미니쉬치과병원ㅣMinish Dental Hospital ㅣミニッシュ歯科病院ㅣ美尼仕牙科医院ㅣ美尼仕牙科醫院
미니쉬치과병원 건강과 아름다움을 함께 선물하는 미니쉬
안녕하세요. 구강 건강과 아름다움을 동시에 만족시켜 드리는 미니쉬치과병원입니다. '하루 중 치아가 필요할 때는 언제일까?' 라는 질문을 받는다면 많은 분들께서 식사시간이라고 답할 것 같습니다. 그 이유는 이의 주된 역할은 음식을 잘게 부수는 것이라고 여기기 때문인데요. 하지만 치아는 음식물을 자르는 기능적인...

안녕하세요. 구강 건강과 아름다움을 동시에 만족시켜 드리는 미니쉬치과병원입니다.
'하루 중 치아가 필요할 때는 언제일까?' 라는 질문을 받는다면 많은 분들께서 식사시간이라고 답할 것 같습니다.
그 이유는 이의 주된 역할은 음식을 잘게 부수는 것이라고 여기기 때문인데요.
하지만 치아는 음식물을 자르는 기능적인 부분을 담당할 뿐만 아니라 심미적인 역할도 수행하고 있어 그 역할이 더욱 중요하다고 할 수 있습니다.
우리의 치아는 기능과 미적인 부분을 함께 만족시킬 필요가 있으며,
미니쉬치과병원에서는 그것을 가능하게 하는 미니쉬를 시행하고 있습니다.
미니쉬란 자연치아와 유사한 재료로 치면을 얇게 코팅하여 외부 자극으로부터 이를 보호하고 있습니다.



Previous image Next image
자연치아와 유사한 미니쉬
이를 진행하기 위해서는 2차에 걸친 정밀 진단을 통해 구강이 가지고 있는 문제점을 파악하게 됩니다.
그 자료를 토대로 손상된 부분을 아주 얇게 제작한 미니쉬블록으로 코팅함으로써, 충치나 치아 파절 등으로 저하된 기능을 회복시키는 동시에 심미성을 얻을 수 있는데요.
진단 과정부터 남다른 정밀성을 자랑하기 때문에 자연치아를 보존하며 그대로 코팅이 가능하며, 이러한 치아코팅진료는 구강 건강에 해를 적게 입히는 과정들로 이루어졌다는 특징이 있습니다.

미니쉬블록
여기서 미니쉬치과병원에서 사용하는 미니쉬 블록이 무엇인지에 대해 궁금해 하실 수 있는데요.
미니쉬블록은 미니쉬테크놀로지(주)에서 공급받는 재료로, 자연 치아와 물성과 심미성이 유사하며 유사한 투명도로 인위적인 느낌이 적어 많은 분들께서 선호해 주시고 계십니다.
또한 자연치아와 유사한 색상, 모양으로 만들어질 뿐만 아니라 얼굴의 조화까지 고려하기 때문에 이질감이 적은 편인데요.
개개인의 치아 형태에 맞춤으로 제작이 가능해 내게 가장 어울리는 아름다운 치아를 가질 수 있습니다.
게다가 이러한 결과를 얻기 위해 3D 프린터 외 다수의 정밀한 장비를 이용하여, 특정한 한 사람에게 딱 맞는 형태로 만들어지기 때문에 세상에 똑같은 미니쉬는 존재하지 않습니다.

미니쉬의 장점을 크게 다섯 가지로 정리해서 소개해 드리자면
먼저 기능성과 심미성을 동시에 충족할 수 있다는 점입니다.
미니쉬는 평생 쓰는 치아를 보호하는 건강 목적의 시술이지만 아름다운 미소를 만드는 데에도 큰 도움이 됩니다.
그 이유는 에나멜 코팅을 통해 치아의 형태와 색깔을 개선할 수 있기 때문인데요.
더불어 코팅을 할 때 치아와 잇몸 사이의 보철물이 볼록해 보이는 오버컨투어가 없기 때문에 더욱 자연스러운 연출이 가능합니다.
▼ 미니쉬치과 치아 벌어짐 개선 사례가 궁금하다면? ▼
미니쉬치과, 하나 둘 생기는 치아 벌어짐 개선 사례 미니쉬치과, 하나 둘 생기는 치아 벌어짐 개선 사례 안 끼던 고기가 왜 이렇게 끼지? 문득 일상 속에서 입 ...
blog.naver.com


Previous image Next image
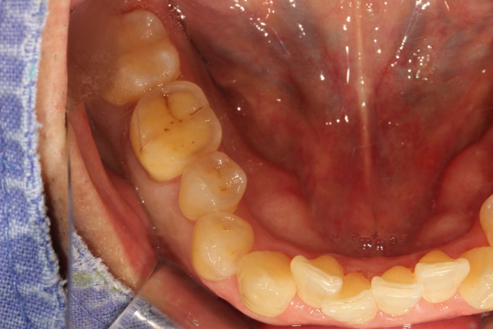
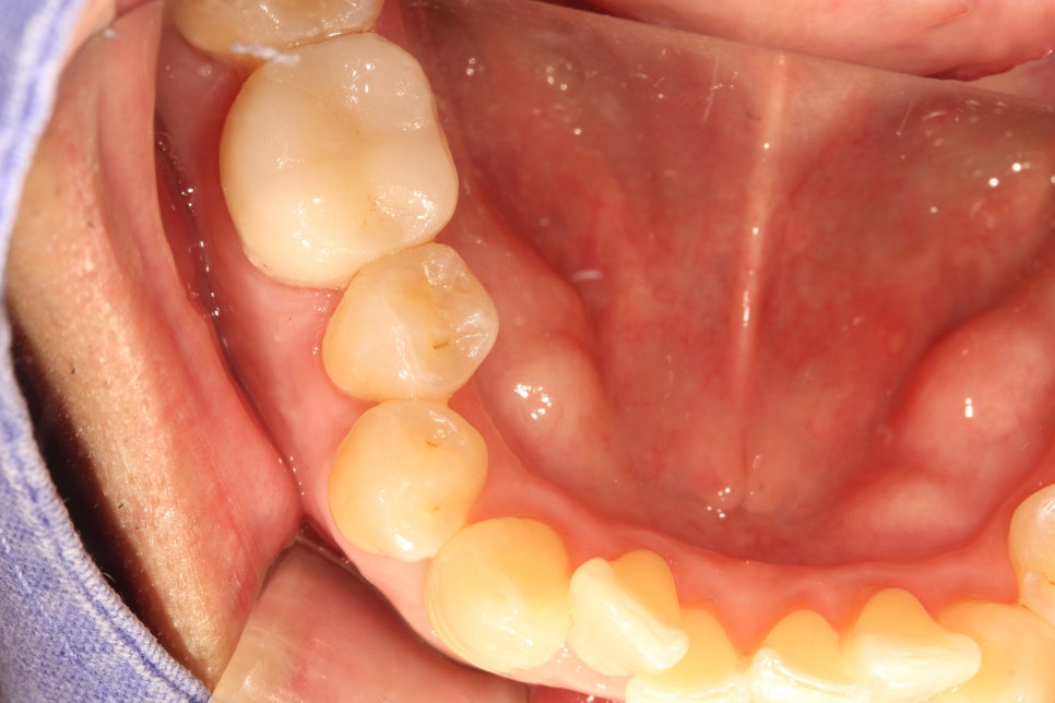
구치부 미니쉬ㅣ질환명 : 치아파절ㅣ촬영일자 : 2021.08.27/2021.08.28ㅣ실치료기간 : 1일
둘째, 앞니부터 어금니까지 모든 치아에 적용할 수 있다는 점입니다.
사람들은 각각 다른 구강 고민을 가지고 있습니다.
예를 들자면 계단에서 넘어져서 앞니가 깨지거나 사고로 인해 앞니가 상실된 경우, 어금니 파절이 일어난 경우 등이 있는데요.
미니쉬는 평평한 부위 뿐 아니라 어금니처럼 씹는 면이 울퉁불퉁한 치아까지 정밀하게 코팅할 수 있으므로 손상된 모든 치아의 보완이 가능합니다.

셋째, 원하는 결과를 비교적 빠르게 얻을 수 있습니다.
이를 쉽게 설명하기 위해 부정교합을 예로, 교합이 안정적이지 못할 때 우선적으로 고려해 볼 수 있는 것은 교정입니다.
이를 통해 치아를 가지런히 만들고 정상적인 저작을 할 수 있도록 만들어 주나, 이러한 과정은 약 2년 이상의 시간이 소요된다는 점 때문에 선뜻 시작하지 못하는 사람들이 많은데요.
그러나 미니쉬는 치아 사이의 비율과 형태를 조절한다면 비교적 짧은 시간 내에 교합을 맞출 수 있습니다.



Previous image Next image
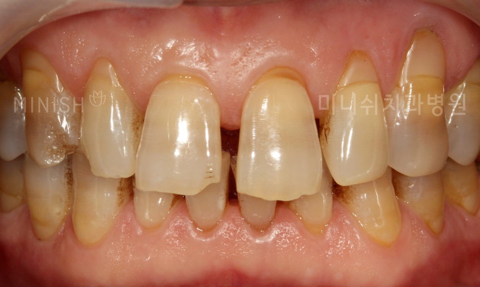
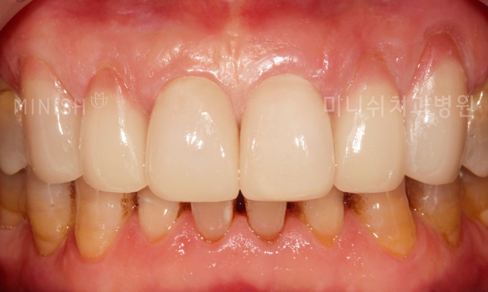
핑크 미니쉬ㅣ질환명 : 치아파절/치아벌어짐/치은염/잇몸퇴축ㅣ촬영일자 : 2021.05.27/2021.05.07ㅣ실치료기간 : 2일
넷째, 치아 뿐 아니라 잇몸에도 적용이 가능합니다.
이는 치아 배열 외에도 잇몸 또한 외모에 많은 영향을 주기 때문입니다.
내려간 잇몸으로 인해 치아가 길어 보이거나 치아 뿌리가 노출된 경우에도 미니쉬치과병원의 도움을 받을 수 있는데요.
이 때 사용되는 것은 핑크 미니쉬로, 이상적인 잇몸의 모양을 잡아주는 역할과 치아 보호를 동시에 수행해 주기 때문에 일거양득의 결과를 낳게 됩니다.
▼ 엄마는 예뻤다 10점 만점 미니쉬가 궁금하다면? ▼
[엄마는 예뻤다] 가평아들 "미니쉬 10점 만점에 10점인 거 같아요." 안녕하세요. 미니쉬치과병원입니다. 강정호 원장님이 치과 주치의로 출연하고 있는 LG헬로비전 <엄마...
blog.naver.com

모든 치아에 가능한 미니쉬
다섯 째, 오랜 기간 유지가 가능합니다.
미니쉬는 구강 스캔 후 그것을 디지털 정보로 전환하여 제작되고, 본을 뜨는 과정에서 발생하는 오차를 줄이며 틈 없는 폐쇄가 가능합니다.
이러한 정밀함은 유지 기간과 직결되므로 오래 사용할 수 있으며, 오랜 기간 축적된 시술에 대한 후기가 이를 증명하고 있어 신뢰도가 높은데요.
이상적인 치열을 만들었다고 해도 그것이 장기간 유지되지 못한다면 만족도가 떨어질 수밖에 없으나, 미니쉬치과병원은 이러한 부분까지 꼼꼼히 챙겨 드리고 있답니다.
이렇게 다양한 장점을 가지고 있는 오직 미니쉬 멤버스 클리닉에서만 진행되고 있습니다.

미니쉬치과병원은 이 조건에 부합하는 곳이며 10년 이상의 치아 코팅 노하우를 가진 의료진이 상주하는 곳이기 때문에 믿고 방문하실 수 있는데요.
무엇보다 구강 건강 향상을 우선으로 생각하고 있는 곳이므로 건강과 아름다움, 그 무엇도 포기하고 싶지 않으시다면 미니쉬치과병원과 함께 해보시길 바랍니다.

▼ 건강하게 아름다워지는 미니쉬치과병원이 궁금하다면? ▼

▼ 행복중심의 치과병원 카카오톡 상담 바로가기! ▼

▼ 나에게 맞는 미니쉬 타입이 궁금하다면? ▼

▼ 내원 전 쉽고 빠른 네이버 예약 바로가기! ▼


Explore More
Keep Browsing This Clinic's Korean Content Trail.
Return to the source archive for more posts, or move back to the clinic profile to compare the rest of the clinic's public channels.