미니쉬치과병원ㅣMinish Dental Hospital ㅣミニッシュ歯科病院ㅣ美尼仕牙科医院ㅣ美尼仕牙科醫院
앞니 임플란트? 미니쉬 브릿지 !
살면서 예기치못한 갑작스러운 사고 등으로 치아 상실하거나, 충치 및 치주 질환 등으로 발치 해야하는 경우... 앞니 임플란트가 필요한 순간입니다. 다행히 치아만 부러져서 뿌리는 남아있다면 자연치아를 최대한 살리는 치료가 가능한데요. 만약 뿌리까지 부러졌다면, 발치 후 앞니 브릿지나 앞니 임플란트 치료를 진행...
살면서 예기치못한 갑작스러운 사고 등으로 치아 상실하거나, 충치 및 치주 질환 등으로 발치 해야하는 경우... 앞니 임플란트가 필요한 순간입니다.

다행히 치아만 부러져서 뿌리는 남아있다면 자연치아를 최대한 살리는 치료가 가능한데요. 만약 뿌리까지 부러졌다면, 발치 후 앞니 브릿지나 앞니 임플란트 치료를 진행합니다.
지난 번 소개한 '임플란트의 거의 모든 것' 편에 이어 오늘은 '앞니 임플란트'에 관한 정보를 준비했습니다.
'임플란트'의 거의 모든 것 2023년 시작된 게 엊그제 같은데 벌써 9월이 시작 됐습니다. 부모님을 위한 추석선물을 준비중인가요? 홍삼...
blog.naver.com
'앞니 임플란트'
조금 다르게 접근해야 하는 이유!
다른 치아에 비해 잇몸뼈가 얇은 편인 앞니.
치아를 상실하면 다른 부위에 비해 뼈의 양이 빨리 흡수되는 것을 의미합니다. 따라서 임플란트가 필요한 상황임에도 미루거나 방치하는 사이, 식립이 불가능한 상황이 발생할 수 있습니다.
잇몸뼈가 얇아진 상태에서 진행하면 임플란트 실패 가능성이 생기므로 제 때 치료 받는 것이 중요하죠.
임플란트는 식립한 인공 치근 위에 지대주를 연결 후, 치아의 외관 역할을 하는 크라운을 연결합니다.

© MINISH dental
이때 크라운의 재료에 따라 강도와 심미성이 달라지는데요. 앞니라면 보통 자연 치아와 유사한 투명도와 색상을 지닌 세라믹이 많이 활용됩니다만, 재료별 장단점을 꼭 확인해보세요. 지르코니아 등의 장단점을 잘 정리한 글입니다.
*크라운 재료의 거의 모든 것 확인 ✔️
앞니 임플란트 주의사항
기존 임플란트는 잇몸을 넓게 절개한 뒤 식립 후 다시 봉합하는 방식입니다.
그러다 보니 출혈, 통증, 붓기 등을 피할 수 없고 회복 역시 오래 걸리며 감염 위험도가 높을 수 밖에 없었습니다.
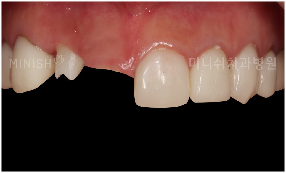
손상된 앞니를 완벽하게 대체하는
최상의 선택
'미니쉬 브릿지'
뼈 상태에 따라, 나이가 너무 적거나 많은 경우 앞니임플란트를 적용하지 못하는 경우도 발생합니다. 또한 지혈이 되지 않거나 수술공포증인 경우도 앞니 임플란트를 받기 힘들죠.
그러면 방법이 없느냐? 아닙니다!
치과 기술은 지금도 계속하여 진화중이니까요~
건강한 치아를 지지대로 활용하여 상실치아의 형태와 기능을 재건하는 브릿지를 고려할 수 있습니다.
크라운 브릿지 VS 미니쉬 브릿지
크라운 브릿지는 지지대 역할을 하는 인접한 치아들의 손상이 동반됩니다. 반면, 얇고 정밀한 미니쉬 브릿지는 인접 치아의 손상 없이 상실 치아를 대체해주는 일거양득의 기술입니다.
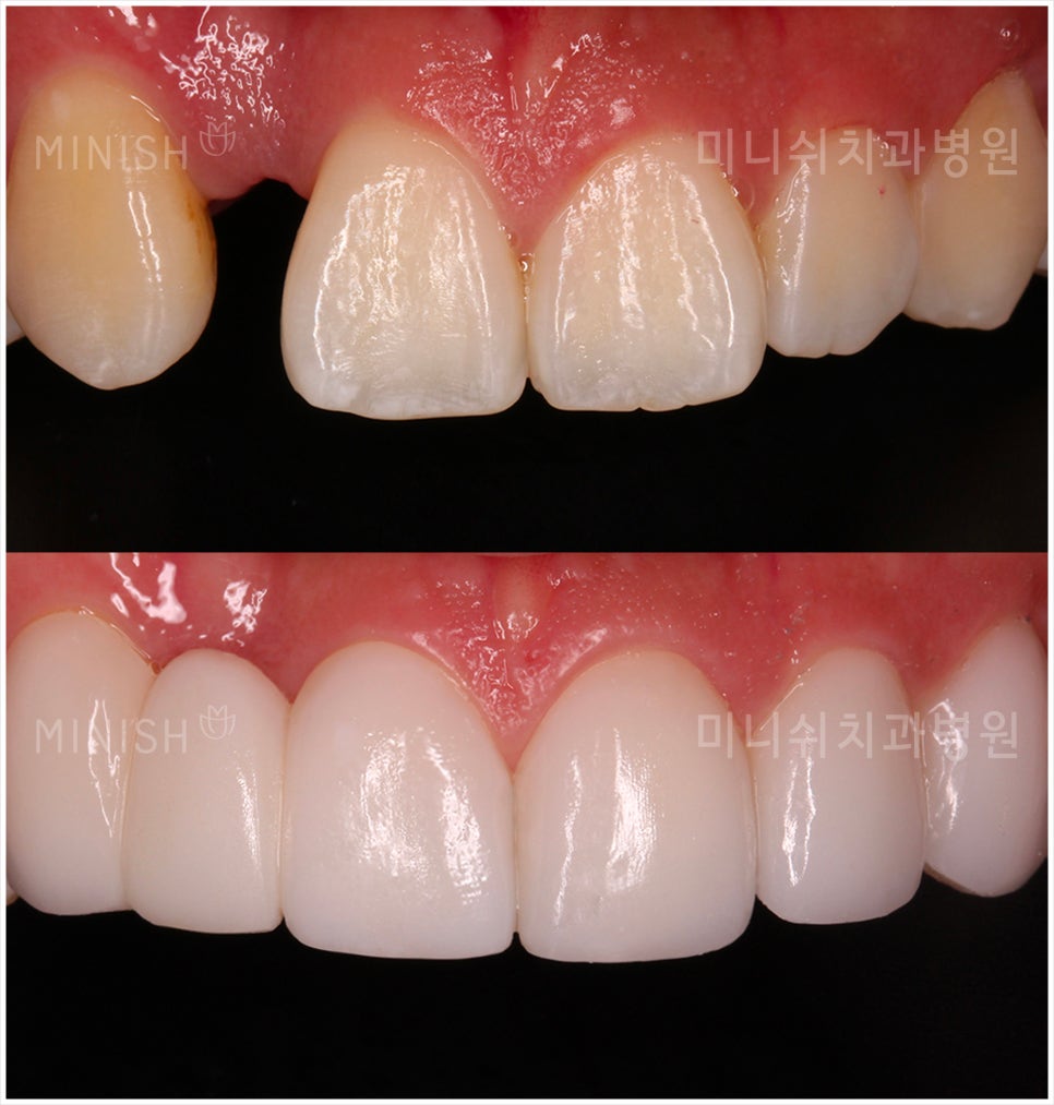
자연치아와 유사한 재료를 사용하는 미니쉬는 상실된 앞니를 대체하는데 좋은 선택입니다.
자연치아의 색상은 물론, 섬세한 투명도까지 재현하기 이죠! 미니쉬 솔루션을 통해 보여지는 것이 중요한 앞니를 자연스러우면서 아름답게 대체해 마음껏 씹고 말하고 웃을 수 있게 합니다.
임플란트도 어려운 풍치 치아? [미니쉬브릿지] 상실된 치아를 수복하는 인공 대체물 치과 치료에서 '브릿지'란, 상실 치아의 양 옆에 있는 자연...
blog.naver.com
미니쉬 브릿지는 인접 치아에 손상을 주지도, 잇몸 뼈에 자극을 주지도 않는 안전하고 보존적인 기술입니다. 미니쉬 브릿지 후 인접 치아가 손상되어 치료 필요 시, 다시 크라운 브릿지를 시도할 수 있는 진정한 치아 보존 기술입니다.

©MINISH dental
상실 치아 뿐 아니라, 인접한 앞니의 불완전한 모양 및 색상까지 건강하고 자연스럽게 복원한 미니쉬 브릿지 케이스입니다.
고객분의 만족도가 얼마나 클지 상상이 되시죠? :)
보다 자연스러우면서도 편안하고 오래 지속되는 미니쉬 브릿지.
더 나은 일상을 위한 앞니 임플란트를 고민중이라면, 고려해보시길 권장드립니다. 미니쉬 브릿지에 대해 더 궁금하신 분은 저희 미니쉬치과병원 조광범원장님의 의학칼럼을 추천드립니다!
"치아 상실 복구 솔루션은?" 조광범원장 칼럼, 미니쉬치과병원 안녕하세요 미니쉬치과병원입니다 제법 가을의 느낌이 물씬 나는 월요일입니다. 오늘은 미디어파인에 기고...
blog.naver.com

미니쉬치과병원 서울특별시 강남구 언주로 728


Explore More
Keep Browsing This Clinic's Korean Content Trail.
Return to the source archive for more posts, or move back to the clinic profile to compare the rest of the clinic's public channels.