미니쉬치과병원ㅣMinish Dental Hospital ㅣミニッシュ歯科病院ㅣ美尼仕牙科医院ㅣ美尼仕牙科醫院
미니쉬치과병원 곽해성 원장-얼루어
안녕하세요 미니쉬치과병원입니다. 희고 고른 치아는 누구나 갖고 싶은 예쁜 치아의 기준이자, 자신감의 바탕입니다. 특히나 사람을 많이 만나는 현대사회에서는 뷰티 관리에 관심 없는 남자들도 치아미백은 고민하는데요. 치아미백의 거의 모든 것 안녕하세요. 미니쉬치과병원입니다. 오늘은 '거의 모든 것' 마지막...
안녕하세요 미니쉬치과병원입니다.
희고 고른 치아는 누구나 갖고 싶은 예쁜 치아의 기준이자, 자신감의 바탕입니다.
특히나 사람을 많이 만나는 현대사회에서는 뷰티 관리에 관심 없는 남자들도 치아미백은 고민하는데요.
치아미백의 거의 모든 것 안녕하세요. 미니쉬치과병원입니다. 오늘은 '거의 모든 것' 마지막 주제인 '치아미백의 거...
blog.naver.com
단순한 치아미백가격보다 더 중요한 것은 내 치아가 왜 변색되는지 알아야 하는데요.
오늘은 하얀 치아를 누렇게 만드는 원인과 예방법, 치아미백의 진실에 대해 나눈 정보를 블로그로 공유합니다 :)

뷰티& 라이프 스타일 매거진 <얼루어>와 미니시치과병원 곽해성 원장님이 진행한 인터뷰!

- 본 콘텐츠는 2021년 11월에 소개된 얼루어 기사를 재구성하였습니다.
치아가 누렇게 되는 2가지 원인
'치아 노화', '음식물 착색'
곽해성 원장님은 얼루어 매거진과의 인터뷰에서 치아가 누렇게 변색되는 원인으로 크게 두 가지를 꼽으셨는데요.
바로 치아 노화, 그리고 음식물에 의한 착색. 흔한 경우는 두 번째 경우인 음식물에 의한 착색입니다.
치아 노화로 인한 변색
주로 에나멜이 닳고 마모되며, 덴틴이 노출되어 발생됩니다.
치아 표면(에나멜)이 깎여 누런 이는 색소가 붙은 것이 아니라, 치아 속(덴틴)이 비치는 것이기에 시술 효과도 볼 수 없으며, 되레 치아가 더 상하게 됩니다. 이 경우, 근본적인 미니쉬 솔루션을 통해 해결하셔야 합니다.

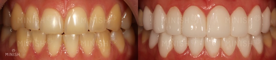
치아변색 미니쉬 전후
음식물 착색으로 인한 치아 변색
커피, 홍차, 와인, 콜라, 카레, 홍삼 등이 대표적인 주범인데요. 특히 담배 흡연은 치아를 누렇다못해 검게 만들기 때문에 더욱 조심해야 합니다!
전자담배 흡연, 치아엔 어떨까? 전자담배, 얼마나 알고 있나요? 1급 발암 물질이자, 수천 가지 화학물질이 발생되는 연초 담배 대신 전자담...
blog.naver.com
이미 누렇게 된 치아를 되돌리려면 치과의 도움을 받으셔야 하는데요.
그런데 치아미백도 효과가 있는 사람이 있고, 없는 사람이 있다는 사실, 알고 계셨나요?
음식물로 인한 변색은
꽤 만족스러운 미백 효과를 볼 수 있어요.
회색, 푸른빛의 치아보다 붉거나 노란빛이
도는 치아 변색에 더 효과적입니다.
곽해성 원장 <얼루어> 인터뷰 中

© 미니쉬치과병원
치아미백 시 혹시 모를 이 시림 증상을 고민하는 분들도 있으시죠~
실제로 곽 원장님을 인터뷰한 얼루어 에디터님도 이가 시린 증상때문에 치아미백에 다소 부정적이었다고 해요.

하지만 이번 기회에 저희 치과병원을 내원해 치아미백을 받아보니 이 시림은 없었다고 합니다.
시술 전 잇몸과 파인 부위에 꼼꼼하게 보호제를 발라준 덕분이기도 하죠 :)
만약 이가 시리더라도
충분히 생길 수 있는 증상이에요.
보통 시술 후 24시간 안에 사라지니
걱정하지 않아도 됩니다.”
곽해성 원장 <얼루어> 인터뷰 中
▼ 인터뷰 원문은 얼루어매거진 ▼
위드 코로나 시대, 치아 미백이 땅기는 이들을 위한 현실 조언 마스크를 벗고 활짝 웃는 날을 고대한다. 때문인지 미백시술에 대한 관심이 높아졌다. 정말 효과가 있을까. 과연 안전할까. 솔직히 편했다. 식사 후 양치질을 하지 않아도 동료들과 대화가 자유로웠다. 고춧가루가 끼어 있어도 마스크 덕에 부끄럽지 않았다. 그렇게 2년간의 마스크 착용은 우리를 게으르게 만들었다. 11월 1일부터 위드 코로나 정책이 시행됐다. 미루
잘못될까 걱정되는 셀프 미백 대신, 전문가 미백을 안심하고 받을 치과병원을 찾는다면 미니쉬치과병원을 떠올려주세요 :)


미니쉬치과병원 서울특별시 강남구 언주로 728


Explore More
Keep Browsing This Clinic's Korean Content Trail.
Return to the source archive for more posts, or move back to the clinic profile to compare the rest of the clinic's public channels.