미니쉬치과병원ㅣMinish Dental Hospital ㅣミニッシュ歯科病院ㅣ美尼仕牙科医院ㅣ美尼仕牙科醫院
압구정 치과가 추천하는 벌어진치아 교정방법?
"압구정역치과가 추천하는 벌어진치아 교정방법은?" 벌어진치아 교정방법 치아가 벌어지면 빈 공간이 까맣게 보입니다. 말하거나 웃을 때, 이 빈 공간이 까맣게 드러나는데요. 작은 공간이 우리의 외모에 어떤 영향을 미치는지 확인해보세요! 이가 벌어졌을 때 가장 흔히 생각할 수 있는 치료는 입 안에 장치를 부착하고 치...
"압구정역치과가 추천하는 벌어진치아 교정방법은?"
벌어진치아 교정방법
치아가 벌어지면 빈 공간이 까맣게 보입니다.
말하거나 웃을 때, 이 빈 공간이 까맣게 드러나는데요. 작은 공간이 우리의 외모에 어떤 영향을 미치는지 확인해보세요!
이가 벌어졌을 때 가장 흔히 생각할 수 있는 치료는 입 안에 장치를 부착하고 치아의 배열을 움직이는 교정치료입니다.
치아교정은 듬성듬성 벌어진 공간을 닫아 치열을 고르게 바로 잡아주죠. 가지런한 배열은 아름다움은 물론이고 치아들끼리 올바르게 맞물릴 수 있게 합니다. 씹는 기능이 좋아지면서 꼭꼭 씹고 삼킬 수 있어 전신 건강 상태를 호전시키기도 합니다.
벌어진 치아 교정, 미니쉬하모니

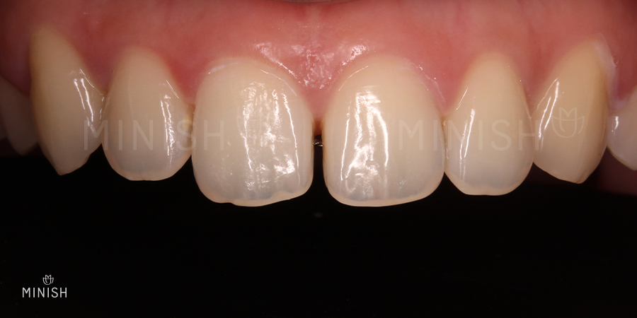
위 사례자분은 수 년 간의 교정치료를 마무리한 후 다시 앞니가 벌어졌습니다.
교정 후에도 치아가 벌어질 수 있어요
-교정 후 벌어진 치아 편-
눈에 잘 띄는 앞니의 벌어짐은 큰 심미적 문제가 됩니다. 또한 정교하게 맞춰놓은 교합에 변화가 생겼다는 점도 주목해야 합니다. 변화한 구강 환경을 파악하고 건강을 유지하기 위해서는 벌어짐이 발견되는 즉시 치과에 내원하는 것이 좋습니다.
벌어짐을 개선하기 위해서는 재교정 치료를 고민해볼 수도, 치아 색과 유사한 치과재료로 빈 공간을 채우는 방법을 선택할 수도 있죠.

교정 치료 후 벌어진치아
교정이 외적 개선에 도움을 주는 것은 분명합니다.
하지만 명확한 한계가 존재하는데요. 치아 자체의 모양과 색상은 변화시킬 수 없다는 점입니다.
오히려 오랜 시간 장치를 부착한 치면은 청결관리가 잘 되지 않아 치태와 치석가 쌓이기 쉽습니다. 이로 인해 누런 색상과 거친 질감을 갖게 될 수도 있죠. 교정 후 심미 개선에 부족함을 느끼는 분들이라면, 교정 후 벌어짐에 재치료가 아닌 치아 전체를 코팅해내는 치아복구 솔루션이 좋은 해결책이 됩니다.
↪ 치아를 코팅하는 미니쉬란?
왜 벌어진 부분만 채우는 수복이 아닌,
전체 치아를 코팅해야 할까요?
교정치료 이후에 벌어짐이 생기듯이 수복치료 이후에도 치아간 움직임이 있을 수 있습니다.
치아 전체를 감싸는 코팅 솔루션 미니쉬는 이웃한 치아들과의 미세한 간격까지 조정하여 서로 긴밀하게 지지를 이루는 구강 환경을 조성합니다. 이러한 환경은 치아의 추가적인 움직임에 저항하는 역할을 해냅니다. 반면 벌어진 부분만을 채우게 되면 전체적인 움직임을 잡아주기 어렵겠죠.
교정 후 약해진 에나멜을 건강하게 보강
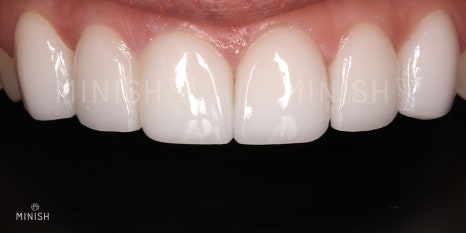
한층 균형잡힌 치아 모양과 매끈한 질감, 밝아진 색상이 보이시죠? 인위적이지 않은 자연스러운 변화는 치아코팅 치료의 큰 장점으로 손꼽히고 있습니다.


▪ 질환 : 애나멜 손상, 치아벌어짐, 변색
▪ 촬영일자 : 2019.03.04 | 2019.03.26
▪ 실치료기간 : 원데이
- 개인에 따라 치료 기간이 다를 수 있으며, 부작용이 발생할 수 있으니 의료진의 정확한 진료를 받고 치료를 진행하시기 바랍니다.
재교정 진행 시 오랜 기간을 들이지만 재발의 가능성 또한 염두에 두어야 하는데요.
미니쉬는 원데이 치료가 가능하기 때문에 치료에 투자하는 시간적 이득이 매우 큽니다. 장기간 치료로 느끼게 되는 피로감이나 생활 속 불편감을 확실히 줄일 수 있는 방법이죠.
앞니 벌어짐 개선하고 한층 밝아진 미소!
배열에는 큰 차이가 없지만, 확연한 심미성의 증대를 느낄 수 있죠! 미니쉬 솔루션 후, 한층 더 자연스러운 얼굴 표정도 확인해보세요.

압구정역치과에서 추천하는 치아코팅 미니쉬
실제로 미니쉬치과병원을 찾아주시는 많은 환자분들이 코팅 치료 이후 외적 자신감이 증가하며 표정, 인상, 성격의 변화까지 경험하고 계십니다.
교정 이후 벌어진치아 잡는 MINISH!
압구정역치과, 치료 후에도 철저한 관리가 필수

치아의 무분별한 이동을 방지하기 위해서는 치아를 고정해주는 잇몸의 건강을 철저하게 관리하는 것이 우선입니다.
적합한 칫솔질로 세균의 활성도를 낮추고 정기적인 치과 방문을 통한 스케일링도 중요해요.
↪ 잇몸 건강 지키는 특급비밀 공개
일상 생활에 무리를 주지 않도록 뺐다 낄 수 있으면서 치아 배열을 유지해주는 보조장치의 도움도 받아야 합니다.
미니쉬로 치아벌어짐 교정하고 '꼭' 올바른 관리를 통해 건강한 구강, 아름다운 미소를 오래 유지하세요!
교정 후에도 벌어진치아
교정 후에도 못생긴 치아라면,
압구정역 미니쉬치과로!
미니쉬치과병원에서 상담받기🔽

미니쉬치과병원 서울특별시 강남구 언주로 728


Explore More
Keep Browsing This Clinic's Korean Content Trail.
Return to the source archive for more posts, or move back to the clinic profile to compare the rest of the clinic's public channels.