미니쉬치과병원ㅣMinish Dental Hospital ㅣミニッシュ歯科病院ㅣ美尼仕牙科医院ㅣ美尼仕牙科醫院
벌어진 치아, 무삭제 라미네이트 고민중이라면?
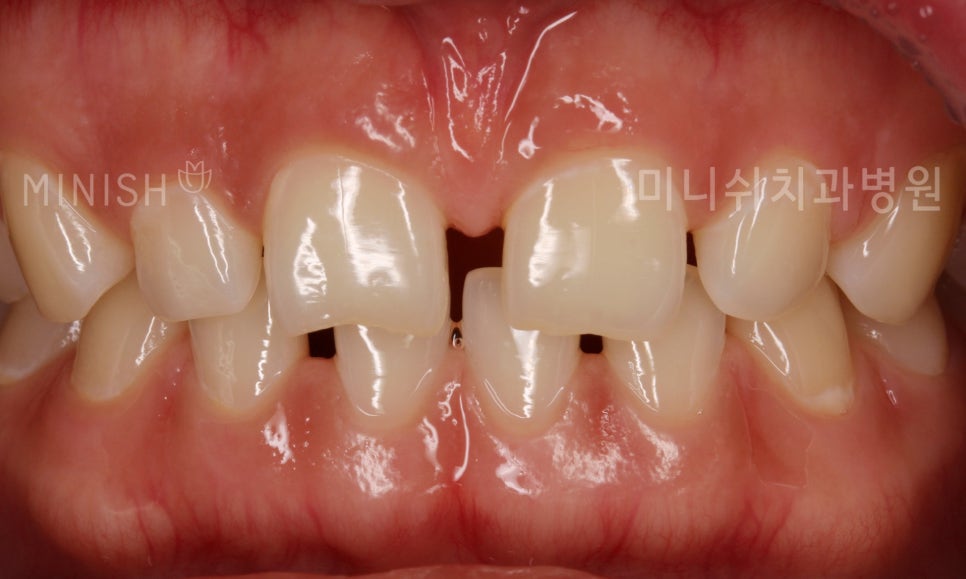
가지런한 치아와 함께 보이는 밝은 미소는 긍적적인 인상을 심어 주기에, 사람의 첫 인상을 결정하는 중요한 요소 중 하나로 손꼽힙니다. 그렇기에 치아 고민이 있는 경우 자신감을 잃게 되고, 일상에서 많은 불편함을 겪게 될 수 있습니다. 특히, 외부 손상으로 인해 치아에 변형이 생기는 등 치아 사이가 벌어지면서 치...

가지런한 치아와 함께 보이는 밝은 미소는 긍적적인 인상을 심어 주기에, 사람의 첫 인상을 결정하는 중요한 요소 중 하나로 손꼽힙니다.
그렇기에 치아 고민이 있는 경우 자신감을 잃게 되고, 일상에서 많은 불편함을 겪게 될 수 있습니다.
특히, 외부 손상으로 인해 치아에 변형이 생기는 등 치아 사이가 벌어지면서 치열이 틀어지는 사례를 볼 수 있는데요.
이러한 이유로 많은 분들이 벌어진 치아 라미네이트를 많이 고려하기도 합니다.

벌어진 치아 라미네이트를 찾는 경우를 살펴보면 심미적 개선을 위한 목적이 대다수입니다.
하지만 일부 케이스는 심미적인 개선을 위해서 자연 치아를 불필요하게 삭제하기도 하는데요
문제가 있는 치아 치료를 위해서 다른 자연치아에도 손상을 가하는 것은 전체적인 구강건강을 고려하지 않는 것이기에 적합한 치과치료라고 볼 수 없습니다.
이에 최근 미니쉬와 같은 방법에 많은 사람들이 자연스럽게 관심을 갖고 있습니다.
미니쉬 솔루션은 미니쉬테크놀로지㈜에서 공급받는 재료를 사용하는데요.
자연 치아와 유사한 투명도와 심미성을 보유하고 있는 것이 특징이며, 물성까지도 비슷해 손상된 치아를 보다 건강하게 하는 것은 물론 기능 회복에도 효과적이어서 수월한 저작 운동이 가능합니다.
또 주변 자연 치아에도 손상을 최소화해 오래도록 건강하게 사용 할 수 있습니다.

미니쉬를 진행하는 경우 정밀한 검진과 상담을 거친 뒤 잇몸 건강을 보완하고 제작에 돌입하게 됩니다.
다음으로 개인 치아에 맞춰 제작된 것을 결합한 뒤 피팅 체크를 진행, 치아에 잘 부착되었는지, 교합에는 문제가 없는지 등을 확인함으로써 마무리 되는 것입니다.
이와 같은 치아 코팅 진료 진행 시, 정밀함이 우선시 되어야만 합니다.
치아나 잇몸, 재료 사이에 틈이 생길 경우 추후 각종 구강 질환을 야기할 수 있기 때문인데요.
이를 방지하기 위해서는 변연봉쇄가 잘 되어야 합니다.
이는 치아와 잇몸 사이의 경계에 틈새가 없이 정밀히 결합되는 것을 말합니다.
따라서 수복물과 자연 치아의 밀착 여부를 확인하고, 진행 직후에도 꾸준한 관리를 이어나가는 것이 필요합니다.

나아가 미니쉬는 모든 치아 고민 개선에 적용 가능하다는 특징을 가지고 있습니다.
다시 말해 문제가 되는 치아의 위치와 손상 범위 등에 따라 상이하게 적용할 수 있는 것인데요
외부 충격으로 인해 실금이 가서 깨지거나, 어금니가 파절된 경우 등 원인에 따라 달리 나타나는 양상을 살펴 적합한 방식으로 치아 코팅을 진행합니다.
다양한 원인으로 손상된 치아를 자연스럽게 코팅할 수 있는 여러가지 선택지가 있기에 나에게 맞는 미니쉬 솔루션을 선택함으로써, 고민이었던 문제들을 개선함과 동시에 오랫동안 내 자연 치아를 건강하게 유지할 수 있습니다.

벌어진 치아 라미네이트를 고려하고 계신다면, 반드시 현재 내 자연치아를 얼마나 보존하면서 치료가 가능한 상태인지 인지하셔야 합니다.
벌어진 치아의 경우, 개인의 치아 상태에 따라 차이가 있을 순 있으나 이미 치아 간격이 벌어진 상태이기 때문에 치료 과정에서 인접 자연 치아의 손상을 줄일 수 있으나 반드시 건강이 우선시 되는 것인지 고려하여 나에게 적합한 치료방법을 선택하셔야 합니다.

나에게 꼭 맞는 건강한 치아를 오래도록 사용하기 위해
외상 혹은 노화 및 치주질환등으로 손상이 생긴 치아는 저마다 생김새가 다른데요.
그렇기에 미니쉬는 3D 프린터를 비롯한 각종 장비를 함께 사용하고 있으며, 개인에 따라 적합한 디자인 설계를 바탕으로 제작됩니다.
해당 과정을 통해 모두에게 동일한 결과물이 아니라, 개인에게 맞는 단 하나의 미니쉬가 만들어지는 것이죠.
마치 사람마다 생김새와 지문이 모두 다르듯, 똑같은 치아는 존재할 수 없다고 이야기하는 이유이기도 한데요.
이를 위해 10년 이상의 치아 코팅 노하우를 보유한 의료진이 상주하며 세심한 진료와 진행을 도와드리고 있습니다.
평생을 사용해야 하는 치아인 만큼 신중한 판단을 통해 기능을 회복하는 건강함은 물론 심미적인 아름다움까지 경험해 보시기를 바랍니다.

미니쉬치과병원 서울특별시 강남구 언주로 728


Explore More
Keep Browsing This Clinic's Korean Content Trail.
Return to the source archive for more posts, or move back to the clinic profile to compare the rest of the clinic's public channels.