미니쉬치과병원ㅣMinish Dental Hospital ㅣミニッシュ歯科病院ㅣ美尼仕牙科医院ㅣ美尼仕牙科醫院
불행한 가정사를 딛고, 웃게 해준
안녕하세요. 미니쉬치과병원입니다. 지난 일요일 방송된 LG헬로비전XMBN '엄마는예뻤다'에는 안성엄마의 사연이 방송됐습니다. 여느 엄마처럼 힘들게 살아 온 세월이 전신과 치아 건강으로 까지 이어졌는데요. 어떤 사연으로 힘든 세월을 살게 되었을까요? 안성엄마에게 닥친 연이은 불행, 웃음을 잃다. 안성엄마는...
Archive Summary
이 페이지의 역할
미니쉬치과병원ㅣMinish Dental Hospital ㅣミニッシュ歯科病院ㅣ美尼仕牙科医院ㅣ美尼仕牙科醫院의 네이버 블로그 원문을 보존한 아카이브 페이지입니다. 증상별 미니쉬솔루션 카테고리의 불행한 가정사를 딛고, 웃게 해준 글을 통해 병원의 한국어 정보 제공 방식과 진료 관련 안내 톤을 확인할 수 있습니다.
안녕하세요.
미니쉬치과병원입니다.
지난 일요일 방송된 LG헬로비전XMBN '엄마는예뻤다'에는 안성엄마의 사연이 방송됐습니다. 여느 엄마처럼 힘들게 살아 온 세월이 전신과 치아 건강으로 까지 이어졌는데요. 어떤 사연으로 힘든 세월을 살게 되었을까요?
안성엄마에게 닥친 연이은 불행, 웃음을 잃다.
안성엄마는 남편이 아프며 웃음을 조금씩 잃었다고 합니다.
결혼 초기 간염으로 몸이 좋지 않았던 남편은 간경화를 거쳐 간암으로까지 병세가 악화되었습니다.


다행히도 안성엄마의 친정엄마와 함께 지극정성으로 남편을 돌보았고, 병세가 호전되었다는데요. 그러나 병이 나은 것이 무색하게 큰 교통사고로 그만 사망한 남편. 결국 충격으로 1년 간 방황을 하며 산 안성엄마. 그래도 가족의 도움과 노래하는 친한 언니의 권유로 함께 여기저기 버스킹을 도우며 지내며 정신을 차렸다는데요. 그후 식당, 옷 판매, 보험업 등 안해본 일 없이 생계를 위한 돈을 벌었습니다. 하지만 불행은 왜 연속으로 오는지...
오빠와 친정 엄마가 차례대로 뇌경색과 뇌출혈로 쓰러지고 말았다고 합니다. 결국 병수발을 위해 하던 일을 중단하고 2년 반을 병간호를 하며 산 안성엄마. 하지만, 이미 몸이 약해진 오빠는 코로나로 갑작스럽게 세상을 뜨고, 엄마는 여전히 일어나지 못하고 누워있는 상황. 결국 아예 웃음을 잃을 수 밖에 없었습니다. 안성딸도 잘 웃고 밝았던 엄마가 다시 밝은 웃음을 찾았으며 한다며 사연을 신청했다는데요. 안성엄마는 어떤 상태였을까요?
미니쉬 강정호 대표원장
안성엄마의 닥터스 군단 합류!


미니쉬치과병원 강정호 대표원장은 안성엄마의 사연을 들으며 치아에 집중하였습니다.
육안상 문제점은 벌어진치아와 내려 앉은 잇몸이었는데요. 강정호 원장은 안성엄마의 닥터스군단에 합류해 자세한 진료를 통해 그녀의 치아를 치료해주기로 하였습니다.
안성엄마의 치아 문제, 풍치!
심한 풍치증상으로 인해 잇몸이 내려 앉아 치아의 뿌리가 드러난 것은 물론, 앞니흔들림까지 있었습니다.
또한, 치아노화로 벌어지고, 블랙트라이앵글까지! 흔들리는 앞니의 경우 발치를 진행할 수 밖에 없었는데요.




● 질환: 풍치
● 촬영일자: 구강 3.17
● 실치료기간: 12일
*개인에 따라 치료 기간이 다를 수 있으며, 부작용이 발생할 수 있으니 의료진의 정확한 진료를 받고 치료를 진행하시기 바랍니다.
발치 후 대부분 임플란트를 많이 한다고 아시겠지만, 임플란트는 최종 수복까지 오랜 시간이 소요되며 수복 시 큰 고통을 동반합니다. 그래서 빠른 시간 내에 치아를 재건할 수 있는 미니쉬만의 독보적인 솔루션, 미니쉬브릿지를 진행했습니다.
미니쉬브릿지란?
치아상실 대체 기술 [미니쉬 브릿지]
안성 엄마는 예뻤다,
미니쉬로 다시 태어나다

구강관리환경개선으로 잇몸건강과 심미개선을 통해 자신감 회복을 목적으로 미니쉬를 한 결과! 너무 환하게 웃는 모습으로 변했습니다.
미니쉬 강정호 원장
안성딸의 치아 건강도 책임지다


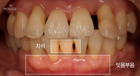
강정호 원장은 안성엄마의 치아 개선뿐 아니라 안성딸의 치아 건강을 위해서도 나섰는데요. 지난 번 꽃게엄마딸 기억하시나요? 노래를 하는데 치아틈때문에 발음이 새어 노래 할 때 불편감을 호소했었죠. 안성딸도 판소리를 하는데 치명적인 치아틈이 있었으며, 잇몸부음 등 문제를 보였습니다. 자세한 상태 확인해볼까요?
판소리하는 안성딸의 치아 문제는?
안성딸이 처음 치과를 방문했을 때 치아가 삐뚤고, 턱이 아프다고 했습니다.
상담과 진료를 진행해 보니, 턱통증의 원인은 수면중 이갈이나 이 꽉 무는 습관 등이 작용한 것으로 추정됐습니다. 그리고 잇몸염증, 잇몸부종, 치아틈 등 다양한 치아 문제가 발견됐죠.


잇몸염증, 잇몸부음은 세균에 의한 것이기 때문에 추후 안성엄마와 같이 풍치를 유발할 수 있는 상태였습니다. 그래서 잇몸치료로 잇몸 주변을 감싸고 있는 치석, 염증을 제거하였고, 구강관리에 좋은 환경 형성을 위해 잇몸절제술로 포켓 제거를 선 진행하였습니다. 그후 미니쉬로 치아틈을 폐쇄하고 전체적으로 깨끗한 치아를 만들어드렸습니다.
그리고 턱통증 호소는 일반과와 협진하여 스플린트 처방을 진행했습니다.
스플린트란 턱관절장애, 개구장애 등 증상을 보일 때 치아를 보호하기 위해 구강 내 장착하는 도구입니다. 주로 잠을 자기 직전 구강에 장착하고 자면 무의식 중에 일어나는 이갈이, 이 꽉 물기 등으로부터 치아를 보호할 수 있습니다.
치아 문제 극복, 안성딸의 변화된 모습


실제로 미니쉬로 치아틈을 폐쇄 후 발음이 새지 않고 노래 할 때도 목을 쓰지 않게 되었다는데요. 미니쉬를 계기로 목으로 노래 하던 걱정은 이제 날려버리고 시원하게 노래 부르길 바라겠습니다.
안성모녀의 행복은 이제 시작
안성엄마는 방송에서 한 사람을 온전히 되돌려 준 거 같다며 감사한 마음을 표현했습니다.

안성딸은 예쁜 미소, 행복한 마음, 건강을 찾아준 것에 감사하다며 마지막 소감을 말했는데요. 그동안 두 사람을 괴롭혔던 불행의 흔적은 가슴에 묻어두고 행복한 일만 생기길 미니쉬치과병원도 같이 응원하겠습니다.
더 많은 엄마들의 청춘 되찾기가 궁금하시다면
매주 일요일 오후 5시 LG헬로비전 또는 MBN에서 만나요!
온에어 - MBN

미니쉬치과병원 서울특별시 강남구 언주로 728



Explore More
Keep Browsing This Clinic's Korean Content Trail.
Return to the source archive for more posts, or move back to the clinic profile to compare the rest of the clinic's public channels.