미니쉬치과병원ㅣMinish Dental Hospital ㅣミニッシュ歯科病院ㅣ美尼仕牙科医院ㅣ美尼仕牙科醫院
잇몸염증은 구강 적신호...가장 적극적인 잇몸치료는 미니쉬
유년기에는 건강하던 잇몸도 나이가 들면 필연적으로 탄력이 저하되고 위축되며 약해집니다. 거기다가 세균덩어리인 치태가 쌓이게 되면 염증을 일으키게 되고, 노화로 약해진 잇몸은 이러한 외부 자극에 쉽게 손상되고 재생능력은 감소되어 치유가 상당히 느리게 진행됩니다. 젊을 때는 관리를 안해도 괜찮았던 잇몸이 관리가 소홀할...

유년기에는 건강하던 잇몸도 나이가 들면 필연적으로 탄력이 저하되고 위축되며 약해집니다.
거기다가 세균덩어리인 치태가 쌓이게 되면 염증을 일으키게 되고, 노화로 약해진 잇몸은 이러한 외부 자극에 쉽게 손상되고 재생능력은 감소되어 치유가 상당히 느리게 진행됩니다.
젊을 때는 관리를 안해도 괜찮았던 잇몸이 관리가 소홀할 경우 풍치가 급속히 진행되고 악화됩니다.
풍치란 무엇인가
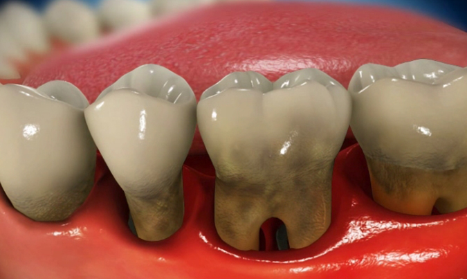
풍치라고 불리는 치주질환은 치아를 감싸고 있는 잇몸, 잇몸뼈, 치주인대 등에 염증이 생기는 질환입니다. 선조들은 이가 시릴 때 치아에 바람(風)이 들어 치아(齒) 뿌리가 병든다고 여겼는데요, 풍치라는 의미가 딱 와닿습니다.

건강한 잇몸(왼쪽)과 그렇지 않는 잇몸 비교.
서울대 의학정보에 따르면, 병의 정도에 따라 치은염과 치주염으로 나뉩니다. 치은염은 비교적 가볍고 회복이 빠른 형태의 치주질환으로 염증이 잇몸에만 국한된 형태입니다.
치주염은 염증이 잇몸과 잇몸뼈 주변까지 진행된 경우입니다. 염증이 진행돼 더 많은 조직이 손상되면서 홈이 치주낭(periodontal pocket)으로 발전하게 되며, 치주염이 심할수록 치주낭의 깊이가 깊어지게 됩니다. 치주낭이 깊어지면서 치주인대에 염증이 생기게 되고 골소실(잇몸뼈가 녹는것)이 일어나게 됩니다.
풍치의 원인
풍치의 원인은 다양합니다. 흡연 등 안좋은 생활습관 때문에 생기기도 하고 성인병, 당뇨, 항암치료 등 앓고 있는 기저질환이 원인이 되어 생기기도 합니다. 유전적으로 잇몸이 약한 경우도 풍치가 발생하기 쉽지만 근본적 원인은 구강 속 세균입니다.
양치질과 치실 등을 사용해 치아와 잇몸 경계에 쌓인 세균막(플라크·plaque)이 제거되지 않으면 세균덩어리인 치태가 단단한 치석이 되고 여기에 계속 세균이 더 잘 쌓이게 되면서 치아 주변 조직에 염증을 일으키게 됩니다.

치아와 잇몸 틈새의 깊이가 1~2mm인 건강한 치주상태

치아와 잇몸 틈새의 깊이가 3mm 이상으로 치주염이 진행중인 상태.
치주병을 유발하는 세균은 충치 원인균과 다릅니다. 풍치의 원인이 되고 치주병 유발하는 세균은 나선균입니다. 활동성 좋고 공격적으로 움직여 치주를 파괴하는 속도도 빠릅니다.

치아의 본질 캡처
풍치의 증상
풍치의 자가증상은 다음과 같습니다.
-
잇몸 출혈
-
잇몸 부음
-
잇몸이 빨갛고 가려움
-
잇몸이 내려앉음
-
이가 흔들림
-
이 사이에 음식물이 잘 낌
-
이가 시려움
-치아 통증
-구취
-고름
풍치는 예고 없이 찾아옵니다. 어느날 갑자기 위와 같은 증상이 느껴진다면 풍치가 시작된 것일 수 있습니다. 특히 의외로 평소 치아문제가 없던 경우 치아가 건강한줄만 알고 따로 치과를 찾거나 관리를 하지 않기 때문에 오히려 풍치로 연결되기 쉽습니다.
단계별 증상

1단계 치은염: 치면세균막이 제거되지 않아 칫솔질할 때 피가 나고, 잇몸이 붓고 검붉은 색으로 변합니다.

2단계 초기 치주염: 잇몸 상부가 치아로부터 분리되고 잇몸뿐만 아니라 치조골까지 염증이 퍼지기 시작합니다.

3단계 중기 치주염: 잇몸이 내려가고 이 사이가 뜨기 시작하며 치아가 약간씩 흔들리기 시작합니다.

4단계 진행된(말기) 치주염: 잇몸이 심하게 붓고 고름이 나오며 잇몸이 내려 앉으면서 치아 사이가 벌어집니다. 치아 뿌리가 드러나고 치아가 흔들립니다.
구체적으로 알아보겠습니다. 풍치 초기에는 염증이 잇몸 연조직에 국한된 치은염으로 나타납니다. 치은염 단계에서는 이시림을 느끼거나 잇몸이 붓고 양치할 때 피가 나는 증상이 나타납니다. 다행히 이 단계는 치료하면 대부분 원상태로 돌아갑니다.
치은염 상태에서 스케일링이나 치근활택술로 세균을 제거하는데, 타이밍을 놓치게 되면 치주염으로 악화됩니다.

2단계 치주염 초기
문제는 치주염입니다. 초기 치주염이 되면 치아와 잇몸 사이에 틈새인 치주낭 안에 음식물 찌꺼기가 쌓이게 되면 세균의 온상이 돼 양치질을 해도 입냄새가 계속 됩니다. 치아의 뿌리가 드러나 외부 자극에 민감하게 반응하게 됩니다.

3단계 중기 치주염.
진행된(말기) 치주염이 되면 잇몸뼈까지 염증이 번져 뼈가 녹아내려 치아가 흔들리거나 심지어 발치해야 하는 상황에 이르게 됩니다. 무엇보다 통증으로 음식을 씹기가 어려워지면서 치아 본연의 기능인 저작기능을 제대로 수행할 수 없게 돼 삶의 질까지 저하됩니다. 치아가 저절로 빠지기도 한고 틀니를 사용하는 환자는 틀니가 잘 맞지 않게 됩니다.
'호미로 막을 것을 가래로 막는다'는 속담이 있습니다. 치은염으로 끝낼 수 있는 치료를 하지 않고 통증을 참거나 방치하면 치주염으로 발전합니다.
앞서 설명한 것처럼, 치은염이 잇몸 조직에 영향을 주는 것이라면 치주염은 잇몸 뼈까지 영향을 미치는 상태를 말합니다. 가장 큰 차이는 치은염은 원래 상태로 회복할 수 있지만 치주염은 회복이 불가능하다는 점 입니다. 치주염 단계까지 갔다면 악화를 막는 것이 최선의 치료입니다.
치주질환 진단 및 검사
플라크와 치석 존재 여부를 확인하고 탐침으로 치아와 잇몸 사이에 생긴 치주낭의 깊이를 측정합니다. 엑스레이(X-ray) 사진을 찍어 잇몸뼈(치고골)의 손실 정도를 파악합니다. 잇몸을 눌러서 고름이 나오는지 여부 등을 확인해 진단합니다. 미생물검사, 면역검사, 생화학검사를 실시하여 진단 및 치료에 이용하기도 합니다.
급한대로 민간요법?
풍치에 효과 있는 민간요법으로는 먼저 따뜻한 물 반 컵에 소금 반 스푼을 넣고 가글을 하는 방법이 있습니다. 소금에는 살균 효과가 있어 치통 완화에 도움이 됩니다.
붓기가 심한 부분은 아이스팩으로 진정시키고 캐모마일, 페퍼민트 등 허브차도 염증 완화 효과가 있어 따뜻하게 마시는 것이 좋습니다.
올리브 오일을 입에 물고 있거나 알이 꽉 찬 옥수수를 구해 알은 제거하고 속대만 푹 삶은 물을 입에 2~3분 정도 머금고 있다가 뱉는 방식의 양치질을 자주 하는 것도 잇몸건강에 도움이 됩니다.
또 당분이 많은 음식과 인스턴트 음식을 피하고 과일이나 채소 등 섬유질이 많은 음식을 자주 먹는 것이 좋습니다.
하지만 민간요법은 병을 키웁니다.
순간적으로 통증을 완화할 수는 있겠으나, 원인인 세균을 치료하지 않았기 때문에 잇몸을 건강하게 회복하거나 염증 진행을 막을 순 없습니다. 치료를 해야죠. 진통제를 먹고 참는 것도 나중에 큰 화를 부를 수 있습니다.
예방이 최선입니다. 정기적인 치과 검진을 통해서 치아와 잇몸을 건강하게 지키는 것이 최선이지만, 대부분 아파야 병원에 오게 됩니다.
치과에서는 어떤 치료가 진행될까요.

800평 규모 14층 단독 사옥을 쓰는 미니쉬치과병원은 12명의 의사, 스탭 70명 등 100여명이 근무합니다. 코로나 시기 환자감염이 0건일 정도로 철저한 소독시스템을 갖췄습니다.
치료법1: 일반적인(소극적 치료) 방법
건강한 잇몸, 1단계 치은염이라면 스케일링
스케일링은 칫솔질로 해결하기 힘든 치석을 제거해 구강 질환을 예방하는 효과가 탁월합니다. 잇몸병 초기에는 스케일링으로도 증상이 개선되기에 양치할 때 피가 나거나 잇몸이 자주 붓는다면 정기적인 스케일링을 받아야 합니다.



미니쉬치과병원 집중예방관리센터
미니쉬치과병원은 미니쉬 스파 프로그램을 통해 치아 질환 예방 및 구강 건강 관리를 돕고 있습니다. 미니쉬 스파 프로그램을 실시하면 육안으로 확인하기 어려운 플라크를 형광검사를 통해 눈으로 직접 확인할 수 있으며 호기 가스 분석기로 구취의 정도와 원인을 정확하게 분석해 드립니다.
<미니쉬 스파 상세 안내는 아래 링크를 참고해주세요! >
미니쉬치과병원 | 치아복구 | 라미네이트재치료 | 강남치아교정 | 치아안티에이징 | 임플란트 | 충치치료 | 비용 | 풍치 365일 진료, 꼼꼼한 사후관리 미니쉬치과병원 | 치아복구 | 라미네이트재치료 | 강남치아교정 | 치아안티에이징 | 임플란트 | 충치치료 | 비용 | 풍치
2단계 초기 치주염이라면 치근활택술
법랑질의 치석은 스케일링만으로도 쉽게 제거되지만 치근의 치석은 백악질의 불규칙한 면과 결합돼 스케일링만으로는 제거되지 않습니다. 이때는 치근활택술을 합니다. 치근(치아 뿌리)에 세균이 끼고 치석 때문에 불규칙하고 거칠어진 표면을 매끄럽고 광택이 생기도록 해주는 치료입니다. 치근면이 매끄러워지면 새로 생기는 치석이 덜 달라붙고, 달라붙더라도 쉽게 제거될 수 있게 됩니다.
3단계 중기 치주염이라면 치주소파술
치주소파술은 치근활택술을 시행 후 치주질환으로 인해 발생한 치주낭의 병든 조직을 긁어내는 연조직 수술입니다. 마취가 필요합니다.
4단계 진행된(말기) 치주염이라면 치주수술
1, 2, 3 단계 치료가 칼을 대지 않는 비외과적 치료였다면 4단계는 칼을 대는 외과적 치료입니다. 치주낭 안쪽 깊숙히 있는 치석과 치태를 제거할 수 없는 상태이거나 치아의 뿌리부분, 치조골까지 감염된 염증 조직을 제거하기 위해 잇몸을 절개합니다.
치주수술의 종류에는 치은절제술, 치은 박리 소파술(치주판막수술), 골이식술, 조직유도 재생술, 치은지조 점막수술, 유리치은 이식술, 상피하 결합조직 이식술이 있습니다.

하지만 치주질환 단계에 적합한 치료를 받은 뒤에도 몇가지 해결되지 않는 것이 있습니다.
- 치근면을 매끄럽게 해도 일시적인 것이지 관리를 잘 하지 못하면 또다시 플라크가 치석이 되고 치아와 잇몸 경계부가 세균의 온상이 됩니다.
- 심미적인 문제도 있습니다. 치은절제술로 치주낭을 잘라내면 치아가 길어저보이고 치아 사이에 블랙트라이앵글 생깁니다.
미니쉬치과병원에서는 미니쉬를 활용해 영구적으로 치주질환을 해결하는 치료를 시행하고 있습니다.
치료법2: 가장 적극적인 치료법, 미니쉬
치아복구 솔루션인 미니쉬를 활용한 치료로 치아 건강과 심미적 회복을 동시에 이룰 수 있습니다. 길어보이는 치아는 핑크미니쉬로 회복이 가능합니다. 핑크미니쉬는 수복물 아래 연분홍 색상으로 잇몸을 표현해 시각적으로 잇몸을 재생한 듯한 효과를 주게 됩니다.
치아 뿌리는 법랑질이 없기 때문에 드러나면 시리게 됩니다. 미니쉬 수복물로 감싸주면 시린 증상이 사라집니다. 또한 치아 표면을 매끄러운 미니쉬 수복물로 감싸줘 세균이 달라붙지 못하도록 하고, 달라붙더라도 양치질로 쉽게 제거할 수 있게 만들어 줍니다.
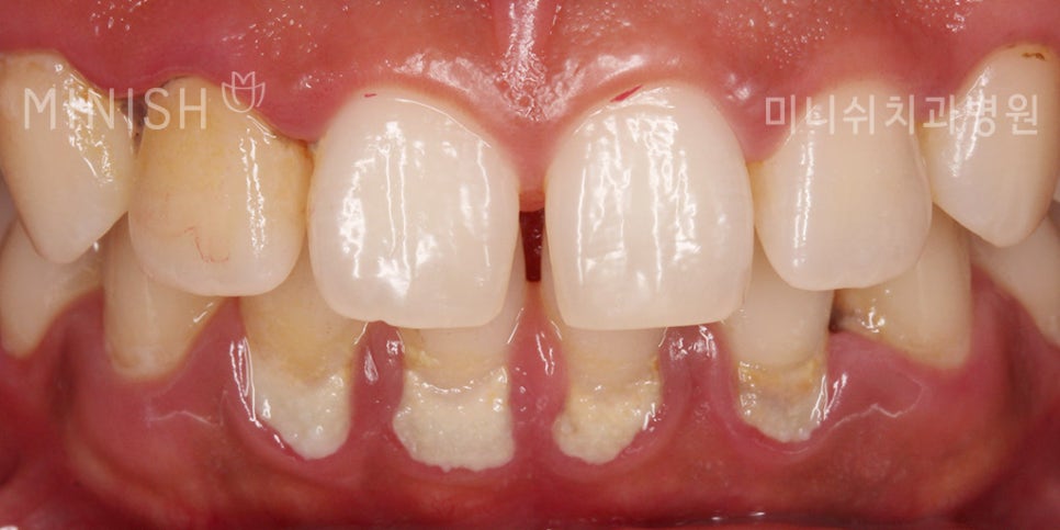
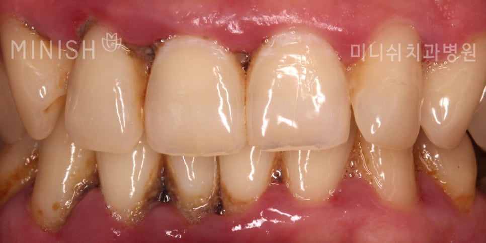
미니쉬를 활용한 풍치 치료 사례

촬영일자: 왼쪽 2020년 4월 9일, 오른쪽 2020년 5월 18일. 실치료기간 :4일. 개인에 따라 기간이 다를 수 있고, 부작용이 발생할 수 있으니 의료진의 정확한 진료를 받고 치료를 진행하시기 바랍니다.촬영은 환자의 동의를 얻었습니다.
30대 젊은남성의 풍치치료 및 미니쉬 사례를 한번 살펴볼까요. 이 환자는 치아표면에 이물질이 많고 표면이 거친 상태에서 플라그와 치석이 붙어있는 상태였습니다. 이미 풍치가 진행돼 잇몸뼈와 살이 내려간 상황이었습니다.

일부 치아는 풍치 초기단계였고 일부는 말기까지 진행된 곳도 있었습니다. 치아가 벌어진 부분은 잇몸뼈가 약해져 쉽게 치아가 이동하면서 나타나는 증상인데요, 이 역시 치주염이 원인입니다.
치료를 위해서는 스케일링이나 치근활택술로 원인이 되는 치석, 플라그를 제거하는 것이 첫번째 입니다. 다음은 치은절제술로 칫솔질이 안되는 부분을 없애야 치주질환이 재발하지 않습니다.
이렇게 기능적 풍치치료는 끝났지만 심미적인 부분은 여전히 해결되지 않은 채로 남아 있습니다. 여전히 거친 치아표면으로 플라그가 또 끼게 될 것입니다. 치아 표면이 매끈하지 않은 경우 예방목적의 미니쉬를 할 수 있으며 벌어진 공간을 메꿔주고 잇몸이 내려가 치아 길어보이는 부분은 핑크미니쉬로 해결이 가능합니다.

촬영일자: 아래 2020년 4월 9일, 위쪽 2020년 5월 18일. 실치료기간 :1일. 개인에 따라 기간이 다를 수 있고, 부작용이 발생할 수 있으니 의료진의 정확한 진료를 받고 치료를 진행하시기 바랍니다.촬영은 환자의 동의를 얻었습니다.
미니쉬의 목적인 치아복구는
치주질환에도 적용됩니다.


촬영일자: 왼쪽 2020년 4월 9일, 오른쪽 2020년 5월 18일. 실치료기간 :4일. 개인에 따라 기간이 다를 수 있고, 부작용이 발생할 수 있으니 의료진의 정확한 진료를 받고 치료를 진행하시기 바랍니다.촬영은 환자의 동의를 얻었습니다.
풍치 치료를 위해 미니쉬를 선택하는 경우도 있지만 반대로 미니쉬를 하러 왔다가 풍치를 발견하고 치아 건강을 회복한 사례도 많습니다.
미니쉬 하러 왔다가 발견한 풍치
미니쉬를 하고싶어 방문하는 환자들은 대부분 잇몸관리에 대해서는 소홀한 경우가 많습니다. 잇몸병은 아주 심해지기 전까지 증상이 없기 때문입니다.
심미적인것은 눈에 잘 띄기 때문에 고치고 싶어하지만 치아속 건강까지는 생각을 못하게 되는데, 미니쉬를 하러 치과에 방문했다가 치아의 아름다움 뿐 아니라 잇몸건강을 회복하게 됐다면 그게 더 큰 소득이 아닐까 합니다.

잇몸에 문제가 있는 경우 미니쉬 전 잇몸치료가 필수입니다. 만약 미니쉬하러 치과에 오지 않았다면 방치된 채 시간이 흐르고 10여년 후 잇몸이 내려가 더 큰 치아문제로 고생했을 수도 있었다는 사실!
미니쉬로 치아도 예뻐지고 몰랐던 충치를 발견하거나 잇몸치료로 치은염 재발을 예방하기까지 하니 생각지 못한 미니쉬의 파급효과가 상당합니다.
미니쉬를 활용한 치주치료보다 더 좋은 것은 아무래도 예방이죠. 치주치료는 회복이 아니라 병이 더 이상 진행되지 않도록 막는 것에 지나지 않습니다. 따라서 예방이 우선입니다.
끝으로 치주질환 예방을 위한 자가관리법을 소개하겠습니다.
풍치 예방을 위한 자가관리법
-
구강 유산균 사용
-
치간칫솔 사용
-
용도에 맞는 구강세정액 사용
-
적절한 칫솔/치약 선택
풍치예방의 핵심 키워드를 한 단어로 말씀드린다면 '칫솔질' 입니다. 자주하는 것보다 중요한 것이 구강건강을 위한 칫솔질의 원리를 이해하는 것입니다.
칫솔질을 할 때는 잇몸부위나 치아부위보다는 잇몸과 치아 경계, 치아 사이를 꼼꼼히 닦아내 플라크를 없애는 것이 중요합니다.
플라크 제거는 최소 24시간 안에 이뤄져야 하며 대충 자주 닦는것보다 하루 한번이라도 꼼꼼히 닦는게 더 효과가 있습니다.

핵심은 치아와 치아 사이, 치아와 잇몸 사이 세균이 자리잡기 쉬운 틈새를 잘 닦아내는 것인데요, 치아의 골이 세로로 되어있으므로 세로로 닦는 것이 좋습니다. 또 칫솔모를 45도로 기울여 잇몸과 치아 경계부에 있는 플라크를 충분히 제거하도록 해야 합니다.

플라크 제거에 효과적인 칫솔로는 2ⅹ6 칫솔이 있습니다. 6개의 모가 두 줄로 박혀있다는 뜻입니다. 두 줄의 가늘고 강도 높은 모로 구성돼 치아 사이를 닦기 용이한 칫솔입니다.
반면 넓은 형태의 칫솔은 전체를 닦기에 좋습니다. 두 가지 형태의 칫솔을 잘 활용해 더욱더 효율적으로 구강관리를 할 수 있습니다. 치간칫솔, 치실 등을 사용하는 것도 모두 원리는 하나입니다. 경계부를 잘 닦아내는게 핵심인 것이죠!
굿나잇 칫솔 [두줄모 4color] - 닥터미니쉬 치과의사의 노하우로 탄생한 'A형 두줄모 칫솔' 양쪽에서 미는 힘으로 뾰족하게 치아 사이사이 이물질을 효율적으로 제거 가능하게 해줍니다.
drminish.co.kr
<미니쉬치과병원 의사들이 만든 칫솔>
우리가 아무리 노력해도 완벽하게 꼼꼼히 닦기 힘든 이유는 칫솔모가 잘 안닿는 부위가 있기 때문입니다. 가장 닦기 어려운 곳은 치아 맨 끝 어금니인데요. 어금니 안쪽까지 칫솔이 들어가기 어려운 구조다보니 어금니에 풍치가 생기기 쉬우며 치아 바깥쪽에 비해 치아 안쪽도 칫솔이 닿기 힘들어 풍치가 잘 생깁니다. 그래서 정기적으로 스케일링을 받는 것입니다.

미니쉬치과병원 서울특별시 강남구 언주로 728


Explore More
Keep Browsing This Clinic's Korean Content Trail.
Return to the source archive for more posts, or move back to the clinic profile to compare the rest of the clinic's public channels.