미니쉬치과병원ㅣMinish Dental Hospital ㅣミニッシュ歯科病院ㅣ美尼仕牙科医院ㅣ美尼仕牙科醫院
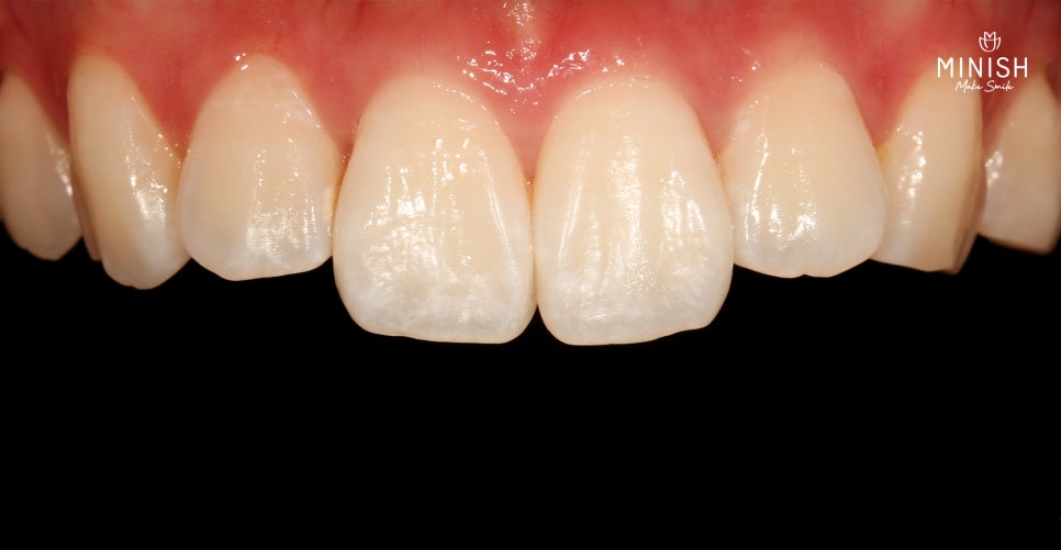
툭 튀어 나온 토끼 앞니, 개선할 수 있을까?
치아는 사람을 만날 때 첫 인상과 이미지를 결정짓는 중요한 요소입니다. 특히 토끼 앞니처럼 앞쪽 치아가 유독 크고 튀어나와 있는 경우, 대인관계에서 웃거나 대화할 때 신경이 많이 쓰일 수 있습니다. 이런 콤플렉스로 인해 손으로 입을 가리거나 웃음을 억지로 참는 행동은 상대방에게 오해를 줄 수 있으며, 반복되면 자신...

치아는 사람을 만날 때 첫 인상과 이미지를 결정짓는 중요한 요소입니다. 특히 토끼 앞니처럼 앞쪽 치아가 유독 크고 튀어나와 있는 경우, 대인관계에서 웃거나 대화할 때 신경이 많이 쓰일 수 있습니다. 이런 콤플렉스로 인해 손으로 입을 가리거나 웃음을 억지로 참는 행동은 상대방에게 오해를 줄 수 있으며, 반복되면 자신감 저하와 스트레스까지 이어질 수 있습니다.

튀어나온 앞니는 심미적인 문제를 넘어 저작 기능에도 부정적인 영향을 미칠 수 있습니다. 음식물을 제대로 씹지 못하면 소화에 문제가 생길 수 있으며, 장기적으로 방치하면 구강 질환을 유발할 수 있습니다. 치아의 교합이 맞지 않으면 잇몸질환, 충치 등의 문제로 이어질 위험도 커집니다. 따라서, 본인의 구강 상태에 맞는 적절한 치료가 필요합니다.
토끼 앞니 개선 방법, 치아 교정

대표적으로 치아 교정이 있습니다. 단, 교정 장치를 2년 이상 착용해야 하고, 주기적으로 치과에 방문해야 한다는 부담이 있으며 교정 중 구강 관리에 소홀하면 염증이나 충치 등의 문제가 발생할 수 있으므로 주의가 필요합니다.
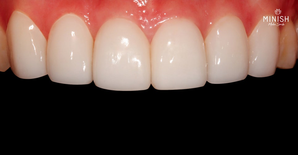
토끼 앞니 개선 방법, 미니쉬

긴 시간이 소요되는 교정이 부담스러운 분들에게는 미니쉬를 추천드립니다.
미니쉬는 교정 장치를 부착하지 않고도 개선할 수 있는 방법이며 치아 교정보다 짧은 기간에 끝낼 수 있다는 점에서 현대인들에게 인기가 높습니다. 미니쉬는 개인의 치아 모양, 크기, 안모, 스마일 라인, 잇몸 높이, 색상까지 정밀하게 고려하여 자연 치아와 유사한 미니쉬 블록으로 제작됩니다.
미니쉬의 정밀한 결합 기술

미니쉬는 치아와 잇몸 사이의 공간을 완벽하게 밀착시켜 세균이 침투하는 것을 막아 염증이나 충치 발생을 예방합니다. 즉, 변연봉쇄하여 치아와 잇몸 사이에 틈이 생기지 않도록 정밀하게 결합합니다
토끼 앞니, 빠르게 개선하고 싶다면?

교정의 긴 시간이 부담스럽고, 치아에 해를 가하지 않는 방법을 찾고 있다면 미니쉬가 적합한 해결책입니다. 심미적 문제뿐만 아니라 기능적 문제까지 해결할 수 있는 미니쉬로 자신감 있는 미소를 되찾으세요!


Explore More
Keep Browsing This Clinic's Korean Content Trail.
Return to the source archive for more posts, or move back to the clinic profile to compare the rest of the clinic's public channels.