미니쉬치과병원ㅣMinish Dental Hospital ㅣミニッシュ歯科病院ㅣ美尼仕牙科医院ㅣ美尼仕牙科醫院
치아 사이에 구멍? 블랙트라이앵글!
안녕하세요. 구강 건강과 아름다움을 동시에 만족시켜 드리는 미니쉬치과병원입니다. 혹시 치아 블랙트라이앵글에 대해서 들어보신 적이 있으신가요? 치아와 잇몸 사이에 생기는 삼각형 모양의 검은 공간을 의미 하는데요. 치아를 교정하는 과정에서 겹쳐져 있는 치아가 벌어져 해당 공간이 드러나는 경우도 있으며, 노화로...
안녕하세요. 구강 건강과 아름다움을 동시에 만족시켜 드리는 미니쉬치과병원입니다.

혹시 치아 블랙트라이앵글에 대해서 들어보신 적이 있으신가요?
치아와 잇몸 사이에 생기는 삼각형 모양의 검은 공간을 의미 하는데요.
치아를 교정하는 과정에서 겹쳐져 있는 치아가 벌어져 해당 공간이 드러나는 경우도 있으며, 노화로 인해 잇몸이 내려앉게 되면서 치아와 치아 사이의 공간이 커지게 돼 발생하기도 합니다.
문제는 이러한 증상이 치주 질환이 진행되고 있다는 것을 나타내는 신호라는 점입니다.

즉, 치아를 잡아주고 있던 잇몸의 탄력이 노화나 잇몸에 자극을 주는 습관들로 인해 점차 감소하게 되면서 치아의 사이가 벌어지면서 다음과 같은 증상이 발생하게 됩니다.
단순히 심미적인 부분에서도 부정적인 영향을 주기 때문에 관리를 해야 하지만 이러한 틈을 결국 방치하게 된다면 음식물이 잘 끼게 되고 이로 인해 충치와 같은 잇몸 질환에 노출되어 합병증을 유발할 수도 있습니다.

치아 블랙트라이앵글 증상이 나타난 초기에는 스케일링과 철저한 위생 관리만으로도 증상이 커지는 것을 충분히 막을 수 있습니다.
하지만 만일 증상이 이미 충분히 진행됐고, 공간이 점점 커져 치아의 사이를 밀어내고 있다면 적절한 보강 과정이 필요하게 됩니다.
특히나 한 번 내려간 잇몸은 스스로 채워지는 경우가 없기 때문에 이를 보강하여 다시금 자연 치아 및 잇몸과 비슷한 형태를 만들어낼 수 있어야 합니다.
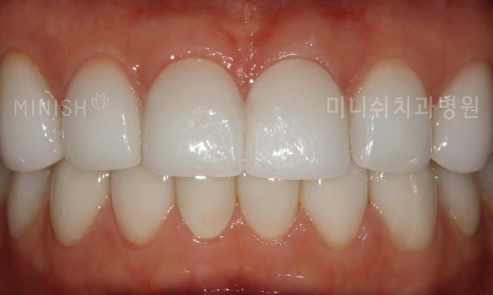
대표적인 과정이 바로 핑크 미니쉬 솔루션 입니다.

핑크 미니쉬는 미니쉬 솔루션 중 하나로 잇몸과 치아의 기능을 케어하여 자연 치아를 수복하는 과정입니다. 즉, 비어있는 검은 공간을 채워주는 것입니다.
미니쉬 기술은 구강에 발생한 문제를 관리하기 위해 치아의 표면을 불필요하게 정리하지 않고 치아의 손상된 부분만 코팅하고 있습니다.
치아와 잇몸 사이의 보철물이 볼록해 보이는 오버 컨투어 현상 없이 치아를 얇고 정교하게 코팅하기 때문에 자연스러운 결과를 확인해 보실 수 있습니다.

이렇게 자연치아와 비슷할 정도로 기능을 수복할 수 있는 이유는 개인의 치아나 잇몸의 상태와 비슷할 정도로 정교하게 제작되기 때문입니다.
실제 미니쉬 제작에 들어가기 전 개인의 구강 상태나 구조 등을 면밀히 검사하고 이를 토대로 솔루션에 들어갑니다.
특히 앞니와 같이 평평한 부분이나 어금니와 같이 굴곡지고 울퉁불퉁한 치아까지도 정밀하게 코팅할 수 있기 때문에 노화가 진행될 수 있는 28개의 모든 치아에 적용이 가능합니다.
더불어 미니쉬테크놀로지㈜에서 공급받은 미니쉬 재료인 미니쉬 블록을 통해 치아의 기능 회복은 물론 심미적인 부분까지 개선할 수 있습니다.
미니쉬 블록은 자연 치아와 가장 유사한 강도, 투명도, 빛 투과성을 지닌 재료로써 이를 통해 자연스럽게 수복되는 치아를 경험해 보실 수 있습니다.

미니쉬는 손상을 입은 치아와 아직 건강한 자연 치아를 모두 고려할 수 있는 솔루션으로 치아를 코팅하기 때문에 치아를 보호해 주는 것은 물론이고 더욱 오랫동안 건강을 유지할 수 있도록 도와주고 있습니다.
치아 블랙트라이앵글과 같은 증상이 발생했다면 미니쉬 솔루션을 통해 구강 건강을 관리해 보시길 바랍니다.
Explore More
Keep Browsing This Clinic's Korean Content Trail.
Return to the source archive for more posts, or move back to the clinic profile to compare the rest of the clinic's public channels.