미니쉬치과병원ㅣMinish Dental Hospital ㅣミニッシュ歯科病院ㅣ美尼仕牙科医院ㅣ美尼仕牙科醫院
틀어진 앞니 하루만에 해결! (미니쉬, 라미네이트, 부분교정)
웃을 때 삐뚤어진 앞니가 신경 쓰이시나요? 앞니는 인상에 큰 영향을 주기 때문에 고민이 될 수밖에 없죠. 흔히 라미네이트, 치아교정, 앞니교정, 부분교정을 생각하는데요. 라미네이트는 미용적인 장점은 있어도 내구성이 떨어지고, 교정은 시간이 오래 걸려 망설이는 분들이 많아요. 그래서 이번 글에서는 라미네이트와 교정의...

웃을 때 삐뚤어진 앞니가 신경 쓰이시나요?
앞니는 인상에 큰 영향을 주기 때문에 고민이 될 수밖에 없죠. 흔히 라미네이트, 치아교정, 앞니교정, 부분교정을 생각하는데요. 라미네이트는 미용적인 장점은 있어도 내구성이 떨어지고, 교정은 시간이 오래 걸려 망설이는 분들이 많아요.
그래서 이번 글에서는 라미네이트와 교정의 장단점을 살펴본 후에 이보다 더 빠르고 자연스럽게 틀어진 앞니를 개선할 수 있는 솔루션을 소개해드릴게요!
틀어진 앞니 기존 해결 방법
전체 교정
전체 교정은 치아 전체의 배열을 바로잡고 교합을 조정해주기 때문에, 치열 전체의 균형을 맞추기에 효과적인 방법이에요. 하지만 치아를 조금씩 이동시켜야 하므로, 평균적으로 1~2년 이상이 걸리고 정기적인 관리와 유지 장치가 필요해요.
부분 교정
틀어진 앞니나 일부 치아만 바로잡고 싶다면, 전체 교정보다는 부분 교정이 부담이 덜할 수 있어요. 치료 기간이 짧고 비용도 비교적 적게 들며, 앞니와 같은 부분을 집중적으로 교정할 수 있어요. 다만, 치열 전체가 아닌 일부만 움직이기 때문에 교합 문제까지는 해결이 어렵고, 복잡하게 틀어진 치아는 완전히 해결되지 않을 수 있죠.
라미네이트
라미네이트는 치아 표면을 얇게 갈아내고 얇은 세라믹 막을 씌우는 방법으로, 빠르게 삐뚤어진 치아를 고르고 자연스럽게 보이도록 하는 치료예요. 짧은 시간에 변화를 줄 수 있어 인기를 끌지만, 치아 표면을 갈아야 하기 때문에 치아 손상이 일어나요.
무삭제 라미네이트
무삭제 라미네이트는 라미네이트와 같이 치아 표면을 얇게 갈아내고 얇은 세라믹 막을 씌우는 방법이에요. 이름만 무삭제지 치아 표면 삭제가 일어나요. 또한 치아의 크기나 모양, 치아 상태에 따라 적용이 어려울 수 있다는 제한이 있어요. 또, 일반 라미네이트보다 얇은 세라믹이기 때문에 심한 변형이나 큰 틀어짐을 바로잡는 데에는 한계가 있을 수 있어요.
기존 치료 방법 장단점은?
| 치료 방법 | 장점 | 단점 |
|---|---|---|
| 전체 교정 | 전체 치열과 교정을 조정, 장기적 효과 | 긴 치료 기간, 불편함, 높은 비용 |
| 부분 교정 | 빠른 치료, 적은 비용 | 일부 치아만 교정 가능, 교합 문제 해결이 어려움 |
| 라미네이트 | 짧은 시간 내 자연스러운 치아 배열 개선 | 치아 표면 삭제랑 높음 |
| 무삭제 라미네이트 | 짧은 시간 내 자연스러운 치아 배열 개선 | 치아 표면 삭제, 치아 형태에 따라 적용 제한 |
*교정 장치 종류는 금속, 레진, 세라믹, 투명교정 등 다양해요.
틀어진 앞니 치료는 치아복구 솔루션 미니쉬
미니쉬는 자연 치아와 가장 유사한 미니쉬블록을 사용해 치아를 복구하는 방법이에요. 앞니뿐 아니라 어금니까지 적용 가능해, 다양한 치아 문제를 해결할 수 있다는 장점이 있죠.

미니쉬블록은 독일의 치과 재료 전문 기업 VITA와 함께 개발된 재료로, 강도와 투명도가 자연 치아에 가까워 복구 후에도 자연스러운 결과를 얻을 수 있어요.

0.1mm의 얇은 두께로 정밀하게 제작되기 때문에 치아 삭제가 거의 없고, 내 치아처럼 정교하게 결합돼 오래 사용이 가능해요.


미니쉬로 치아복구 시 최대 10년 동안 품질을 보증해요.
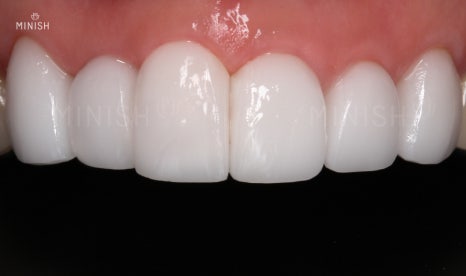
미니쉬로 틀어진 앞니 해결한 사례
앞니가 틀어져 고민이 많았던 환자분의 이야기예요. 앞니 배열을 가지런하게 정리하는 것을 목표로 치아복구 솔루션 미니쉬를 진행했는데요. 두 앞니의 높이가 달라 잇몸 절제술로 균형을 맞추고, 돌출된 부분만 다듬어 미니쉬를 진행했어요.


치아복구 솔루션 미니쉬는 하루만에 진행됐어요. 그 결과, 예쁘고 자연스러운 치아로 완성되었답니다!


*환자 치아 상태에 따라 치료 기간이 다를 수 있습니다. 의료진에게 정확한 진료를 받아보세요.
틀어진 치아 문제를 해결하고 싶다면? 미니쉬치과병원
미니쉬치과병원은 연중무휴로 363일 진료해요. 해가 없는, 과잉 없는, 통증 없는 치료를 기반으로 환자분들의 자연 치아 보존과 복구에 최선을 다하고 있답니다.



대학병원급 치과병원으로 12명의 전문 치과의사들이 각 분야를 전담하여 1:1 집중 진료 시스템으로 세심한 진료를 제공해요. 교정치과를 찾고 있고, 틀어진 치아로 고민하고 있다면? 미니쉬치과병원에서 정확한 진단과 맞춤 치료로 고민을 덜어보세요!
미니쉬치과병원 서울특별시 강남구 언주로 728



Explore More
Keep Browsing This Clinic's Korean Content Trail.
Return to the source archive for more posts, or move back to the clinic profile to compare the rest of the clinic's public channels.