미니쉬치과병원ㅣMinish Dental Hospital ㅣミニッシュ歯科病院ㅣ美尼仕牙科医院ㅣ美尼仕牙科醫院
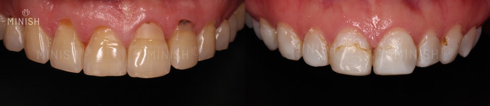
교정 후 벌어진 앞니와 블랙트라이앵글, 논현동 미니쉬치과병원에서 해결
교정을 결심할 때 많은 사람들이 '드라마틱한 변화' 를 꿈꾼다. 하지만, 막상 교정을 하고나면 불만족을 표하는 분들이 많습니다. 입도 좀 들어간 거 같고, 치아도 가지런해진 거 같긴한데 TV 프로그램에서 보던 것 처럼 드라마틱하지는 않아서인데요. 교정은 치아의 불규칙한 배열을 제자리를 찾아주는 역할만 할 뿐입...
교정을 결심할 때
많은 사람들이 '드라마틱한 변화' 를 꿈꾼다.
하지만, 막상 교정을 하고나면 불만족을 표하는 분들이 많습니다.
입도 좀 들어간 거 같고, 치아도 가지런해진 거 같긴한데 TV 프로그램에서 보던 것 처럼 드라마틱하지는 않아서인데요. 교정은 치아의 불규칙한 배열을 제자리를 찾아주는 역할만 할 뿐입니다. 불규칙한 치아로 인해 가려진 다른 치아 문제까지 치료해주지는 않습니다.
교정 후
블랙트라이앵글과 벌어진 앞니 원인은?

"8~9년 전 교정을 한 후 치아 사이에 구멍이 생겼어요.", "교정 후 벌어지고 다시 틀어졌어요."
치아 사이의 구멍 블랙트라이앵글, 벌어진 앞니의 배열은 흔하게 교정 후 겪는 문제입니다. 교정 전 불규칙한 치아 상태에서는 치아 관리가 어렵기 때문에 잇몸염증과 잇몸뼈 흡수가 일어난 상태일 수도 있습니다. 또한, 잇몸이 채워져 있어야 하는 공간인데 치아가 겹쳐 있어 틈이 없어 보였지만 제자리를 찾으며 잇몸의 빈공간이 드러나기도 하죠.
이렇게 벌어진 채로 앞니를 방치하면 외적인 문제뿐 아니라 음식물이 쉽게 끼어 충치 등으로 연결될 수도 있습니다. 교정으로 되찾으려던 심미적 문제와 기능 문제를 다시 겪지 않으려면 공간을 메꿔주는 치료를 꼭 받아야 합니다.
벌어진 앞니와 치아 사이 검은 공간 치료법은?

레진 변색
미세하게 벌어진 경우 레진 치료를 많이 진행합니다. 작은 틈만 메꿔주면 되기 때문인데요.
하지만, 레진은 변색이 빠르며, 수축되는 과정에서 미세한 틈이 발생, 그 틈으로 세균이 침투해 2차 우식의 우려 등이 있습니다. 그렇게 되면 크라운 등의 더 큰 보철물 치료를 해야 할 수도 있죠. 이렇듯 신중하게 치료를 선택하지 않으면, 훗날 내 치아에 어떤 영향을 끼칠지 모르기 때문에 최대한 건강한 치료를 선택해야 합니다.
내 치아를 위한 건강한 선택
미 니 쉬

치아의 손상된 부위만을 다듬어 자연치와 유사한 물성을 이용, 이를 얇게 코팅하는 솔루션인 미니쉬. 특히 벌어진 경우에는 거의 치아 삭제가 없다고 생각하시면 됩니다. 오래 내 자연치아의 건강함을 지킬 수 있죠. 또한, 틈없는 정밀한 결합으로 2차 우식의 우려도 적습니다. 자연치아와 비슷한다는 건 건강 그리고 인위적인 색상이 아닌 자연스러운 하얀 이를 가질 수 있다는 의미입니다.
교정과 미니쉬를 한 번에!
미니쉬 하이브리드

미니쉬는 그 종류 또한 다양한데요.
그중 미니쉬 하이브리드는 치아 교정이 필요한 경우에는 교정을 진행하되 교정 후 치아 벌어짐, 치아 사이 공간이 예상 될 시 교정과 미니쉬를 결합하여 치료하는 방식입니다. 일반 교정만 할 시 2년이라는 긴 시간이 소요되는데에 비해 함께 치료를 진행할 시 짧은 교정 기간과 미니쉬로 심미까지 챙길 수 있는 일석이조 솔루션이죠. 본원은 교정과를 함께 운영하고 있어 빠른 협진을 통한 해당 치료가 가능합니다.
미니쉬로 드라마틱한 변신을 하다


교정 후 벌어진 앞니와 치아 사이 검은 공간이 메꿔진 것은 물론, 가지런하고 하얀 이로 변한 거 보이시나요?
건강한 선택을 한 사람들

건강한 미니쉬를 받을 수 있는 곳!
논현동 미니쉬치과병원

논현동에 위치한 미니쉬치과병원 800평 규모의 14층 단독 병원입니다.
미니쉬를 포함해 교정과, 일반과, 예방과까지 어떤 치아 문제도 한 번에 해결됩니다. 또한, 과별 협진이 가능하기 때문에 복합적인 치아 문제를 가지고 있어도 한 번에 치료가 가능하죠.
미니쉬 임상 경험이 가장 많고, 유일한 마스터 등급의 강정호 대표원장이 상주해있는 곳이기도 합니다.
✔ 최다 누적 시술 건수 94,264건(2022년 6월 기준)
✔ 다양한 등급의 미니쉬 닥터 상주
내 치아의 벌어진 문제 이제 방치하지 말고 논현동에 위치한 치과, 미니쉬치과병원에서 예뻐지세요!

▼논현동 미니쉬치과병원 위치▼
미니쉬치과병원 서울특별시 강남구 언주로 728



Explore More
Keep Browsing This Clinic's Korean Content Trail.
Return to the source archive for more posts, or move back to the clinic profile to compare the rest of the clinic's public channels.