미니쉬치과병원ㅣMinish Dental Hospital ㅣミニッシュ歯科病院ㅣ美尼仕牙科医院ㅣ美尼仕牙科醫院
누런니 고민은 치과 치아미백 아닌 원데이미니쉬
다가오는 휴가 계획 하루만에 예뻐진다면..! 연휴나 휴가 기간 동안, 예쁜 사진을 남기기 위해 간단한 시술 등을 계획 중인 분들 많으시죠. 누런니, 치아변색 등 치아 색상 고민은 치과에 방문해 치아미백을 받으면 된다 생각하지만, 한 번의 치료로는 어렵습니다. 그런데 하루만에 누런니가 새하얘진다면, 어떨까...
다가오는 휴가 계획
하루만에 예뻐진다면..!
연휴나 휴가 기간 동안, 예쁜 사진을 남기기 위해 간단한 시술 등을 계획 중인 분들 많으시죠.
누런니, 치아변색 등 치아 색상 고민은 치과에 방문해 치아미백을 받으면 된다 생각하지만, 한 번의 치료로는 어렵습니다.
그런데 하루만에 누런니가 새하얘진다면, 어떨까요? 거기다 건강까지 챙길 수 있다면 일석이조겠죠 :)

오늘은 치아색상 고민을 가지신 분들께 하루만에 이빨하얘지는법과 예쁘고 건강한 치아까지 될 수 있는 법 소개해드리겠습니다.
치아색상에 따른 변색 원인
- 누런니

이가 누런색을 띄는 경우는 식습관에 의해서인데요.
커피, 홍차, 초콜릿, 카레 등 유난히 착색이 많이 되는 음식을 좋아하신다면 다른 분들보다 더 누렇게 보일 수 있습니다.
그리고 역류성 식도염, 무리한 다이어트로 인한 잦은 구토도 치아를 누렇게 만듭니다. 먹은 것이 역류할 때 위산의 산성이 포함되어 있기때문이죠. 이 산이 치아의 겉면인 법랑질을 빠르게 녹여 노란색으로 이루어진 상아질을 비춰보이게 만들죠.
마지막으로 노화에 의한 변색입니다. 인간의 치아는 끊임없이 씹는 운동을 하기 때문에 자연스럽게 이의 겉면이 얇아집니다. 이것은 나이가 들듯 자연스러운 현상이지만, 남들보다 심한 경우 식습관 등의 영향을 받았을 수 있습니다.
- 반점치

개인에 따라 치료 기간이 다를 수 있으며, 부작용이 발생할 수 있으니 의료진의 정확한 진료를 받고 치료를 진행하시기 바랍니다.
치아에 흰색 반점 모양이 생기는 것을 반점치라 부릅니다.
유년기의 잘못된 양치질 습관, 과도한 불소 섭취, 치아가 탈회되었다가 석회화되는 과정에서도 생길 수 있습니다.
- 검은치아, 흑갈색치아

치아가 거뭇거뭇하거나 흑갈색인 분들이 있습니다.
흡연 혹은 테트라사이클린 계열의 항생제를 오래 복용할 시 후천적으로 색을 변하게 만들죠. 이 약은 임신한 채로 산모가 복용해도 아이의 치아에 영향을 끼치기도 하니, 항생제 복용 시 유의하시면 좋을 거 같습니다.
이렇듯 여러가지로 이유로 치아의 색상은 변합니다.
치아미백으로
변색된 치아 극복 할 수 있을까

가장 먼저 치과에서 치아미백을 고려하실 거 같은데요.
단순 착색에 의한 것이면 미백으로도 충분히 개선이 가능합니다. 그러나 항생제에 의한 변색, 반점치 등 다른 원인에 의한 것은 오히려 미백 치료 시 치아의 건강을 악화 시킬 수 있습니다. 결국 미백도 과산화수소를 이용한 화학치료이기 때문이죠. 또한, 해당 치료의 효과는 영구적인 것이 아니므로 반복적인 치료는 필수이며 치아 상태에 따라 여러차례 치료를 받아야 하얘지는 경우도 많습니다.
미백 대신 원데이 미니쉬


개인에 따라 치료 기간이 다를 수 있으며, 부작용이 발생할 수 있으니 의료진의 정확한 진료를 받고 치료를 진행하시기 바랍니다.
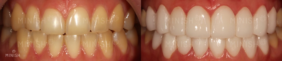
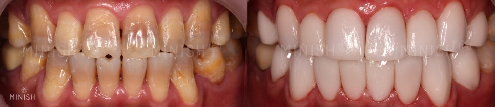
미니쉬는 치아의 손상된 부위만을 다듬어 자연치와 유사한 물성을 이용, 이를 얇게 코팅하는 솔루션입니다. 자연치와 굉장히 비슷하여 인위적인 하얀 치아가 아닌 내 이같이 하얗고 자연스러운 표현이 가능합니다. 또한, 자연치아의 불필요한 삭제가 없어 건강까지 챙길 수 있는 솔루션입니다.
정확하고 정밀하게 하루만에 완성되는
원데이미니쉬 과정

오전에 병원을 방문하여 치아 상태를 체크 후 표면을 정리하는 정도의 정밀한 치료를 진행합니다.
미니쉬 제작은 힘든 본 뜨는 과정없이 이루어집니다. 3D구강스캔 -> 기공연구원의 치아 디자인 -> 3D 프린터를 이용한 모형 제작 -> 밀링머신으로 1차 제작 -> 기공연구원의 2차 제작 총 다섯 스텝으로 이루어진 미니쉬 제작 단계를 거치면 오후에 치과를 재방문하여 부착, 원데이미니쉬 완성!
치아가 예쁜 분들은
이미 원데이미니쉬를 경험했습니다.

합리적인 가격을 제공하는 MINISH
미백을 고민할때 가장 중요하 게 생각하는 것, 바로 가격일겁니다.
이 건강에 좋지 않으며, 영구적이지 않은 측면에서 치아미백가격이 합리적으로 다가오지 않을 수 있는데요. 미니쉬는 합리적인 가격을 제공합니다. 해당 치료는 술자의 기술이 영향을 끼치기에 임상경험별 등급과 그에 맞는 가격이 책정되어 있습니다. 그중 미니쉬치과병원은 다양한 미니쉬 등급과 최다 임상케이스를 보유하고 있어, 75만원부터 150만원까지 다양한 가격대를 제시하고 있습니다.

정품 인증을 통해
'진짜' 미니쉬인지 확인하세요
본원에 방문하여 미니쉬를 받으시면 미니쉬박스와 함께 보증서가 제공됩니다.
해당 보증서에는 미니쉬테크놀로지(주)에서 솔루션을 제공 받은 병원이라는 내용과 기술력, 장비, 재료, 보증기간까지 확인이 가능합니다. 보증서를 제공 받지 못했다거나, QR코드 스캔을 통한 인증이 안 된다면 미니쉬를 흉내낸 가짜입니다.

올 여름에는 하얀치아로 아름답고 건강한 미소를 지으며 사진 찍으세요!
치아미백 대신 미니쉬로 여러분이 꿈꾸는 여름 휴가를 만나보세요.

미니쉬치과병원 서울특별시 강남구 언주로 728



Explore More
Keep Browsing This Clinic's Korean Content Trail.
Return to the source archive for more posts, or move back to the clinic profile to compare the rest of the clinic's public channels.