미니쉬치과병원ㅣMinish Dental Hospital ㅣミニッシュ歯科病院ㅣ美尼仕牙科医院ㅣ美尼仕牙科醫院
깨진 치아의 다양한 치료법과 미니쉬 비용은?
앞니가 깨진다면 무엇이 문제될까요? 연령대가 높은 사람의 경우 심미적으로 안 예쁘겠지만, 가장 큰 문제는 바로 저작입니다. 앞니는 면을 끊는 등 음식을 끊는 역할을 하기 때문에 치아 노화가 진행될 가능성이 높은 연령대가 앞니까지 깨져 버린다면 음식 섭취가 쉽지 않을 수 있습니다. 젊은 사람의 경우 미용적으로 안 예뻐서...

앞니가 깨진다면 무엇이 문제될까요?
연령대가 높은 사람의 경우 심미적으로 안 예쁘겠지만, 가장 큰 문제는 바로 저작입니다. 앞니는 면을 끊는 등 음식을 끊는 역할을 하기 때문에 치아 노화가 진행될 가능성이 높은 연령대가 앞니까지 깨져 버린다면 음식 섭취가 쉽지 않을 수 있습니다. 젊은 사람의 경우 미용적으로 안 예뻐서 웃지 못하거나 대화 시 입을 잘 안 벌리는 등의 습관으로 이어질 수 있습니다. 거기다 깨진치아로 오랜 시간 방치하면 저작 문제까지 발생할 수 있습니다.
자신감을 되찾고 맛있는 음식도 먹기 위해서는 깨진치아는 필수적으로 치료 받아야 합니다.
앞니 깨짐의 원인은?


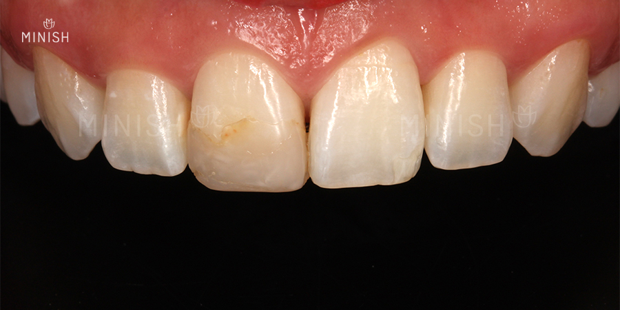
30대의 김OO님은 깨진치아로 본원을 방문하셨습니다. 해당 고민 외에도 치아 상실 등으로 많은 문제가 있으신 치아였습니다. 사례자의 깨진 부위를 보면 둥글게 깨진 모양인데요. 언뜻 보면 깨진 것이 많나 싶으실텐데, 치아는 울퉁불퉁한 불규칙 모양으로 깨지기도 하며, 사례자처럼 둥글게 깨지는 등 다양한 모양으로 깨집니다. 깨진 원인 또한 다양한데요.
☑ 단단하고 딱딱한 음식을 잘못 씹은 경우
☑ 교통사고나 외상에 의한 경우
☑ 평소 이에 힘이 많이 가해지는 습관을 가진 경우
☑ 이를 꽉 무는 운동 등을 할 경우
등이 있습니다.
사례자의 경우 본인도 모르는 새에 깨진 것으로 추정되어 정확한 원인은 알 수 없었지만, 깨진치아 부위가 앞니이다 보니 많은 스트레스를 받고 계셨습니다. 치아가 깨진 범위에 따라 치료법 또한 다양한데요. 사례자의 경우 어떤 치료를 받았을까요?
깨진치아의 치료법은?


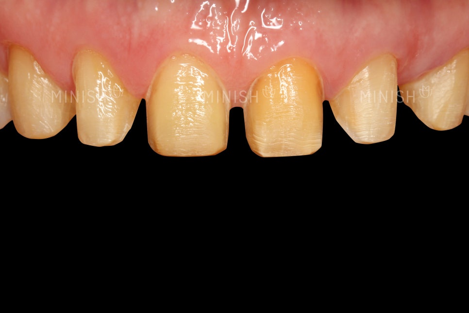
(좌)레진 변색 (우) 라미네이트 치아 삭제
깨진 범위가 광범위한 경우 대부분 크라운을 진행, 사례자처럼 범위가 좁은 경우에는 레진 혹은 미용치료인 라미네이트를 고려하는 경우가 많습니다. 레진의 경우 자연치와의 색상이 동일하며 작은 부위에 치료하기에 굉장히 좋은 치료인데요. 그러나 굳히는 과정에서 수축되어서 미세한 틈이 발생하고, 이 틈으로 세균이 침투해 충치를 유발하는 등의 문제가 있습니다. 또한, 변색이 빨라 금방 자연치아와의 색상 차이를 보이죠. 이런 단점으로 인해 라미네이트를 생각하실 수도 있을텐데요. 라미네이트는 심미,미용치료이다 보니 깨진 부위 외에도 전체적으로 치아를 많이 깎아냅니다. 이 경우 자연치의 시림, 낮은 결합력으로 잦은 탈락, 보철물 제작 기간 동안 임시치아로 지내야 하는 등의 문제가 있죠.
그렇다면 자연치의 건강도 지킬 수 있고 예뻐질 수 있는 치료는 없을 지 궁금하실텐데요.
자연치아의 건강과 아름다움을 챙기다, 미니쉬

치아 건강을 위해 탄생한 미니쉬는 치아의 손상된 부위만을 다듬어 이의 겉면을 코팅해주는 솔루션입니다.
자연치아와 색상, 투명도 등이 매우 유사한 재료를 사용하여 자연스럽게 예뻐지죠. 또한, 10년이 가도 치아 색상의 변화가 거의 없기 때문에 오래도록 내 치아처럼 사용할 수 있습니다.
깨진 치아는 물론, 닳고 노화된 치아까지! 건강하고 예쁜 미니쉬 어떠신가요?
자연치아를 위한 솔루션 미니쉬의 비용

치아 건강을 위한 미니쉬! 가격이 매우 궁금하실텐데요.
해당 솔루션은 의료진의 등급에 따라 미니쉬 비용을 75만원~150만원까지 책정하고 있습니다.
해당 등급은 임상 경험, 시술 건수에 따라 나누어져 있으며, 미니쉬 비용을 이에 맞춰 나눈데에는 소비자에게 합리적이고 다양한 선택의 폭을 드리기 위해서입니다. 본원에는 미니쉬를 만든 마스터 등급의 강정호 대표원장을 비롯해 다양한 등급의 의료진이 상주해 있으니 최고의 미니쉬를 만나고자 하신다면 망설이지마세요.
치아가 깨져서 고민인 사례자
어떻게 변했을까요?


개인에 따라 치료 기간이 다를 수 있으며, 부작용이 발생할 수 있으니 의료진의 정확한 진료를 받고 치료를 진행하시기 바랍니다.
MINISH로 깨진 부위를 개선하고 예쁜 치아로 탄생!
사례자와 비슷한 고민을 갖고 계시거나 다른 치아 고민을 겪고 계시다면 미니쉬치과병원이 친절하고 세심하게 만나 뵙겠습니다.
미니쉬는 미니쉬치과병원 😄

미니쉬치과병원 서울특별시 강남구 언주로 728


Explore More
Keep Browsing This Clinic's Korean Content Trail.
Return to the source archive for more posts, or move back to the clinic profile to compare the rest of the clinic's public channels.