미니쉬치과병원ㅣMinish Dental Hospital ㅣミニッシュ歯科病院ㅣ美尼仕牙科医院ㅣ美尼仕牙科醫院
치주염, 건강함과 심미성 모두 만족하는 치료는?
우리의 치아는 잇몸에 단단하게 고정된 구조로 이루어져 있습니다. 따라서 치아의 건강을 유지하기 위해서는 잇몸 관리를 필수적으로 해주셔야 합니다. 만약 제대로 관리하지 않는 경우 잇몸 조직에 염증이 생기는 치주질환이 발생합니다. 치주 질환은 치은염과 치주염으로 구분이 가능합니다. 치은염은 잇몸 질환의 초기...
우리의 치아는 잇몸에 단단하게 고정된 구조로 이루어져 있습니다.
따라서 치아의 건강을 유지하기 위해서는 잇몸 관리를 필수적으로 해주셔야 합니다.

만약 제대로 관리하지 않는 경우 잇몸 조직에 염증이 생기는 치주질환이 발생합니다.
치주 질환은 치은염과 치주염으로 구분이 가능합니다.
치은염은 잇몸 질환의 초기 단계며 스케일링 같은 간단한 진료로 치유할 수 있습니다.
하지만 방치하면 증상이 악화되어 치주염으로 진행됩니다.

치주 질환의 원인
치주염 원인은 세균입니다.
음식을 먹고 양치를 하더라도 남아있는 미세 음식 찌꺼기들이 구강 속 세균과 섞여 플라그를 생성하고 치아와 잇몸 사이의 치은열구라는 곳에 서식하게 됩니다.
플라그가 치은열구에 장시간 쌓이면 단단한 치석이 되고 세균이 잘 번식되는 치주낭을 만들어냅니다.
이로 인해 치아를 감싸 보호하던 잇몸과 잇몸뼈가 녹아내려 치아가 탈락되거나 다른 질환을 유발하기 전 치아를 발치해야 합니다.

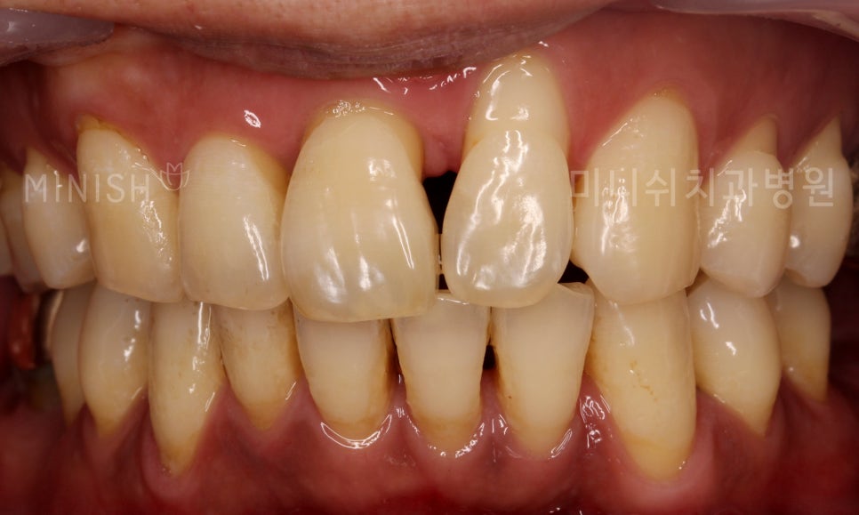
보통 잇몸이 빨갛게 변하고 부어 오르고, 가렵거나 피가 나면 치은염을 의심할 수 있습니다.
하지만 이 단계를 지나 치주염을 앓게 되면 치주낭 안에 쌓여있는 이물질로 입 냄새가 심하게 나며 내려 앉은 잇몸으로 뿌리 부분이 드러나기 때문에 이가 시릴 수 있습니다.
스케일링은 치아 표면의 세균 막과 치석 등을 긁어내는 방법이므로 치주염의 경우 잇몸 내부의 염증 조직과 치석을 제거하는 치주 소파술을 진행합니다.

진료 후에도 복구하기 어려운 잇몸 상태
다만 잇몸을 진료 후에도 꺼지거나 내려앉은 잇몸이 치유되지 않아 치아 모양이 길어 보일 수 있으며 치아 사이 공간이 비어 보여 심미적인 문제가 생길 수 있습니다.
이 경우 미니쉬라는 진료법으로 환자 분의 고민을 해소할 수 있습니다.
이 방법은 치아나 잇몸이 손상될 경우 치아와 비슷한 물성으로 채워 넣어 망가진 치아와 잇몸의 기능성과 심미성을 되찾을 수 있습니다.
투명도, 강도, 색상 등이 비슷하여 본인의 치아처럼 오랜 시간 사용할 수 있는 것이 큰 장점입니다.

잇몸 라인을 개선할 수 있는 진료
이 진료 방법에는 다양한 종류가 있습니다.
그 중 치주염 원인을 제때 진료하지 못하여 잇몸이 내려가거나 치아 뿌리가 노출된 경우, 치아가 길어 보일 때는 핑크 미니쉬를 사용하실 수 있습니다.
잇몸에 닿는 부위가 분홍색으로 코팅되어 있어 자연스러운 연분홍빛 잇몸라인을 만들어 줍니다.
치아를 불필요하게 삭제하는 것이 아니기 때문에 환자 본인의 건강한 치아를 유지하면서도 손상된 치아와 잇몸을 건강하게 만들 수 있습니다.

정밀함을 추구하는 진료
치아를 정돈하는 것은 물론 개인에게 맞게 제작하고 결합하기까지의 모든 진료 과정에서 정밀함을 추구합니다.
더욱이 전체적인 얼굴 라인까지 고려하여 만들기 때문에 자연스러우며 세밀한 치아 스캔을 통해 망가진 부분에 맞게 제작하기 때문에 오차가 거의 없습니다.
이렇게 손상된 범위와 형태에 맞게 일대일 맞춤으로 만들어지므로 동일 미니쉬는 존재하지 않습니다.

치주염 원인인 구강 내 세균은 충치와 잇몸 질환을 유발하는 것은 물론 혈류를 타고 돌아다닐 수 있기에 전신 건강에도 나쁜 작용을 할 수 있습니다.
따라서 정기적인 검진을 통하여 구강의 건강 상태를 확인해야 하며 문제가 생겼을 때에는 조속한 진료를 통하여 질환이 악화되지 않도록 예방하는 것이 가장 중요합니다.
본원에서는 정밀 맞춤 진료는 물론 맞춤 구강 관리 프로그램도 진행하고 있습니다.
따라서 불편함이 느껴지신다면 방치하지 마시고 조속히 내원하시어 진료 및 관리 받으시길 권합니다.

미니쉬치과병원 서울특별시 강남구 언주로 728


Explore More
Keep Browsing This Clinic's Korean Content Trail.
Return to the source archive for more posts, or move back to the clinic profile to compare the rest of the clinic's public channels.