미니쉬치과병원ㅣMinish Dental Hospital ㅣミニッシュ歯科病院ㅣ美尼仕牙科医院ㅣ美尼仕牙科醫院
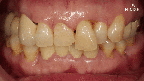
돌출된 앞니, 크라운 재치료가 필요할 때 건강과 심미성을 동시에 회복하는 방법!
앞니가 깨졌을 때, 대부분은 치아 겉면의 단단한 층인 에나멜만 손상된 경우에 해당합니다. 이처럼 겉표면에만 문제가 생겼을 땐 미니쉬를 활용해 손상된 부위를 정밀하게 복원하면서 자연스러운 형태와 색상까지 조화롭게 개선할 수 있습니다. 전체 치아를 건드리지 않고도 심미적인 부분까지 만족스러운 결과를 기대할 수 있습니다...

앞니가 깨졌을 때, 대부분은 치아 겉면의 단단한 층인 에나멜만 손상된 경우에 해당합니다. 이처럼 겉표면에만 문제가 생겼을 땐 미니쉬를 활용해 손상된 부위를 정밀하게 복원하면서 자연스러운 형태와 색상까지 조화롭게 개선할 수 있습니다. 전체 치아를 건드리지 않고도 심미적인 부분까지 만족스러운 결과를 기대할 수 있습니다 .
하지만 시큰거리거나 차가운 음식에 민감하게 반응한다면 이는 손상이 에나멜을 넘어 그 아래층인 덴틴 부위까지 가까워졌다는 신호일 수 있습니다. 에나멜 두께가 얇아졌거나, 미세한 균열이 더 깊이 퍼졌을 가능성도 배제할 수 없습니다. 이런 경우에는 덴틴 부위를 고려한 단계적인 복원이 필요하며 미니쉬를 적용하기 전 민감도 조절이 선행되기도 합니다.
미니쉬치과병원에 처음 방문한 평택엄마는 어떤 문제인지 묻자 말없이 앞니를 가리켰습니다.
17살, 어린 나이에 시작된 가장의 삶

어려운 집안 형편 탓에 이른 나이부터 생계를 책임져야 했습니다. 결혼 후에는 상황이 나아질 거라 기대했지만, 남편의 사업이 무너지면서 다시 식당 일을 시작하게 됐고, 생계를 이어가기 위해 하루하루를 버텨야 했습니다.
가게를 운영하던 중에도 여유는 없었지만, 코로나로 결국 폐업까지 하게 되면서 튀어나오고 불규칙한 앞니에 대한 고민은 그저 마음속에만 묻어둘 수밖에 없었다고 합니다.
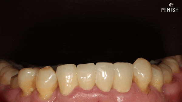
말 못할 고민은 치아에서도 시작됐습니다. 평택엄마의 아랫니는 틀어지고 벌어져 있었고, 보기에도 예쁘지 않았을 뿐더러 틈 사이로 음식물이 자주 끼고, 말을 할 때 침이 새는 불편함도 뒤따랐습니다. 늘어나는 불편함에 결국 부담을 무릅쓰고 크라운 브릿지를 선택하게 된 것도 그런 이유에서였습니다.

겉으로는 가지런해 보이는 아랫니,
하지만 그 속 사정은 달랐습니다.
보철을 위해 건강한 치아 표면을 과하게 삭제한 탓에, 결국 신경까지 건드리는 과정이 불가피해졌습니다.

▷ 왜 과도한 삭제가 이뤄졌을까요?
크라운은 치아 전체를 덮는 구조로 제작되며, 재료의 특성상 일정한 두께를 확보해야만 깨지거나 부러지지 않고 강도를 유지할 수 있습니다. 하지만 이 두께를 확보하기 위해 치아를 깎지 않고 그대로 덮는다면, 치아가 뚱뚱하게 부풀어 보이거나 주변 치아와 조화롭지 않게 보일 수 있습니다. 결국 공간을 확보하기 위해, 건강한 치아 표면까지 비교적 넓게 삭제하는 과정이 이뤄지게 됩니다.
▷ 신경을 건드리는 처치, 왜 조심해야 할까요?
신경을 다룬다고 해서 상처를 회복시키는 과정은 아닙니다. 오히려, 치아 내부의 신경(치수)을 완전히 제거해 세균 침투를 차단하는 방식입니다. 이 과정에서 감각을 느끼는 신경도 함께 사라지기 때문에, 이상이 생겨도 통증이 없어 알아차리기 어려운 상태가 됩니다.
또한, 신경이 제거된 치아는 내부가 비어 있어 수분이 공급되지 않고 점차 건조해지며 결국엔 푸석하게 마르면서 외부 자극에 약하고 쉽게 깨질 수 있는 구조로 바뀝니다.

신경을 다룬 이후 약해진 평택엄마의 치아는 크라운 재치료가 필요했습니다.
손상된 부분은 미니쉬로 복구하였습니다. 미니쉬는 자연 치아와 가장 유사한 재료인 미니쉬블록을 사용해 손상된 치아를 복원하는 방식으로 건강한 기능 회복과 함께 아름다운 외형까지 동시에 고려할 수 있는 방식입니다.
- 오차범위 없는 제작과 정밀한 부착
오차범위 없이 정밀하게 제작된 미니쉬는 자연치아와 틈 없이 결합되어 마치 하나의 구조처럼 완성됩니다. 이처럼 빈틈 없이 밀착되기 때문에, 외부 세균이 내부로 침투할 수 있는 공간 자체가 차단됩니다.
- 자연 치아에 가까운 재료
치아와 가장 유사한 물성을 가진 재료를 사용하여 씹는 힘과 충격을 자연스럽게 분산시킵니다.
- 파절 확산 방지
이미 손상된 부위를 안전하게 감싸, 금이 더 이상 퍼지지 않도록 보호하는 역할도 합니다.
- 심미성 회복
본래 치아의 색상, 투명도, 표면 질감까지 고려해 자연스럽고 조화로운 인상을 완성할 수 있습니다.
평생을 괴롭힌 돌출된 앞니, 단 하루 만에 벗어났습니다.

튀어나온 치아가 교정이나 과한 삭제 없이도 달라질 수 있다는 사실, 처음엔 쉽게 믿기 어려울 수도 있습니다. 하지만 짧은 시간 안에 눈에 띄는 변화가 있었고, 동시에 구강 건강까지 회복되었기에 그 변화는 더 특별했습니다.
미니쉬는 불필요한 손상 없이 돌출된 치아의 불균형을 조정합니다. 신경을 건드리지 않고, 자연스러운 비율과 대칭을 맞추는 방식으로 배열을 안정시킬 수 있습니다. 무리한 치아 손상 없이도 가지런한 형태를 완성할 수 있다는 것, 그것이 미니쉬의 핵심입니다.
지금의 평택엄마는 더 이상 앞니 때문에 웃음을 숨기지 않습니다. 거울을 볼 때마다 느끼는 만족감은 그동안의 고민을 단숨에 잊게 만들었습니다. 치아는 스스로 회복되지 않으며 외부적인 개입 없이 재생되기도 어렵습니다. 그렇기에 어떤 방식으로 다룰 것인지는 신중하게 고민해야 합니다. 무엇보다 중요한 건 ‘콤플렉스 해소’뿐 아니라 건강을 지키는 선택이 되어야 한다는 점입니다.
자신감이 무너질 때 삶의 질까지 함께 흔들릴 수 있습니다. 하지만 단순히 외적인 변화를 위해 무리한 선택을 한다면, 오히려 잃는 것이 더 커질 수도 있다는 사실도 잊지 말아야 합니다.

일시적인 변화보다, 평생을 위한 선택을 한 평택엄마의 이야기를 기억해보세요. 아름다움은 겉모습이 아니라 건강하고 당당한 자신감에서 부터 시작됩니다.
여러분도 진짜 웃음을 되찾을 수 있습니다. 기능과 아름다움, 두 가지를 함께 고려하는 선택. 지금 미니쉬치과병원과 함께하세요.


Explore More
Keep Browsing This Clinic's Korean Content Trail.
Return to the source archive for more posts, or move back to the clinic profile to compare the rest of the clinic's public channels.