미니쉬치과병원ㅣMinish Dental Hospital ㅣミニッシュ歯科病院ㅣ美尼仕牙科医院ㅣ美尼仕牙科醫院
치아손상 방치하지말고 적합한 치료가 필요로 합니다.
음식물을 섭취하고 씹을 때에 치아가 본래의 기능을 하기 위해서는 치아를 지지하는 잇몸도 건강해야 하며, 치아가 손상된 것 없이 본래 모양을 잘 유지하고 있어야 합니다. 치아손상에 의해 제 역할을 하지 못한다면 음식물을 씹는 기능에도 문제가 생길 뿐더러 인접 치아에도 더 많은 부담을 주며, 부정적인 영향을 끼치게...

음식물을 섭취하고 씹을 때에 치아가 본래의 기능을 하기 위해서는 치아를 지지하는 잇몸도 건강해야 하며, 치아가 손상된 것 없이 본래 모양을 잘 유지하고 있어야 합니다.
치아손상에 의해 제 역할을 하지 못한다면 음식물을 씹는 기능에도 문제가 생길 뿐더러 인접 치아에도 더 많은 부담을 주며, 부정적인 영향을 끼치게 됩니다.
치아 손상의 원인은 외상에 의해서 발생하기도 하며, 우식증과 같은 질환을 장기간 방치하여 생기기도 합니다.

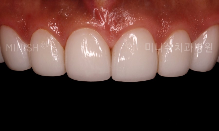
치아손상은 단순히 기능적인 역할 상실뿐 아니라, 심미적인 문제도 만듭니다.
외상으로 인해서 치아가 손상이 될 경우에, 위치상으로 앞니가 깨지거나 상하기 쉬운데요.
음식을 먹거나 말을 하거나, 혹은 웃더라도 쉽게 볼 수 있기에, 이로 인해 하나의 콤플렉스가 생기기도 합니다.

치아손상을 치료하기 위한 자연치아 삭제?
치과에 오시는 분들이 공통적으로 많이 하시는 고민 중 하나가 '치과치료를 위해서 치아 일부를 삭제 해야 하는 것에 대한 부담' 이었습니다.
보통 치아가 손상이 되었을 때에, 진행을 하는 보철물 치료는 치아와 유사한 물질이나 대체할 수 있는 물질등을 채워 넣거나 부착을 하기 위해서 공간을 확보하기 위한 기존 치아에 대한 삭제가 진행이 됩니다.
하지만 케이스에 따라서 이 과정에서 오히려 건강한 치아 일부까지도 함께 삭제가 필요로 하기도 하는데요,
이러한 경우에는 미니쉬를 고려해 볼 수 있습니다.

구강 건강관리의 기본은 원래 가지고 있던 자연 치아를 얼마나 잘 보존하느냐 입니다.
치아손상 후에는 치아 자체적으로 스스로 치유가 되지 않기 때문에, 건강한 치아까지 깎아내는 것은 큰 부담을 갖고 진행하는 치료라고 볼 수 있습니다.
미니쉬의 경우, 심미적인 개선을 도와줌과 동시에 치아의 건강을 우선시 하는 진료로 강도, 형태, 색상부터 빛의 투과성까지 자연치아와 가장 유사한 물성의 재료를 활용하여, 기존 치아의 치면을 얇게 감싸 코팅을 하는 방식입니다.
불필요한 삭제 없이도 기능적인 요소, 심미적인 요소 모두 개선이 가능한 방법으로 많은 분들이 미니쉬 솔루션을 선택하고 있습니다.

음식을 씹기 편하게 넓고 울툴불퉁한 어금니, 평평한 앞니, 다른 치아들보다 뾰족한 송곳니등 기능에 따라서 모든 치아는 형태가 다릅니다.
또한 치아 손상도 모두 동일하게 발생하지 않습니다.
미니쉬의 경우, 정밀한 검진을 통해서 맞춤 제작으로 진행이 됩니다.
또한 다양한 프로그램 선택이 가능하여, 사용 부위나 목적에 따라서 치아 삭제는 최소화 하며, 구강 관리가 가능하다는 장점을 갖고 있습니다.

손상된 치아 방치는 금물입니다.
통증이 없거나 심하지 않아서 일단은 넘어가는 분들도 있습니다.
하지만 적합한 치료를 하지 않고 방치를 하게 될 경우, 약해진 부분에 추가 손상이 가해져서 치아 부분적으로 떨어져 나가거나 홈이 생기고 그 사이에 이물질이 끼면서 구강 건강 관리에 더 큰 어려움을 불러올 수 있습니다.
따라서 치아가 손상된 상태라면, 큰 불편함이 없더라도 빠르게 내원을 하고 진료를 통해서 본인에게 적합한 치료를 받아 보시기를 권장드립니다.
Explore More
Keep Browsing This Clinic's Korean Content Trail.
Return to the source archive for more posts, or move back to the clinic profile to compare the rest of the clinic's public channels.