미니쉬치과병원ㅣMinish Dental Hospital ㅣミニッシュ歯科病院ㅣ美尼仕牙科医院ㅣ美尼仕牙科醫院
치아마모, 벌어짐 등 노화 증상을 겪는 50대를 위한 학동치과
노화 인간이 태어나서 일정 기간 성장한 후 나이가 들면서 점차 신체적, 인지적으로 쇠퇴하여 죽음에 이르는 과정 노화의 여러 종류 중 하나인 일차적 노화는 우리가 일반적으로 아는 정상적인 노화를 의미합니다. 모든 사람들이 나이가 들며 겪는 불가피하며 자연스러운 과정인 노화. 이때가 되면 흰머리도 생기고, 시각, 청각의...

노화
인간이 태어나서 일정 기간 성장한 후 나이가 들면서 점차 신체적, 인지적으로 쇠퇴하여 죽음에 이르는 과정

노화의 여러 종류 중 하나인 일차적 노화는 우리가 일반적으로 아는 정상적인 노화를 의미합니다.
모든 사람들이 나이가 들며 겪는 불가피하며 자연스러운 과정인 노화. 이때가 되면 흰머리도 생기고, 시각, 청각의 감각이 둔감화되며, 치아도 시리거나 저작에 불편감을 느끼는 등 기능이 점차 쇠퇴합니다.
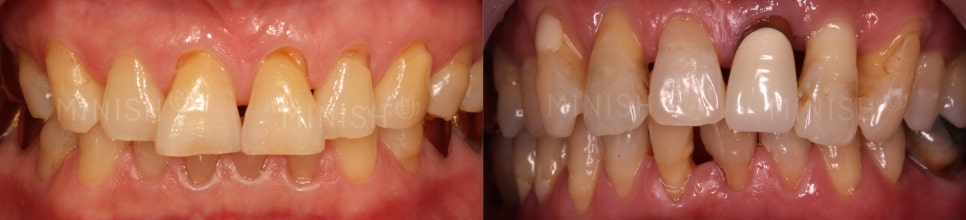
여기 두 분은 치아노화로 외적, 기능적으로 많은 불편감을 느끼셨던 분들입니다.


공통적으로 누렇고 잇몸이 많이 드러나 보이죠? 대표적인 치아의 노화 증상 중 하나입니다. 그 자세한 치아노화 증상과 그에 맞는 치료법을 알아보겠습니다.
치아노화의 증상은?

우리의 치아는 가정 겉면은 법랑질 그 안쪽은 상아질로 이루어져있습니다. 이 겉면이 안쪽을 보호하고 있었는데 점점 얇아지며 안쪽의 상아질이 비추기 시작합니다. 그렇게 되면 시리고, 누래 보이는 등의 증상을 겪는 것이죠. 살아가며 치아는 평생 운동하기 때문에 점차 나이가 들수록 이러한 증상이 심해지는 건데요. 어떤 증상들이 있을까요?
- 이가 시려요, 치아마모
겉면인 법랑질이 닳아 벗겨지는 치아마모는 대표적으로 시린 증상을 동반합니다. 자연스러운 노화의 현상이지만, 정도가 심하면 신경을 자극하여 염증을 일으키는 치수염 등의 심한 통증을 유발할 수도 있습니다.
특히 치아의 목부위(경부)가 마모되어 패이는 치경부마모증은 많은 분들에게 나타납니다. 치아의 가장 단단한 바깥 부분인 법랑질의 두께는 한 치아에서도 부위에 따라 다른데, 잇몸과의 경계부분(치경부)가 가장 취약합니다. 치경부에서 법랑질은 백악질과 경계를 형성하는데, 약 10%의 치아는 백악질과 법랑질이 만나지 않아 민감한 상아질이 그대로 드러나 있기도 합니다. 마모는 질기고, 단단한 음식을 즐기거나, 이를 꽉 물거나, 양치를 세게 하는 등의 습관으로 어린나이에도 생기는 경우가 있습니다.
- 치아가 닳았어요, 치아교모
법랑질 또는 상아질 일부가 닳아 없어지는 질환인 치아교모는 마주 닿는 치아 혹은 인접하고 있는 치아가 서로 마찰을 일으키는 것이 주 원인입니다. 앞니는 끝부분이 어금니는 마주 닿는 돌기 부분이 닳는 것이 특징이며, 씹는 힘, 치아교합 상태, 이를 가는 습관 등이 작용하죠. 초기 증상으로는 찬 것에 예민해지며, 교모가 심해져 상아질이 매우 얇게 남아있게 되면 뜨거운 것에 매우 민감해집니다. 대부분 초기에는 발견이 어렵기 때문에 정기적인 치과 검진이 필요합니다.
- 이가 누래요, 치아변색
나이가 들면서 흔하게 겪는 것 중 하나이죠? 밝고 하얗던 치아가 점점인 누래지는 증상입니다. 치아가 기능함에 따라 점점 가장 바깥쪽 하얀 부분인 법랑질이 얇아져, 나이가 들수록 아래층인 노란 상아질이 비쳐보여 전체적으로 치아가 누런색으로 보입니다.
- 치아가 벌어졌어요, 흔들려요, 길어보여요, 풍치
바람에 시린 치아라는 뜻으로 치아의 주변 조직에 염증이 생기는 치주염을 말합니다. 해당 질환은 플라그, 치석에 의해 생기는데요. 음식을 먹으면 음식물 찌꺼기가 치아와 잇몸 사이에 남습니다. 우리가 사용하는 일반 칫솔로는 제거가 쉽지 않기 때문에 점차 쌓여서 염증을 유발하는 거죠. 피가 나고, 구취, 치통, 치아 흔들림, 벌어짐, 치아가 길어보이는 등의 증상을 보입니다. 이 질환은 정기적인 스케일링, 치간 칫솔 사용 등으로 예방하는 것이 좋습니다.
노화된 치아가 고민이에요

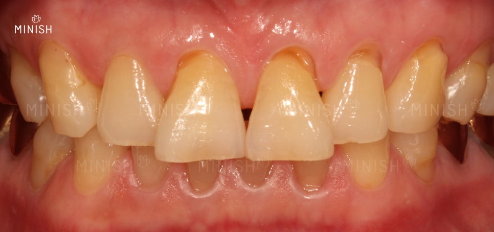
치아노화로 인한 치아교모와 잘못된 이갈이 습관 등으로 발생한 치아마모로 치아가 많이 짧고, 블랙트라이앵글 발생. 또한, 치경부마모증의 증상인 치아 목 부분이 많이 패인 것을 볼 수 있습니다. 그래서 내원 당시 치아가 시리다는 표현을 계속 하셨는데요. 해당 사례자는 종합적으로 교모,마모, 변색 등 치아노화의 전형적인 모든 증상을 겪는 분이셨습니다.

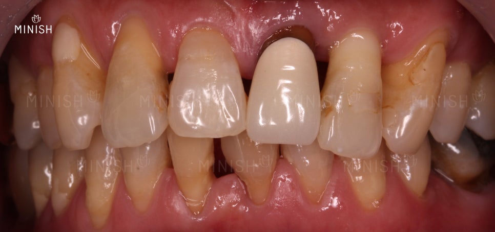
처음에는 기존 보철물인 크라운이 내려 앉아 잇몸이 보이며, 아래 치아벌어짐으로 내원하셨습니다. 그러나 육안으로 보아도 치아벌어짐, 잇몸이 보이는 모습이 노화 현상인 풍치였습니다. 치아가 매우 길며, 블랙트라이앵글, 아래 치아는 벌어짐, 잇몸에 고인 피까지! 치료를 빨리 진행하지 않으면 치아가 흔들려서 빠지고 임플란트 등을 해야 하는 상황으로도 이어지기 때문에 치료가 시급합니다.
노화된 치아 치료법, MINISH

치아노화는 단단한 겉면인 법랑질이 약해지며 벌어지는 현상들입니다. 보호막이 사라졌으니 내부가 공격 당하는 것이니 보호막 역할을 할 것이 필요하죠. 미니쉬는 법랑질과 매우 유사한 물질을 이용한 치아 보호, 코팅 솔루션입니다. 자연치아와 유사하다는 것은 내 치아와 친화성이 좋으며, 외적으로도 인위적인 것이 아니라 자연스럽게 예쁘죠. 이왕 치료 하는 거 건강과 아름다움을 동시에 잡는다면 그만한 게 없겠죠?
학동치과 미니쉬치과병원
그렇다면 미니쉬는 어디서 할 수 있을까요? 해당 치료는 아무 곳에서나 받을 수 없습니다. 지정된 병원을 잘 확인하고 받으셔야 하는데요. 그중 학동치과로도 유명하고 미니쉬를 가장 많이 한 미니쉬치과병원이 있습니다.

✔ 최다 누적 시술 건수 보유
✔ 가장 많은 미니쉬 닥터 상주
본원은 MINISH 임상 경험이 가장 많은 의료진이 등급별로 다수 포진, 상주하고 있습니다.
또한, 미니쉬를 개발한 미니쉬테크놀로지(주)의 대표이사이자 본원의 대표원장인 강정호 원장이 있는 곳으로 믿고 미니쉬를 받을 수 있는 곳이죠. 위치도 지방에 사는 분들도 무리없이 방문하기 좋은 강남구 학동치과입니다. 고속터미널과도 가까우며 서울,용산역에서도 30분 내로 올 수 있는 곳이죠.
미니쉬치과병원 서울특별시 강남구 언주로 728
노화를 극복하고
건강하고 아름다워진 두 사람
두 사례자는 원인을 치료 후 얇은 법랑질을 대체해 줄 미니쉬로 치아를 보호했는데요. 어떻게 바뀌었을까요?

개인에 따라 치료 기간이 다를 수 있으며, 부작용이 발생할 수 있으니 의료진의 정확한 진료를 받고 치료를 진행하시기 바랍니다.
교모, 마모로 시리고 짧아진 치아는 정상치아의 길이를 되찾고, 시린 증상 또한 완화됐습니다. 전체적으로 가지런하고 흰 치아를 갖게 된 사례자분은 처음에는 어색했지만 지금은 완벽하게 적응 후 잘 지내고 계십니다.

개인에 따라 치료 기간이 다를 수 있으며, 부작용이 발생할 수 있으니 의료진의 정확한 진료를 받고 치료를 진행하시기 바랍니다.
전형적인 풍치 현상을 겪던 사례자 분은 내려 앉은 잇몸의 상태를 되찾고, 정상 치아의 길이가 되었습니다. 또한, 벌어진 부위 또한 폐쇄했는데요. 지금은 활짝 웃는 일상을 보내고 계십니다.
여러분도 미니쉬로 행복한 미소를 되찾는 거 어떠신가요? 미니쉬스마일😃

미니쉬치과병원 서울특별시 강남구 언주로 728



Explore More
Keep Browsing This Clinic's Korean Content Trail.
Return to the source archive for more posts, or move back to the clinic profile to compare the rest of the clinic's public channels.