미니쉬치과병원ㅣMinish Dental Hospital ㅣミニッシュ歯科病院ㅣ美尼仕牙科医院ㅣ美尼仕牙科醫院
압구정동 라미네이트 필요한 치아 상태라면 미니쉬로 건강하게 회복해요
나이가 들면서 자연스레 신체에 노화가 오면서 건강에 대해서 각별한 관심을 갖게 됩니다. 그 중에서도 일상생활에서 지대한 영향을 미치는 치아를 가장 먼저 생각할 수 밖에 없을 텐데요. 치아가 손상될 경우 저작운동의 불편함을 시작으로 치아의 주요 기능을 제대로 수행할 수 없고, 심미성의 결어 등 다양한 문제가...

나이가 들면서 자연스레 신체에 노화가 오면서 건강에 대해서 각별한 관심을 갖게 됩니다.
그 중에서도 일상생활에서 지대한 영향을 미치는 치아를 가장 먼저 생각할 수 밖에 없을 텐데요.
치아가 손상될 경우 저작운동의 불편함을 시작으로 치아의 주요 기능을 제대로 수행할 수 없고, 심미성의 결어 등 다양한 문제가 생겨나기 때문입니다.
대부분의 치아는 외부 충격과 같은 요인으로 손상되기도 하지만, 노화로 인한 변화도 떼어놓을 수 없습니다.

노화로 인한 치아 변화가 시작되면 기능성이 저하되는 것뿐 아니라, 육안상으로 보이는 것에도 변화가 찾아옵니다.
특히 본격적인 노화가 시작되면 심각한 경우엔 치아 손실까지도 찾아오게 되는 것인데요.
이와 같은 상황에 놓일 경우 압구정동 라미네이트로 개선하기에는 한계가 있습니다.
바로 상실된 치아를 대체할 수 있는 인공치아가 필요하기 때문인데요.

다시 말해, 유실된 치아를 대신하여 자연 치아의 역할을 할 수 있는 방법을 찾아야 합니다.
그렇다면, 미니쉬를 고려할 수 있습니다.
미니쉬는 치아 건강과 더불어 심미성을 확보할 수 있는 방법으로 많은 관심을 받고 있습니다.
무엇보다 상실된 치아의 역할까지 구현할 수 있다는 점이 특징입니다.
오늘은 이와 같은 고민을 가진 경우 도움이 될 수 있는 미니쉬에 대한 소개와 진행 과정을 살펴보도록 하겠습니다.

이전에는 자연 치아가 유실된 경우, 치아의 기능 회복을 위해 임플란트를 심거나 브릿지가 필요하기도 했습니다.
하지만 이는 브릿지의 경우 자연 치아와 상실 된 부위를 연결해야만 하기 때문에 자연 치아에 추가적인 손상이 가해지거나 주변 치아 건강에도 악영향을 줄 수 있다는 점이 우려되었는데요.
이와 같은 점을 보완하여 등장한 것이 미니쉬 과정 중 브릿지 입니다.
노화로 인해 치아가 상실된 경우 이를 통해 자연스럽게 자연 치아의 역할을 대신할 수 있도록 하는 것인데요.
압구정동 라미네이트는 심미에 목적을 두고 있기 때문에 상실된 치아까지는 대체할 수 없으므로 미니쉬 브릿지를 고민하게 되는 경우가 많이 있습니다.

미니쉬는 개선이 필요한 치아 부위에 자연 치아와 유사한 물성의 재료로 코팅하는 방식입니다.
진행 시에는 자연 치아의 표면을 말끔하게 정리하고 치아의 겉면을 코팅하는 과정을 거치게 되는데요.
미니쉬 브릿지 역시 동일한 과정으로 진행되기에 주변 치아 손상에 대한 우려가 적으며, 손상된 부위의 주변 치아를 코팅하고 상실 부위는 형태 그대로 복원해 주어 기능적, 심미적 회복이 가능합니다.
또한, 자연 치아와 유사한 재료를 사용하기 위해 미니쉬테크놀로지㈜에서 미니쉬블록이라는 재료를 공급 받아 사용하고 있습니다.
또한 이는 자연치아와 매우 유사한 물성을 가지고 있기 때문에 비슷한 강도를 보유하고 있는 것은 물론 빛 투과성이나 투명도에서도 유사하다는 점이 특징입니다.
이처럼 미니쉬블록을 통해 보다 건강한 접근이 가능해진 미니쉬가 치아 건강은 물론 심미적인 면에서도 우수함을 보인다는 것을 알 수 있습니다.


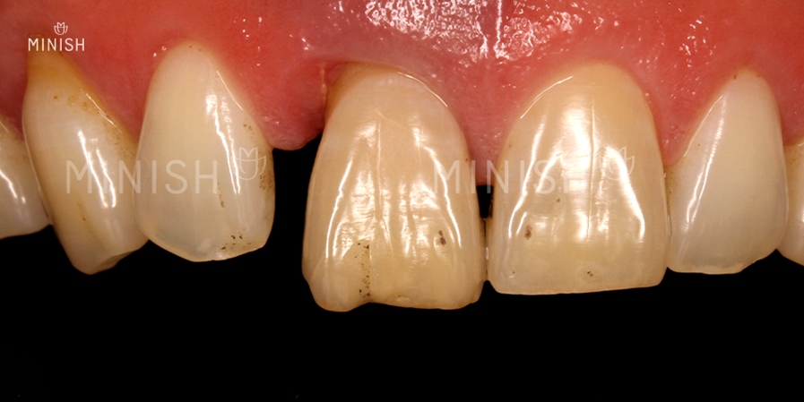
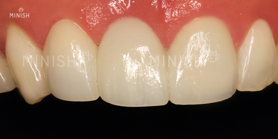
[노화 미니쉬 브릿지]
-질환 : 치아손상, 만성 단순치주염
-촬영일자 : 2021.01.25 / 2021.03.10
-실치료기간 : 45일
이처럼 치아 상실이나 문제점을 건강하게 개선하기 위해 압구정동 라미네이트나 미니쉬 등 대안책을 선정하기 위해서는 진행 과정을 면밀히 살펴보는 것이 중요합니다.
미니쉬의 과정을 살펴보면, 미니쉬 브릿지를 제작하기에 앞서 정밀 검진을 진행하여 맞춤 제작이 가능하도록 합니다.
저마다 생김새가 다르듯 치아 역시 마찬가지로 증상이나 색상, 형태 등에서 차이를 보일 수 있어 이를 고려하여 제작해야 하기 때문입니다.

만약 치아와 잇몸 사이의 보철물이 제대로 밀착되지 않거나 볼록하게 튀어나올 경우 추후 여러 증상이 우려되기에 초기 단계부터 꼼꼼한 진행이 반드시 필요합니다.
무엇보다 미니쉬의 경우 각각의 치아 특성을 고려하여 맞춰 정밀하게 제작되기 때문에 다양한 치아 고민에 적용 가능하다는 특징을 가지고 있습니다.
그 중 미니쉬 브릿지는 치아와 잇몸뼈가 상실된 경우 적용되어 상실된 치아의 기능과 심미성을 복원하는 데 도움을 준다는 것을 알 수 있는데요.
나아가 개인에게 맞는 미니쉬를 적용할 수 있도록 다양한 종류가 있으므로, 이는 의료진과 함께 개인의 치아 상태를 고려하여 선정해 보는 것을 권장하고 있습니다.

거듭 강조 드리지만 이처럼 치아 문제로 인해 미니쉬와 압구정동 라미네이트와 같은 방식을 고민하는 경우, 치아 상태를 비롯해 진행 과정을 면밀히 살펴보는 것이 중요한데요.
미니쉬의 경우 전 과정이 디지털화 되어 있으며, 3d 프린팅 공정 기술을 비롯한 다수의 정밀 장비와 인력을 보유하고 있습니다.
세심한 디자인 설계가 이뤄지고 3d 프린팅 공정 기술을 통해 개인에게 맞춰진 미니쉬를 디자인하고기공사의 수작업을 통해 제작되기에 보다 정교하고 우수한 미니쉬 제작이 가능하다고 할 수 있습니다.
이처럼 개인의 치아가 손상된 범위와 형태에 맞춰 제작되기 때문에 동일한 미니쉬가 존재할 수 없는 것입니다.

치아상실 외에도 틀어지거나 벌어진 경우 등 여러 치아 문제로 미니쉬와 압구정동 라미네이트, 임플란드 등 치과 치료를 고민하고 계신다면 의료진과의 충분한 논의를 통해 이른 시일 내 적합한 방법을 선정하는 것이 중요합니다.
그중 미니쉬를 진행하는 경우 미니쉬 아카데미 이수 여부를 반드시 확인해야 합니다.
미니쉬 아카데미를 이수해야만 해당 솔루션을 사용할 수 있기 때문에 주요하게 살펴보아야 하며, 미니쉬 멤버스 클리닉 및 닥터 여부를 상세히 확인해 보실 수 있습니다.
미니쉬치과병원은 미니쉬테크놀로지의 멤버스 클리닉으로 미니쉬 솔루션이 가능하며 가장 많은 누적 건 수를 보유하고 있어 안심하셔도 좋습니다.
치아 손상 및 유실로 인해 오랜 시간 고민을 갖고 있었다면, 더는 방치하거나 미루지 말고 치아 상태에 적합한 미니쉬 방법을 찾아 적용해 보시기를 바랍니다.
하루 빨리 치아 건강을 되찾아 편안한 일상생활로 돌아가실 수 있기를 바랍니다.


▼ 건강하게 아름다워지는 미니쉬치과병원이 궁금하다면? ▼

▼ 행복중심의 치과병원 카카오톡 상담 바로가기! ▼

▼ 나에게 맞는 미니쉬 타입이 궁금하다면? ▼

▼ 내원 전 쉽고 빠른 네이버 예약 바로가기! ▼


Explore More
Keep Browsing This Clinic's Korean Content Trail.
Return to the source archive for more posts, or move back to the clinic profile to compare the rest of the clinic's public channels.