미니쉬치과병원ㅣMinish Dental Hospital ㅣミニッシュ歯科病院ㅣ美尼仕牙科医院ㅣ美尼仕牙科醫院
풍치치료 어떻게 진행해야 할지 고민이라면
치아는 한 번 손상이 가해지면 원래대로 되돌릴 수 없는 특성을 가지고 있기에 꾸준한 관리가 필요합니다. 이를 위해 대부분의 사람은 꼼꼼한 양치질이나 올바른 생활 습관만으로 건강 유지가 가능하다고 생각하나, 치과 정기검진과 스케일링을 통한 추가적인 관리도 필요합니다. 게다가 치석이 쌓이거나 충치가 생길 경우...

치아는 한 번 손상이 가해지면 원래대로 되돌릴 수 없는 특성을 가지고 있기에 꾸준한 관리가 필요합니다.
이를 위해 대부분의 사람은 꼼꼼한 양치질이나 올바른 생활 습관만으로 건강 유지가 가능하다고 생각하나, 치과 정기검진과 스케일링을 통한 추가적인 관리도 필요합니다.
게다가 치석이 쌓이거나 충치가 생길 경우 치아 부식이 진행될 수 없어 꼼꼼한 관리가 필요한데요.
자연치아는 한 번 손상이 가해지면 원래대로 되돌릴 수 없는 특성을 가지고 있기에 꾸준한 관리가 필수적입니다.
이를 위해 대부분의 사람들은 꼼꼼한 양치질이나 올바른 생활 습관만으로 건강 유지가 가능하다고 생각하지만, 치과 정기검진과 스케일링을 통한 추가적인 관리도 필요한데요.
관리가 미흡 할 경우, 치석이 쌓이거나 충치가 생기는 것은 물론 치아 부식까지 진행될 수 있기 때문입니다.

잘못된 생활습관이 치아 부식을 유발해
특히 산성이 높은 음식을 섭취하거나 이후 꼼꼼한 양치질이 이뤄지지 않았을 경우 치아 부식에 지대한 영향을 미치게 됩니다.
이 외에도 습관적으로 얼음을 씹어 먹거나, 단단한 음식을 선호하는 사람의 경우에도 치아 부식에 영향을 줄 수 있습니다.
또한 음주 직후 구토하는 습관 역시, 위산이 역류하면서 치아에 손상을 가하기 때문에 주의해야 합니다.
이와 같은 잘못된 습관이 지속될 경우 치아 중간에 치태와 치석이 염증으로 발전되고 잇몸 뼈에도 부정적인 영향을 가하는 풍치를 야기하게 됩니다.

이와 같이 치아 부식은 다양한 원인에 의해 이뤄지곤 하기 때문에 풍치치료를 위해 방문하는 수가 꾸준히 급증하고 있습니다.
나아가 치아 부식이나 손상 등의 문제가 심할 경우 치과 진료를 통해 개선해나가는 것이 필요하기 때문인데요.
진행 시, 부식된 부분을 깎아내야 하기 때문에 치아 표면의 두께가 얇아지게 되고 추가적인 치아 손상이 발생하기도 합니다.
이를 방지하기 위해서는 손상된 치아의 기능성과 심미성을 개선해 줄 수 있는 보철 진료를 함께 진행해야 하는데요.
다양한 원인에 의해 이뤄지는 치아 부식과 같은 손상은 문제가 심각할 경우 치과 진료를 통한 치료가 필수적입니다.
단, 치과 치료 진행 시 부식된 부분을 깎아내야 하기 때문에 치아 표면의 두께가 얇아지게 돼 추가적인 치아 손상이 발생할 수 있음을 명심해야 하는데요.
이를 방지하기 위해선 손상된 치아의 기능성과 심미성을 개선해 줄 보철 진료가 수반돼야 합니다.

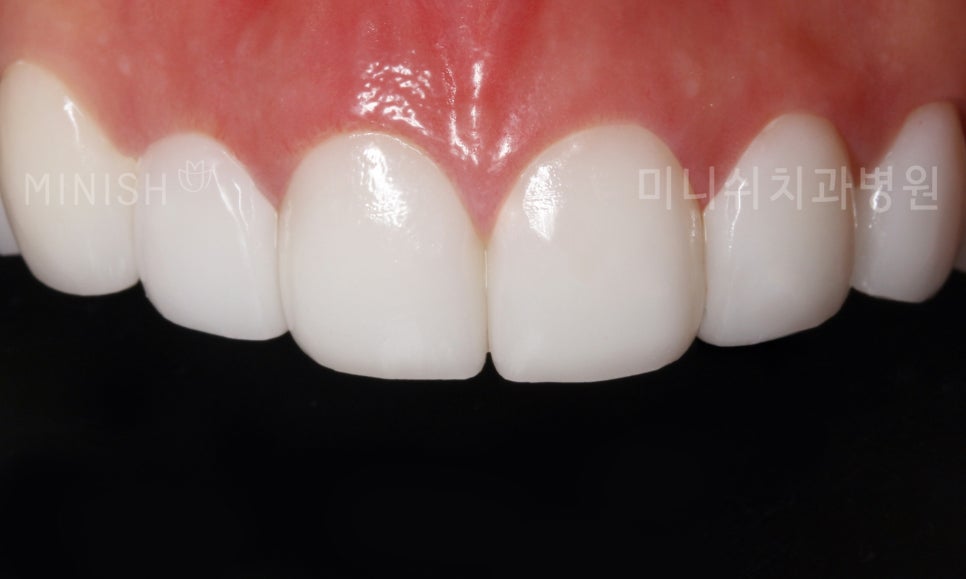
풍치치료 진행 시, 깎아낸 부위와 형태에 맞게 제작된 보철물을 사용해야만 육안상으로도 자연스럽고 기능면에서도 우수한 결과를 받아볼 수 있습니다.
보철 진료의 경우 직접 수복과 간접 수복으로 나누어 손상 부위와 건강 상태에 따라 적용 방안을 달리하고 있습니다.
보통 미니쉬와 인레이, 크라운, 브릿지 등의 방법 내에서 진행되고 있으며 그중 자연 치아를 보존하는 형태를 고수하는 경우 미니쉬를 진행하게 됩니다.

과도하게 치아 표면을 정리할 경우 건강한 치아를 손상시킬 우려가 있기 때문에 이를 방지하는 것이 중요한데요.
미니쉬의 경우 자연 치아와 유사한 물성을 가진 재료를 사용하기 때문에, 높은 강도를 자랑하는 것은 물론 자연 치아와 유사한 투명도를 보유하고 있습니다.
이를 통해 본래 치아의 기능은 물론 미적인 변화까지도 이뤄나갈 수 있습니다.
보철 치료에서 과도하게 치아 표면을 정리할 경우 자연치아를 손상시킬 우려가 있기 때문에 이를 방지하는 것이 중요한데요.
미니쉬는 자연 치아와 유사한 물성을 가진 재료를 사용하기 때문에 높은 강도를 자랑하는 것은 물론 자연 치아와 유사한 투명도도 적용이 가능합니다.
이를 통해 본래 치아의 기능은 물론 미적인 변화까지도 이뤄낼 수 있습니다.

풍치치료 진행 시, 해당 방식은 다양한 치아 고민에 적용이 가능하며, 앞니는 물론 안쪽 어금니까지도 정밀하게 맞춤 재현이 가능합니다.
다수의 장비와 3d 프린팅 공정 기술을 이용해 정밀한 제작 과정이 이뤄지기 때문에 코팅 과정에서도 자연 치아와의 들뜸 현상 없이 진행이 가능합니다.
이를 바탕으로 심미성을 확보한 건강한 치아 상태를 오래도록 보존하는 것이 가능하다고 볼 수 있는데요.

보다 중요한 것은 치아 부식이 이뤄지지 않도록 평상시 꾸준하게 청결한 구강 상태를 유지하는 것입니다.
올바른 구강 케어 습관을 유지하고 치과 정기검진을 통해 상태를 살펴보는 것이 필요합니다.
또한 치아 손상 정도가 심해질 경우, 자연 치아를 보존하는 데에 어려움이 생길 수 있어 이른 시일 내 치과를 방문하는 것이 중요합니다.
가급적 건강한 치아를 유지할 수 있는 진료 방식을 선택해 치아 고민을 개선하고 건강하고 아름다운 미소를 되찾을 수 있기를 바랍니다.
Explore More
Keep Browsing This Clinic's Korean Content Trail.
Return to the source archive for more posts, or move back to the clinic profile to compare the rest of the clinic's public channels.