미니쉬치과병원ㅣMinish Dental Hospital ㅣミニッシュ歯科病院ㅣ美尼仕牙科医院ㅣ美尼仕牙科醫院
치아실금 방치하면 큰일! 치아코팅으로 건강 되찾으세요 [엄마는예뻤다치과]
치과 질환은 대표적인 건강불평등 치료 중 하나입니다. 다른 질환에 비해 건강보험 보장률이 낮기 때문이죠. 그래서 비싸다는 인식으로 인해 실제 저소득층의 경우 간단한 충치치료 조차 받지 않을 정도라고 합니다. 현재도 이렇다면 과거, 우리 엄마들 세대에는 치료를 받지 못해 심각한 구강 상태를 보이는 분들이 많았을 겁니...
치과 질환은 대표적인 건강불평등 치료 중 하나입니다.
다른 질환에 비해 건강보험 보장률이 낮기 때문이죠. 그래서 비싸다는 인식으로 인해 실제 저소득층의 경우 간단한 충치치료 조차 받지 않을 정도라고 합니다.

현재도 이렇다면 과거, 우리 엄마들 세대에는 치료를 받지 못해 심각한 구강 상태를 보이는 분들이 많았을 겁니다.
엄마는 예뻤다 인천엄마
어려운 형편으로 망가진 치아

이번 엄마는예뻤다 인천엄마는 기초수급 생활을 할 정도로 어려운 상황에 놓여있습니다.
돈이 없었기에 자연스럽게 내 건강은 챙길 수 없었죠. 그 결과 다수의 치아상실과 치아실금, 깨진 사이로 충치 발생, 치아마모 등 복합적인 문제를 겪고 있었습니다. 망가진 이는 그 상태로 끝이 아닙니다. 씹을 수 없기에 주로 유동식 섭취를 하며, 자존감 하락으로 사람을 만나 대화하길 두려워 하는 증상을 겪기도 하죠. 실제 인천엄마도 대인기피증 수준으로 사람들을 만나는 걸 꺼려했습니다. 모두가 본인의 치아를 쳐다보는 거 같았기 때문입니다. 어금니를 포함한 다수의 치아상실은 씹는 즐거움마저 누릴 수 없었죠.
마음 먹고 치아의 기능과 심미를 회복하고자 병원을 방문했지만, '치료가 안된다', '치료비용이 2000만원이다'.
20년을 방치한 결과는 치료가 안 된다는 답변과 큰 비용이 책정되기도 했다고 합니다. 이렇듯 이는 방치하면 할 수록 돌이킬 수 없게 됩니다. 현실적인 문제로도 연결되기 때문에 철저한 예방관리가 무척 중요합니다.
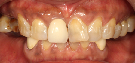
치아실금, 상실, 마모, 충치
복합적인 치아 문제의 인천엄마



인천엄마의 가장 큰 문제는 치아실금이었는데요.
오랫동안 그 부위를 방치하여 씹는면 사이사이가 충치로 거뭇한 것을 보실 수 있습니다. 이가 깨지면 그 틈으로 세균이 침투해 충치 발생률이 높아집니다. 특히, 인접면 충치의 경우 충치 치료 중 대공사에 해당되는데 인천엄마는 어금니, 송곳니 할 것 없이 인접면 충치치료가 시급했습니다. 해당 부위는 두 개의 치아가 만나는 곳이다 보니 2개의 치아를 동시에 치료해야 하며, 충치가 많이 진행 된 후에야 발견 될 수 있어서 간단한 치료로 끝내긴 어렵습니다. 마모의 경우 여러가지 이유가 있겠지만 씹는 힘이 강하거나, 이를 세게 무는 등 치아끼리 맞물리는 힘이 강하여 발생한 것으로 추정됐습니다.
엄마는예뻤다 치과 주치의 강정호 원장
치아코팅으로 인천엄마를 웃게하다

● 질환: 깨진치아, 치아마모, 상실, 충치
● 촬영일자: 3.18ㅣ 5.23
● 실치료기간: 6일
*개인에 따라 치료 기간이 다를 수 있으며, 부작용이 발생할 수 있으니 의료진의 정확한 진료를 받고 치료를 진행하시기 바랍니다.
우선 어금니 등 치아의 전반적인 충치치료를 시행했습니다.
그러나 깨진 부위가 계속 있는 한 다시 충치가 발생할 수 있기 때문에 깨진 부위를 보호해주는 치아코팅 미니쉬를 진행했습니다. 미니쉬란 치아의 불필요한 삭제 없이 자연치와 가장 유사한 물성을 이용해 치아를 얇게 코팅하는 솔루션입니다. 해당 솔루션으로 깨지고 마모된 부분의 기능적 개선은 물론, 외적으로도 가지런하고 흰 치아까지 기능과 심미 두 가지를 동시에 회복해드렸습니다.
▼더 자세한 미니쉬 이야기▼
About '미니쉬 MINISH' 미니쉬란? 미니쉬 이름의 의미 l 정의 l 치아코팅 미니쉬는 외적 아름다움보다 건강을 우선시한 치아 코팅 ...
blog.naver.com
치아 방치 그만!
예방만으로 구강 건강 유지해요

인천엄마의 사연을 통해 보듯, 치료는 미룰수록 더 큰 치료와 큰 비용으로 불어납니다. 어느 계층의 사람이라도 평등하게 누릴 수 있는 것이 바로 1차 예방입니다. 1차 예방이란 질병의 원인이 되는 것을 미리 차단하는 역할을 합니다. 집에서는 올바른 양치질, 건강보험이 적용되는 스케일링은 1년에 한 번 꼭 받기! 정기적인 치과 검진 받기 이렇게만 지키셔도 당신의 치아는 건강할 겁니다.




엄마는예뻤다를 통해 수많은 엄마들을 웃게해준 치과, 미니쉬치과병원과 함께 치아 건강과 아름다움을 지키세요.

미니쉬치과병원 서울특별시 강남구 언주로 728


Explore More
Keep Browsing This Clinic's Korean Content Trail.
Return to the source archive for more posts, or move back to the clinic profile to compare the rest of the clinic's public channels.