미니쉬치과병원ㅣMinish Dental Hospital ㅣミニッシュ歯科病院ㅣ美尼仕牙科医院ㅣ美尼仕牙科醫院
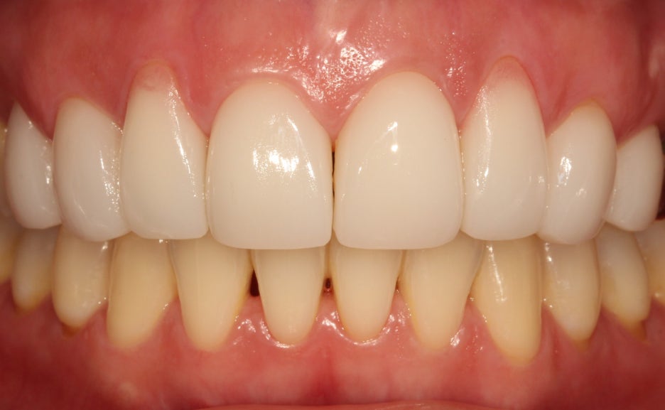
부정교합 교정 후 미니쉬
학동역치과 부정교합 교정 방법은? 사람들은 대부분 하얗고 가지런한 치아를 꿈꿉니다. 이와 반대로 치아 배열이 삐뚤거나 덧니가 있다면 외모적 콤플렉스로 인식하는 경우가 많죠. 뿐만 아니라 음식을 자르고 씹기 어려운 기능적 문제가 동반됩니다. 보기에 아름다운 이? 단정한 인상을 주기 위해서는 가지런한...
학동역치과 부정교합 교정 방법은?
사람들은 대부분 하얗고 가지런한 치아를 꿈꿉니다.
이와 반대로 치아 배열이 삐뚤거나 덧니가 있다면 외모적 콤플렉스로 인식하는 경우가 많죠. 뿐만 아니라 음식을 자르고 씹기 어려운 기능적 문제가 동반됩니다.

보기에 아름다운 이?
단정한 인상을 주기 위해서는 가지런한 배열이 중요합니다.
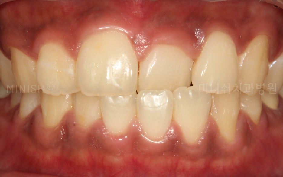
치열이 정상 범위에서 벗어나, 서로 맞물리는 교합 관계가 어긋난 것을 부정교합이라 말합니다. 부정교합은 턱의 성장 등 골격과의 연관 또는 구강 문제로 인해 발생할 수 있습니다.


조금씩 틀어지고 맞물린 틈새에는 음식물이 끼기 쉽습니다.
청결 관리가 소홀하다면 정상적인 치열에 비해 잇몸 질환이나 충치 발생 위험이 월등히 높아질 수 있어요. 또한 발음이 새고 음식을 씹는 저작 기능이 약해지기도 합니다. 이 외에도 얼굴의 비대칭, 턱관절의 통증 등 다양한 문제로 발전할 수 있죠
증상의 악화를 막기 위해서는 부정교합을 정상 범위로 회복시키는 교정 치료가 필요합니다.
부정교합 교정 방법

치아교정
교정 장치를 이용한 치료는 치면에 장치를 부착하고 철사를 연결해 이를 이동시킵니다.
비정상적 교합관계를 개선할 때 가장 흔하게 고려되는 방법으로, 주변에서 덧니교정후기도 많이 찾아볼 수 있죠. 하지만 오랜 교정 기간과 그 동안 장치를 부착하고 생활해야 하는 불편감을 감수해야 합니다.
구강 콤플렉스로 교정을 원하는 사람들은 기능적 개선 외, 심미 변화를 원하는 경우가 많은데요.
돌출된 장치를 부착하여 심미성이 저하되고, 청결 관리에 소홀해져 영구적인 변색 문제를 낳기도 합니다. 또한 교정 이후 외모 변화에 대한 기대감이 높은 반면, 실제로는 기본적인 치아의 모양, 색상, 크기가 바뀌지 않아 결과에 부족함을 느끼는 덧니교정후기를 보신 적이 있을 겁니다.
부족한 교정? 해결 방법 알아보세요


하루만에! 원데이 미니쉬
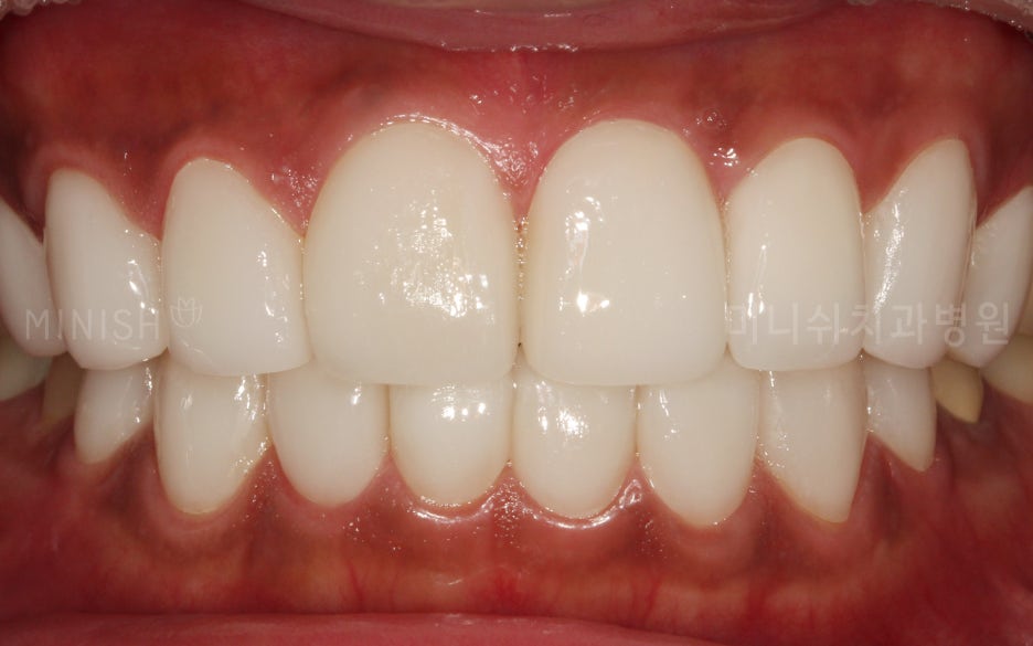
미니쉬는 자연치아와 유사한 치과용 재료로 치면을 얇게 감싸는 코팅하는 치아복구솔루션입니다.
치아 사이의 비율과 형태를 조절함으로써 교정없이도 정상적인 배열을 만들 수 있습니다.
일반적으로 치료 기간이 단 하루로, 평균 2년이 소요되는 교정에 비해 치료에 의한 피로도가 낮습니다.
짧은 기간 내에 큰 시각적 변화를 이뤄낼 뿐만 아니라 어긋났던 교합이 제자리를 찾으며 먹고 말하는 삶의 질을 크게 높일 수 있습니다.

미니쉬는 교정 후에도 가능합니다


● 질환: 치열 이상으로 교정 진행 중, 왜소치, 치아변색, 치은염
● 촬영일자: 구강 2020.09.04 | 2021.10.08
● 실치료기간: 2일
개인에 따라 치료 기간이 다를 수 있으며, 부작용이 발생할 수 있으니 의료진의 정확한 진료를 받고 치료를 진행하시기 바랍니다.
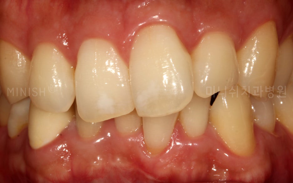
교합 개선이 필요한 불규칙한 치열은 단기 교정을 통해 가지런하게 개선합니다.
교정으로 개선할 수 없는 형태, 색상, 질감 등은 교정 후 미니쉬로 아름답게 변화시키죠. 틀어진 치열에 의해 비정상적으로 접촉되며 치아가 심하게 마모되기도 하는데, 치아 코팅은 닳아버린 치아의 기능도 회복할 수 있습니다.
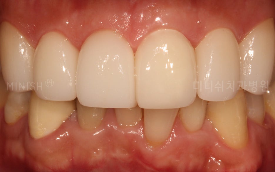
무엇보다 오랜 경력의 의료진이 상주한 학동역 미니쉬치과병원에서는 빈틈없는 치아 코팅 노하우를 통해 결합력 높은 치료 결과를 자랑합니다.
정밀한 결합력은 오래 사용해도 탈이 나지 않는 치료 후기를 통해 증명되죠. 치료 이후 구강을 청결하게 유지하기 좋은 환경이 만들어지기 때문에 건강하게 아름다워지는 시술 방법으로 추천드립니다.

학동역 위치 미니쉬치과병원
치료 기간이 늘어나면 부담도 함께 증가합니다.
본인의 증상에 따라 꼭 시행해야 하는 치료방법이 있듯이 조금 더 쉽게 해결할 수 있는 방법이 있을 수 있습니다. 적절한 해결책을 찾기 위해 학동역치과에 방문해 정확한 진단을 받는 것을 추천드립니다.
미니쉬는 비정상적인 교합으로 고민하는 사람들에게 부작용의 위험성이나 경제적 부담을 낮출 수 있는 좋은 선택지가 되고 있습니다. 어렵고 힘든 치료 과정 없이도 정상적인 교합, 아름다운 형태를 동시에 얻을 수 있는 미니쉬를 통해 전에 없던 만족감을 경험해보세요.

미니쉬치과병원 서울특별시 강남구 언주로 728


Explore More
Keep Browsing This Clinic's Korean Content Trail.
Return to the source archive for more posts, or move back to the clinic profile to compare the rest of the clinic's public channels.