미니쉬치과병원ㅣMinish Dental Hospital ㅣミニッシュ歯科病院ㅣ美尼仕牙科医院ㅣ美尼仕牙科醫院
치아 사이 검은 공간! 블랙트라이앵글 원인은?
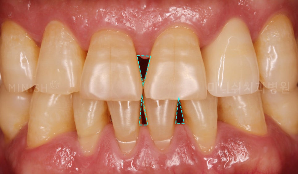
치아 사이에 검은 삼각형 모양이 보인다고 하여 이름이 붙은 블랙트라이앵글! 우선적으로 말을 하거나 입을 벌릴 때 검은 공간이 적나라하게 노출되기 때문에 심미성이 저하됩니다. 무엇보다 블랙트라이앵글 틈으로 음식물 찌꺼기가 끼거나 세균이 침투하기 쉽기 때문에 심미성을 비롯해 치아 건강에도 안 좋습니다. 따라서 블랙트라...
치아 사이에 검은 삼각형 모양이 보인다고 하여 이름이 붙은 블랙트라이앵글! 우선적으로 말을 하거나 입을 벌릴 때 검은 공간이 적나라하게 노출되기 때문에 심미성이 저하됩니다. 무엇보다 블랙트라이앵글 틈으로 음식물 찌꺼기가 끼거나 세균이 침투하기 쉽기 때문에 심미성을 비롯해 치아 건강에도 안 좋습니다. 따라서 블랙트라이앵글 원인에 대해 명확히 파악하고 적절한 대처를 하는 것이 좋은데요.

- 치아교정 치료
일반적으로 교정치료를 받고 난 뒤 공간이 생기는 경우가 많습니다. 겹쳐지고 울퉁불퉁하던 치아가 가지런히 재배열되면서 역삼각형의 공간이 드러나게 되는 것이죠.

- 흡연
백해무익한 담배 역시 구강 건강을 해치는 주범입니다. 담배에 함유되어 있는 니코틴, 타르 등의 성분은 잇몸의 퇴축을 부추깁니다. 때문에 치아를 지지하고 있던 잇몸이 점점 내려가는 원인으로 인해 블랙트라이앵글이 생기기도 합니다.

- 잘못된 습관
마지막으로 습관입니다. 평소 이쑤시개를 사용한다던지, 잇솔질을 제대로 하지 않는다던지 올바르지 못한 습관을 가지고 있는 경우 잇몸이 내려가 블랙트라이앵글이 생길 수 있습니다. 특히 치석이 쌓이게 되면 블랙트라이앵글이 심해질 수 있으므로 각별한 주의가 필요합니다.

블랙트라이앵글의 원인에 대해 알아봤는데요. 이를 예방하기 위해서는 담배는 끊고, 올바른 습관을 가질 수 있도록 개선하는 것이 중요합니다. 또, 심한 경우 레진이나 치간삭제 후 교정치료 등을 통해 개선이 가능한데요. 이는 개인의 상태에 따라 치료 방법이 달라질 수 있으므로 정확한 진단과 상담을 통해 진행하시기를 권유드립니다.



미니쉬치과병원 서울특별시 강남구 언주로 728
Explore More
Keep Browsing This Clinic's Korean Content Trail.
Return to the source archive for more posts, or move back to the clinic profile to compare the rest of the clinic's public channels.