미니쉬치과병원ㅣMinish Dental Hospital ㅣミニッシュ歯科病院ㅣ美尼仕牙科医院ㅣ美尼仕牙科醫院
이빨 꿈 해몽 다 모여! +현실 치아 문제해결법
오늘, 어떤 꿈을 꾸셨나요? 아침에 일어나니 생생하게 남은 꿈! 무슨 의미일까 궁금하면 못 참죠~ 오늘은 자주 검색되는 이빨 꿈과 그 해몽에 대해 알아볼까요? :) '치아 꿈 해몽'에 앞서- 꿈 해몽은 문화적, 개인적 차이에 따라 다르게 해석될 수 있으며, 소개하는 내용은 일반적 해석입니...
오늘, 어떤 꿈을 꾸셨나요?
아침에 일어나니 생생하게 남은 꿈!
무슨 의미일까 궁금하면 못 참죠~
오늘은 자주 검색되는 이빨 꿈과
그 해몽에 대해 알아볼까요? :)

- '치아 꿈 해몽'에 앞서-
꿈 해몽은 문화적, 개인적 차이에
따라 다르게 해석될 수 있으며,
소개하는 내용은 일반적 해석입니다.
앞니 깨지는, 부러지는 꿈
(꿈 해몽)

치아가 부러지는 꿈은 강력함이나
활력의 상실을 의미할 수 있습니다.
힘이 들거나 스트레스를 받고 있는 상황에서
이런 꿈을 자주 꿉니다
(현실 해결)

앞니가 심하게 깨졌거나 출혈이 있는 경우,
가능한 빠른 시간 내에 치과에 방문하여
응급 처치를 받는 것이 중요합니다.
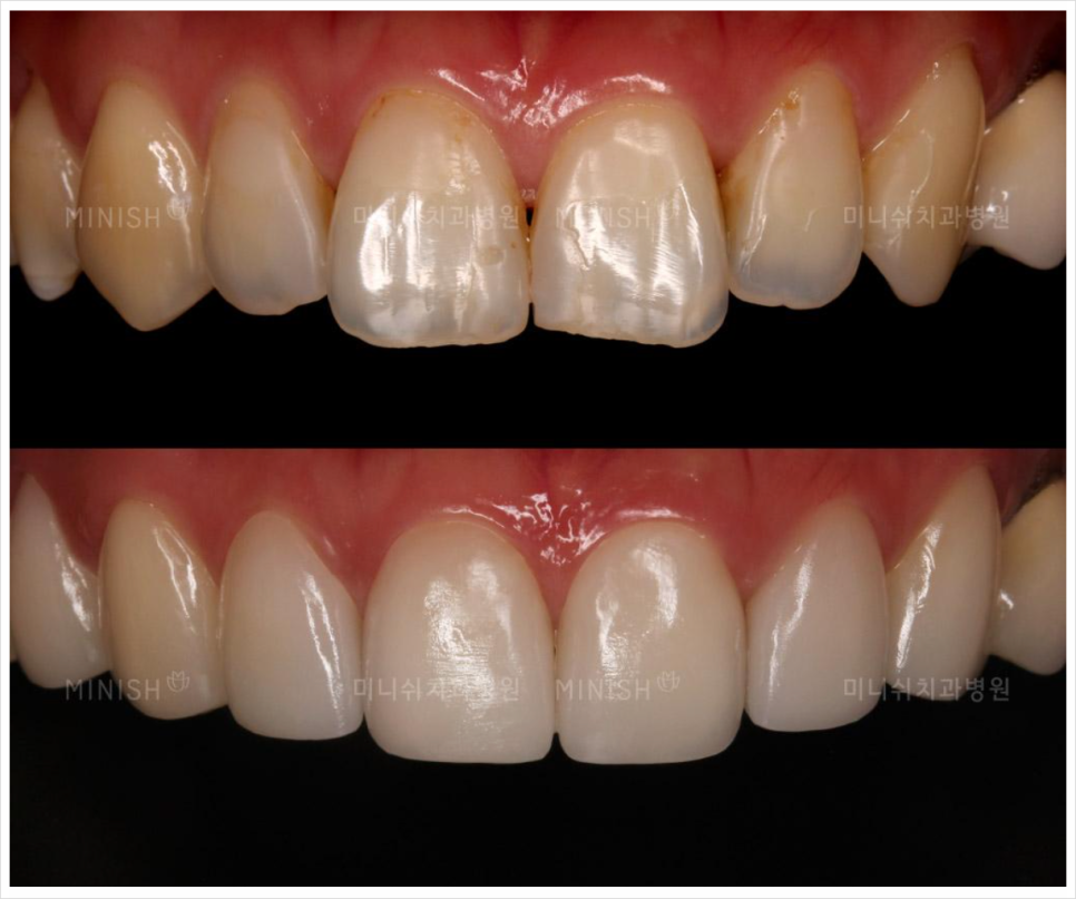
앞니깨짐 치료시 레진을 선택하는 분들이 많으시죠. 하지만 일부 레진은 시간이 지남에 따라 변색 가능성이 있습니다. 특히 음식물, 커피, 차, 담배 등 기호식품을 자주 섭취하는 경우 변색 가능성이 높아집니다.
+++
치아 마모 및 파절 등으로 인해 치아의 기능적,
형태적 상실이 진행된 경우 미니쉬 솔루션 통해
치아의 기능, 형태는 물론 심미적 개선이 가능해요.
이빨 흔들리는 꿈, 빠지는 꿈
(꿈 해몽)

이런 꿈은 변화의 상징으로 여겨집니다.
때로는 걱정거리나 스트레스,
불안감을 나타낼 수도 있습니다.
개인의 삶에서 중요한 변화가 예상되거나,
무언가 잃어버릴 공포감을 가지고 있을 때
이런 꿈을 꾸게 될 수 있습니다.
(현실 해결)
치아상실을 대체하는 '미니쉬 브릿지'

치아상실을 대체하는 기술 [미니쉬 브릿지] 평생 구강 건강을 위한 치아상실 대체 기술, 미니쉬 브릿지 안녕하세요. 구강 전문 기업 미니쉬테크놀로지(...
blog.naver.com
치아가 썩는 꿈 (충치)
(꿈 해몽)


건강 문제에 대한 우려를 나타내거나,
자신의 어떤 부분(외모, 행동 등)에 대한
불만족을 반영할 수도 있습니다.
(현실 해결)

충치로 인한 변색- 충치치료+미니쉬솔루션
과거 레진 치료 후 미니쉬 상담차 내원하셨는데, 특별한 검진이 아니었다면 발견하기 힘들었을 앞니 충치 였습니다.
앞니 충치 치료 및 미니쉬 진행 후 표면 질감, 색상개선, 펼쳐져 있는 치아 형태 개선 등 부가적으로 만족스러울 만한 심미적 결과도 얻게 됐습니다.
새로운 치아가 나오는 꿈
(꿈 해몽)
성장과 발전의 심볼로 볼 수 있으며,
색다른 기회와 가능성을 의미하기도 합니다.
치아가 하얗게 반짝이는 꿈
(꿈 해몽)
이 꿈은 당신의 신체적, 정신적 또는 감정적인 상태가 좋다는 것을 나타냅니다.
건강과 아름다움에 대한 자부심 및 만족감 및스스로를 가치 있다고 느끼며,
당신의 외모나 매력력으로 인해
타인들로부터 주목받거나 긍정적인 평가를 받을 가능성이 있다는 것을 시사합니다.

© MINISHtechnology
예쁜 미소의 완성 '미니쉬벨라'가 특별한 이유 안녕하세요 미니쉬테크놀로지입니다 저희는 2009년부터 ‘어떻게 하면 치아 삭제를 최소화 할 수 있을까’ ...
blog.naver.com
이빨 빠지는 꿈 꾸고 아차!싶었나요?
평소 안심하고 다닐 수 있는 치과를
미리 찾아 두시면 어떨까요!

치아 잇몸 정보가 궁금할 땐
미니쉬치과병원 블로그 구독!
매일 입 벌리고 자면...구강건조증 조심해야! 오늘 아침, 잘 주무셨나요 :) 그런데 아침에 일어나면 왠지 입안이 뻑뻑하게 느껴지고 구취도 나는 것 같다...
blog.naver.com
"웩~" 양치질 헛구역질 5가지 이유 여러분들이 궁금해하시는 치과 이야기를 알려드리는 미니쉬치과병원입니다 :) 양치질 할 때마다 "웩~&...
blog.naver.com

미니쉬치과병원 서울특별시 강남구 언주로 728


Explore More
Keep Browsing This Clinic's Korean Content Trail.
Return to the source archive for more posts, or move back to the clinic profile to compare the rest of the clinic's public channels.