 않아 노래를 부를 때 목을 혹사시켜야 했습니다.
성대가 자주 상했으며, 발음도 정확하지 않아 큰 스트레스를 받았다고 하죠.
턱관절 장애는 치아와 깊은 연관을 가집니다.
치아부정교합이나 이갈이, 이 꽉 물기, 딱딱한 음식을 즐겨 먹는 등의 구강 내 악습관이 턱관절 장애의 원인으로 작용합니다.

비정상적 습관은 안성딸의 치아를 닳게 했습니다.
법랑질이 손상되며 약해진 치아는 작은 자극에도 시큰한 통증을 보이게 됩니다. 닳은 치아를 방치하면 손상이 계속되며 식사는 물론 물을 마실 때, 양치를 할 때, 바람이 불 때도 시린 증상을 느낄 수 있습니다.
미니쉬로 약해진 치면을 코팅해 강도를 보완하고 더이상 손상되지 않게 보호했습니다.

미니쉬도 치아와 같이 강한 충격에는 닳고 깨져나가기 때문에 이갈이 방지 장치인 스플린트 등을 통해 미니쉬와 자연치아 모두를 보호해야 합니다. 장치의 착용은 턱관절 장애의 근본적인 원인을 제거하기 위해서도 필수적이죠.
구강 건강에 관심이 많은 분들이라면 아마 안성딸의 '이것' 변화에 눈길이 가실텐데요.
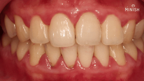
바로 잇몸의 변화입니다.


미니쉬스파 이후 잇몸부음, 잇몸색상 변화 관찰
● 질환: 잇몸염증, 잇몸부종, 치아틈
● 촬영일자: 구강 4.1ㅣ5.13
● 실치료기간: 17일
*개인에 따라 치료 기간이 다를 수 있으며, 부작용이 발생할 수 있으니 의료진의 정확한 진료를 받고 치료를 진행하시기 바랍니다.
안성딸은 구강 청결도가 미흡했습니다.
아마 잘 벌어지지 않는 턱관절 장애의 영향이 있었을 것으로 예상되는데요. 전체적으로 염증이 발생해 잇몸부음, 잇몸출혈이 계속 됐습니다.
미니쉬를 통해 관리가 용이한 구강 환경이 만들어졌고, 미니쉬스파 프로그램을 통해 잇몸의 건강을 되찾았습니다.
ㄴ 안성모녀의 잇몸을 살린 '미니쉬구강스파' 살펴보기


고마운 조연 잇몸은 아프기 전까지 그 소중함을 크게 느끼기 어렵습니다.
하지만 한 번 소실되면 다시 자라지 않기 때문에 잇몸 건강을 위해 노력하는 자세가 필요하겠죠.
잇몸 건강을 되찾고 비로소 환하게 웃어보이는 모녀!
아팠던 과거를 극복하고 이제 당당한 인생의 주연으로 살아가기를, 미니쉬치과병원이 응원합니다.

미니쉬치과병원 서울특별시 강남구 언주로 728



Explore More
Keep Browsing This Clinic's Korean Content Trail.
Return to the source archive for more posts, or move back to the clinic profile to compare the rest of the clinic's public channels.