미니쉬치과병원ㅣMinish Dental Hospital ㅣミニッシュ歯科病院ㅣ美尼仕牙科医院ㅣ美尼仕牙科醫院
미니쉬후기 통해 벌어진 앞니 고민 끝 !
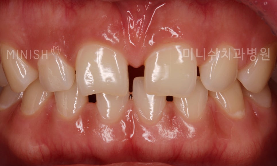
안녕하세요. 구강 건강과 아름다움을 동시에 만족시켜 드리는 미니쉬치과병원입니다. 미니쉬후기를 통해 벌어진 앞니에 대한 고민을 끝내시기 바라요! 주위에 미소가 예쁜 분들, 인상이 좋은 분들의 공통점은 무엇일까요? 바로, 건강하고 아름다운 치아를 가지고 있다는 것입니다. 예쁘고 환한 미소를 만드는 데...
안녕하세요.
구강 건강과 아름다움을 동시에 만족시켜 드리는 미니쉬치과병원입니다.
미니쉬후기를 통해 벌어진 앞니에 대한 고민을 끝내시기 바라요!
주위에 미소가 예쁜 분들, 인상이 좋은 분들의 공통점은 무엇일까요?
바로, 건강하고 아름다운 치아를 가지고 있다는 것입니다.
예쁘고 환한 미소를 만드는 데 있어 치아는 아주 중요한 역할을 수행하죠. 잇몸 역시 치아와 더불어 이미지를 결정짓는 데에 빠뜨릴 수 없는 요소입니다. 아무리 아름다운 이목구비로 눈길을 끈다고 해도, 치열이 가지런하지 않거나 하얗지 않다면 아무래도 좋은 인상을 주기는 어려운데요. 특히나 가장 두드러지는 앞니가 벌어진 케이스의 경우 더욱 큰 콤플렉스로 작용할 수 있습니다.

만약 이러한 부분 때문에 고민이 있으신 분들이라면 미니쉬후기를 통해 치아 개선을 해보시는 것은 어떠실까요?
미니쉬는 불필요한 치아 손상 없이 치아가 가진 본연의 기능을 할 수 있도록 손상된 부위를 복구시키는 구강 토탈 케어 솔루션입니다.
자연치아와 가장 유사한 재료인 미니쉬블록을 정밀 가공해 손상된 부위를 틈새없이 완벽하게 수복합니다. 이로써 기존 치아의 기능적, 심미적인 부분을 동시에 회복 시켜주기에 미니쉬후기의 만족도는 굉장히 높은데요.

벌어진 앞니, 충치, 치아 상실, 부식, 파절, 어금니 손상 등 다양한 치아 손상 케이스를 원래의 건강한 상태로 회복시키고 싶으신 분들은 미니쉬 솔루션이 많은 도움이 될 것입니다.

본원에서는 정밀 검진으로 환자의 치아 건강을 비롯하여 전반적인 구강 상태를 아주 면밀하게 진단하고 있습니다.
이후 체계적인 시스템을 통해 솔루션이 진행됩니다.
먼저 3D 스캐너로 구강 내 잘 보이지 않는 부분까지 세밀하게 스캔 후 전문 기공사가 치아 디자인을 실시합니다. 본뜨는 것이 아닌 스캐닝을 실시하기 때문에 보다 정확하고 오차가 적은 데이터 수집이 가능합니다.
디자인이 완료되면 3D 프린터를 이용해 치아 모형을 제작하고 이를 토대로 미니쉬블록을 한 치의 오차가 없는 밀링머신을 사용해 1차 가공에 들어갑니다. 밀링 방식의 경우 굽거나 굳히는 것이 아닌 고체 형태의 블록을 깎는 것이기 때문에 변형과 오차에서 자유롭습니다.
이후 다년간의 베테랑 전문 기공사들이 0.1mm까지 수작업으로 더욱 얇고 정밀하게 2차 가공되면 미니쉬 보철물이 완성되는 것이죠.
얇고 정밀하게 만드는 이유는 불필요한 자연치아 삭제 없이, 완벽한 결합을 통한 틈새없는 변연봉쇄로 2차 세균 침투를 막기 위함 입니다.

미니쉬를 제작할 때는 똑같은 모양의 디자인이 아니라 환자의 치아 간 비율, 형태, 손상 범위 등 전체적인 안모(얼굴 생김새)까지 고려해 만들어집니다.
그렇기 때문에 사람의 지문처럼 완성된 미니쉬를 보면 단 하나도 같은 것이 존재하지 않고 세상에 동일한 미니쉬는 존재할 수 없다는 사실 참고해주시길 바랍니다.
또한, 미니쉬는 잇몸 보완에도 많은 도움을 주는데 필요에 따라서는 잇몸 표면을 한층 더 깔끔하게 정돈하고 부족한 부분을 핑크미니쉬로 보완하여 잇몸의 라인과 형태를 더욱 건강하게 만들어 주기도 합니다.

수많은 미니쉬후기를 보시면 아실 수 있지만, 본원에서 다시 한 번 미니쉬의 장점에 대해 정리 해드리도록 하겠습니다.
- 손상된 치아를 자연치아와 같은 상태로 회복할 수 있습니다.
첫 번째는 여러가지 이유로 손상된 치아를 원래의 건강한 치아로 되돌려 줍니다.
벌어진 앞니, 치아 상실, 충치 혹은 외상으로 인해 치아가 파절 되었을 경우, 우리 치아는 자연적으로 치유 될 수 없습니다. 치아는 스스로 재생할 수 있는 능력이 없기 때문인데요.
미니쉬는 자연 치아와 유사한 재료를 사용하기 때문에 치아 본연의 기능은 물론이고, 색상이나 배열, 비대칭까지도 동시에 개선할 수 있기 때문에 건강한 치아로 회복시켜 줍니다.

- 심미적인 부분까지 충족시켜 줍니다.
두 번째는 많은 미니쉬후기에서도 확인하실 수 있듯 미적인 부분에서의 만족도가 굉장히 크다는 것인데요.
앞니 벌어짐과 같은 이유로 예쁘고 가지런하지 않은 치아를 가진 사람들은 그만큼 주눅이 들고 대인관계에서 스트레스를 받을 수 밖에 없습니다.
사람의 치아는 대화를 할 때 눈에 띌 수 밖에 없기 때문이죠
그래서 이런 고민을 가지신 분들은 미니쉬 시술을 받고난 후, 그 만족도가 높을 수 밖에 없습니다.
치아가 길어보이거나 잇몸이 내려가 있어 치아가 예뻐보이지 않을 때도, 연분홍빛의 자연스러운 잇몸으로 만들어주는 핑크 미니쉬 시술을 받는다면 부족한 부분을 충분히 보완 할 수 있습니다.

- 미니쉬는 솔루션 후에도 최장 10년까지 꼼꼼한 사후 관리를 보장합니다.
본원은 미니쉬의 정밀 결합을 아주 중요하게 생각합니다. 만일 재료가 탈락하거나 깨진다면 추후 또 다른 문제를 일으킬 수 있기 때문인데요.
다년간의 시술 경험으로 얇고 정밀하게 제작된 미니쉬 수복물을 빈틈없이 완벽하게 치아에 코팅을 진행, 기존 치아와 함께 나이를 먹어가기에 오랜 시간 건강함을 유지할 수 있습니다.

본원에서는 미니쉬를 통해 이미 손상되어버린 치아는 더 악화되지 않도록, 기존 치아는 잘 보존할 수 있도록 하여 치아수명을 연장시킬 수 있도록 도움드리고 있습니다.
남다른 시술 실력과 높은 수준의 장비, 차별화된 기술력을 보유한 본원은 최장 10년까지 꼼꼼한 사후 관리를 제공하고 환자분들의 구강 건강을 오래도록 지킬 수 있게 노력하는 곳입니다.
치아 손상이 되었으나 다른 보철 치료를 하기 어려운 분들, 건강한 치아를 오랫동안 유지하고 싶은 중장년층 분들, 치아 건강은 유지하면서 조금 더 예뻐지고 싶은 분들은 본원의 미니쉬후기들도 한 번 살펴보시길 바라며, 본원에 내원하셔서 본인에게 꼭 맞는 미니쉬로 더욱 아름다운 치아를 되찾으시길 바랍니다.





Explore More
Keep Browsing This Clinic's Korean Content Trail.
Return to the source archive for more posts, or move back to the clinic profile to compare the rest of the clinic's public channels.