미니쉬치과병원ㅣMinish Dental Hospital ㅣミニッシュ歯科病院ㅣ美尼仕牙科医院ㅣ美尼仕牙科醫院
취업 방해하는 앞니덧니! 신사역치과에서 미니쉬로 해결
취업 방해하는 앞니덧니! 신사역치과에서 미니쉬로 해결 본격적인 하반기 공채 시즌이 다가왔습니다. 여러 기업이 9월부터 12월까지를 하반기 공개채용 기간으로 두고 인재 영입 계획을 세우죠. 이 시기에는 높디 높은 취업의 문턱을 넘고자 많은 취준생들이 자기관리에 더욱 열을 올리기도 합니다. 직장 생활에서 사람들 간...

취업 방해하는 앞니덧니! 신사역치과에서 미니쉬로 해결
본격적인 하반기 공채 시즌이 다가왔습니다. 여러 기업이 9월부터 12월까지를 하반기 공개채용 기간으로 두고 인재 영입 계획을 세우죠. 이 시기에는 높디 높은 취업의 문턱을 넘고자 많은 취준생들이 자기관리에 더욱 열을 올리기도 합니다.
직장 생활에서 사람들 간의 소통은 필수적인 요소이죠!
따라서 유연한 의사소통 능력은 직장인들에게 중요한 장점으로 작용합니다. 의사소통에는 말하기, 듣기 뿐만 아니라 대화 중에 일어나는 반응들도 포함됩니다. 면접관들은 입사 전 지원자들의 면접 태도를 보고 이러한 의사소통 능력을 짐작한다고 하는데요. 면접 자리에서 좋은 인상을 남기고 싶을 때 어떤 점에 주목해야 할까요?
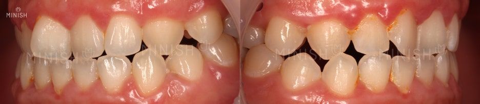
달라진 부분을 찾아보세요!

신사역치과에서 앞니덧니 콤플렉스 해결
발견하셨나요? 정답은 치아입니다.
삐뚤고 어둡게 보였던 치아가 가지런하고 환하게 변했죠.
요즘 송곳니 하나 정도의 덧니는 귀여운 매력 포인트로 여겨지기도 합니다. 하지만 대문니라고도 불리는 큰 두개의 앞니가 덧니라면 인상에 부정적인 영향을 줄 확률이 더 높습니다. 정돈되지 못한 인상을 남기기 때문이에요. 또한 앞니덧니는 다양한 각도로 틀어져서 주변 이들에 가려 그림자가 지기도 하는데, 이로 인해 전반적인 색상이 어둡게 보이기도 합니다. 이러한 경우는 문제의 원인이 치아 방향 자체에 있어, 미백 치료로도 색상 개선을 기대하기 어렵죠.

구강 좌측 (좌) | 구강 우측 (우)
외모적인 문제가 다가 아닙니다!
틀어진 이는 청결관리가 잘 되지 않아 음식물이 쉽게 쌓이고 변색을 일으킵니다. 사진을 보시면 염증에 의해 붉게 부어있는 잇몸 상태를 확인할 수 있어요. 이때는 칫솔질 등의 약한 자극에도 출혈이 발생하고 지혈이 잘 되지 않는 문제가 동반되기도 합니다. 잇몸은 우리 이를 단단하게 잡아주는 역할을 하기 때문에 잇몸 질환 방치 시 뼈 파괴와 치아 상실로까지 이어질 수 있어 주의가 필요합니다!⭐
뿐만 아니라 전체적인 치열이 조금씩 삐뚤어져 있는 모습도 보여요! 정상적인 교합은 윗니가 아랫니를 덮으며 정교하게 맞물리는 형태를 보이는데요. 조금씩 틀어진 치아들로 인해 아랫니가 윗니를 덮거나 동등하게 맞닿는 등 부정교합의 양상을 띕니다. 부정교합은 부정확한 발음을 야기할 수 있고, 이는 면접 시에 마이너스 요소로 작용할 수 있어 중요한 개선점이 됩니다. 추가적으로 원활한 저작 활동을 방해하기 때문에 소화불량 등 전신적 문제를 일으킬 수도 있습니다. 외적인 문제를 제외하더라도 빠른 개선이 필요한 상황입니다.
건강하게 변하고 싶다면, 신사역치과 미니쉬!

질환 : 앞니덧니, 치열이상, 잇몸질환으로 인한 출혈, 충치
촬영일자 : 21.01.05 | 21.02.01
실치료기간 : 1일 (원데이)
*개인에 따라 치료 기간이 다를 수 있으며, 부작용이 발생할 수 있으니 의료진의 정확한 진료를 받고 치료를 진행하시기 바랍니다.
취업 준비에 모든 집중을 쏟아야 하는 시기, 치과치료가 걸림돌이 되어선 안 되니까!
신사역치과에서 준비한 체크리스트 확인해보세요😄
취업을 앞두고! 치과치료 선택 시 참고해야 하는 부분은?
✅ 치료 기간이 길어 취업 일정과 겹치진 않는지
✅ 통증이 심해 취업준비에 방해가 되진 않는지
✅ 복합적인 심미 문제를 한 번에 해결할 수 있는지
✅ 외적 요소 뿐만 아니라 기능까지 회복시키는지
✅ 건강을 생각한 치료인지
미니쉬는 치열, 색상, 거칠어보이는 질감과 잇몸 건강까지 회복이 가능합니다.
미니쉬는 자연치아와 유사한 재료를 사용해 치면을 얇게 코팅하는 솔루션입니다. 재료와 정밀성에 의해 생체친화적이고 우수한 결합력을 나타내기 때문에, 자연스러운 색상과 질감 개선이 가능하죠. 또한 삐뚤어진 앞니덧니 등 치아의 방향을 새로 정립해 코팅하면서 관리가 용이한 구강 환경을 만들 수 있습니다. 따라서 잇몸 질환을 조절하면서 건강한 상태를 오래 유지하기 쉬워졌죠.
미니쉬 전의 윗니들은 길이가 짧아보였는데요. 코팅 과정에서 안모와 치아의 조화를 고려하면서 이러한 길이감도 조절했습니다. 치아의 변화만으로 한층 반듯하고 정직한 이미지를 주는 것 같지 않나요?
심지어 이 모든 변화가 하루만에 이루어졌답니다. 미니쉬치과병원은 원내에 기공소가 위치하고 있어 의료진과 기공사 간 긴밀한 협력이 가능합니다. 치료 일정이 취업에 방해가 되진 않을지 걱정할 필요가 없죠. (*시술 기간은 구강 상태나 치료 방법에 따라 개인차가 존재합니다. 전문의와 상담을 통해 정확한 시술 기간을 안내받으실 수 있습니다)


어긋나서 물리던 위아래 치아가 미니쉬 후 제대로 교합되고 있네요! 턱이 본래의 위치를 찾으면서 얼굴형이 갸름해지고 웃는 입매도 자연스러워 보입니다. 여러분은 어떤 미소에 더 호감을 느끼시나요? 우리의 이가 인상에 미치는 놀라운 영향이 느껴지시죠?
미니쉬를 만나면 아름다워집니다.
평생 똑같은 구강 상태로 살았기에 스스로도 이로 인한 극심한 스트레스를 미처 가늠하지 못하는 경우도 있습니다. 미니쉬를 만난 후 개선된 삶의 질을 느끼며 크게 놀라는 분들도 많죠. 밝아진 표정이 많은 사람들에게 좋은 인상을 남기고, 이러한 작은 변화들이 모여 '취업 성공'과 같은 커다란 성공이 되어 돌아오곤 합니다. 오늘도 성장하기 위해 노력하는 취준생 여러분들의 꿈을 미니쉬치과병원이 응원합니다!💪

미니쉬치과병원 서울특별시 강남구 언주로 728
👇 나도 하루만에 변할 수 있을까? 궁금한 미니쉬, 문의해보기! 👇


미니쉬치과병원 서울특별시 강남구 언주로 728

Explore More
Keep Browsing This Clinic's Korean Content Trail.
Return to the source archive for more posts, or move back to the clinic profile to compare the rest of the clinic's public channels.