미니쉬치과병원ㅣMinish Dental Hospital ㅣミニッシュ歯科病院ㅣ美尼仕牙科医院ㅣ美尼仕牙科醫院
치아성형 고민? 미니쉬치과 병원에서 해결!
© 미니쉬치과병원 안녕하세요~ 당신의 미소를 책임지는 미니쉬치과 병원입니다 :) 사람의 첫 인상은 불과 3초만에 결정이 된다는 점! 알고 계셨나요? 그 중에서도 미소를 지을 때 드러나는 치아는 첫 인상에 큰 영향을 미칩니다. 때문에 평소 벌어지고, 틀어지고, 길어 보이는 치아 때문에 고민이었던 분들의...

© 미니쉬치과병원
안녕하세요~ 당신의 미소를 책임지는
미니쉬치과 병원입니다 :)
사람의 첫 인상은 불과 3초만에 결정이 된다는 점! 알고 계셨나요?
그 중에서도 미소를 지을 때 드러나는 치아는 첫 인상에 큰 영향을 미칩니다. 때문에 평소 벌어지고, 틀어지고, 길어 보이는 치아 때문에 고민이었던 분들의 경우 치아성형을 알아 보기도 합니다.



치아성형 고민,
미니쉬치과 병원에서 극복!
사랑에 나이가 없듯,
건강하고 아름다워지고자 하는 것에 나이는 중요치 않습니다.
하지만 무조건 예뻐지기 위한 것에만 초점을 맞추어서는 안 됩니다.
특히 평생 써야 하는 치아는, 성형에 중점을 두기보다 건강을 우선으로 한 치료가 선행되어야 합니다.

치아미니쉬는 외적 아름다움 보다 건강을 중요시 합니다.
벌어지고, 틀어지고, 풍치로 인한 손상을 비롯한 모든 케이스에 적용이 가능하며, 틈새없이 얇게 코팅해 내·외부의 자극으로부터 보호합니다.
자연치아를 안전하게 보호함으로써 건강 유지는 물론 노화를 예방하는 안티에이징 효과까지 기대할 수 있습니다. 아름다움을 향해 개선 가능하지만, 건강을 먼저 생각하기에 유명한 셀럽들도 안심하고 방문합니다.
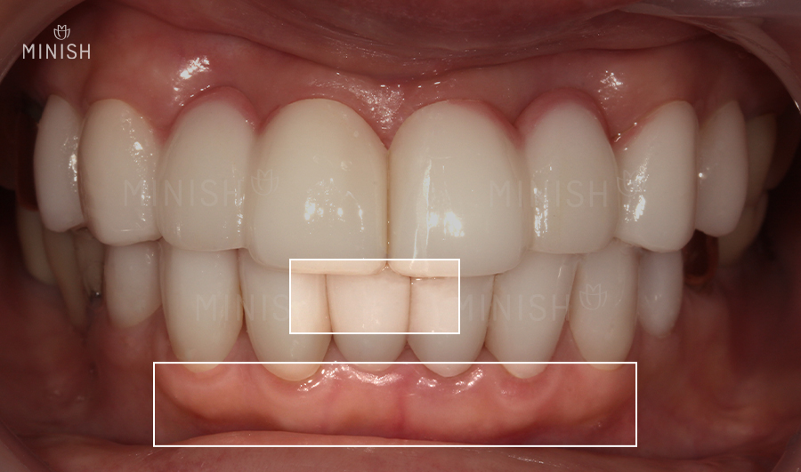
여기, 심각한 풍치로
치아성형을 고민하던 분이 있습니다.


· 질환: 풍치
· 촬영일자: 구강 3.17ㅣ5.27
· 실치료기간: 12일
개인에 따라 치료 기간이 다를 수 있으며, 부작용이 발생할 수 있으므로 의료진과 정확한 상담을 통해 치료를 진행하시기 바랍니다.
풍치로 인해 잇몸이 내려가고, 뿌리가 드러날 만큼 한 눈에 봐도 상태가 심각합니다. 무엇보다 앞니가 흔들리면서 발치가 불가피한 상황이었죠. 그렇다면, 치아가 없을 때 임플란트가 최선의 선택일까요? 아닙니다.
임플란트에 비해 치료 기간은 짧고, 빠른 시일 내 치아를 재건할 수 있는 미니쉬 브릿지로 건강한 아름다움을 되찾을 수 있었습니다.
▶ 미니쉬브릿지 더 알아보기!

✔ 최다 누적 시술 건수 보유
✔ 가장 많은 미니쉬 닥터 상주
미니쉬치과 병원은 미니쉬테크놀로지(주)의 멤버스 클리닉입니다.
본원은 92,676여건(2022년 5월 기준)에 이르는 치아미니쉬 최다 누적 시술 건수를 보유하고 있으며, 가장 많은 미니쉬 닥터가 함께하고 있습니다. 무엇보다 미니쉬테크놀로지(주) 대표이자 본원의 강정호 대표원장이 미니쉬 마스터로 상주하고 있어 더욱 믿음이 가는 부분이죠!
단지 의료진의 인원수가 아닌, 숙련도를 증명하는 케이스 건수가 뒷받침 되기에 안심하실 수 있습니다.

또한 치아미니쉬는 의료진별 차등 수가제를 도입하여 소비자에게 폭 넓은 선택권을 제시하고 있습니다. 각 시술자의 케이스 건수와 숙련도를 바탕으로 등급을 구분하며, 보증 기간에도 차이가 있습니다. 마스터의 경우, 최장 10년까지 가능하며 3년부터 5년, 7년까지 한 명의 의사가 전담 주치의가 되어 평생 구간 건강을 약속합니다.
정품미니쉬, 정품인증으로
차별성을 확인하세요!

치아미니쉬는 치료에 대한 보증으로 정품 인증서가 포함된 미니쉬박스를 제공합니다.
치료 경과가 확실하지 않은, 모호한 치료들과 구분하기 위한 차별성이기도 하죠. 해당 박스에는 아카데미를 수료한 의사, 본사에서 공급하는 재료 사용여부, 기공 연구소 제작 여부, 첨단 기기 사용여부를 확인할 수 있으며, 인증 사이트에 명시된 기간 동안 무상 A/S를 받을 수 있습니다.

저희 원은 강남 논현동에 위치하고 있습니다.
치아미니쉬부터 임플란트, 충치/보철치료, 잇몸치료 등 통합 진료를 실시하여 빠른 진료 협업이 가능합니다. 또한 800평, 14층 규모의 단독 사옥으로 고객님이 편안하고 프라이빗한 치료를 받을 수 있도록 환경을 갖추고 있습니다.
오직 고객의 치아 건강 그리고 편안함만을 생각한 미니쉬치과 병원에서 건강한 아름다움을 만나보세요!

미니쉬치과병원 서울특별시 강남구 언주로 728



Explore More
Keep Browsing This Clinic's Korean Content Trail.
Return to the source archive for more posts, or move back to the clinic profile to compare the rest of the clinic's public channels.