미니쉬치과병원ㅣMinish Dental Hospital ㅣミニッシュ歯科病院ㅣ美尼仕牙科医院ㅣ美尼仕牙科醫院
앞니 손상이 걱정된다면 치아미니쉬
안녕하세요. 구강 건강과 아름다움을 동시에 만족시켜 드리는 미니쉬치과병원입니다. 겉으로는 단단해 보이는 우리 치아는 사실 딱딱한 음식이나 충격에 의해 의외로 쉽게 치아 손상을 경험할 수 있습니다. 특히 활동량이 왕성한 젊은 층에 있어서 부득이한 치아 손상을 많이 경험하게 되는데요. 손상 정도가 치아를 감싸고...
안녕하세요. 구강 건강과 아름다움을 동시에 만족시켜 드리는 미니쉬치과병원입니다.
겉으로는 단단해 보이는 우리 치아는 사실 딱딱한 음식이나 충격에 의해 의외로 쉽게 치아 손상을 경험할 수 있습니다.
특히 활동량이 왕성한 젊은 층에 있어서 부득이한 치아 손상을 많이 경험하게 되는데요.

손상 정도가 치아를 감싸고 있는 법랑질(에나멜)에만 해당이 된다면 통증이나 이상을 느끼지 못해 방치하시는 경우가 많습니다.
그런데 이런 손상을 장기간 방치하게 되면 나중에는 내부에 존재하는 상아질, 치수에 세균이 침입할 가능성이 높기 때문에 이를 무시하시면 안 되는데요.
게다가 앞니에 문제가 발생하게 될 경우 심미적으로도 좋지 않아 대외활동을 할 때 위축될 가능성도 있습니다.
이런 치아손상이 발생했을 때 개선 할 수 있는 방법으로는 대표적으로 라미네이트가 존재합니다.
라미네이트 부작용이 걱정돼요..


어떠한 치료든지 부작용이 따르기 마련입니다.
라미네이트도 마찬가지인데요
대표적으로 불필요한 추가 치아 손상으로 상아질이 드러날 경우 이가 시리다거나 강한 힘을 받을 경우 보철물이 파절될 수 있다는 단점이 있는데요. 이처럼 겉으로는 예뻐보여서 좋아 보이지만 사실은 치아 건강에는 좋지 않다는 문제 제기가 많았습니다.
물론 의료진 실력에 의해서 차이는 있겠지만 부득이하게 결과를 좋게 하기 위해서는 많은 치아 손상이 필요할 수도 있는데요. 치아에 손상이 생겼어도 라미네이트를 선택하기가 망설여지는 분도 계실 겁니다. 이런 분들께 치아미니쉬가 좋은 답이 될 수 있을 것 같아요


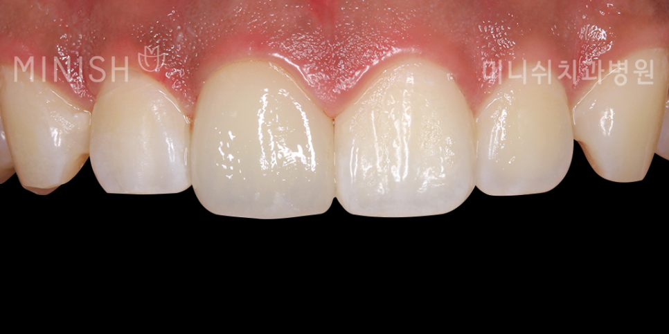
질환 : 치아파절
촬영일자 : 2014.03.21 | 2014.03.21
실치료기간 : 1일
개인에 따라 치료 기간이 다를 수 있으며 부작용이 생길 수 있으니 의료진의 정확한 진료를 받고 치료하시기 바랍니다.
자연치아를 손상시키지 않고 보존하는 방법, 치아미니쉬
미니쉬는 자연 치아와 가장 유사한 재료를 이용해 치아 표면을 얇게 코팅하는 솔루션입니다.
얇고 틈새없이 완벽하게 자연치아와 결합 할 경우 외부 자극이나 2차 세균 침투에 대한 걱정을 덜 수 있는데요.
미니쉬는 환자의 치아 상태에 따라 여러 가지 솔루션 방법이 존재합니다.
만약 치아 손상이나 치아 부러짐을 경험하신 분이라면 듀얼 미니쉬 방법이 도움이 될 수 있을 것 같은데요
듀얼 미니쉬 같은 경우 광범위하게 손상된 앞니의 저작 능력, 심미적 능력 모두 회복이 가능합니다.
이외에도 핑크 미니쉬, 미니쉬브릿지등 다양한 미니쉬 솔루션이 있어서 치아가 손상이 생기거나 파절된 경우 더 나아가 상실되었을 때에도 적용이 가능합니다. 케이스에 따라서 치료방법을 선택할 수 있습니다.

미니쉬는 자연치아와 가장 유사한 물성의 재료인 미니쉬 블록으로 진행을 하는데요.
미니쉬테크놀로지㈜로부터 공급을 받는 미니쉬블록은 자연치아와 비슷한 정도의 강도, 투명도, 뛰어난 빛 투과성, 색상, 질감 등을 갖고 있습니다. 그렇기에 자연치아와 유사한 심미적인 개선은 물론 동시에 기능적인 개선도 가능합니다.

치아는 어디까지나 저작 능력이 잘 기능해야 합니다. 앞니도 마찬가지 인데요.
앞니 같은 경우 어금니에 비해 저작 능력이 강조되는 편은 아니지만, 앞니 또한 자기만의 역할이 있습니다.
심미적인 부분 이외에도 앞니 같은 경우 면 같은 음식물을 잘라 주는 역할을 합니다.
듀얼미니쉬 같은 경우 이러한 기능이 올바르게 수행될 수 있도록 자연치아의 전면 즉, 순면과 설면을 틈새 없이 감싸주어 기능적 회복 및 보호를 합니다.
그래서 틀어진치아뿐 아니라 벌어지고 깨지고 더 나아가 어금니까지 손상된 모든 치아를 건강하고 심미적으로도 복원이 가능하죠.

치아는 모두 다른 형태를 갖고 있습니다.
이렇듯 본연의 저작 기능과 심미적 기능을 동시에 개선해주는 치아미니쉬이지만 얼마나 꼼꼼하고 체계적으로 잘 진행 하는지에 따라서 본인의 만족도가 결정지어집니다.
일단 듀얼 미니쉬를 하는 과정을 살펴보면 얼마나 체계적인 시스템을 통해 진행되는지 알 수 있는데요
먼저 최첨단 장비인 3D스캐너로 환자의 구강을 스캔하면 전문 기공사가 치아 디자인을 실시합니다.
이때 치아 디자인은 치아 간의 비율, 형태, 손상 범위 등 전체적인 안모(얼굴 생김새)까지 고려해 만들어집니다. 그렇기 때문에 사람의 지문처럼 완성된 미니쉬를 보면 단 하나도 같은 것이 존재하지 않습니다.



세밀한 치아 디자인이 완료되면 3D 프린터를 이용해 모형부터 제작하게 되는데요
모형이 완성되면 이를 토대로 미니쉬블록을 한 치의 오차가 없는 밀링머신을 사용해 으로 1차 가공에 들어갑니다.
이후 다년간의 베테랑 전문 기공사들이 0.1mm까지 수작업으로 더욱 얇고 정밀하게 2차 가공되면 미니쉬 보철물이 완성되는 것이죠. 얇고 정밀하게 만드는 이유는 불필요한 자연치아 삭제 없이, 완벽한 결합을 통한 틈새없는 변연봉쇄로 2차 세균 침투를 막기 위함 입니다.
이렇듯 미니쉬 제작 과정을 보면 차별화된 기술력은 물론 세밀한 작업이 수반되기에 1일에 제작하는 수량이 한정되어 있습니다.
미니쉬 치과병원에서는 이런 이유로 100% 예약제로 운영하고 있는데요. 환자 한 분 한 분 정성을 다하는 이런 진료 방법 덕택에 본원의 치아미니쉬는 특별함을 가지고 있습니다. 완성된 미니쉬를 자연치아와 결합한 후에는 교합이 잘 되었는지 꼼꼼한 과정을 거치기도 하는데요
이후 스마일 라인 체크를 하여 환자분이 건강한 치아로 아름다운 미소를 지을 수 있도록 안내해 드리고 있습니다.
그리고 사후에 문제가 생기지 않도록 미니쉬 정품 시스템을 통해 3년부터 최장 10년까지 사후관리를실시하고 있기에 더욱 신뢰하고 방문하실 수 있습니다
이제는 치아 손상, 치아 부러짐이 있다면 치아 건강은 물론이고 심미적인 부분까지 만족스러운 미니쉬를 선택해보시면 어떨까 합니다.


▼ 건강하게 아름다워지는 미니쉬치과병원이 궁금하다면? ▼

▼ 행복중심의 치과병원 카카오톡 상담 바로가기! ▼

▼ 나에게 맞는 미니쉬 타입이 궁금하다면? ▼

▼ 내원 전 쉽고 빠른 네이버 예약 바로가기! ▼


Explore More
Keep Browsing This Clinic's Korean Content Trail.
Return to the source archive for more posts, or move back to the clinic profile to compare the rest of the clinic's public channels.