미니쉬치과병원ㅣMinish Dental Hospital ㅣミニッシュ歯科病院ㅣ美尼仕牙科医院ㅣ美尼仕牙科醫院
치아 콤플렉스? 치아성형 대신 미니쉬
안녕하세요 건강한 미소를 만들어 드리는 미니쉬치과병원입니다. 면접을 볼 때 능력보다 중요 시 여기는 게 외모라고 합니다. 실제로 한 취업 포털 조사에서 따르면, 구직 활동을 하면서 외모때문에 차별 받고, 외모로 먼저 평가 받은 경험이 각각 43.7%, 54.2%(2020년, 1063명 대상)로 높았...
안녕하세요
건강한 미소를 만들어 드리는
미니쉬치과병원입니다.
면접을 볼 때 능력보다 중요 시 여기는 게 외모라고 합니다.
실제로 한 취업 포털 조사에서 따르면, 구직 활동을 하면서 외모때문에 차별 받고, 외모로 먼저 평가 받은 경험이 각각 43.7%, 54.2%(2020년, 1063명 대상)로 높았다는데요. 즉, 면접을 볼 때 개인의 능력보다 외모를 중시한다는 의미이죠.
만약 당신이 면접관이라면
두 모습 중 어떤 인상에 더 호감이 가나요?

배우 지망생 김OO

초상권 동의를 얻은 사진입니다
일반 직장에서도 외모를 중시 하는데, 배우라는 직업은 어떨까요?
시각매체를 통해 활동해야 해서, 외모가 정말 중요 시 됩니다. 외모가 부족하다면 오디션에서도 탈락 할 확률도 높으며, 운좋게 데뷔하더라도 대중들에게도 평가를 받게 되죠. 특히, 대사를 할 때, 미소를 지을 때 마다 치아가 틀어지거나 착색된 모습이라면 본인의 자신감 문제로도 이어집니다. 위 사례자 또한 틀어진치아만 아니면 더 좋았을 거라는 평을 자주 들었다고 합니다. 결국, 치아가 자신의 꿈에 있어서 가장 큰 고민이 되어버렸죠.
틀어진치아의 문제점

이가 틀어지면 외적인 문제도 있지만 건강상의 문제로도 이어진다는 건데요.
음식을 먹을 때 틀어진 틈 사이로 음식물이 잘 끼며, 제거 또한 힘듭니다. 양치질을 해도 칫솔이 치아 틈까지 닿지 않기 때문이죠.
이렇게 구강 관리가 지속적으로 잘 이루어지지 않으면 구취, 충치, 풍치로 악화될 수 있습니다.
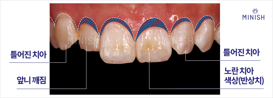
틀어지고, 깨지고, 착색까지
김OO의 상태는?

사례자의 치아 상태를 봐볼까요?
중앙의 앞니 두 개는 길이가 맞지 않고, 오른쪽 잇몸에 비해 왼쪽 잇몸이 많이 내려와 있어 치아가 짧아 보입니다. 그래서 치아의 좌우 대칭이 맞지 않는 것을 보실 수 있습니다. 그리고 치아가 회전 되어 있고 옆면이 보일 정도로 틀어진 모양을 보이고 있습니다. 그 외에 앞니에는 반상치인 갈색띠와 일부 깨져있는 것도 확인 할 수 있습니다. 외적인 것 뿐 아니라 이대로 방치한다면 건강의 문제로 이어질 것이 보이는 상태입니다.
치아미니쉬로 콤플렉스 극복하다
결국 콤플렉스 극복을 위해 치료를 결심했는데요. 이때 고려해야 할 것은 단순 예뻐지기 위한 치아성형이 아닌 건강까지도 유지할 수 있는 치료인가를 알아봐야 합니다. 그래서 미니쉬치과병원을 찾아와, 치아미니쉬를 선택했습니다.
그 놀라운 변화 보실까요?

● 질환: 틀어진치아, 치아변색
● 촬영일자: 8.3ㅣ9.2
● 실치료기간: 1일
*개인에 따라 치료 기간이 다를 수 있으며, 부작용이 발생할 수 있으니 의료진의 정확한 진료를 받고 치료를 진행하시기 바랍니다.
건강하고 예뻐지는 MINISH
보통 배열이 고르지 못하고, 틀어진 경우 교정을 많이 합니다. 하지만 최소 1년, 길면 2~3년까지도 기간이 소요되어 성인이 된 후 치료를 결정하기 쉽지 않습니다. 해당 치료는 치아의 불필요한 삭제 없이, 자연치와 유사한 재료를 이용하여 이를 얇게 코팅하는 솔루션입니다. 이 치료의 큰 장점은 어느 치아에든 적용이 가능하며, 단기간에 심미는 물론 건강도 지킬 수 있다는 건데요. 그 이유는 무엇일까요?
- 풀마우스 치료가 가능합니다

해당 치료는 단 한 개도 똑같은 것이 없습니다.
그 이유는 미니쉬테크놀로지(주)의 교육을 통해 자연치를 거의 깎지 않는법을 배운 전문 의료진과 자연치와 매우 유사한 재료를 제공 받아 얇고 정밀하게 보철물을 만들어 내는 미니쉬기공연구소의 기공 실력이 만났기때문이죠. 이 의미는 어느 치아 문제에도 적용이 가능하다는 말입니다. 즉, 풀마우스 치료가 가능합니다.
- 원데이가 가능합니다.


단기간에 심미와 건강을 유지할 수 있다는 것이 이 치료의 핵심 중 하나인데요.
원데이 치료가 가능하기 때문입니다. 대개 치아를 본 뜨는데 시간이 소모되며, 본을 뜬 후에도 외부에 있는 기공소로 보냅니다. 또 기공물을 제작 후 완성되면 병원까지 오는 데에 시간이 소요되어, 최종 수복까지 며칠 씩 걸리죠. 본원은 원내 기공연구소를 보유하고 있어, 이동 시간 소모가 없으며, 최첨단 장비를 통해 본 뜨는 시간 없이 빠르게 치아를 스캔하죠. 원데이 미니쉬가 가능한 이유입니다.
이미 많은 유명인들이
치아성형 대신
본원의 치료를 선택했습니다.

해당 치료의 전문 의료진으로 구성된
미니쉬치과병원

✔ 최다 누적 시술 건수 보유
✔ 가장 많은 미니쉬 닥터 상주
본 병원에는 MINISH 임상 경험이 가장 많은 의료진이 등급별로 다수 포진되어 있습니다.
시술건수만 무려 92,676건(2022년 5월 기준)을 자랑하죠. 유일하게 마스터 등급의 강정호 대표원장이 있는 곳이기도 합니다. 또한, 임플란트, 예방치료, 일반치료 등이 가능하여 빠른 협진 치료를 할 수 있습니다.
MINISH, 의료진 등급

이 제도는 임상경험별 의사의 등급이 나누어져 있으며, 비용이 달리 책정되어 있습니다. 이는 미니쉬 가격에 있어 소비자에게 공정하고 합리적인 선택권을 제시하기 위함입니다.
MINISH 정품인증 받으세요

해당 치료를 진행할 수 있는 의사가 따로 있듯, 내가 받은 치료가 진짜 미니쉬인지도 확인하셔야 합니다. 치아미니쉬는 치료에 대한 보증으로 정품 인증서가 포함된 미니쉬박스를 제공하고 있습니다. 해당 박스에는 본사의 아카데미를 수료한 의사, 제공 재료 사용 여부, 기공연구소에서 제작 여부 등이 명시되어 있습니다. 인증 사이트를 통해 정품인지 확인 하시길 바랍니다. 가짜에 주의하세요!
오늘 소개한 배우 지망생 사례자처럼 콤플렉스를 겪고 있으신가요?
더이상 고민하지 마시고, 해당 치료로 당당한 미소를 지어보세요!
자세한 상담은 아래 링크를 통해 확인하세요.

미니쉬치과병원 서울특별시 강남구 언주로 728



Explore More
Keep Browsing This Clinic's Korean Content Trail.
Return to the source archive for more posts, or move back to the clinic profile to compare the rest of the clinic's public channels.