미니쉬치과병원ㅣMinish Dental Hospital ㅣミニッシュ歯科病院ㅣ美尼仕牙科医院ㅣ美尼仕牙科醫院
통증 부르는 부은 잇몸 멈춰! 건강한 미니쉬로 해결하세요
통증 부르는 잇몸부음 멈춰! 미니쉬로 건강한 구강환경 만들기 피부관리와 치아관리 중 어느 쪽에 더 신경쓰고 계신가요? 피부관리를 택하는 분들이 많을 것 같은데요. 나이가 들어서도 주름없이 탱탱한 피부를 유지하기 위해 입소문 난 화장품을 구매하고 생활습관을 개선하는 등 꾸준히 노력하죠. 우리의 이는 입술과 볼...
통증 부르는 잇몸부음 멈춰!
미니쉬로 건강한 구강환경 만들기

피부관리와 치아관리 중 어느 쪽에 더 신경쓰고 계신가요?
피부관리를 택하는 분들이 많을 것 같은데요. 나이가 들어서도 주름없이 탱탱한 피부를 유지하기 위해 입소문 난 화장품을 구매하고 생활습관을 개선하는 등 꾸준히 노력하죠.
우리의 이는 입술과 볼 속에 숨어있어 상대적으로 중요도가 낮을 수 있습니다.
치과에 가는 게 무섭다는 이유로 정기적 검진 조차 받지 않아 건강에 적신호가 뜬 후에야 소중함을 깨닫죠. 계속해서 관리한 피부는 티가 나는 것 처럼, 치아 관리에 소홀하다면 시간이 지날수록 그 격차가 드러나게 됩니다.
우리의 구강이 보내는 SOS 신호
'잇몸부음'을 지나치지 마세요



빵빵한 붓기, 왜 나타날까?
세균에 의해 발생한 염증(치은염)이 뼈를 녹이며 커집니다. 잇몸염증 크기의 증가는 잇몸부음으로 이어지며 통증을 느끼게 되죠. 짧아진 치은 길이, 뼈는 다시 회복할 수 없어 사전 예방이 중요합니다.
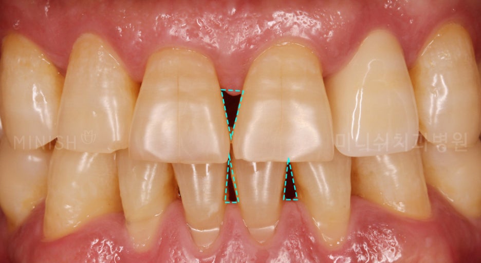
구강 건강을 회복하기 위해서는 세균의 번식을 막아야하는데, 이때 필요한 것이 스케일링입니다. 치은염과 같은 경미한 증상은 대부분 묵은 치석과 치태를 제거하는 스케일링만으로 효과를 볼 수 있습니다. 팽팽하게 부어있던 붓기가 빠지는 것이 건강을 회복했다는 증거인데요. 비로소 사라진 치은이 적나라하게 드러나기 때문에 블랙트라이앵글, 시린이 등의 문제가 나타나기도 합니다.

잇몸염증 치료 후 드러난 치근, 블랙트라이앵글
시린이는 보통 레진으로 시린부위를 감싸 자극을 차단하는 방법으로 치료합니다.
하지만 레진치료는 시간이 지날수록 문제를 나타냅니다. 바로 재료 자체의 물리적 성질이 약해, 구강 내에서 쉽게 탈락하고 변형된다는 것입니다.

레진치료 후 발생한 문제
변형된 레진은 치면과 벌어지며 틈새를 만들기도 합니다.
좁은 틈새는 잇몸부음의 주원인으로 언급했던 세균이 번식하기 좋은 환경입니다. 정밀하지 못한 치료가 오히려 질환을 악화시킬 수 있는 것이죠.
정밀한 치료는 이렇게 다릅니다

자연치아와 유사한 성질의 재료를 사용한다면, 진짜 '내 이'같지 않을까?

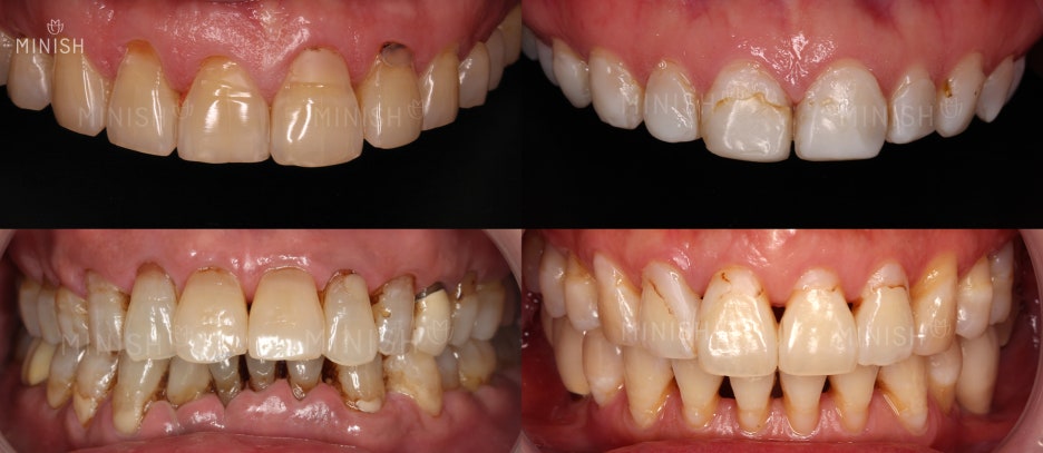
◼ 질환 : 치주염, 블랙트라이앵글, 벌어진치아
◼ 촬영일자 : 2018.08.27 | 2018.08.28
◼ 실치료기간 : 1일
- 개인에 따라 치료 기간이 다를 수 있으며, 부작용이 발생할 수 있으니 의료진의 정확한 진료를 받고 치료를 진행하시기 바랍니다.
미니쉬는 치면을 코팅, 치은을 대신해서 보호막 역할을 합니다.
외부자극을 막아 시린이 증상을 막고, 음식물이 끼기 쉬운 블랙트라이앵글도 막아 건강한 구강 환경을 만듭니다. 자연치아와 강도, 색상, 투명도가 유사한 재료를 사용해 관리 방법까지 닮아있습니다. 까다로운 관리 없이도 오래 유지되는 치료로 불릴 수 있는 이유죠.
▼ 구강고민, 빠르게 해결할 수 있는 온라인 상담▼


20대부터 시작하는 MINISH
평생 내 치아를 지키는 치료
앞으로의 구강건강을 책임질 의료진을 직접 선택하실 수 있습니다.
의료진별로 가격에 차이가 있으니, 나의 증상과 상태에 맞는 진료를 선택하세요!

미니쉬가격 정보
어떻게 평생 사용할 수 있을까? 인증 받았으니까!
MINISH라면 당연히 주어지는 정품 인증서.
본원에서는 인증서를 제공하고 있습니다. 치료에 대한 인증과 보증을 위해서는 꼭 '정품' 여부를 확인하세요.


문제가 일어났을 때 치료하는 것은 늦습니다.
예방이 필요합니다.
MINISH와 함께하는 홈케어
집에서 적절한 관리로 건강을 되찾을 수 있어요.
질환을 미리 막을 수 있는 건 청결한 관리!
병들고 난 후에는 고통스러운 치료와 불편함 생활들을 견뎌야 하죠. 올바른 양치질, 정기적인 치과방문과 같은 작은 행동의 변화로 건강한 치아를 지킬 수 있다는 점을 기억해주세요. 오늘 밤 피부 관리와 함께 치실 또는 두줄모칫솔을 사용해보시는 건 어떨까요? 나를 지키는 노력들로 건강한 미소를 유지하시기 바랍니다!😊

미니쉬치과병원 서울특별시 강남구 언주로 728


Explore More
Keep Browsing This Clinic's Korean Content Trail.
Return to the source archive for more posts, or move back to the clinic profile to compare the rest of the clinic's public channels.