미니쉬치과병원ㅣMinish Dental Hospital ㅣミニッシュ歯科病院ㅣ美尼仕牙科医院ㅣ美尼仕牙科醫院
잘못된 크라운! 재치료하다 | 강남구청치과
강남구청치과, 잘못된 크라운! 재치료하다 나이가 들수록 우리의 치아는 하나 둘 망가집니다. 가지런했던 치열이 어딘가 어긋나보이고, 누런 이가 낯빛을 더욱 어둡게 만드는 것만 같죠. 오래 전 받았던 치과치료가 탈나기도 합니다. 말썽을 부리는 치아때문에 모두가 저마다의 극심한 스트레스를 안고 치과를 방문합니다. 조금이...
강남구청치과, 잘못된 크라운! 재치료하다
나이가 들수록 우리의 치아는 하나 둘 망가집니다.
가지런했던 치열이 어딘가 어긋나보이고, 누런 이가 낯빛을 더욱 어둡게 만드는 것만 같죠.

오래 전 받았던 치과치료가 탈나기도 합니다. 말썽을 부리는 치아때문에 모두가 저마다의 극심한 스트레스를 안고 치과를 방문합니다. 조금이라도 이상할 때, 작은 통증이 있었을 때 치과를 찾지 않고 질병이 악화된 후에 치료를 결심하게 되는 이유는 무엇일까요?
나이 들어 이 건드리면 큰일난다?
강남구청 미니쉬치과병원을 방문한 중년 환자분들의 목소리를 들어봤습니다👂
치료가 필요할 정도로 상태가 심각하지 않은 것 같고, 심미적 문제는 나이들고 건드렸다 오히려 덧날까 걱정이 앞서 치과방문을 차일피일 미루게 된다는 이야기를 들려주셨어요.

우리의 이가 감각을 느낄 수 있는 것은 치아 내부 깊은 곳에 존재하는 신경이라는 구조물 덕분인데요.
'이가 아프다'라는 통증은 이에 발생한 문제가 악화되어 깊숙한 내부까지 영향을 미치고 있다는 뜻입니다. 이미 질환이 많이 진행된 것이죠. 따라서 가장 중요한 것은 통증이 없더라도 주기적으로 치과를 방문해 구강 건강 상태를 확인하는 것이며, 이미 문제가 발생했다면 빠르게 치료를 결정해야 합니다. 하지만 잘못된 치료는 건강을 회복시키지 못하고 오히려 악화시키기 쉽습니다.
예전에 씌운 크라운이 삐뚤어졌어요
큰 마음을 먹고 진행한 크라운 치료는 몇 년 뒤 극심한 통증으로 돌아왔습니다.


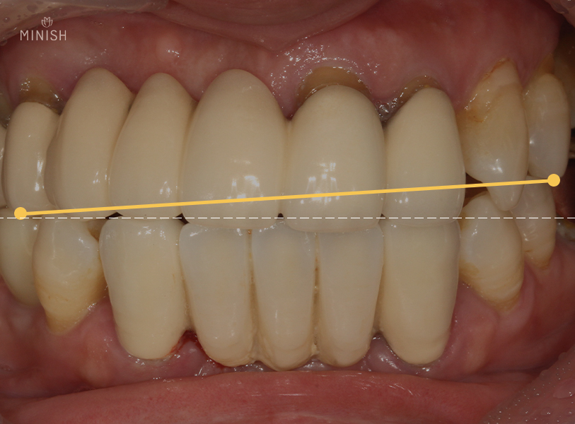
오래된 보철 부작용으로 극심한 스트레스를 받았던 사례자의 구강 사진
중년여성인 위 사례자분은 오래 전 진행한 크라운브릿지 보철물이 문제를 일으켜 극심한 통증과 스트레스를 호소했습니다. 치면과 치과보철물 사이의 결합이 정밀하지 못해 시간이 갈 수록 구강 내에 세균 감염 등 문제를 일으킨 것이죠. 육안으로도 자극과 염증으로 인해 붉게 부어있는 잇몸을 확인하실 수 있습니다. 뿐만 아니라 검게 변색이 되기도 했죠? 우측 사진을 보시면 전체치열의 가로축이 삐뚤어져 있는 모습도 보입니다.
치과보철물을 부착할 때는 미세하게라도 틈이 발생할 시 세균이 쉽게 침입하고 번식하여 구강 내에 염증이나 충치 등의 건강상 문제를 야기합니다. 이러한 문제로 인해 보철물이 제대로 유지되지 못하고 움직이거나 쉽게 떨어져버리기도 합니다. 각종 문제를 일으키기 때문에 보철치료에서 치료의 유지, 수명은 가장 중요한 요소로 꼽힙니다.
그런데 크라운 치료는 보철물을 오래 유지시키고 아름다운 모양을 만들기 위해 자연치아의 삭제가 동반됩니다.

크라운 치료에 동반되는 치질 삭제량
이미 손상되어 되돌릴 수 없는 상태라면 치면의 삭제가 불가피하지만, 두꺼운 크라운의 두께를 보상하기 위해 건강한 자연치아를 삭제하는 것은 피해야 합니다. 특히나 상실치를 대체하기 위해 양옆쪽의 치아를 활용, 길게 연결된 크라운을 씌우는 크라운브릿지 치료의 삭제량이 큽니다. 여러 치아의 배열과 생김새를 고려해야 하기 때문에 더 많은 치아 삭제가 감행될 수 밖에 없습니다.
사례자분과 같이 큰 마음을 먹고 진행한 크라운브릿지가 문제를 일으켜 크라운재치료가 필요한 경우! 접착제를 제거하기 위해 추가적인 표면정리가 필요하고 이러한 과정이 반복되면 미세하게나마 이에 지속적인 무리를 줄 수 있습니다. 그래서 재치료 걱정없이 오래 유지되는 치료를 선택하는 것이 중요합니다.
더이상 이빨때문에 고생하고 싶지 않아서 미니쉬 했어요

● 질환: 풍치로 인한 잇몸퇴축, 치축 틀어짐
● 촬영일자:Before 2022.03.02 After 2022.04.15
● 실치료기간: 11일
- 개인에 따라 치료 기간이 다를 수 있으며, 부작용이 발생할 수 있으니 의료진의 정확한 진료를 받고 치료를 진행하시기 바랍니다.
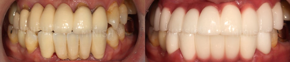
추가적인 잇몸과 치아 손상을 막기 위해 크라운브릿지 재치료가 필요했던 케이스!
핑크미니쉬브릿지로 구강의 건강을 한 번에 회복했습니다.

미니쉬는 아주 얇은 치과재료로 치면을 코팅하는 솔루션입니다.
손상되어 코팅이 필요한 부분만을 대상으로 하기 때문에 자연치의 상태를 최대한 보존하면서도 튼튼하게 이를 보호할 수 있다는 것이 큰 장점이죠. 아주 얇은 미니쉬는 최소한의 표면정돈 과정을 거친 후 바로 부착이 가능합니다. 표면정돈 과정은 우수한 결합을 위해서 반드시 필요합니다.
표면이 균일하지 못하다면 정밀한 결합이 어렵고 매끈한 표면끼리는 결합력이 약할 수 밖에 없는데요.
표면처리 과정을 거친다면 결합할 수 있는 표면적을 넓히며 치과재료의 유지력을 높일 수 있습니다. 제대로 된 표면청소가, 한 번의 치료로 10년, 20년의 건강한 구강 상태를 유지시킬 수 있게 만드는 것이죠. 크라운재치료가 필요한 경우라면, 속 치아가 불규칙하게 손상되고 접착의 흔적이 있기 때문에 더욱 섬세하고 정밀한 표면처리 과정이 필요합니다.

(좌) 크라운재치료가 필요했떤 과거 보철 | (우) 핑크미니쉬브릿지로 스트레스를 극복
오래된 브릿지로 고통받던 사례자분은 강남구청치과에서 크라운 재치료를 통해 이전보다 균형 잡히고 건강한 구강 상태를 얻을 수 있었죠. 잇몸 문제까지 한 번에 해결할 수 있던 비밀은 바로 <핑크미니쉬브릿지>에 있었는데요! 손상된 잇몸의 형태를 재현해주는 핑크미니쉬와 미니쉬브릿지가 합쳐진 핑크미니쉬브릿지로 심미적, 기능적 개선을 경험하셨습니다.
[미니쉬 브릿지 자세히 알아보기]
임플란트도 어려운 풍치 치아? [미니쉬브릿지] 상실된 치아를 수복하는 인공 대체물 치과 치료에서 '브릿지'란, 상실 치아의 양 옆에 있는 자연...
blog.naver.com
핑크미니쉬는 노화나 잇몸병에 의해 잇몸이 꺼지고 이가 길어보이는 경우 적용되는 솔루션입니다.
미니쉬와 함께 사라진 잇몸을 재현하여 더욱 효과적인 구강 환경 개선이 가능한데요. 잇몸이 사라지고 치근(뿌리)이 드러나면 자극에 민감하게 반응하게 됩니다. 이때 핑크미니쉬가 노출된 뿌리 부분을 덮어주어 시린 통증에서 벗어나게 도와줄 수 있죠. 또한 이가 길어보이고, 사이사이 검은 공간(블랙트라이앵글)이 눈에 띄는 문제도 핑크미니쉬로 개선할 수 있습니다.

🔽미니쉬에 대한 추가적인 정보가 궁금하시다면 홈페이지 방문 또는 1:1 상담 받아보세요🔽



손상된 치질도 보존해내는 치료는 다년간의 노하우와 발전된 기술력이 있어 가능합니다.
최첨단 재료와 장비에 의해 자연치아와 가장 유사한 성질 및 형태로 기공될 수 있죠. 여기에 지속적인 연구를 통해 나날이 발전하는 치아 코팅 기술과 세라믹 치료만을 위해 교육받고 양성되는 의료/기공인력이 합쳐져 미니쉬 솔루션이 완성됩니다.
잘못된 보철물로 인해 치면이 상하고 잇몸 상당 부분이 사라진 어려운 시술 케이스도 더욱 건강하게 치료해낼 수 있는 것도 이렇듯 좋은 기술, 인력, 재료, 장비가 보장되기 때문입니다.
발전된 치과 기술, 여러분에게도 적용됩니다.

강남구청역에서 도보로 5~10분 거리에 위치한 미니쉬치과병원 내에는 자체적인 기공시설이 있습니다.
때문에 어떤 상태의 구강이라도 개인에 맞게 맞춤제작이 가능합니다. 위치, 질환, 손상 정도에 구애받지 않고 다양한 케이스에 적용되죠. 나이가 많은데 회복이 어렵진 않을까? 건강이 더욱 상하는 건 아닐까? 하는 걱정과 스트레스는 적절한 치료 시기를 늦출 뿐입니다!
평생 써야 하는 치아, 더 이상의 재치료는 없어야 하니까! 치료 이후에도 꼼꼼한 관리로 평생 구강 건강을 지켜주는 파트너, 미니쉬와 함께 해보세요😀

미니쉬치과병원 서울특별시 강남구 언주로 728



Explore More
Keep Browsing This Clinic's Korean Content Trail.
Return to the source archive for more posts, or move back to the clinic profile to compare the rest of the clinic's public channels.