미니쉬치과병원ㅣMinish Dental Hospital ㅣミニッシュ歯科病院ㅣ美尼仕牙科医院ㅣ美尼仕牙科醫院
강남구치과, 벌어지고 깨진 치아 미니쉬로 정교하게 개선!
안녕하세요 구강 건강과 아름다움을 동시에 만족시켜 드리는 미니쉬치과병원입니다. 상대방과 대화를 나누거나 밝게 미소 지을 때 많은 이들의 시선이 가장 먼저 머무는 곳이 바로 치아가 아닐까 합니다. 그중에서도 앞니가 가장 두드러지게 눈에 띌 것입니다. 그렇기 때문에 앞니가 벌어지거나 삐뚤어진 사람들은 말하거...

안녕하세요 구강 건강과 아름다움을 동시에 만족시켜 드리는 미니쉬치과병원입니다.
상대방과 대화를 나누거나 밝게 미소 지을 때 많은 이들의 시선이 가장 먼저 머무는 곳이 바로 치아가 아닐까 합니다.
그중에서도 앞니가 가장 두드러지게 눈에 띌 것입니다.
그렇기 때문에 앞니가 벌어지거나 삐뚤어진 사람들은 말하거나 웃을 때 자기도 모르게 입을 가리게 되는데요.
특히 외모에 관심이 많은 사람들은 벌어지거나 삐뚤어진 앞니가 콤플렉스로 느껴질 만큼 신경이 쓰일 겁니다.
그래서 오늘은 앞니와 관련된 다양한 문제들을 자연치와 유사한 모습으로 개선하는 방법에 대해 강남구치과와 함께 알아보는 시간을 가지도록 하겠습니다.

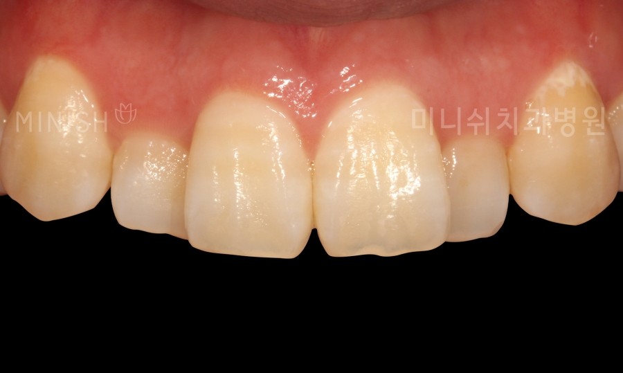
앞니의 문제를 호소하며 강남구치과를 찾는 분들을 보면 벌어지거나 삐뚤어진 치아는 단순히 심미적인 부분뿐 아니라 다양한 치아 기능에도 악영향을 주는 경우가 많았는데요
고른 치아에 비해 음식물이 잘 끼고, 제거 역시 쉽지 않아 충치나 치주 질환에 노출되기 쉬웠고, 벌어진 치아 사이로 발음이 새는 경우도 종종 있었습니다.
그 외에 치아 색이 변색된 경우나, 치조골에 비해 치아가 왜소한 경우, 치아 표면이 거칠어 충치가 발생하기 쉬운 치아를 가진 사람들도 앞니 문제를 개선하기 위해 본원을 내원해 주고 계십니다.


Previous image Next image
이처럼 앞니의 어려움에 대해 많은 사람들이 고민하고 있으며 그에 대한 개선법도 다양하게 존재하고 있지만, 가장 중요한 것은 자연 치아와 유사한 재료를 활용해 치아를 틈새 없이 코팅함으로써 치아 본연의 저작 기능은 물론 심미성까지 복원할 수 있는 방법을 찾는 게 좋습니다.
그래서 강남구치과에서는 앞니의 파절이나, 충치, 벌어진 치아, 치아 변색, 왜소치 등의 다양한 치아 관련 문제들을 미니쉬를 통해 개선할 수 있도록 접근하고 있습니다.

미니쉬 솔루션은 구강에 나타나고 있는 다양한 치아 문제 또는 손상된 치아에 대해 자연치아와 가장 유사한 재료를 사용하여 심미적이고 기능적인 부분을 개선하는 방법입니다.
인간의 치아는 여러 구성 물질이 모여 하나의 치아를 이루고 있는 복합체로 치아 수복 시에도 이러한 특징을 고려해야 하는데요.
미니쉬는 이러한 자연치아를 구성하는 단단한 성질의 에나멜과 유연한 성질의 상아질에 맞게 비슷한 재료를 사용, 자연 치아와 유사한 강도 및 형태를 가진 보철물을 코팅을 하는 방식으로 진행됩니다.

강남구치과에서는 치아 부위별 문제에 따라 다양한 미니쉬를 추천 드리고 있는데요.
어금니 충치나 파절에는 구치부 미니쉬를, 잇몸이 내려간 경우 핑크 미니쉬를, 치아가 마모됐거나 부식, 파절 된 경우에는 듀얼 미니쉬를, 치아를 상실한 경우에는 미니쉬 브릿지를 통해 치아 문제를 개선하고 있습니다.
따라서 본인의 치아건강에 문제가 생겼다면, 내원을 하여 의료진과의 상담을 통해서 본인에게 적합한 미니쉬 솔루션을 안내 받아 보시기를 권장드립니다.

벌어진 치아의 경우 잇몸의 상태가 좋지 않거나 치조골에 비해 치아가 작을 때 치아 사이가 벌어지는데 단순히 심미적인 부분만 고려하여 접근할 경우 같은 문제가 반복될 수 있습니다.
그렇기 때문에 본원에서는 치아가 벌어진 원인을 명확히 파악하여 치아 및 잇몸의 건강을 함께 살피며, 미니쉬 솔루션을 통해 심미적인 기능까지 같이 보완하고 있습니다.
또한 선천적으로 치아 표면이 고르지 못하거나 치아 교정 이후 치아 표면이 거칠어진 경우도 간혹 발생 하는 데 이를 방치할 경우 충치를 유발할 가능성이 높아 치아의 표면 정리를 통한 치아 문제 개선도 가능합니다.



Previous image Next image
벌어진 치아를 비롯한 앞니의 다양한 문제에 대해 미니쉬를 진행할 때 가장 중요한 것은 정밀한 기술을 바탕으로 한 빈틈 없는 결합이라 할 수 있는데요.
치아와 재료 또는 잇몸과 재료 사이에 미세한 틈이 있는 채로 결합을 할 경우 향후 치아에 문제가 될 수 있기 때문입니다.
이처럼 잘못된 결합은 치아와 재료 사이로 세균이 증식할 수 있는 환경을 만들어 충치가 발생할 수 있고 이로 인해 이가 아프거나 시림, 잇몸이 붓는 현상은 치아 수복 후 오랜 시간이 지난 후 발견되기 때문에 충치의 명확한 원인을 지목하기가 쉽지 않아집니다.
그렇기 때문에 충분한 임상 케이스를 통해 틈새 없이 정밀하게 결합하는 노하우를 가지고 있는 치과를 찾을 필요가 있습니다.

강남구치과에서는 다양한 앞니 문제에 있어 미니쉬를 정밀하게 결합하기 위해 먼저 구강 스캔을 진행하고 있는데요
모든 사람들은 다른 구강 구조를 가지고 있으며 치아의 모양과 크기, 역시 조금씩은 다릅니다.
그렇기 때문에 개개인에게 적합한 미니쉬를 제작, 결합하기 위해 정밀한 구강 스캔을 진행한 후 디지털 정보를 전환하여 기공소로 전송하고 있죠.
이러한 과정은 본을 뜨는 과정에서 발생할 수 있는 수복 재료의 변형으로 인한 오차를 줄여주고 있습니다.

또한 본원에서는 미니쉬테크놀로지(주)로부터 자연치아의 강도와 투명도 그리고 빛 투과성까지 유사한 '미니쉬 전용 블록'을 공급받아 평균 10년 이상의 임상경험과 노하우를 바탕으로 개개인의 구강구조 및 주변 치아와 명확하게 일치하는 미니쉬를 정밀하게 제작합니다.
보철의 완성도가 치아의 수명을 결정한다는 말이 있는데요.
나아가 미니쉬는 정밀하게 제작된 보철을 빈틈 없이 결합함으로써 오랜 시간 자연치아처럼 사용할 수 있는 장점이 있습니다.

치아는 인간이 살아가는 평생을 사용해야 하는 중요한 부위입니다.
인간의 수명이 길어지고 다양한 먹을거리와 음식의 즐거움이 커지면서 치아 건강을 위협하는 요소 역시 많아지고 있지만 치아를 보다 건강하게 사용할 수 있는 방법 또한 계속적으로 발전하고 있습니다.
구강의 기능적인 부분과 심미적인 부분을 모두 챙길 수 있는 강남구치과 미니쉬솔루션을 통해 건강하고 아름다운 치아 자신감을 누리시길 바랍니다.


▼ 건강하게 아름다워지는 미니쉬치과병원이 궁금하다면? ▼

▼ 행복중심의 치과병원 카카오톡 상담 바로가기! ▼

▼ 나에게 맞는 미니쉬 타입이 궁금하다면? ▼

▼ 내원 전 쉽고 빠른 네이버 예약 바로가기! ▼


Explore More
Keep Browsing This Clinic's Korean Content Trail.
Return to the source archive for more posts, or move back to the clinic profile to compare the rest of the clinic's public channels.