미니쉬치과병원ㅣMinish Dental Hospital ㅣミニッシュ歯科病院ㅣ美尼仕牙科医院ㅣ美尼仕牙科醫院
벌어진치아 교정은 미니쉬 잘하는 곳에서 미니쉬!
코로나 감염자가 늘어나며 우리 앞을 가로막던 투명 칸막이 기억하시나요? 이 투명 칸막이는 우리 사회를 굉장히 삭막하게 만들었습니다. 연인, 친구, 가족들은 함께 했음에도 떨어져서 밥을 먹고, 시끌벅적했던 식당들을 조용하게 만들었죠. 또한, 사내 식당에서도 마주 보고 앉을 수 없었으며 한 칸 띄어 앉기 등을...

코로나 감염자가 늘어나며 우리 앞을 가로막던 투명 칸막이 기억하시나요?
이 투명 칸막이는 우리 사회를 굉장히 삭막하게 만들었습니다. 연인, 친구, 가족들은 함께 했음에도 떨어져서 밥을 먹고, 시끌벅적했던 식당들을 조용하게 만들었죠. 또한, 사내 식당에서도 마주 보고 앉을 수 없었으며 한 칸 띄어 앉기 등을 시행하며 우리 사이를 멀어지게 만들었습니다. 그러나 지금은 거리두기가 해제되며 칸막이가 거의 사라지며 서로 딱 붙어서 밥도 먹고 이야기도 하며 다시 가까워진 사회를 만날 수 있는데요. 하.지.만 코로나가 해제됐음에도 멀어진 사이를 다시 가깝게 해주지 못한 것이 있었으니...
바로, 벌어진치아!
벌어진 치아 사이를 가깝게 해주세요!

20대, 여성
두 키워드만 보더라도 외모에 굉장히 신경 쓸 때이죠?
어릴 때부터 벌어진 채로 자랐을 가능성이 높은 이분은 20여년을 외모 콤플렉스를 겪었을 겁니다. 치아가 벌어지는 경우는 다양하지만 사례자의 경우 순소대 발달로 인해 벌어진 치아였는데요. 자세히 알아보겠습니다.
벌어진 치아의 원인, 순소대 발달

순소대란?
윗 입술과 잇몸 사이에 있는 구강조직을 연결해주는 근육으로 위 앞니 두 개 사이에 위치해 있다
순소대는 영구치가 나는 시기에 잇몸뼈도 함께 성장하면서 위쪽으로 점점 이동합니다. 그러나 간혹 유아기 때 위치가 바뀌지 않고 앞니 사이에 위치해 있거나, 과도하게 순소대가 성장하여 크기가 커지면 앞니가 벌어져서 나게 됩니다. 사례자분도 어릴 때 발달한 순소대로 인해 벌어진 채 성장한 것으로 추정되는데요.
치료는 벌어진치아교정? 순소대절제술?
보통은 벌어졌기 때문에 벌어진치아교정을 생각해 보시지만, 성인이 된 후 교정은 시간적으로 부담이 됩니다. 또한, 쉽게 벌어진치아교정만으로 틈을 폐쇄 하기 어려울 수 있습니다. 발달한 순소대가 있는 이상 치아 이동에 한계가 있을 수도 있기에 교정 전 순소대절제술이 동반되어야 할 수 있죠. 이 경우 아무는 시간 등을 고려하여야 해서 벌어진치아교정까지 생각하신다면 매우 오랜 기간을 치료에 투자하여야 할 수 있습니다.
치아가 벌어졌다면
미니쉬잘하는곳에서 미니쉬!

교정으로도 안 된다는 말에 낙담하지마세요!
미니쉬만 있다면, 벌어진 치아도 가지런한 치아로 변신할 수 있습니다. 미니쉬는 자연치아와 유사한 재료를 사용하여 치아 상태에 꼭 맞게 초정밀로 제작됩니다. 자연치아와 유사하기에 자연치와 친화성이 좋으며, 내 이 같이 자연스럽습니다. 특히, 벌어진치아의 경우는 이미 벌어진 상태이기에 치아 손상이 거의 없이 치료를 받을 수 있습니다. *환자 개인의 치아 상태에 다를 수 있습니다
미니쉬잘하는곳, 미니쉬치과병원

좋은 치료를 알았더라도 가장 잘하는 곳을 가야 치료도 성공적으로 할 수 있겠죠?
미니쉬잘하는곳은 많지만 특히, 미니쉬치과병원이 친절하고 잘하기로 유명한 곳입니다. 그 이유는 미니쉬를 개발하고 시작한 곳이기 때문인데요. 개발자이자 치과의사인 강정호 대표원장을 중심으로 미니쉬 임상경험이 가장 많은 의료진이 포진되어 있으며, 다양한 등급의 의료진이 상주해 있습니다.
치아, 외모 콤플렉스
미니쉬로 개선!

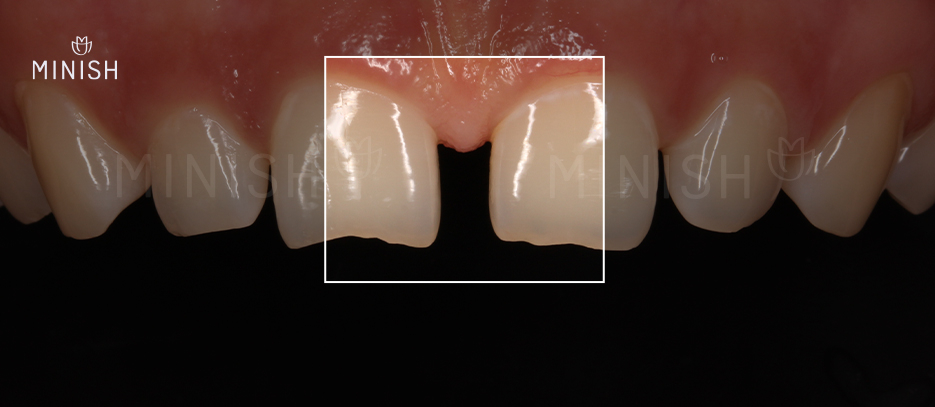
질환 : 벌어진치아
촬영일자 : 18.03 | 18.04ㅣ18.06
실치료기간 : 1일
- 개인에 따라 치료 기간이 다를 수 있으며, 부작용이 발생할 수 있으니 의료진의 정확한 진료를 받고 치료를 진행하시기 바랍니다.
하루가 다르게 점점 미소가 변하고 외모도 좀 더 부드러워진 거 느껴지시나요?
사례자처럼 치아가 벌어졌다거나, 치아때문에 외모 콤플렉스를 겪고 있다면 더이상 망설이지 말고 아름다워질 준비를 하세요!

미니쉬치과병원 서울특별시 강남구 언주로 728


Explore More
Keep Browsing This Clinic's Korean Content Trail.
Return to the source archive for more posts, or move back to the clinic profile to compare the rest of the clinic's public channels.