미니쉬치과병원ㅣMinish Dental Hospital ㅣミニッシュ歯科病院ㅣ美尼仕牙科医院ㅣ美尼仕牙科醫院
강남구치과, 앞니틀어짐을 갖고 있는 경우 나에게 맞는 치료법은?
낯선 사람을 기억할 때 이름보다 외모를 먼저 떠올린다. 모두들 한 번쯤 "그 사람 있잖아 키 크고, 눈은 부리부리해서", "웃을 때 치아가 다 보여서 우리가 건치네 하면서 봤던 그 사람" 이런 식으로 외모를 묘사한 적이 있으실 겁니다. 우리는 사람을 기억할 때 이미지로 먼저 기억합니다. 낯선사람이 많은 자리일수록 이름...
낯선 사람을 기억할 때 이름보다 외모를 먼저 떠올린다.

모두들 한 번쯤 "그 사람 있잖아 키 크고, 눈은 부리부리해서", "웃을 때 치아가 다 보여서 우리가 건치네 하면서 봤던 그 사람" 이런 식으로 외모를 묘사한 적이 있으실 겁니다.
우리는 사람을 기억할 때 이미지로 먼저 기억합니다. 낯선사람이 많은 자리일수록 이름을 외우는 것보다 그사람의 외모로 기억하는 경우가 많죠. 실제로 인간의 뇌는 문자보다 그림이나 영상 같은 이미지를 먼저 떠올린다고 합니다.
그중 앞니는 말할 때 웃을 때 가장 많이 보이는 부분이기에 도드라져 있으면, 앞니의 특이한 모양으로 기억하기 쉬워지는데요. 특히 가운데 두 개의 치아는 얼굴의 좌우 대칭과 옆모습의 경사도를 좌우하기 때문에 전체적인 인상에도 영향을 끼치고, 자신감 문제와도 이어지는 요소입니다.
오늘 소개해드릴 박OO님 도 특이한 앞니의 모양으로 자신감을 많이 잃었었습니다.
앞니틀어짐이 콤플렉스인 40대 박OO님

해당 사례자는 앞니가 포개진, 앞니틀어짐 문제를 겪고 계신 40대 여성분이셨습니다.
앞니의 틀어짐으로 웃음이 별로 없고, 웃더라도 입을 가리는 건 물론, 앞니로 음식도 잘 끊어 먹지 못했다고 합니다.
앞니틀어짐 원인과 문제점은?


치아가 틀어지는 원인 중 하나인 악궁의 크기! 악궁이란 치아가 배열되어 있는 공간. 즉, 입 천장의 형태라고 할 수 있는데요. 아침 만원 지하철, 버스를 상상해 보세요. 한정된 버스, 지하철이라는 공간에 사람들이 많으니까 사이사이 낑겨 타며 틀어진 모양새가 되죠? 치아도 똑같습니다. 치아를 담는 이 악궁이 좁으면 치아가 서로 자라려고 좁은 틈을 비집고 자라게 됩니다. 그 결과 틀어진 모양을 갖추게 되는 거죠.
그리고 악궁이 좁은데 치아가 크거나 악궁은 정상이지만 치아가 큰 경우에도 전체적으로 틀어지거나 사례자처럼 앞니틀어짐을 겪기도 합니다.
치아의 틀어짐은 모양이 예쁘지 않아서 외적으로 위축되는 것도 있지만, 가장 큰 문제는 구강 건강입니다. 집 청소를 해도 청소하는 곳마다 조금씩 청소도구가 달라집니다. 창문 틈, 서럽장 밑 등을 청소할 때는 청소기의 헤드를 빼거나 작은 거로 청소를 하고는 합니다. 그렇게 하지 않으면 그 틈의 먼지들은 제거하기가 쉽지 않기 때문이죠. 치아도 틀어진 사이사이를 관리하기 쉽지 않습니다. 그래서 틈 관리에 용이한 치간 칫솔, 치실 등 사용과 주기적인 스케일링이 동반되어야 합니다. 그렇지 않으면 풍치 등 치주질환에 노출되죠.
그럼 박OO님의 구강 상태는 어땠을까요?
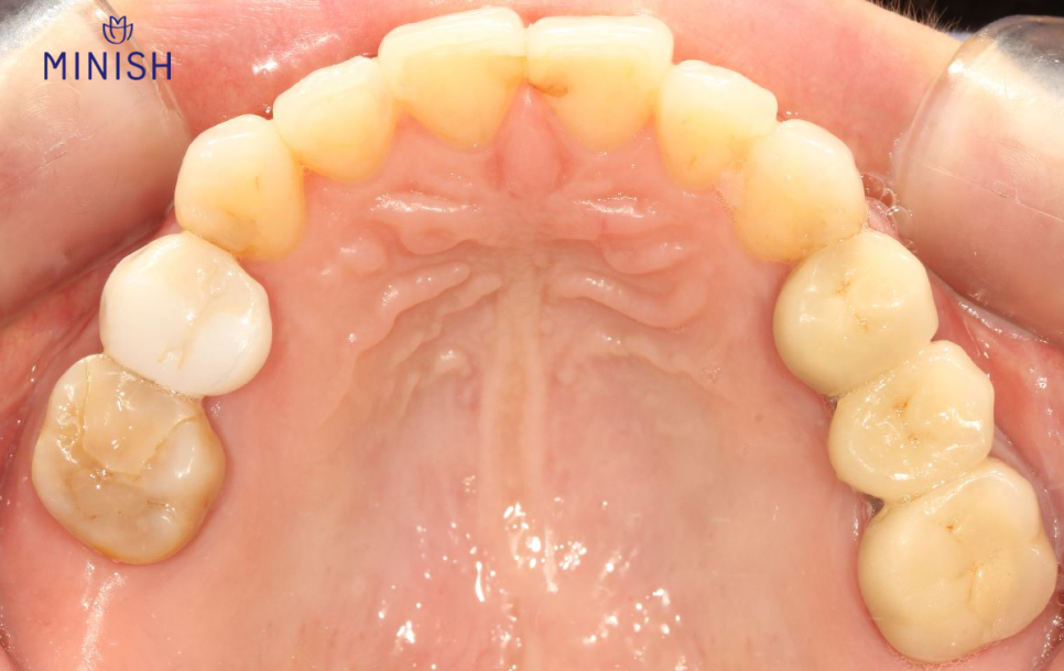
좁은 악궁의 박OO님의 구강


반원의 형태가 뻗을수록 좁아지는 것을 보았을 때 박OO님의 틀어진 원인은 좁은 악궁때문인 것을 확인할 수 있습니다.
악궁이 좁으니 원래 치아 크기가 들어갈 공간이 없었기에 남은 공간을 비집고 앞니가 툭 튀어나온 것입니다.
틀어진 치아 치료법은?

흔히 앞니틀어짐, 치아가 전체적으로 틀어지면 교정치료를 진행하는 경우가 많습니다.
하지만, 40대라는 나이에 쉽게 교정을 결정하긴 쉽지 않습니다. 아무래도 긴 교정 기간과 초반에는 장치가 치아를 조이기 때문에 통증이 수반되기 때문입니다. 그리고 유지 관리를 소홀히 하면 처음의 치아로 점차 돌아가는 경향을 보이기 때문에 교정 후 관리가 쉽지는 않습니다.


(좌)라미네이트 (우) 크라운
이럴 때는 심미·보철치료를 고민해보곤 하는데요. 이때, 치아 건강을 위한 치료로 잘 알아보고 신중한 선택을 하셔야 합니다. 치아는 한 번 망가지면 되돌릴 수 없기 때문입니다. 이말인 즉슨, 심하면 대체 치아인 임플란트, 틀니 착용으로까지도 이어진다는 의미인데요. 대표적인 심미치료인 라미네이트는 치아를 과도하게 깎아내기 때문에 마취는 필수적으로 시행되며 자연치의 시림, 낮은 결합력으로 잦은 탈락의 우려 등이 있습니다. 그리고 대개 보철물이 제작되는 기간이 있기 때문에 임시치아로 생활해야 하는 불편함도 있죠. 씌우는 치료인 크라운도 똑같습니다. 보철물 특성상 치아를 기둥모양처럼 과도하게 깎아내죠. 두 치료 모두 때에 따라 필요한 경우가 있지만, 그럴 경우를 제외하고는 쉽게 결정할 치료는 아니지요.
그럼 마지막 어떤 방법이 있을까요?
틀어진 앞니에는 '미니쉬'


미니쉬란 치아 건강을 목적으로 탄생한 솔루션입니다. 그렇기에 치아의 손상된 부위만을 다듬어 자연치아를 최대한 살리고 있죠. 또한, 2차 우식으로 인해 자연치가 망가지지 않도록 표면을 다듬는 작업을 통해 미니쉬와 자연치아의 결합력을 높였습니다. 그렇기에 탈락의 우려도 적습니다.

자연치아를 살린다는 것은 치아가 원래 형태와 크게 다르지 않기에 보철물이 굉장히 얇고 개개인의 치아 모양에 맞게 제작되어야 한다는 건데요. 미니쉬기공연구소는 평균 경력 15년 이상의 기공연구원이 다수 상주해 미니쉬를 제작하고 있습니다. 기계로 환자의 치아에 딱 맞게 제작이 어려운 부분은 섬세하게 다듬는 2차 기공 과정을 통해 미니쉬를 환자 맞춤으로 제작합니다.
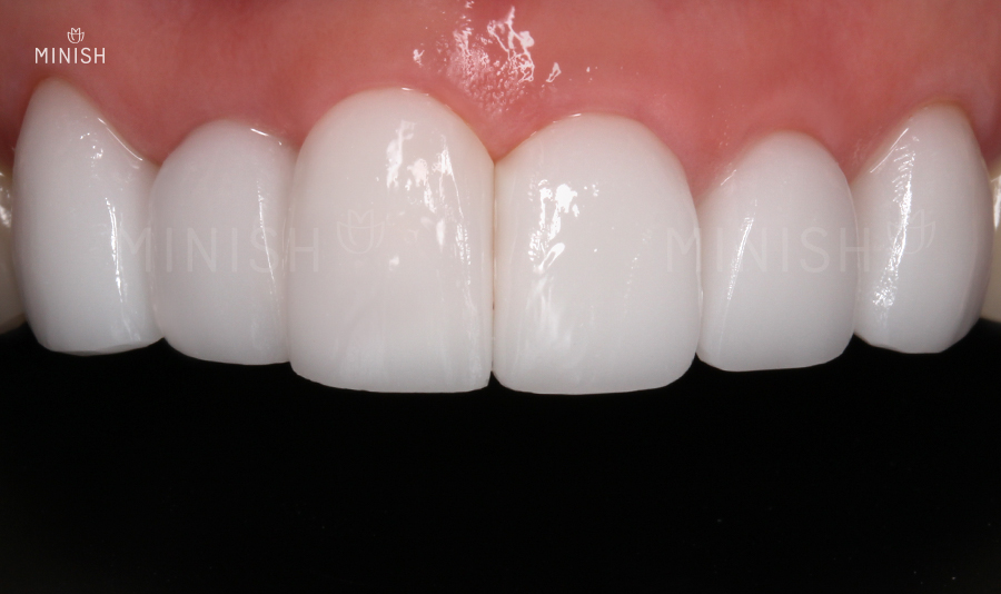
박OO님
미니쉬로 어떻게 바뀌었을까?


● 질환: 틀어진치아
● 촬영일자: 구강 8.4
● 실치료기간: 1일
개인에 따라 치료 기간이 다를 수 있으며, 의료진의 정확한 진료를 받고 치료를 진행하시기 바랍니다.
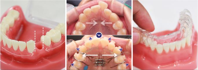
가지런하게 배열을 개선하는 것을 목표로 치료를 진행했습니다. 우선 두 앞니의 치아 높낮이가 달랐기 때문에 최대한 밸런스를 맞추기 위한 잇몸절제술을 진행, 회전되어서 튀어나온 부위만을 다듬고 미니쉬를 진행했습니다.

그 결과 일상에서도 자연스럽고 예쁘게 웃게 된 박OO님!
그렇다면 이 미니쉬 어디서 할 수 있을까요?
MINISH를 가장 오래 한 미니쉬치과병원

미니쉬치과병원 서울특별시 강남구 언주로 728
미니쉬는 전국 각지에서 할 수 있지만, 그중 서울 강남구치과로 유명한 본원이 미니쉬를 시행한지 가장 오래된 곳입니다.
유일한 마스터 등급이자 미니쉬 개발자인 강정호 대표원장과 등급별 의료진이 가장 많이 상주해 있는 곳이죠. 등급별 의료진의 포진은 소비자분들의 선택의 폭이 넓으며, 가장 많은 미니쉬 솔루션을 진행했다는 의미인데요.
강남구치과인 미니쉬치과병원의 미니쉬 시술건수는 무려 94,264건(2022년 6월 기준) 해당 솔루션을 고민 중이라면 망설임 없이 본원을 택해야 하는 이유이죠.
본원이 미니쉬 외에도 강남구치과로 유명한 이유는교정 과, 일반과, 예방과 등 일반 치과에서는 찾아보기 힘든 통합진료시스템과 1대1 프라이빗 진료실 등을 갖추고 있기 때문입니다. 통한진료시스템은 미니쉬를 하기 전 근본적인 구강 문제를 치료 받음으로서 치아가 아픈 원인을 제거할 수 있으며 프라이빗 진료실을 이용함으로 편안한 분위기에서 편안하게 치료를 받을 수 있습니다.
치아가 틀어졌다면, 치아에 문제가 있다면 언제든지 본원을 찾아주세요! 미니쉬스마일😄

미니쉬치과병원 서울특별시 강남구 언주로 728



Explore More
Keep Browsing This Clinic's Korean Content Trail.
Return to the source archive for more posts, or move back to the clinic profile to compare the rest of the clinic's public channels.