미니쉬치과병원ㅣMinish Dental Hospital ㅣミニッシュ歯科病院ㅣ美尼仕牙科医院ㅣ美尼仕牙科醫院
깨진 치아, 라미네이트 말고 건강한 치료하자!
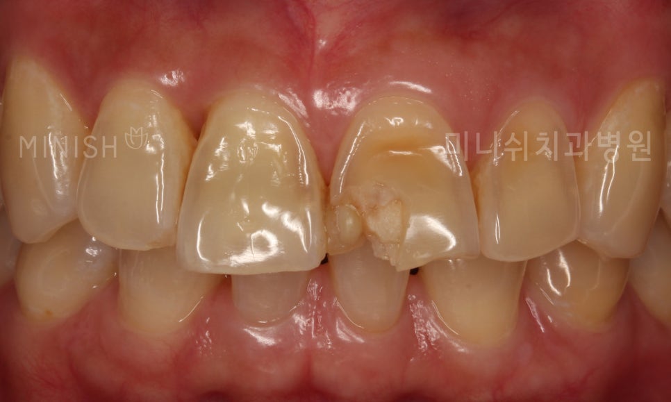
깨진 치아 라미네이트 이외에도 적용 가능한 치료는? 원치 않더라도 불의의 사고로 치아가 깨지기도 하는데, 정말 아찔한 순간입니다. 치아가 깨지는 사고를 겪는다면, 당연히 고민 없이 빠르게 치과에 내원을 하셔야 합니다. 내원을 하시면, 어떠한 치료를 받으면 좋을지에 대해서는 정확한 진료를 통해서...
깨진 치아 라미네이트 이외에도 적용 가능한 치료는?
원치 않더라도 불의의 사고로 치아가 깨지기도 하는데, 정말 아찔한 순간입니다.

치아가 깨지는 사고를 겪는다면, 당연히 고민 없이 빠르게 치과에 내원을 하셔야 합니다.
내원을 하시면, 어떠한 치료를 받으면 좋을지에 대해서는 정확한 진료를 통해서 안내를 받으시겠지만, 깨진 치아 라미네이트를 가장 먼저 생각을 하시곤 합니다.
하지만 케이스에 따라서는 불필요한 치아 삭제가 많이 요구 될 수 있기에, 자연치아를 보존 및 복구하는 미니쉬에 대한 안내를 받아 볼 수도 있습니다.

깨진 치아는 신속하게 개선 해야합니다.
치아가 깨졌다면 치아의 위치에 따라 치료가 달라질 수 있습니다.
어금니라면 우선은 타인에게 잘 보이지 않으니 시간을 갖고 치료를 생각하실 수 도 있습니다.
하지만 저작 활동에 중요한 역할을 하는 어금니 손상이 발생하면, 인접 치아에 지속적으로 부담을 줄 수 있기에 빠른 치료가 필요합니다.
반면, 앞니가 깨졌다면 심미적으로 보기에 좋지 않고 발음이 샐 수도 있으며, 면 끊기 등 저작 활동에도 불편함을 줄 수 있습니다.
결과적으로 깨진 치아를 신속하게 개선해야 되는 이유는 본연의 기능성 및 심미성 회복을 위해 필요하다고 볼 수 있습니다.

라미네이트는 심미성 개선에 있어서 만큼은 확실한 효과를 가질 수 있습니다.
다만, 추가적인 자연 치아 손상이 수반되며 강한 힘이 가해졌을 경우 세라믹 팁이 깨지거나 떨어질 수 있다는 아쉬움이 있습니다.
건강하고 올바른 치아 관리는 자연치아를 최대한 보존하는 데에서 시작 하는 만큼, 미니쉬를 권유 하기도 하는데요.

미니쉬솔루션의 장점
미니쉬는 앞니에서 굴곡진 어금니까지 개인의 손상된 범위와 형태에 맞게 모든 치아에 적용이 가능한 토탈 케어 솔루션입니다.
얇고 정밀하게 제작되는 미니쉬 수복물은 자연치아에 틈새없이 완벽히 코팅되어 내외부의 자극으로부터 자연치아를 안전하게 보호함으로써 치아의 건강을 되돌려 줍니다.
다시 말해, 내 치아처럼 오랜 기간 사용할 수 있으며 태어났을 때부터 시작되는 치아 노화로 인한 치아 상실을 예방하기 때문에 안티에이징 효과가 있다고 할 수 있습니다.

심미적인 부분도 충분히 개선이 가능할까요?
미니쉬치과병원은 미니쉬테크놀로지(주)로부터 미니쉬 전용 블록을 공급 받고 있습니다.
미니쉬 블록은 자연치아와 가장 유사한 물성은 물론 투명도, 뛰어난 빛 투과성을 가지고 있어 솔루션 후 탁한 현상없이 하얗고 자연스러운 치아를 표현해 심미성 개선도 가능합니다.

깨진 치아 라미네이트도 대안이 될 수 있지만 상황에 따라서 자연치아를 최대한 지키면서 앞으로의 치아건강에도 용이한 미니쉬도 훌륭한 대안이 될 수 있습니다.
케이스에 따라 다르게 적용될 수 있으니, 만약 치아 손상이 발생했다면 빠르게 치과에 내원하셔서 자세한 진료를 받아보시기를 권장드립니다.
Explore More
Keep Browsing This Clinic's Korean Content Trail.
Return to the source archive for more posts, or move back to the clinic profile to compare the rest of the clinic's public channels.