미니쉬치과병원ㅣMinish Dental Hospital ㅣミニッシュ歯科病院ㅣ美尼仕牙科医院ㅣ美尼仕牙科醫院
강남구청치과 건강한 아름다움, 미니쉬로 활짝 핀 자신감을 선물해 드립니다
안녕하세요. 구강 건강과 아름다움을 동시에 만족시켜 드리는 미니쉬치과병원입니다. 사람의 첫인상에서 가장 중요한 요소는 바로 환한 미소라 말씀드릴 수 있는데요. 환한 미소는 상대방 또한 웃음 짓게 만들어 일상생활 및 사회생활에서도 이는 매우 중요한 요소로 자리 잡고 있습니다. 이러한 부분에 있어서 빠질 수...
Archive Summary
이 페이지의 역할
미니쉬치과병원ㅣMinish Dental Hospital ㅣミニッシュ歯科病院ㅣ美尼仕牙科医院ㅣ美尼仕牙科醫院의 네이버 블로그 원문을 보존한 아카이브 페이지입니다. 원데이 미니쉬 카테고리의 강남구청치과 건강한 아름다움, 미니쉬로 활짝 핀 자신감을 선물해 드립니다 글을 통해 병원의 한국어 정보 제공 방식과 진료 관련 안내 톤을 확인할 수 있습니다.

안녕하세요. 구강 건강과 아름다움을 동시에 만족시켜 드리는 미니쉬치과병원입니다.
사람의 첫인상에서 가장 중요한 요소는 바로 환한 미소라 말씀드릴 수 있는데요.
환한 미소는 상대방 또한 웃음 짓게 만들어 일상생활 및 사회생활에서도 이는 매우 중요한 요소로 자리 잡고 있습니다.
이러한 부분에 있어서 빠질 수 없는 부분은 바로 치아이며 만약 웃었을 때 누렇거나 깨진 치아, 혹은 자연치아가 상실된 것을 보이게 된다면 깔끔한 인상을 주기 어려울 수 있는데요.
기능적인 역할 외에 심미적인 부분을 함께 고려하여 이를 바람직한 방법으로 개선하는 것이 중요합니다.

모든치아에 가능한 미니쉬
노화, 사고, 질환 등으로 치아가 손상되었다면 이를 어떻게 수복해야 할 지 고민하게 됩니다.
무엇보다 손상 부위가 눈에 잘 띄어 기능과 심미 두 가지를 모두 잡아야 하는 경우 선택이 어려워지기도 하는데요.
강남구청치과에서는 건강하게 아름다워질 수 있는 미니쉬를 권장해 드리고 있습니다.
미니쉬는 자연 치아와 물성 및 심미성이 유사한 재료를 사용하고 있는데요.
자연치아와 유사한 색상과 모양으로 만들어지며 한 분 한 분의 얼굴 조화까지 고려하여 진행하기 때문에 이질감 역시 적은 편입니다.


Previous image Next image
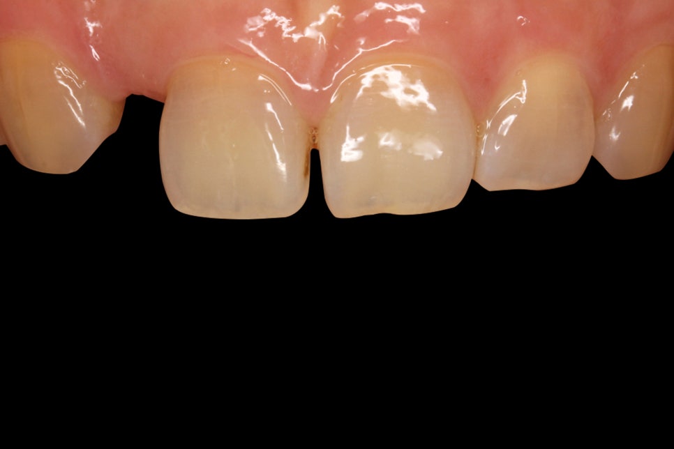
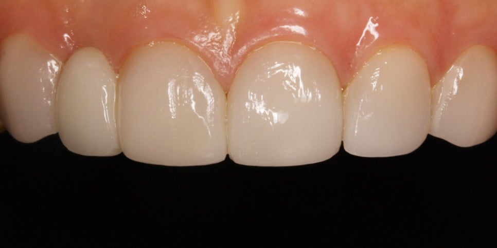
브릿지 ㅣ 질환 : 치아상실, 치아배열이상 ㅣ 촬영일자 : 2018.04.16 | 2018.04.30 ㅣ 실치료기간 : 4일
심미적 개선에 앞서 우선적으로 고려되어야 할 것은 바로 '건강'입니다.
강남구청치과에서는 자연치아 보존의 중요성을 알고 10여년 전부터 우리의 치아를 건강하게 지키기 위해 치아코팅치료를 진행하는 등 많은 노력을 이어왔습니다.
또한 미니쉬테크놀로지(주)에서 자연 치아와 유사한 재료인 미니쉬블록을 공급받아 사용하고 있는데요.
미니쉬블록은 영구치와 매우 유사한 성질로, 구강 환경에 자연스럽게 녹아들며 정밀한 결합력을 자랑합니다.
정밀한 결합력은 세균의 재침입을 막고 보철물의 오랜 유지를 돕기 때문에 건강한 치료의 필수요소라고 볼 수 있습니다.

강남구청치과에서는 19대의 정밀한 장비와 함께 3D 프린팅 공정 기술을 이용해 디자인을 설계 후 개인별 치아에 맞춘 미니쉬를 제작하고 있습니다.
환자별 잇몸 굴곡과 자연치 형태를 고려해 제작하기 때문에 나에게만 맞는 단 하나의 미니쉬가 만들어지게 되는데요.
앞니처럼 고른 부위뿐 아니라 어금니처럼 굴곡지고 저작하는 면이 울퉁불퉁한 부위까지 28개의 모든 치아가 가능하며 틈새 없이 자연치아와 정밀한 밀착이 이루어질 수 있도록 진행하고 있습니다.
▼ 건강함과 아름다움을 동시에! 미니쉬에 대해 궁금하다면? ▼
미니쉬치과, 하나 둘 생기는 치아 벌어짐 개선 사례 미니쉬치과, 하나 둘 생기는 치아 벌어짐 개선 사례 안 끼던 고기가 왜 이렇게 끼지? 문득 일상 속에서 입 ...
blog.naver.com


Previous image Next image
강남구청치과를 내원하시게 되면 먼저 1차 검진 후 정밀한 상담이 진행됩니다.
X-RAY를 통해 구강 사진 촬영과 검진 후 문제점이 무엇인지 정밀하게 파악하며, 이후 치아 모형 상담을 통해 개개인의 취향과 건강 상태에 부합하는 진료 방향을 제시하고 있습니다.
다음으로 본격적인 진료에 앞서 잇몸 건강 보완이 이루어지게 되는데요.
치주가 약할 경우에는 스케일링이나 잇몸 성형 등으로 보완할 수 있으며, 미니쉬 제작을 위한 인상 채득과 동시에 디자인 상담까지 보다 꼼꼼하게 진행하고 있습니다.
마지막으로 디자인 체크 후 교합 교정한 다음, 전체적인 피팅 체크가 이루어지는데요.
교합이 잘되었는지, 스마일 라인 또한 확인하고 관리법까지 친절하게 설명해 드리고 있답니다.
▼ 미니쉬치과 치아 벌어짐 개선 사례가 궁금하다면? ▼
미니쉬치과, 하나 둘 생기는 치아 벌어짐 개선 사례 미니쉬치과, 하나 둘 생기는 치아 벌어짐 개선 사례 안 끼던 고기가 왜 이렇게 끼지? 문득 일상 속에서 입 ...
blog.naver.com



Previous image Next image
자연치아와 유사한 미니쉬
강남구청치과에서는 미니쉬를 진행하기 위해 각 분야의 모든 의료진들이 끊임없이 노력하고 있습니다.
미니쉬는 개인별 맞춤 제작이 이루어지기 때문에 같은 형태는 존재하지 않는데요.
기능적인 부분만 개선되는 것이 아닌 심미적으로도 아름다움을 얻을 수 있어 일석이조의 효과를 경험하실 수 있습니다.

강남구청치과에서는 다년간의 노하우와 경험을 갖춘 의료진이 상주하고 있으며, 평생 사용하는 치아를 보다 건강하고 아름답게 오랫동안 사용하실 수 있도록 기술, 정보를 지식과 기술을 공유하며 함께 발전해 나가고 있습니다.
구강은 첫인상을 결정하는 중요한 요소이기 때문에 다양한 요인으로 손상을 입었다면 올바른 방법으로 개선하는 것이 매우 중요한데요.
일상 속 건강하고 아름다운 미소를 되찾고 싶으시다면 미니쉬 기술력을 보유한 미니쉬치과병원에서 활짝 핀 자신감, 만족스러운 웃음을 선물해 드리겠습니다.

▼ 건강하게 아름다워지는 미니쉬치과병원이 궁금하다면? ▼

▼ 행복중심의 치과병원 카카오톡 상담 바로가기! ▼

▼ 나에게 맞는 미니쉬 타입이 궁금하다면? ▼

▼ 내원 전 쉽고 빠른 네이버 예약 바로가기! ▼


Explore More
Keep Browsing This Clinic's Korean Content Trail.
Return to the source archive for more posts, or move back to the clinic profile to compare the rest of the clinic's public channels.