미니쉬치과병원ㅣMinish Dental Hospital ㅣミニッシュ歯科病院ㅣ美尼仕牙科医院ㅣ美尼仕牙科醫院
미니쉬치과, 하나 둘 생기는 치아 벌어짐 개선 사례
미니쉬치과, 하나 둘 생기는 치아 벌어짐 개선 사례 안 끼던 고기가 왜 이렇게 끼지? 문득 일상 속에서 입 속 불편감을 느낀 적 있으신가요? 안 끼던 고기가 끼고 안 쓰던 이쑤시개가 식사 후 필수품이 되었다면! 치아벌어짐을 의심해볼 수 있습니다. 노화로 인해 구강 환경이 변화하면서, 또는 과거에 교정치료를 받고 제...

미니쉬치과, 하나 둘 생기는 치아 벌어짐 개선 사례
안 끼던 고기가 왜 이렇게 끼지?
문득 일상 속에서 입 속 불편감을 느낀 적 있으신가요? 안 끼던 고기가 끼고 안 쓰던 이쑤시개가 식사 후 필수품이 되었다면!
치아벌어짐을 의심해볼 수 있습니다.
노화로 인해 구강 환경이 변화하면서, 또는 과거에 교정치료를 받고 제대로 유지관리하지 못하여 원래의 삐뚤었던 치열로 돌아가고자 하는 경우에 미세한 움직임으로 인한 치아벌어짐이 발생할 수 있어요!😨
치아벌어짐 미니쉬로 교정한 후기

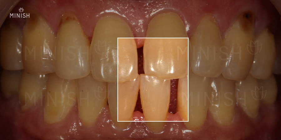
50대인 위 사례자분은 드문드문 벌어진 이로 고민했습니다.
치아벌어짐은 날이 갈수록 심해져 식사 시 음식물이 튀기도 했다고 하는데요. 눈에 확연히 띄는 공간이 인상에 어떤 영향을 미치는지! 보이시나요? 요즘 50대는 사회활동에 한창인 시기인데 이러한 외적 요소로 인해 부가적인 스트레스가 극심했습니다.
오랜 고민 끝에 미니쉬치과병원을 찾아오셨죠!

이가 벌어지면 어떤 문제가 생길까요?
이는 하얗고, 벌어진 공간은 까맣고! 때문에 치아벌어짐, 특히 앞니의 공간은 눈에 잘 보일 수 밖에 없어요.
말하거나 웃거나 밥을 먹을 때 이러한 결함이 겉으로 드러나기 때문에 아름다운 외모를 방해하는 요인이 되고, 실제로 많은 분들이 앞니 치아벌어짐으로 큰 외모스트레스를 호소하죠!
치열이 전체적으로 움직이면 여기저기 다발성으로 빈 곳이 생길 수 있어요. 이는 부자연스러운 발음을 야기하고 식사를 어렵게 만들어요. 음식물이 미세하게 벌어진 이 사이사이에 껴 욱신한 통증을 발생시키기 때문이죠! 한 번 낀 음식물은 쉽게 빠지지 않고 구강 내에 남아 구강 위생 환경을 위협하기도 합니다.
드문드문 발생한 치아벌어짐으로 인해 교합이 어긋날 수 있습니다. 교합의 변화는 만성적인 턱 통증을 유발하기도 하니, 작은 치아벌어짐도 방치하지 말고 발견 즉시 병원에 방문해보는 것이 좋겠죠?
치아벌어짐 해결 방법
교정치료
전체적인 치열을 조정할 수 있어 치아벌어짐에 의해 교합이 어긋난 경우 올바른 정상교합 관계로 바로잡을 수 있습니다.
하지만 교정기간이 평균 2년으로 길어 오랜 시간동안 불편함을 견뎌야 합니다. 구강 내 장치를 부착한 상태로 생활하기 때문에 구강 내 상처가 생기기 쉬운 반면 청결 관리는 어렵습니다. 따라서 교정 기간 동안 치아 변색, 건강 악화를 주의해야 합니다.
레진치료
이와 비슷한 색을 내는 심미재료 레진을 이용해 벌어진 공간을 채울 수 있습니다.
단기간에 심미적 문제를 해결 가능하죠. 구강건강에 무리가 되지 않는 간단하고 보존적인 치료법으로 다양한 증례에 활용이 가능합니다. 하지만 재료의 성질이 자연치아에 비해 약하여 식사 시 음식물 등에 의해 변색되고 재료가 탈락하기 쉽습니다.
미니쉬
미니쉬는 자연치아와 가장 유사한 세라믹 재료를 아주 얇게 가공해 치면을 코팅하는 솔루션입니다.
건강에 무해한 표면정돈 과정만을 동반하면서 벌어진 공간과 손상된 치면을 동시에 복구해냅니다. 짧은 진료과정으로 환자의 불편함을 줄임은 물론 세균 감염 가능성을 현저히 낮추고 결합력은 높여 오래 유지되는 치료 수명을 자랑하죠.

질환 : 치아벌어짐, 노화, 변색, 충치
촬영일자 : 07.23 | 07.30
실치료기간 : 2일
- 개인에 따라 치료 기간이 다를 수 있으며, 부작용이 발생할 수 있으니 의료진의 정확한 진료를 받고 치료를 진행하시기 바랍니다.
사례자분의 구강은 나이가 들며 여기저기 손상되었습니다.
치아벌어짐과 함께 이와 잇몸이 만나는 치경부가 파여있거나 색상이 누렇게 변해있는 모습을 관찰할 수 있죠.
노화와 동반되는 이러한 현상들을 방치하면 급속도로 구강 건강이 악화될 수 있어 주의가 필요합니다. 치면을 코팅함으로써 손상 초기에 악화를 막고 보호하는 것이 중요하죠!
손상과 벌어짐, 변색! 복합적인 구강 문제를 미니쉬치과에서 한 번에 해결할 수 있습니다.
힘든 치료 과정을 걱정하시나요?
미니쉬치과는 원데이 시스템과
편안한 진료 환경을 제공합니다.
미니쉬는 하루만에 치료가 가능합니다. (* 개개인의 구강 상태에 따라 차이가 발생합니다)
가야 하는 건 알지만, 왜인지 자꾸 미루게 되는 치과 방문! 미니쉬는 하루만에 치료가 마무리 되기 때문에 다음 방문일까지 불편한 상태로 생활할 필요도, 추가적인 치과방문을 위해 시간을 마련해야 할 필요도 없습니다.
하루만에 치료가 마무리 되기 때문에 미니쉬치과의 많은 환자분들이 아침과 달라진 본인의 모습에 큰 만족과 감동을 받으신답니다.
14층 단독사옥에는 환자분들의 휴식을 위한 다양한 서비스가 마련되어 있는데요! 개인의 프라이버시가 존중되는 1인1실 진료실과 강남 한복판이 내려다 보이는 14F 미니쉬스카이라운지도 그 중 하나인데요. 정신없는 대기공간이 아닌 아늑하고 편안한 라운지에서 개인적인 시간을 즐기실 수 있습니다.

나를 생각한 치과, 미니쉬치과
방문하시면 고객의 편의를 위한 노력들이 느껴지실 겁니다.

"미니쉬를 만나면 웃게 돼요"
구강이 건강하지 않아 자신감을 잃고 경직되어 보이던 입꼬리! 미니쉬를 만나고 한층 환해지고 밝아진 미소~😊
치아의 색상이 밝아지며 안색 개선 효과도 엿보이네요.
생각보다 '이'는우리의 인상에 많은 영향을 미칩니다.
자꾸만 외모 자신감이 떨어지는 시기에 있다면, 아름다운 미소와 여러분의 자신감까지 책임질 미니쉬를 만나보세요. 성별과 나이에 관계없이 호감이 가는 인상은 참 중요하니까요!
치아 코팅 솔루션 미니쉬, 자신감을 되찾아드립니다.

미니쉬치과병원 서울특별시 강남구 언주로 728



Explore More
Keep Browsing This Clinic's Korean Content Trail.
Return to the source archive for more posts, or move back to the clinic profile to compare the rest of the clinic's public channels.