미니쉬치과병원ㅣMinish Dental Hospital ㅣミニッシュ歯科病院ㅣ美尼仕牙科医院ㅣ美尼仕牙科醫院
잇몸 내려앉음, 잇몸퇴축 원인과 치료 방법은?
거울을 보다가 잇몸이 내려앉아 치아 뿌리가 드러나 보이나요? 양치할 때마다 잇몸이 시큰거리거나 아프진 않으신가요? 이런 증상은 잇몸 퇴축일 가능성이 있어요. 잇몸이 내려앉으면 외관뿐 아니라 치아와 잇몸 건강에도 영향을 미치는데요. 잇몸 내려앉음 원인, 증상 그리고 해결 방법을 자세히 알려드릴게요. 잇몸은 왜 내려앉을까...

거울을 보다가 잇몸이 내려앉아 치아 뿌리가 드러나 보이나요?
양치할 때마다 잇몸이 시큰거리거나 아프진 않으신가요? 이런 증상은 잇몸 퇴축일 가능성이 있어요. 잇몸이 내려앉으면 외관뿐 아니라 치아와 잇몸 건강에도 영향을 미치는데요. 잇몸 내려앉음 원인, 증상 그리고 해결 방법을 자세히 알려드릴게요.

잇몸은 왜 내려앉을까요?
잇몸이 내려앉는 이유는 여러 가지가 있어요. 가장 흔한 원인들을 하나씩 살펴볼게요.
- 잇몸 염증이 심해진 경우
잇몸 질환은 치은염과 치주염으로 나눌 수 있어요. 치은염은 잇몸에 생긴 초기 염증인데, 이 상태에서 관리가 제대로 되지 않으면 염증이 잇몸뼈 주변으로 퍼져 치주염으로 악화돼요. 치주염 증상으로는 잇몸 출혈, 통증, 붓기, 잇몸 퇴축 등이 나타나요.
- 치태, 치석이 심하게 쌓인 경우
양치질을 소홀히 하면 치아와 잇몸 사이에 음식 찌꺼기와 세균이 쌓여 치태와 치석이 생겨요. 치태는 투명하고 끈적한 세균 덩어리로, 시간이 지나면 딱딱하게 굳어 치석이 돼요. 치석이 쌓이면 잇몸에 자극을 주고 염증이 생겨 잇몸이 붓거나 피가 나면서 점점 내려앉아요.

- 잘못된 양치 습관
양치를 할 때 너무 세게 문지르거나, 딱딱한 칫솔을 사용하면 잇몸에 강한 자극이 가해져 약해질 수 있어요. 잇몸은 부드러운 조직이라서 강한 자극이 계속되면 잇몸이 밀려 내려갈 수 있답니다. 양치할 때는 부드러운 칫솔을 사용하고, 치아와 잇몸을 부드럽게 닦아주는 것이 중요해요.
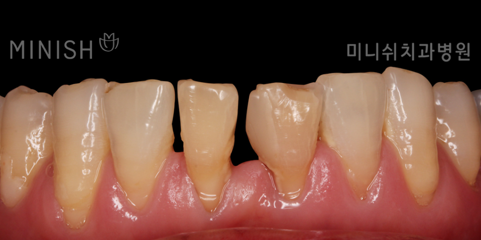
잇몸이 내려앉으면 어떻게 되나요?
치아 뿌리 노출로 인한 시림
잇몸이 퇴축되면 평소 잇몸에 가려져 있던 치아 뿌리가 드러나기 시작해요. 치아 뿌리는 보호막이 없어서 차가운 물이나 뜨거운 음식을 먹을 때 외부 자극을 쉽게 받아요. 그래서 잇몸이 내려앉으면 시큰거리거나 시린 증상이 나타나기 쉬워요. 특히 찬 음료를 마시거나 아이스크림을 먹을 때도 이가 시릴 수 있어 일상생활에서 불편함을 느낄 수 있답니다.
잇몸 붓기와 출혈
잇몸이 내려앉은 부분은 잇몸 조직이 얇아지고 민감해져서 자극에 더 쉽게 반응하게 돼요. 이로 인해 양치할 때 잇몸이 아프거나 붓고, 출혈이 나타날 수 있어요. 특히 딱딱한 음식이나 칫솔질을 할 때 잇몸이 약해져 피가 나기도 해요. 이렇게 민감해진 잇몸을 방치하면 염증이 더 커져요.
어떻게 해결해요?
잇몸 내려앉음 해결을 위한 치료법

- 무통 스케일링 및 치근활택술
잇몸이 조금 내려앉은 상태라면, 스케일링과 치근활택술이 효과적이에요. 케일링은 치아와 잇몸 사이에 쌓인 치석과 세균을 제거해 깨끗하게 만드는 과정이에요. 치근활택술은 치아 뿌리를 매끄럽게 다듬어주어 염증을 줄여주는 치료예요. 이 두 가지 치료를 통해 잇몸이 더 이상 내려앉지 않도록 예방할 수 있어요.
- 치주소파술
스케일링만으로 해결되지 않는 염증이 있을 경우에는 치주소파술로 치료해요. 치아와 잇몸 사이 깊숙이 있는 염증과 치석을 제거하는 치료로, 큐렛이라는 특수 기구를 사용해요. 염증이 있는 부분을 잘 치료하기 위해 마취 후에 진행하며, 상태에 따라 여러 번 나눠서 시술할 수도 있어요.
- 치주 수술
염증이 잇몸 깊숙이 퍼지거나 치아 뿌리까지 번진 경우에는 치주 수술을 고려해요. 이 수술은 잇몸을 열어 염증과 치석을 완전히 제거한 후 다시 잇몸을 덮어주는 과정을 거쳐요. 필요에 따라 약제를 도포하거나, 치아 뿌리 쪽 뼈가 약해졌다면 뼈 이식을 함께 진행해요.
- 잇몸 연어 주사(PDRN)
염증이 심하거나 잇몸 조직 회복이 필요한 경우에는 연어 주사(PDRN)를 사용할 수 있어요. PDRN은 연어에서 추출한 성분으로, 염증을 줄이고 잇몸 조직이 잘 회복되도록 돕는 주사예요. 이 주사는 잇몸이 약해진 부위에 직접 주입되어 잇몸에 새로운 혈관이 생기도록 도와주고, 염증을 감소시키는 역할을 해요. 또한, 잇몸이 약해져 내려앉은 뼈 조직을 회복시키는 효과도 있어 잇몸 건강을 되찾는 데 도움이 돼요.
잇몸 퇴축으로 치아가 길어보일 때는?
잇몸이 많이 내려앉아 치아가 길어 보인다면 치아복구 솔루션 미니쉬 중 '핑크미니쉬'를 고려해볼 수 있어요. 핑크미니쉬는 자연치아와 비슷한 미니쉬블록을 사용해 치아의 손상된 부위를 자연스럽게 복원하고, 내려앉은 잇몸의 심미적인 고민을 해결해줘요.
치아복구 솔루션 미니쉬 전, 후 변화
-
개인에 따라 치료 기간이 다를 수 있으며, 부작용이 발생할 수 있으니 의료진의 정확한 진료를 받고 치료를 진행하시기 바랍니다.
-
아래의 모든 사진의 인물은 미니쉬치과병원의 환자입니다.






자연치아와 가장 유사한 재료
핑크미니쉬에 사용되는 미니쉬블록은 세계적인 치·의료기기 기업인 독일 VITA사와 공동으로 개발한 재료로, 강도와 투명도가 자연치아와 매우 유사해요. 그래서 원래 내 치아처럼 자연스럽고 튼튼하게 사용할 수 있어요. 미니쉬는 0.1mm의 얇은 두께로 가공되어 불필요한 치아 삭제 없이도 정밀하게 결합할 수 있어서, 오래 사용하기에 적합해요.

미니쉬는 최대 10년 품질 보증
치아복구 솔루션 미니쉬는 최대 10년 품질을 보증해요.
잇몸 치료가 필요하다면? 미니쉬치과병원
미니쉬치과병원은 연중무휴로 363일 진료해요. 12명의 치과의사가 각자의 전문 분야에서 진료하며, 환자 한 분 한 분의 자연치아 보존과 복구에 최선을 다하고 있어요.



일상생활에 큰 불편을 줄 수 있는 잇몸 질환. 방치하지 말고 1:1 전담 시스템으로 운영되는 진료실에서 더욱 집중적이고 세심한 치료를 받아보세요!
미니쉬치과병원 서울특별시 강남구 언주로 728



Explore More
Keep Browsing This Clinic's Korean Content Trail.
Return to the source archive for more posts, or move back to the clinic profile to compare the rest of the clinic's public channels.