미니쉬치과병원ㅣMinish Dental Hospital ㅣミニッシュ歯科病院ㅣ美尼仕牙科医院ㅣ美尼仕牙科醫院
어금니깨짐 방치 하지말고 어금니미니쉬로 개선해보시기 바랍니다.
안녕하세요. 구강 건강과 아름다움을 동시에 만족시켜 드리는 미니쉬치과병원입니다. 치아는 단단해서 어지간한 충격에 잘 손상되지 않지만, 치아가 견딜 수 있는 정도를 넘어선 충격이 가해진다면 결국 금이 가거나 부러지게 됩니다. 이러한 문제는 생각보다 흔히 발생하는데요. 부딪히거나 넘어져 앞니 깨짐이 나타나기...

안녕하세요. 구강 건강과 아름다움을 동시에 만족시켜 드리는 미니쉬치과병원입니다.
치아는 단단해서 어지간한 충격에 잘 손상되지 않지만, 치아가 견딜 수 있는 정도를 넘어선 충격이 가해진다면 결국 금이 가거나 부러지게 됩니다.
이러한 문제는 생각보다 흔히 발생하는데요.
부딪히거나 넘어져 앞니 깨짐이 나타나기도 하고, 딱딱한 음식을 섭취하다가 어금니깨짐이 발생하기도 합니다.

일반적으로 피부는 상처가 나도 시간이 흐르면 재생되어 본래 상태로 돌아오지만, 치아는 그렇지 않습니다.
치아는 자연적인 복구 능력이 존재하지 않기 때문입니다.
따라서 앞니나 어금니깨짐을 그냥 내버려 둔다면 음식물을 섭취할 때마다 해당 부위에 충격이 가해지면서 손상도가 더 커질 수 있습니다.
이런 경우 음식을 먹지 않을 때도 아프고 시린 증상이 나타나게 되며, 결국은 치아를 발치해야 하는 상황에까지 이를 수 있습니다.

그러므로 어금니깨짐이 일어났다면 가능한 신속하게 대응하는 것이 바람직합니다.
보통은 깨진 부위를 메워 치아 기능성을 되찾아주는 방법이 흔히 사용되는데요.
이때 무조건 단단한 재료만 사용한다면 지나치게 강한 파절 강도 때문에 깨지거나 맞닿은 치아가 마모되는 등 추가적인 문제가 발생할 수 있습니다.
또한 기존 치아색와 재료의 색이 너무 다르면 말하거나 웃을 때마다 신경이 쓰여 스트레이스가 쌓이고 일상생활 속 자신감 결여로 이어질 수 있습니다.
이런 경우, 치아의 기능도 회복하면서 심미적으로도 우수한 미니쉬솔루션을 통해 도움을 받으실 수 있습니다.

미니쉬 솔루션은 자연치아와 가장 유사한 재료를 이용해 깨진 치아 부위를 얇고 정밀하게 코팅함으로써 더 이상 금이 가거나 깨지지 않도록 하며 본연의 기능성을 되찾아주는 방법입니다.
치아가 제 기능인 저작운동을 하기 위해선 치아의 가장 겉부분인 에나멜의 단단함과 바로 안쪽의 덴틴의 유연함이 필요한데요.
미니쉬는 이러한 자연치아의 구성 물질과 특성을 고려해 수복하기 때문에 원래의 건강한 치아 상태로 되돌려 기능성을 회복합니다.
게다가 솔루션에 사용되는 재료의 투명도와 빛 투과성도 뛰어나기에, 기능성과 더불어 심미성까지 되찾을 수 있다는 이점도 있습니다.
또한 3D 스캐너로 구강 내 보이지 않는 부위까지 정확하게 스캔 후 3D 프린터로 모형을 출력, 밀링 머신으로 1차 가공 후 다년간의 경력을 지닌 전문 기공사의 손길로 2차 가공되기 때문에 정밀하고 얇은 미니쉬 제작물이 완성되어 밀착력과 결합력이 우수합니다.

본원에서는 사전에 정밀검진을 통해 치아의 개별적인 특성을 상세하게 고려하고 있습니다.
구체적으로 얼마나 손상되었는지, 인접 치아나 잇몸의 상태는 양호한지, 치아의 색상과 크기, 형태는 어떠한지 등을 살피는 것인데요
이후 검진 내용을 기반으로 알맞은 미니쉬솔루션을 선택하고, 개개인의 치아에 맞는 미니쉬를 제작 및 결합하고 있습니다.


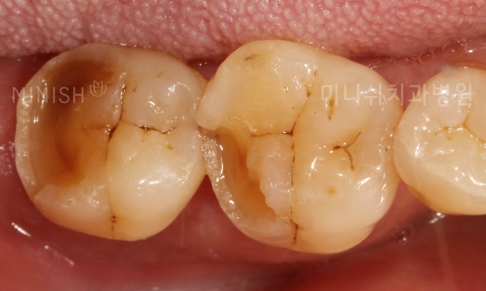
어금니깨짐에 대해서는 어금니 미니쉬를 진행하고 있습니다.
어금니는 다른 치아에 비해 크기가 크고 표면이 울퉁불퉁하다는 특징이 있습니다. 씹는 힘 역시 매우 강하죠.
따라서 남은 자연치아를 잘 보존하면서 보철물과 본래 치아 사이에 틈이 발생하지 않도록 밀착시키는 것이 중요한데요.
미니쉬 솔루션은 앞서 말씀드린 바와 같이 굴곡진 형태까지도 개인의 상태를 고려해 제작하기 때문에 틈새 없이 수복이 가능하며, 자연 치아 그대로 복구하여 씹는 힘이 강한 어금니도 다시금 건강을 되찾을 수 있습니다.
어금니미니쉬는 충치가 광범위하게 발생한 경우, 치아에 실금이 생긴 경우, 치아에 파절이나 마모가 일어난 경우, 신경 관리를 진행한 경우 등 모든 케이스에 두루 적용될 수 있습니다.

어금니깨짐으로 미니쉬를 진행한다면 먼저 상담을 통해 구체적으로 어떤 문제가 있는지, 경험하고 있는 증상은 무엇인지 등을 파악합니다.
이후 담당 주치의와 상담을 통해 솔루션 계획을 세운 후 치아 모형을 체득하는데요.
이때 전체적인 안모 조화까지 분석하면서 심미성을 확보하고 있습니다.
치아 표면을 정돈하면서 인상 채득을 시행한 후, 치아 디자인을 상담하면서 미니쉬 제작을 준비합니다.
모든 준비 단계가 끝나면 최종적으로 디자인을 점검하고 손상 치아에 미니쉬를 결합, 교합 교정을 진행하는데요.
이처럼 체계적인 과정을 통해 치아가 복구되면 편안한 저작활동이 가능해지며, 자연스럽게 아름다운 스마일 라인까지 얻게 되실 수 있습니다.

더불어 본원에서는 어금니미니쉬를 통해서 복구된 치아에 대해 철저한 사후 관리를 진행하여, 건강한 치아를 오래 유지하실 수 있도록 도와드리고 있습니다.
공들여 복구한 치아가 또 다시 손상된다면 심한 스트레스를 받을 수밖에 없으며, 반복된 치아 치료는 오히려 자연치아에 부담을 줄 수 있습니다.
미니쉬는 건강한 자연 치아와 같은 상태로 복구하는 것이기 때문에 별다른 주의사항이 없으며, 간혹 발생할 수 있는 문제에 대해서는 최장 10년 간의 보증기간을 보장해 철저한 케어를 도와 드리고 있습니다.

어금니깨짐이 일어났을 때 어디에서나 미니쉬를 진행할 수 있는 것은 아닙니다.
본원에서는 미니쉬아카데미 수료 후 실습 10시간, 보수교육 연 2회, 증례 발표 및 심사절차를 통과한 미니쉬 멤버스 닥터 자격을 갖춘 의료진만이 체계적인 시스템아래 미니쉬를 진행하고 있습니다.
미니쉬테크놀로지㈜에서 공급받은 정품 미니쉬블록을 사용하는데, 이 재료는 자연치아와 가장 유사한 재료를 사용하기에 코팅 이후에도 적은 이질감으로 사용이 가능합니다.


미니쉬치과병원에서는 다수의 경험과 정밀한 기술력을 보유한 의료진이 개개인에 맞는 과정을 통해 치아건강을 되찾아드리고 있습니다.
그러니 어금니깨짐 현상을 비롯한 모든 이상이 생겼다면 빠르게 내원하여, 기능성과 심미성 모두를 복구하시기 바라겠습니다.


▼ 어금니미니쉬에 대해 더 알아보려면 ▼

▼ 미니쉬치과병원의 어금니 진료, 카카오톡 상담 바로가기! ▼

▼ 어금니 깨졌을 때 미니쉬로 관리하고 싶다면 ▼

▼ 방문하기 전에는 네이버 예약으로! ▼


Explore More
Keep Browsing This Clinic's Korean Content Trail.
Return to the source archive for more posts, or move back to the clinic profile to compare the rest of the clinic's public channels.