미니쉬치과병원ㅣMinish Dental Hospital ㅣミニッシュ歯科病院ㅣ美尼仕牙科医院ㅣ美尼仕牙科醫院
교정 후 앞니 벌어짐, 미니쉬로 해결하세요!
교정 후 벌어진 앞니 문제를 미니쉬를 통해 자연스럽게 해결한 사례를 소개하려고 합니다. 교정 후에도 닫히지 않는 치아 간격, 어떻게 해결할 수 있을까요? 미니쉬 치료가 어떻게 이 문제를 해결하는지 알려드리겠습니다. 교정 후 앞니 벌어짐 사례 40대 사례자는 해당 환자분은 교정을 계속하였지만 벌어진...

교정 후 벌어진 앞니 문제를 미니쉬를 통해 자연스럽게 해결한 사례를 소개하려고 합니다. 교정 후에도 닫히지 않는 치아 간격, 어떻게 해결할 수 있을까요? 미니쉬 치료가 어떻게 이 문제를 해결하는지 알려드리겠습니다.
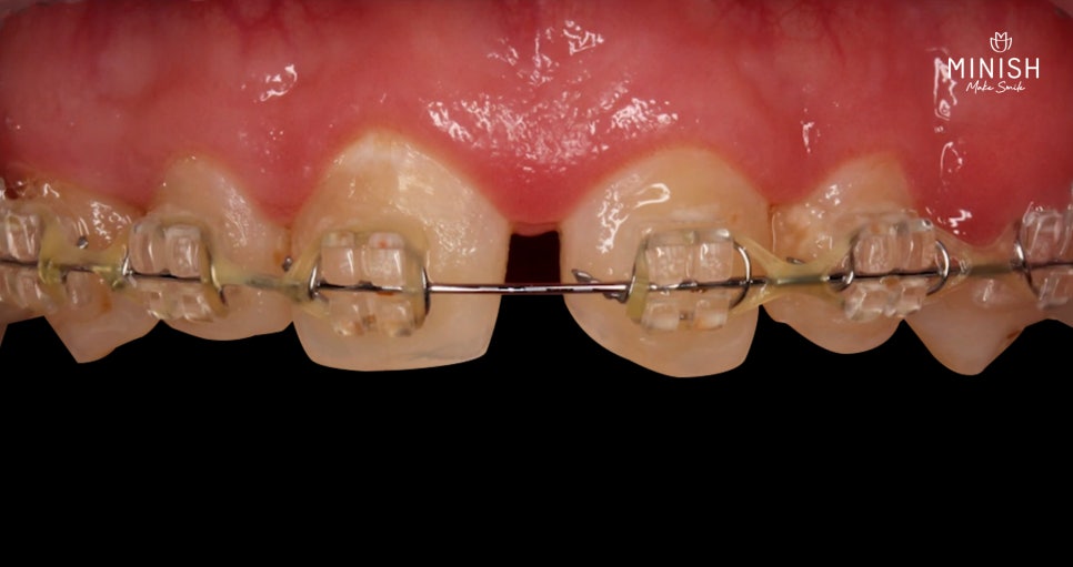
교정 후 앞니 벌어짐 사례

40대 사례자는 해당 환자분은 교정을 계속하였지만 벌어진 치아가 닫히지 않았습니다. 브라켓을 붙여 놓고 교정을 통해서 아무리 치아를 모으려고 해도 모이지가 않습니다. 교정을 해도 치아가 모이지 않는 이유는 아래 치아와 위 치아의 공간적 비율 때문입니다. 특히, 아래 치아 크기 때문에 간격이 더 좁혀지지 않아 추가적인 조치가 필요했습니다. 이런 경우, 교정을 추가하는 것보다 미니쉬 치료로 치아 간격을 채워주는 방식이 더 효율적일 수 있습니다.

브라켓을 제거한 후 더 벌어진 것처럼 보이는 치아는 미니쉬를 통해 빈 공간을 보강하여 자연스럽게 메울 수 있습니다. 미니쉬는 부족한 부분만 채워주는 방식으로, 기존 치아는 최대한 보존하면서 필요한 양만큼만 보충합니다.
교정 후 앞니 벌어짐 개선

또한 잇몸 라인 개선도 함께 진행했는데요. 환자분의 잇몸이 플랫한 형태로 되어 있어, 치아와 조화롭게 맞추기 위해 라운드 형태로 개선하였습니다. 이를 통해 치아가 길어 보이고 더 자연스러운 미소를 완성할 수 있었습니다.

작은 치아를 갖고 있거나 공간이 있는 경우는 치아를 채워줘야 하기 때문에 기존 자연 치아는 남겨둔 상태에서 부족한 양만큼만 세라믹으로 보충해주면 되기 때문에 굳이 치아를 삭제할 필요가 없습니다.
치아 정돈 한 사진을 보면 후의 모습이 거의 차이가 없다는 점을 확인할 수 있습니다. 특히, 이번 사례의 경우처럼 4개의 치아를 치료할 때는 옆 치아와의 색상, 질감, 비율적인 조화가 매우 중요하기에 미니쉬 후에도 어색하지 않고, 인위적이지 않은 자연스러움을 얻을 수 있습니다.

교정 후 앞니 벌어짐처럼 교정으로 해결하기 어려운 문제가 있다면, 미니쉬로 충분히 자연스럽게 해결할 수 있습니다. 더 이상 벌어진 치아로 고민하지 마시고, 미니쉬치과병원에 방문하셔서 전문의와 상담 받아보세요 😊


Explore More
Keep Browsing This Clinic's Korean Content Trail.
Return to the source archive for more posts, or move back to the clinic profile to compare the rest of the clinic's public channels.