미니쉬치과병원ㅣMinish Dental Hospital ㅣミニッシュ歯科病院ㅣ美尼仕牙科医院ㅣ美尼仕牙科醫院
강남구치과 앞니깨짐 미니쉬로 해결한 후기
강남구치과 앞니깨짐 미니쉬로 해결한 후기 젓가락 씹다가 앞니가 깨졌어요 킥보드 타다가 넘어져서 깨졌어요 딱딱한 거 먹다 이빨에 금이 간 것 같아요 원래 튼튼한 이를 가지고 있다고 해도 다양한 원인에 의해 우리의 이는 손상됩니다. 식사를 하다가, 야외 활동 중에, 순간적인 실수로 하나뿐인 치아가 깨지곤 하는데요. 금이...
강남구치과 앞니깨짐 미니쉬로 해결한 후기

젓가락 씹다가 앞니가 깨졌어요
킥보드 타다가 넘어져서 깨졌어요
딱딱한 거 먹다 이빨에 금이 간 것 같아요
원래 튼튼한 이를 가지고 있다고 해도 다양한 원인에 의해 우리의 이는 손상됩니다.
식사를 하다가, 야외 활동 중에, 순간적인 실수로 하나뿐인 치아가 깨지곤 하는데요. 금이 간 후 크고 작은 자극이 가해지면서 서서히 깨질 수도, 한 번의 강한 충격에 의해 갑작스레 깨지는 경우도 있습니다. 외상에 의해 내부 신경이 노출될 위험성이 있기 때문에, 이가 깨진 경우 신속하게 치료를 받는 것이 중요합니다.

치아의 파절은 외모도와도 관련이 깊습니다.
깨진 부분이 텅 비어보이거나 변색이 관찰되기도 하는데요. 외적 불편감은 앞니깨짐의 경우에 더욱 심각하게 다가옵니다. 심미 문제를 빠르면서 확실하게 해결하기 위해서는 세라믹 코팅 솔루션 미니쉬가 적절한 해결책이 될 수 있어요. 하루만에 치료가 모두 마무리되기 때문에 기능적, 심미적 문제를 즉시 개선하죠.
앞니깨짐, 고치고 싶어요

● 질환:앞니깨짐, 틀어진치아, 잔존유치, 치은염
● 촬영일자:구강 04.10 | 09.26
● 실치료기간: 원데이
- 개인에 따라 치료 기간이 다를 수 있으며, 부작용이 발생할 수 있으니 의료진의 정확한 진료를 받고 치료를 진행하시기 바랍니다.
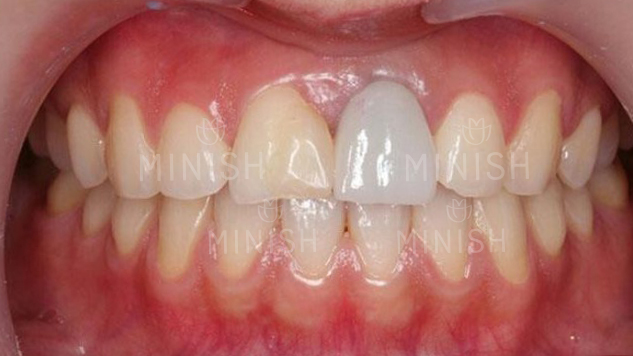
눈에 잘 보이는 앞니깨짐에 의한 외모 스트레스를 호소하는 환자분이 강남구치과에 방문해주셨습니다.
이가 깨지면 신경이 밖으로 노출되진 않았는지 확인이 필요합니다. 신경은 예민해서 법랑질, 상아질 등 방어막에 의해 보호되는데 금이 가거나 파절될 때 신경에 자극이 갈 수 있습니다. 이로 인해 이가 어두워지는 변색이나 균 감염으로 인해 발치가 필요할 수도 있는 위험성을 인지해야 합니다.
간단하게 발치 후에 임플란트를 하면 된다고 생각하실 수 있는데요. 임플란트는 잇몸뼈가 부족하거나 지혈이 잘 되지 않는 전신적 문제로 인해 수술이 불가능 할 수 있습니다. 수술 진행 시에는 인공치근을 뼈에 식립하고 수개월간 유지 및 유착시키는 기간을 가지는데, 임시치아를 부착해 임시로 씹는 역할을 대신합니다. 임시치아는 자연치아와 모양이나 색상에 있어 큰 차이를 보여 앞니에 적용된다면 긴 기간동안 일상생활에서 심미적 스트레스가 동반될 가능성이 높죠. 실제 임플란트 치관을 올릴 때도 자연치아와 색상적 차이가 있어 심미적 이질감을 줄 수 있답니다.

우리가 말하거나 웃을 때 보통 윗앞니 6~8개가 드러나는 경우가 많기 때문에 앞니깨짐 치료 시, 주변 치아들과의 심미적 조화를 고려한 치료 선택이 필요합니다.
강남구치과에서 코팅 솔루션 미니쉬로 해결

해당 환자분은 앞니깨짐을 오랜 기간 방치했습니다.
살짝 깨진 경우 치료가 불필요하다 생각할 수 있지만, 작은 앞니의 결함이 외모에 미치는 영향은 매우 큽니다. 환자분의 앞니는 안쪽으로 살짝 틀어져 안쪽이 오목하고 끝으로 갈수록 넓어지는 것처럼 보이는데, 안쪽에 위치한 치질 일부분이 떨어져나가고 나니 중앙부와 끝부분의 비대칭이 더욱 도드라집니다.
치질이 깨지고 사라져 보호되어야 할 치아! 치료하는 과정에서 건강에 해를 끼쳐서는 안되겠죠. 미니쉬는 깨진 이를 손상없이 건강하게 보호할 수 있는 치면코팅 솔루션입니다.

치면 코팅은 치아 전체를 감싸 보호하면서 동시에 균일한 색상과 형태를 가질 수 있습니다.
해당 환자분은 웃을 때 잘 드러나는 6개의 앞니를 코팅하여 균일한 색상과 비율, 가지런한 배열을 얻었습니다.
코팅 과정에서는 이물질을 제거하고 울퉁불퉁한 표면을 청소하는 정돈과정만이 동반됩니다. 이는 단단한 미니쉬 세라믹 팁의 부착력 강화와 청결한 속 치아를 만드는 데 도움이 되는 필수 과정입니다. 가구에 페인트칠을 하기 전 사포질을 하듯이 미세한 표면정돈으로 우리의 구강건강은 해치지 않으면서 더욱 아름답고 오래 유지되는 치료를 선사합니다.

정밀한 후기를 자랑하는 강남구치과

틀어지고 깨져 심각한 비대칭으로 보였던 앞니가 가지런해졌죠?
예전부터 치아콤플렉스가 심했다는 환자분은 미니쉬 코팅 이후 자신감을 되찾았습니다. 외모적으로도 자신감이 붙었고 환하고 당당한 미소를 확인할 수 있네요!
웃는 모습에 자신감이 생기면 나도 모르게 더 자주 환하게 웃게 됩니다.
치아콤플렉스 때문에 억지로 웃지 않았던 과거와 달리, 활짝 웃으면서 사용하지 않던 안면근육들이 활성화됩니다. 다양한 얼굴 근육들이 사용되면서 외모에 긍정적인 변화가 일어나고 한층 정돈된 인상을 주기도 합니다.
입꼬리도 근육이라는 사실! 자주 웃으며 입꼬리 근육이 강화돼요. 따라서 입꼬리를 올리기 위한 별도의 조치없이, 활짝 웃게 만드는 미니쉬만으로 자연스러운 입꼬리 상승효과를 경험할 수 있습니다. 이전에 잘 웃지 않아 웃는 모습이 어색했던 분들도 근육이 점차 자리잡으며 아름다운 스마일라인을 가지게 됩니다.

밝은 미소, 환한 인상은 호감도를 상승시키는데 큰 역할을 하죠!
웃으면 복이 온다는 말처럼, 인상과 분위기 그리고 태도까지 변화하며 좋은 일, 긍정적인 변화를 부르는 MINISH! 강남구 미니쉬치과병원이 여러분의 아름다운 미소, 아름다운 생활을 응원합니다😊

미니쉬치과병원 서울특별시 강남구 언주로 728



Explore More
Keep Browsing This Clinic's Korean Content Trail.
Return to the source archive for more posts, or move back to the clinic profile to compare the rest of the clinic's public channels.