미니쉬치과병원ㅣMinish Dental Hospital ㅣミニッシュ歯科病院ㅣ美尼仕牙科医院ㅣ美尼仕牙科醫院
과잉 없는 앞니재치료, 미니쉬치과병원 | 엄마는 예뻤다
어린 시절 강렬하게 뇌리에 박힌 기억... 좋았던 기억은 두고 두고 힘을 주는 원동력이 되고, 나빴던 기억은 트라우마로 남아 평생을 괴롭히기도 하죠. 외적으로 중요한 '이'는 자칫 놀림감이 되기 쉽습니다. 놀림 당한 기억이 '예쁜 치아'에 대한 욕구를 크게 자극할 수 있습니다. 그러나 외모 개선만을 목적...
어린 시절 강렬하게 뇌리에 박힌 기억...
좋았던 기억은 두고 두고 힘을 주는 원동력이 되고, 나빴던 기억은 트라우마로 남아 평생을 괴롭히기도 하죠.

외적으로 중요한 '이'는 자칫 놀림감이 되기 쉽습니다.
놀림 당한 기억이 '예쁜 치아'에 대한 욕구를 크게 자극할 수 있습니다. 그러나 외모 개선만을 목적으로 성급하게 치료를 결정한다면 자칫 건강을 잃을 수도 있죠. 치료에 보다 신중한 선택이 필요한 이유입니다.
너는 이만 고치면 참 괜찮을 것 같은데..
평택엄마에게 '이'는 평생을 괴롭힌 콤플렉스였습니다.


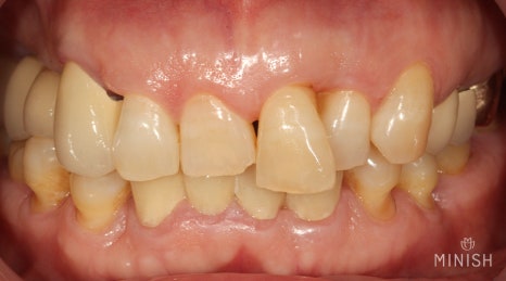
아름다웠던 젊은 시절, 튀어나오고 삐뚤어진 돌출치아가 유일한 외모 고민었던 그녀.
"이만 고치면.."이라는 주변의 평가를 듣는 것이 힘들었다고 해요. 미니쉬치과병원에 처음 방문한 평택엄마는 어떤 문제를 가지고 있냐는 물음에 아무 말 없이 앞니를 가리켰습니다.
이렇게 생겨서요···

미니쉬치과병원 인터뷰 중
집안 형편이 좋지 않아 17살 때부터 떠안은 가장의 무게
결혼 후 사정이 나아질 거라 기대했지만, 남편의 사업이 실패한 후로 식당 일을 하며 생계를 책임져야 했습니다. 최근 코로나로 인해 가게를 폐업하는 등, 좀처럼 나아지지 않는 경제적 상황에 앞니 치료는 엄두도 못 냈다고 합니다.
평택엄마의 아랫니는 틀어지고 벌어져 예쁘지 않을 뿐 아니라 틈새로 음식물이 튀고 침이 새는 문제가 있었다고 합니다. 넉넉치 못한 형편 속에서도 불편함 때문에 성급하게 크라운 브릿지 치료를 결정했죠.
가지런해 보이는 아랫니
그 속은 어떨까요 ?

과거 크라운 브릿지 치료 속 상태
사실 이전에 아랫니 치료할 때 좀 놀랐어요
아주 뾰족하게 갈아서 씌우더라고요
보철치료를 위해 무리하게 건강한 이의 표면을 삭제하는 바람에 신경치료까지 해야 했죠.

예전 치과에서 과도한 치아 삭제가 진행된 이유?
크라운은 어느 정도 두께가 보장되어야 단단한 강도를 유지할 수 있습니다.
두꺼운 크라운을 그대로 씌우면 뚱뚱한 모양이 되기 때문에 표면을 삭제해 크라운 공간을 마련합니다.
신경 치료 왜 하나요? 왜 문제가 되나요?
신경치료는 병든 신경(치수)을 치유시키는 것이 아닌, 남김없이 제거해 치아 내부에 세균이 퍼지지 못하도록 막는 치료입니다.
감각을 느끼는 신경이 사라지면, 시리거나 아픈 통증 감각 또한 느끼지 못해 이상이 생겨도 알아차리기 어렵습니다. 또한 속이 빈 이에는 수분 공급이 되지 않아 푸석하게 마르고, 외부 자극에 쉽게 깨져버릴 수 있습니다.
MINISH
좋은 치료는 건강을 생각합니다

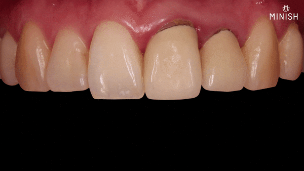
변색 앞니재치료

정밀한 앞니재치료

● 질환:
치주염, 치아노화로 인한 애나멜 손상, 치경부마모, 치아파절, 치아변색, 치아배열 이상
● 촬영일자: 구강 3.17 | 5.13
● 실치료기간: 15일
개인에 따라 치료 기간이 다를 수 있으며, 부작용이 발생할 수 있으니 의료진의 정확한 진료를 받고 치료를 진행하시기 바랍니다.
건강한 앞니재치료는 잇몸까지 지켜냅니다.
식사 시간을 즐겁게 만드는 튼튼한 구강.
정밀한 치료만이 문제없는 결과를 가져오고, 자연치아의 수명을 길게 연장시킬 수 있습니다.
미니쉬치과병원과 함께라면
당당하게 웃을 수 있어요

신경치료 이후 약해진 평택엄마의 앞니는 재치료를 통해 빈틈없이 코팅했습니다.
10여년 간의 치아복구 노하우로 얇으면서도 튼튼한 미니쉬 제작이 가능합니다.
얇은 두께 덕에 건강을 해치지 않으면서 자연스러운 형태와 색상을 나타냅니다. 보철물이 빈틈없이 결합되면 세균이 침입하지 못해 건강과 보철물 모두를 오래 사용할 수 있습니다.

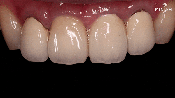
돌출치아 개선 후
평생을 괴롭힌 못난 돌출치아, 하루만에 탈출 !
튀어나온 앞니를 교정치료나 무리한 삭제 없이 개선시켰다는 사실을 믿지 못하실 수도 있습니다. 거짓말 같을 정도로 빠른 기간 내에 효과적인 결과를 냈으며, 동시에 건강까지 회복시켰기 때문이죠.
최소한의 표면 청소만 필요한 MINISH! 신경치료 없이 돌출치아 콤플렉스를 해결합니다.
과한 삭제 없이도 비율을 조절해 대칭을 맞춤으로써 가지런한 배열을 만들 수 있습니다. 아름다운 평택엄마의 웃음, 돌출된 치아로 고민하던 과거는 기억나지 않습니다.
이는 스스로 회복되지 않고, 치료를 통해 재생되지도 않기 때문에 치료선택 전, 건강을 지키기 위한 고민이 필요합니다.
콤플렉스를 해결하는 것은 중요합니다. 자신감 하락은 삶의 질까지 망가뜨리기 때문입니다.
하지만 단순히 콤플렉스 극복을 목적으로 치료를 결정하는 것은 위험합니다. 아름다움을 얻고 건강을 잃는다면 삶의 질은 오히려 이전보다 더 떨어질 수도 있으니까요.

단기적인 아름다움이 아닌 장기적인 건강을 선택한 평택엄마를 보세요.
여러분도 건강하고 당당한 모습에서 우러나오는 진정한 아름다움을 만나보실 수 있습니다.
구강건강, 미니쉬치과병원과 함께 하세요.
미니쉬치과병원 서울특별시 강남구 언주로 728




Explore More
Keep Browsing This Clinic's Korean Content Trail.
Return to the source archive for more posts, or move back to the clinic profile to compare the rest of the clinic's public channels.