미니쉬치과병원ㅣMinish Dental Hospital ㅣミニッシュ歯科病院ㅣ美尼仕牙科医院ㅣ美尼仕牙科醫院
논현동 라미네이트 진행을 고민하고 있다면 건강한 미니쉬로
치아가 건강하지 못할 경우 저작활동에 어려움을 겪고 심미적인 부분에도 많은 영향을 미치기 때문에 구강 건강관리에 대한 사람들의 관심은 계속해서 높아져 가고 있는 추세입니다. 이러한 이유로 많은 사람들이 꾸준한 치아 관리를 이어나가지만 꼼꼼한 칫솔질과 치간 칫솔, 치실 사용으로도 음식물이 잘 제거되지 않는 부위가...

치아가 건강하지 못할 경우 저작활동에 어려움을 겪고 심미적인 부분에도 많은 영향을 미치기 때문에 구강 건강관리에 대한 사람들의 관심은 계속해서 높아져 가고 있는 추세입니다.
이러한 이유로 많은 사람들이 꾸준한 치아 관리를 이어나가지만 꼼꼼한 칫솔질과 치간 칫솔, 치실 사용으로도 음식물이 잘 제거되지 않는 부위가 있습니다.
바로 안쪽 깊숙하게 자리하고 있는 어금니입니다.
육안상으로 확인이 가능한 앞쪽 치아와는 달리 손이 잘 닿지 않고 살펴보기 어렵기 때문에 충치나 마모 같은 구강질환이 빈번히 생겨납니다.

이와 같이 어금니 손상에 발생했을 경우 증상 초기에 적합한 대처가 이뤄질 수 있도록 내원하는 것을 권장 드리고 있습니다.
손상된 치아를 방치하게 되면 주변 치아에도 부정적인 영향을 줄 수 있어 조속한 대처가 이뤄져야 하기 때문입니다.
심각할 경우 발치가 진행될 수도 있기 때문에 논현동 라미네이트와 같은 방식을 고려하기도 합니다.


특히 충치와 같은 요인으로 치아가 심각하게 손상되었을 경우에는 자연 치아가 보존 가능한 방향으로 모색해야 합니다.
이와 같은 상황에서 떠올리게 되는 방안으로는 논현동 라미네이트와 같은 다양한 방법이 있지만 최근 자연 치아 건강을 유지하며 진행 가능한 미니쉬를 찾아볼 수 있습니다.
미니쉬는 여러 요인으로 인해 손상된 부위에 자연치아와 가장 비슷한 재료를 유사한 형태로 채워 넣는 것인데요.
개인에 따라 상이한 치아 모양을 고려하여, 이에 맞는 형태로 채워 넣게 되므로 손상된 치아의 기능 향상은 물론 심미적인 개선도 가능합니다.


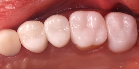
질환 : 어금니 깨짐, 충치 치아
촬영일자 : 2021. 01. 26 / 2021. 01. 27
실치료기간 : 1일
특히 넓은 부위에 적용이 필요한 어금니와 같은 경우에는 논현동 라미네이트 적용이 어렵기 때문에 어금니 미니쉬를 찾아보게 됩니다.
구치부 미니쉬는 다양한 원인으로 손상된 모든 경우에 적용해 볼 수 있습니다.
딱딱한 것을 자주 섭취하여 치아 표면에 금이 가거나 깨진 경우뿐 아니라 충치가 지속적으로 커지면서 해당 부위 제거가 광범위하게 진행된 될 경우에도 어금니 미니쉬를 통해 수복해줌으로써 손상된 치질을 복구, 기능 회복이 가능합니다.
이 외에도 심한 이갈이나 강한 교합력으로 어금니가 닳고 패인 경우 또는 신경치료가 진행된 후의 어금니에도 치아 보호가 가능한 어금니 미니쉬를 진행할 수 있습니다.

어금니의 경우, 무엇보다 자연 치아와 유사한 강도가 중요하기 때문에 논현동 라미네이트 적용이 어려울 것입니다.
어금니 미니쉬 진행 시, 정밀한 치아 스캔 과정을 거쳐 자연 치아의 손상 부위에 맞게 섬세한 제작이 이뤄지기 때문에 울퉁불퉁한 면일지라도 틈새 없이 정밀하게 결합이 가능합니다.
무엇보다 자연 치아와 유사한 물성을 가진 재료를 이용해 자연 치아의 치면을 얇게 감싸기 때문에, 치아를 보존하며 그대로 코팅할 수 있고 외부 자극에도 강하다는 특징을 가지고 있습니다.
가장 중요한 것은 어금니 미니쉬를 통해 손상된 치아 건강을 개선하는 것은 물론 저작운동에 필요한 씹는 힘과 같은 기능 개선을 함으로써 건강 회복, 삶의 질이 상승 된다는 것입니다.

미니쉬는 자연 치아의 물성과 가장 유사한 재료인 미니쉬블록을 미니쉬테크놀로지㈜에서 공급 받으며 미니쉬 기공 연구소에서 제작합니다.
미니쉬 블록은 자연 치아와 비슷한 물성과 투명도는 물론 심미성을 지닌 재료라 결합 후에 내 치아처럼 오랜 기간 사용하기에 적합한 것입니다.
실제 어금니 미니쉬를 진행하는 경우 자연 치아만큼 단단한 강도를 자랑하기 때문에 이전과 같은 일상 생활이 가능합니다.
또한 미니쉬는 아무리 얇게 기공된다 할지라도 이와 같이 높은 강도, 우수한 결합이 뒷받침 되기 때문에 쉽게 깨지지 않는다는 점을 눈 여겨 볼 수 있습니다.

다음으로는 미니쉬는 다수의 정밀한 장비와 인력을 바탕으로 제작됩니다.
또 미니쉬 진행에 앞서 개인의 치아 상태나 구조, 손상된 범위 등을 꼼꼼히 따져보는 정밀 검진 과정을 거치게 됩니다.
이는 미니쉬를 제작하여 필요한 치아에 코팅 했을 때 들뜸 현상 없이 밀착시키기 위한 것인데요.
추후 보철물이 들뜨는 현상이 발생하여 치아 건강에 문제를 일으키지 않도록 하기 위함입니다.


이를 가능하도록 하기 위해 현재 3D 스캐너, 3D 프린팅 공정 기술과 같은 디지털 장비를 이용하여 개인에게 적합한 미니쉬를 디자인 하고 있습니다.
해당 과정을 통해 섬세하게 제작된 미니쉬는 코팅 이후 피팅 정도를 확인하는 과정까지 거쳐 체계적으로 진행됩니다.
이를 통해 결합 여부를 살펴보고, 나아가 전체적으로 조화롭게 자연 치아와 잘 어우러지는 지를 확인하게 됩니다.
사람의 생김새나 지문이 모두 다르듯이 같은 미니쉬는 존재할 수 없기에 이와 같은 결과가 가능하다고 볼 수 있습니다.

때문에 인위적인 아름다움만을 추구하는 것이 아니라 개인에게 맞는 디자인 설계 후 치아에 맞춰진 미니쉬를 제작하는 것이 중요한 것임을 말씀 드립니다.
이는 미니쉬뿐 아니라 논현동 라미네이트와 같은 방식을 진행함에 있어서도 개인에 따라 설계된 맞춤 방식을 진행해야 하는 것이 중요함을 알 수 있는 부분입니다.
이러한 과정이 뒷받침 되지 않는다면 치아의 건강을 잃게 될 수도 있어 주의해야 합니다.
더불어, 치아 정돈부터 제작과 결합에 이르기까지 정밀함을 추구하여 진행해야만 완성도 높은 결합을 이뤄낼 수 있습니다.




Previous image Next image
만약 치아 손상으로 인해 논현동 라미네이트나 미니쉬를 고려하고 있다면 현재 치아 상태를 면밀히 살펴본 뒤, 적합한 대응책을 마련할 수 있는 의료진의 기술력과 이해도를 살펴보시기 바랍니다.
특히 미니쉬의 경우 미니쉬 아카데미를 이수해야만 해당 기술을 사용할 수 있기 때문에 반드시 확인해야만 합니다.
현재 본원에서는 보증서를 제공해 드림으로써 미니쉬 멤버스 클리닉 및 닥터 여부를 확인해 볼 수 있으며 오랜 기간 케어를 통해 건강을 유지할 수 있습니다.
미니쉬를 통해 오래도록 사용할 수 있는 치아 건강을 유지해 보시기를 바랍니다.


▼ 건강하게 아름다워지는 미니쉬치과병원이 궁금하다면? ▼

▼ 행복중심의 치과병원 카카오톡 상담 바로가기! ▼

▼ 내원 전 쉽고 빠른 네이버 예약 바로가기! ▼


Explore More
Keep Browsing This Clinic's Korean Content Trail.
Return to the source archive for more posts, or move back to the clinic profile to compare the rest of the clinic's public channels.